Cookie Consent byPrivacyPolicies.comUn quoi faire de plus bis. - Eugenol
S2y2o1v7q53ws4r5wy6ou8czrpom - Eugenol
pxav

01/08/2013 à 00h33

beau travail, je pense qu'il faut une petite retouche bord libre de 11 trop arrondi par rapport à 21...
Quand on sait comme c'est compliqué de gérer une agénésie de latérale....bravo.


--
xbk
"Si tous ceux qui croient avoir raison n'avaient pas tort, la vérité ne serait pas loin" Dac Pierre


Img 5404 pmlzfi - Eugenol
Chicot44

01/08/2013 à 01h14

Et Mme Patiente ? ses commentaires ?? Bravo t'as mérité tes vacances....


Logo qw3xdt - Eugenol
ĐĐS

01/08/2013 à 14h46

danteyeah écrivait:
-------------------
> Et un grand merci à Hélène et Didier. Un couple de prothésiste de très haut
> niveau.
>
> Quelques gros plans de leur travail.

Salut,

Tu as bien bossé, je trouve.

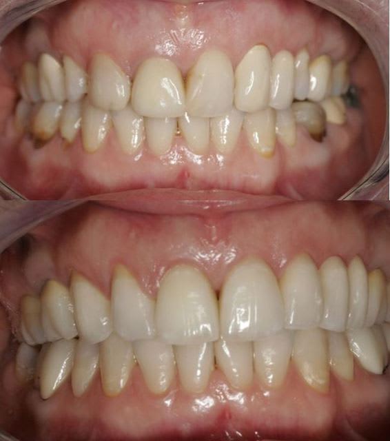
Cependant concernant le résultat, le petit défaut lors de la fabrication de tes couronnes serait que ta 11 pompe trop la teinte de l'inlay core en dessous (certainement du HO). Et du coup ça dénote dans le sourire.


--
Normal is not something to aspire to, it's something to get away from...


Bebe 038 nf8eum - Eugenol
danteyeah

01/08/2013 à 16h20

ĐĐS écrivait:
-------------

>
> Cependant concernant le résultat, le petit défaut lors de la fabrication de tes
> couronnes serait que ta 11 pompe trop la teinte de l'inlay core en dessous
> (certainement du HO). Et du coup ça dénote dans le sourire.
>

D'accord, mais j'avoue que les prothésistes s'en sortent bien au regard du "gap" de saturation/teinte/luminosité qu'il avait entre 11 et 21, sans compter en plus la différence de préparation.
Je me suis expliqué plus haut sur la raison de la conservation de l'IC. À la vue du résultat, il me semble que le désagrément occasionné par la différence de luminosité entre 11 et 21 est moins cher payé, que le risque d'exploser la 11 en démontant un IC long comme un jour sans pain et très probablement collé au superbond (le cas de la zircone qui le coiffait), même avec la WAM'X KEY j'ai pas osé tenter.

Dommage que précédent praticien ai préféré le rendement financier à l'esthétique.


S2y2o1v7q53ws4r5wy6ou8czrpom - Eugenol
pxav

01/08/2013 à 16h25

tu avais aussi la possibilité de "tailler" l'IC et de recouvrir avec un opaque (résine)n ça dépanne bien.

--
xbk
"Si tous ceux qui croient avoir raison n'avaient pas tort, la vérité ne serait pas loin" Dac Pierre


