Cookie Consent byPrivacyPolicies.comIncisive mal barrée ! - Eugenol

Incisive mal barrée !

Icon poker h4nm2d - Eugenol
jeff

14/11/2013 à 00h03

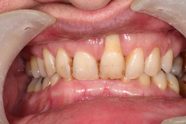
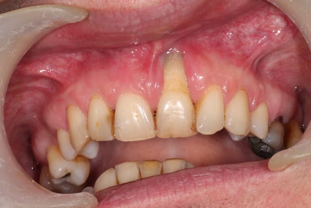
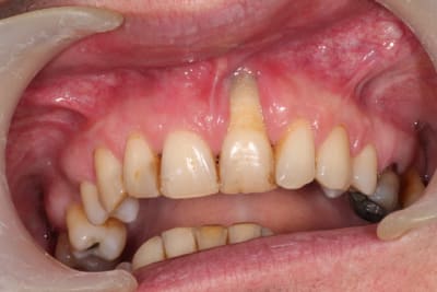
Patient adressé par une consœur pour sa 21. Fume un paquet.

Pas vraiment de pb paro, à part un bourrage entre 26 et 27 ayant entrainé une perte osseuse conséquente.

Grosse supra.

plusieurs questions :

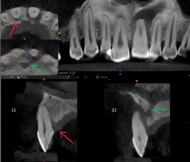
1 : Pensez vous que la cause de la lésion soit occlusale, justement ( cela aurait pu débuter comme sur la 11, flèche rouge ) ?

2 : quid de la jonction avec le canal nasopalatin ( flèche verte ) ?

3 : après extraction, grosse perte tissulaire a prévoir. si reconstruction osseuse, il n'y aura pas un problème de tissus mou ? , faut il épaissir et faire une greffe de conjonctif avant greffe osseuse ?

merci.

Petit probleme dvgcmv - Eugenol
Oct 2013 036 urnjwm - Eugenol
Oct 2013 038 fkyqye - Eugenol

colza2

14/11/2013 à 00h11

Si c.est juste esthétique, de la résine rose sur la racine devrait faire l'affaire.........

Désolé, je sors. ......


Photo pluton1b h9n4ea - Eugenol
pluton

14/11/2013 à 00h37

bon, je me lance...voilà comment je gèrerais si un cas comme çà venait chez moi...

1/ il y a quand même de fortes chances que le problème soit d'origine traumatique occlusal
2/ en effet une fois la 21 extraite, grosse perte osseuse et là aussi amha il faudra gérer les tissus mous

donc: ODF pour diminuer la supra ou prothèses sur les secteurs postérieurs
temporisation soit avec dent du commerce avec boitier ortho collé (si ODF) soit petit bridge collé
une fois la cicat osseuse et gingivale terminée, tu peux en effet faire une greffe conjonctive ou épithélio-conjonctive selon la situation avant de faire ta greffe pour rendre le biotype gingival plus favorable

mais c'est vraiment des cas chiants à gérer...car traitement long et dans ce secteur la demande esthétique est forcément importante...


1309531 ours brun n5iukf - Eugenol
seespan

14/11/2013 à 13h00

Dans tout les cas extraction de 21 ensuite deux options en plus du traitement odf global

1 mésialisation de 11 en place de 21 pour recrée par mouvement ortho l'os perdu et la hauteur de tissue moue et mise en place d'un implant en position de 11

2 Distalisation de 22 en place de 21 couronne sur dent vivantes pour transformer la 22 en 21 et implant en place de 22. Ca peut paraitre compliquer mais ça garantie un très bon niveau de la gencive au niveau des centrales, avec un implant les résultats peuvent être plus aléatoire.

Sinon la question peut sembler idiote mais la 21 est vitale ou non vitale ? je demande car d'après la radio je n'ais pas l'impression que se soit une lésion endo et il n'y a pas de changement de teinte par rapport a la 11.

--
หมอจัดฟัน


Image r6habu - Eugenol
Thomas Crown

14/11/2013 à 14h23

Seespan, as tu déjà réalisé un ttt comme celui que tu décris? As tu des photos/ radios des diff phases? Parce que ça me paraît compliqué, mais je suis pas ortho.
Pour moi, c'est aussi un choc sur cette dent qui a accentué les pertes tissus.
L'apex est atypique au scann, je pense qu'il n'y a plus de vascularisation ici.

Pluton, même question pour la stratégie ..
Amha un bon bridge collé , avec ou sans odf, ça ira


Icon poker h4nm2d - Eugenol
jeff

14/11/2013 à 14h29

Deja, la levée de supra, je la sent pas trop, peut être avec corticotomie. Mais ta solution, seepan, je la sent encore moins. J'en comprend le principe et la finalité , mais au vu du gouffre à remplir , j'aurai trop peur que la dent déplacée se retrouve moitié hors de l'os .

Si tu as des photos de cas similaire ( avec un tel déficit osseux ) , je veux bien voir cela.

On vois sur le scan l'usure de la face palatine des centrales à cause de la supra. (Donc bridge colle impossible )

Un implant peut il résister à cette occlusion ?

Qui le ferais ( en supposant que l'on ai un gros volume osseux ) en gardant la même occlusion ?


1309531 ours brun n5iukf - Eugenol
seespan

14/11/2013 à 14h37

Des déficits osseux gingivaux et paro recréer par mouvement ortho ou je doit pouvoir vous trouver ça.

Sinon si ca vous fait peur, vous pouver aussi faire une greffer puis faire migrer la dent choisie dans la greffer pour stabiliser le grefferon. La stabilité sera nettement meilleur qu'une solution greffe et implant dans la greffe.idem publication si ça vous intéresse.

Pour la supra il faudrait déjà savoir si c'est les incisif sup qui sont trop basse ou les inf qui sont trops haute.

Une photo du sourire aiderais.

Si il faut lever les incivise sup, une mécanique adapté peut permette de faire une intrusion associé a un torque palatin de la racine.
Mais si vous utiliser juste une force intrusive vous risquer en effet de faire du dégât :-)

Pour les publications je rentre a Bangkok demain donc ça devra attendre samedi.
--
หมอจัดฟัน


Icon poker h4nm2d - Eugenol
jeff

14/11/2013 à 15h00

La supra est mixte. On est en cl 2.2 . On voit que les incisives sup sont egressées par rapport au plan d'occlusion des pm et molaires. Il y a eu égression des incisives mandibulaire par absence de calage à cause de la cl 2 .

J'avoue ne pas avoir fait de bilan en vue ODF.

Au niveau biomécanique, si on applique une force d'ingression pure F sur un boitier vestibulaire, on crée un couple de rotation autour du centre de résistance CR de la dent. Ce qui provoque version vestibulaire coronaire F1 et palatine de l'apex F2.

Si tu bloques la version F1=0 en pliant par exemple le fil en distal des tubes molaires, on obtient alors une ingression et déplacement palatin de l'apex.

Pas besoin de mettre du torque dans le fil.

( je peux me tromper, c'est les restes de biomécanique de la fac pour omni ! ).

Mais, pour l'instant, j'ai surtout besoin de l'avis d'implanto : pas d'implant si pas d'ODF ?

Photo 1  uirap9 - Eugenol

Icon poker h4nm2d - Eugenol
jeff

15/11/2013 à 14h28

tout le monde est en vacances ?

A part pluton et seepan qui ont des avis ODF, que faite vous, en tant qu'implanto si ce patient vient chez vous ?


Photo pluton1b h9n4ea - Eugenol
pluton

15/11/2013 à 15h44

jeff, sauf à lever un peu ta supra, amha tu vas au casse pipe...

donc, soit odf...
soit tu surélèves en postérieur...avec des couronnes sur les dents à couronner (ou des refaire les restaurations prothétiques anciennes...) et/ou des inlays/onlays sur collés sur les dents saines...

çà n'est qu'un conseil...tu en fais ce que tu veux ensuite...