Logo qw3xdt - Eugenol
ĐĐS

01/08/2013 à 16h27

danteyeah écrivait:
-------------------
> ĐĐS écrivait:
> -------------
>
> >
> > Cependant concernant le résultat, le petit défaut lors de la fabrication de
> tes
> > couronnes serait que ta 11 pompe trop la teinte de l'inlay core en dessous
> > (certainement du HO). Et du coup ça dénote dans le sourire.
> >
>
> D'accord, mais j'avoue que les prothésistes s'en sortent bien au regard du "gap"
> de saturation/teinte/luminosité qu'il avait entre 11 et 21, sans compter en plus
> la différence de préparation.
> Je me suis expliqué plus haut sur la raison de la conservation de l'IC. À la vue
> du résultat, il me semble que le désagrément occasionné par la différence de
> luminosité entre 11 et 21 est moins cher payé, que le risque d'exploser la 11 en
> démontant un IC long comme un jour sans pain et très probablement collé au
> superbond (le cas de la zircone qui le coiffait), même avec la WAM'X KEY j'ai
> pas osé tenter.
>
> Dommage que précédent praticien ai préféré le rendement financier à
> l'esthétique.

Ce n'est pas un reproche contre toi.
J'aurais gardé aussi l'inlay core,avec peut être de la résine opaque dessus pour une e.max ou sinon avec une e.max sur chape zircone.
Encore une fois, il n'y a rien de méchant dans mon propos ;)

--
Normal is not something to aspire to, it's something to get away from...


Bebe 038 nf8eum - Eugenol
danteyeah

01/08/2013 à 16h41

Chicot44 écrivait:
------------------
> Et Mme Patiente ? ses commentaires ?? Bravo t'as mérité tes vacances..

La patiente?
Après 20 ans de frustration pour son sourire, elle pense avoir enfin dépensée son argent à bon escient.


Bebe 038 nf8eum - Eugenol
danteyeah

01/08/2013 à 16h45

pxav écrivait:
--------------
> tu avais aussi la possibilité de "tailler" l'IC et de recouvrir avec un opaque
> (résine)n ça dépanne bien.
>
> --
> xbk
> "Si tous ceux qui croient avoir raison n'avaient pas tort, la vérité ne
> serait pas loin" Dac Pierre

Vrai, et en y réfléchissant le peu de métal "débordant" de l'IC aurait finalement pu être tout bonnement "décapité". Dommage,


Bebe 038 nf8eum - Eugenol
danteyeah

01/08/2013 à 16h52

ĐĐS écrivait:
-------------
>
> Ce n'est pas un reproche contre toi.
> J'aurais gardé aussi l'inlay core,avec peut être de la résine opaque dessus pour
> une e.max ou sinon avec une e.max sur chape zircone.
> Encore une fois, il n'y a rien de méchant dans mon propos ;)
>
T'inquiète, je ne l'ai pas vu comme un reproche, je voulais simplement d'écrire la raison pour laquelle je n'avais pas trouvé de solution simple à ce problème.
J'avais des le départ tout misé sur les chapes en HO, c'est pourquoi je ne me suis pas creusé le citron plus longtemps, il y avait suffisamment d'autres problème à régler.


l adan

01/08/2013 à 17h31

Good job ! j'aurais adouci un peu la pointe de 23 mais c'est toujours facile de voir tous ces petits details quand on n'a pas la tete dedans et qu'on sature à la fin de rdv longs ...
Ci joint un petit avant , après

5 zhbb2k - Eugenol

Bebe 038 nf8eum - Eugenol
danteyeah

01/08/2013 à 18h30

l adan écrivait:
----------------

> Ci joint un petit avant , après

Merci, ça fait plaisir l'intérêt que tu portes à ce post
Merci pour le montage


387658 285645131467567 178493338849414 912435 1067789649 n e7hcpr - Eugenol
Djuls

01/08/2013 à 19h49

Bravo, je suis impressionné !


youn

01/08/2013 à 20h35

Bien beau tout ça!

J'aurais quand même fait la même chose pour 11 et 21 (si on veut garder l'inlay core) un tantinet plus opaque sur 21.


Bebe 038 nf8eum - Eugenol
danteyeah

02/08/2013 à 14h58

Djuls écrivait:
---------------
> Bravo, je suis impressionné !

Promis, juré, j'lai pas payé pour écrire ça ;-)

Un grand merci de la part de toute l'équipe


12