Casque beotien a3jo39 - Eugenol
beotien

15/11/2013 à 16h47

chaque cas est différent mais .....
eii rx control faite par confrère à 1an1/2

pas si mal pour un implant léone :-)

ta dent est out alors perso je fais

Dsc 0049 lzwzgd - Eugenol
Le v52chj - Eugenol
Le1 tgo8ej - Eugenol

01 ukhwbq - Eugenol
ʎqqoq

15/11/2013 à 17h30

C'est quoi comme FM, une 360 ou un classique?
Quand je fais des retros de contrôle avec des FM 360, ça n'a pas le même aspect.


Amibien

15/11/2013 à 18h04

lever la supracclusion, la bonne blague... il faut faire avec...


Icon poker h4nm2d - Eugenol
jeff

15/11/2013 à 20h16

Et a part la supra, la jonction avec le canal naso palatin ne gene personne pour la reconstruction osseuse ?


Titof2000

15/11/2013 à 21h10

De toute façon il te faudra faire au moins en deux temps non?

La supra est la cause de pb, donc faut trouver un moyen de résoudre. Un moyen serait d'extraire la 21 faire ROG du mieux possible pour retrouver un peu d'os ou alors faire une greffe. Ensuite faire une PPA qui ferait office de provisoire et en même temps de plaque de surélévation antérieure. Au bout de quelques mois lorsque tu poseras ton implant, tu auras une désocclusion antérieure provoqué essentiellement par l'égression des molaires. C'est un compromis, mais on ne fait que du compromis...


Capture ddc6bm - Eugenol
sumble

15/11/2013 à 22h47

Un autre avis.

Pour moi la bouche est dysfonctionnelle. Évidente supraclusion mais pas seulement.
La déviation de la mandibule à gauche signe une mastication unilatérale à gauche. Si tu as une pano on verra le condyle gauche plus volumineux. Ce qui explique pourquoi 21 et pas 11.
Avec une dysfonction de la mastication, on a forcement dysfonction de la déglutition et de la ventilation nasale.
Je ne saurai pas gérer ce cas sans équilibrer la bouche: travail d'orthodontie fonctionnelle et prothétique. Sans changement de la bouche comment éviter à l'implant le même sort que cette dent naturelle saine?

Concernant la gestion de 21... et la situation de la ligne du sourire?


Android jyzura - Eugenol
Tavéca

16/11/2013 à 00h12

sumble écrivait:
----------------
> Un autre avis.
>
> Pour moi la bouche est dysfonctionnelle. Évidente supraclusion mais pas
> seulement.
> La déviation de la mandibule à gauche signe une mastication unilatérale à
> gauche. Si tu as une pano on verra le condyle gauche plus volumineux. Ce qui
> explique pourquoi 21 et pas 11.
> Avec une dysfonction de la mastication, on a forcement dysfonction de la
> déglutition et de la ventilation nasale.
> Je ne saurai pas gérer ce cas sans équilibrer la bouche: travail d'orthodontie
> fonctionnelle et prothétique.

Suis nul en ortho, mais je comprends pas tres bien pourquoi tout mes patients en classe 2 div.2 non pas de souci sur les incisives, et pourquoi ce patient a uniquement un probleme sur la 21 cause de l'occlusion?

>Sans changement de la bouche comment éviter à l'implant le même sort que cette dent naturelle saine?

La réaction d'un implant osteointégré est donc la meme qu'une dent avec un desmodonte?


Android jyzura - Eugenol
Tavéca

16/11/2013 à 00h14

jeff écrivait:
--------------
> Et a part la supra, la jonction avec le canal naso palatin ne gene personne pour
> la reconstruction osseuse ?

pas moi.


Android jyzura - Eugenol
Tavéca

16/11/2013 à 00h21

seespan écrivait:
-----------------
> Des déficits osseux gingivaux et paro recréer par mouvement ortho ou je doit
> pouvoir vous trouver ça.
>
> Sinon si ca vous fait peur, vous pouver aussi faire une greffer puis faire
> migrer la dent choisie dans la greffer pour stabiliser le grefferon. La
> stabilité sera nettement meilleur qu'une solution greffe et implant dans la
> greffe.idem publication si ça vous intéresse.
>
> Pour la supra il faudrait déjà savoir si c'est les incisif sup qui sont trop
> basse ou les inf qui sont trops haute.
>
> Une photo du sourire aiderais.
>
> Si il faut lever les incivise sup, une mécanique adapté peut permette de faire
> une intrusion associé a un torque palatin de la racine.
> Mais si vous utiliser juste une force intrusive vous risquer en effet de faire
> du dégât :-)
>
> Pour les publications je rentre a Bangkok demain donc ça devra attendre samedi.
> --
> หมอจัดฟัน

Les publications c'est sympa c'est sûr mais la vrai vie au cab avec des patients c'est mieux.
On te parle cas clinique, tu réponds études. C'est pas la même langue.


RépondreCiter
1309531 ours brun n5iukf - Eugenol
seespan

16/11/2013 à 03h53


> Les publications c'est sympa c'est sûr mais la vrai vie au cab avec des patients
> c'est mieux.
> On te parle cas clinique, tu réponds études. C'est pas la même langue.
>

A la question : En cas de déficite osseux majeur au niveau de la 21 nécessitant sont extraction que se passe t'il au niveau esthétique et fonctionnelle si :

- l'on procède a une greffe osseuse mise en place d'un implant
- l'on procède a une traction orthodontique d'une des dent bordant l'édentement dans la zone de perte osseuse
- l'on procède a une greffe osseuse puis traction d'une des dents bordant d'édentement dans la zone de greffe.

Soit tu a une grosse expérience de ce type de cas, ce qui est peut probable car ce n'est pas fréquent, soit tu regarde ce qui a était publié sur le sujet pour avoir une idée de ce que donne les différentes option.

Au passage quand mes prof parle d'un cas clinique il s'appuis toujours sur des référence bibliographique. Et généralement plus ils sont bon plus ils connaissaient la littérature. Je constate que c'est aussi la même chose avec pas mal d'implanto et paro .
Va faire un tour sur le site de growler et tu vas voir que bien que le niveau des intervenants soit excellent ils ne se prive pas de citer des références et a se partager des publication sur différents sujet.


--
หมอจัดฟัน


Capture ddc6bm - Eugenol
sumble

16/11/2013 à 12h35

Tavéca écrivait:
----------------
> sumble écrivait:
> ----------------
>(...)
> Suis nul en ortho, mais je comprends pas tres bien pourquoi tout mes patients en
> classe 2 div.2 non pas de souci sur les incisives, et pourquoi ce patient a
> uniquement un probleme sur la 21 cause de l'occlusion?
>

Je ne suis pas ortho, ni occluso.

Classe II-2, ça ne signifie pas que les contacts lors des latéralités soient identiques d'un cas à l'autre. Le fonctionnement d'une bouche s'analyse en mouvement, en latéralité, ce qui permet d'analyser la fonction mastication.
L'usure de 41 est quand même remarquable, non? Quand je vois cette bouche je l'imagine en mouvement: d'abord contact 21 avec inc mand, surtout 41, puis glissement jusqu'à l'OIM. Et elle a fonctionné comme ça toute sa vie.


> >Sans changement de la bouche comment éviter à l'implant le même sort que cette
> dent naturelle saine?
>
> La réaction d'un implant osteointégré est donc la meme qu'une dent avec un
> desmodonte?

Bien sûr que non! Une dent saine avec un tel problème = facteur de RISQUE assez élevé. Quand j'écris implant, ça implique ce qui va avec... La complication la plus probable n'est sans doute pas la désostéointégration mais risques de: casse de la céram, dévissage/fracture de la vis, fracture du col implantaire et à +/- long terme péri-implantite.
Et au delà de la seule 21 remplacée par implant, donc plus "solide", c'est la réaction des antagonistes à terme qui est aussi à prendre en compte.


Icon poker h4nm2d - Eugenol
jeff

13/12/2013 à 15h43

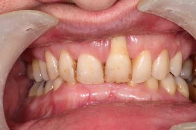
Je reviens sur ce cas, il va falloir que je lui fasse un plan de traitement correct.

Autre piste : ext des 4 incisives et bridge sur implants 12 22. ttt ortho -chir...

quelques nouvelles photos :

Malbarr 2 lrq3im - Eugenol
Malbarr 1 vn0wm5 - Eugenol

Capture ddc6bm - Eugenol
sumble

13/12/2013 à 16h45

Tout fraîchement formé, je n'ai pas encore mes propres cas à montrer. Cependant pour moi ce cas est "facile". Pas de chirurgie ortho, pas de brackets. "Facile" parce que je vois le problème, je vois où aller et comment y aller.

La bouche n'est pas équilibrée.

Quel est le problème?
Principe universel de forme et fonction. La fonction crée la forme, la forme entretien la fonction.
Le développement du SSG est sous la dépendance des fonctions: mastication, déglutition et ventilation nasale.
L'étiologie de toutes les dysmorphoses, ce sont les dysfonctions. La génétique doit rester à sa place: la génétique propose, l'environnement dispose.
La dysmorphose de ton patient a pour cause les dysfonctions. La dysmorphose entretien les dysfonctions. Fait les latéralités et tu verra l'AFMP gauche plus petit que le droit, signe de la dysfonction mastication (+forte probabilité du condyle G plus développé que le D). Automatiquement déglutition et ventilation nasale sont dysfonctionnelles.

La solution?
Travail sur la forme ET les fonctions du SSG.
Fonction: rééducation des 3 fonctions.
Forme: lever la supra, recentrer au mieux les freins, stimuler la mastication à D par un AFMP plus petit...
Durée du traitement 3 à 4 ans. Résultat sur le long terme, bien être pour le patient dès les premières semaines du traitement.

Voilà un autre avis, radicalement différent. Il y a même pas 2 ans j'ignorais complètement l'existence de cette méthode. Quand tu vois les cas des confrères d'horizons différents, te montrer des résultats incroyables, je te garanti que ça fait réfléchir.
Après, si tu veux rester sur la voie conventionnelle avec au bout 70% de chances de récidives...

http://www.osb-formation.fr/dimension-verticale/marie-france-77.html


Icon poker h4nm2d - Eugenol
jeff

13/12/2013 à 20h14

j'ai fait deux ans avec jean-françois et rodrigues, mis des tonnes d'activateur, motivé les patients a faire leur exo, avec le logiciel de cohérence cardiaque, ai moi-meme été en traitement avec jean-françois. Puis quand mon devis pour 5 ans est passé de 35000 a 7 ans et 80K, j'ai dis stop !

je n'en mets plus que pour les supra comme ce cas, mais chez l'enfant.

Alors, certe de bon resultat avec cette technique, mais beaucoup de dechet aussi. Pas assez reproductible a mon avis.

( DSL Algi ! )


1309531 ours brun n5iukf - Eugenol
seespan

14/12/2013 à 02h34

Désoler un peut (beaucoup) bousculer sur Bangkok c'est temps si, sans parler des manifs.

Pour la partie ortho je vais laisser intervenir Dancha vue la céphalo il devrait pas tarder :-) .

Pour l'incisives j'ai cherché des publication sur le théme faire migré une dent dans une greffe osseuse mais pour l'instant c'est principalement des études animales. Rien de vraiment concluant pour l'instant.

Problème pour faire migré l'incisive dans le défaut ça va sensiblement rallonger le plan de traitement.
Le résultat esthètique devrait ( devrait car je n'ais pas trouvé de cas équivalent dans la littérature) être meilleur qu'avec une option greffe implant, mais je ne tenterais pas a moins d'avoir une très forte motivation chez le patient.

Ici définir le plan de traitement ODF puis voir pour greffe + implant sur 21.

AU fait 21 est vital oui ou non ?
--
หมอจัดฟัน