Cookie Consent byPrivacyPolicies.comLes données acquises de la science - Eugenol

Les données acquises de la science

chipoundine

25/11/2013 à 23h58

J'ai écouté les réponses des dirigeants syndicaux, face aux différents médias et j'avoue être consterné par ce que j'entend....On nous rabbache toujours la même chose, mais ce que je constate c'est que tout le monde est à côté de la plaque..

Lorsque 60 MDC ouvre le débat sur le SC33/SPR57 et les dérives tarifaires, AUCUN, je dis bien , AUCUN de nos dirigeants n'a parlé des techniques de reconstitutions adhésives (ONLAYS ou ENDOCOURONNE) et bien sur de leur non remboursement, qui semblent pourtant être LA bonne alternative, en ce qui concerne la restauration d'une dent dépulpée.

C'est tout de même magnifique, nous sommes quasiment en 2014 , et on arrive à faire croire à tout le monde, y compris aux denstistes eux mêmes, qu'en rasant une dent et en y foutant un clou dans la racine on consolide une dent!!! le GOLD STANDARD quoi !


J'ai eu la chance d'avoir suivi des formations par un dentiste français expatrié en suisse, savez vous combien pose-t-il de couronnes par an ?? réponse 0....Je peux vous dire que lorsqu'on sort d'un cycle de formation avec des praticiens d'une telle envergure, on n'en sort pas indemne......A geneve cela fait 10 ans qu'on apprend aux étudiants à restaurer les dents par les techniques adhésives , et nous on se pose la question s'il faut faire des reconstitutions coronoradiculaires foulées ou coulées......

La sécu a peut-être 30 ans de retard , mais nous, dentistes, avons oublié de prendre le train en marche semble-t-il...., AH c'est vrai on est en france, nous sommes les plus forts du monde comme toujours.

Il semble vraiment que les données acquises de la science ne soient pas les mêmes partout!


Capture d  cran 2015 03 12 12.28 - Eugenol
chicot29

26/11/2013 à 00h31

Tu te fais du mal en faisant des formations continue en dentisterie adhésive. en France pays du "bien vivre ensemble" on ne rembourse qu'une dentisterie obsolète et en plus on se plaint de dépassements sur des bases de remboursement vieilles de 25 ans.


Grueavatar nptrc9 - Eugenol
Le Choixpeau magique

26/11/2013 à 00h38

chipoundine écrivait:
---------------------
> reconstitutions adhésives (ONLAYS ou ENDOCOURONNE)

Cher Confrères, comme vous parlez de données acquises de la science, connaissez vous les études qui montrent la supériorité des techniques que vous citez, notamment l'endocouronne, sur les autres ?


> J'ai eu la chance d'avoir suivi des formations par un dentiste français expatrié
> en suisse

Il est expatrié en Suisse, mais il est obligé de faire le tour de France avec ses formations. Il n'y a rien qui vous dérange ?

> Il semble vraiment que les données acquises de la science ne soient pas les
> mêmes partout!

Ma question vaut toujours !


chipoundine

26/11/2013 à 00h45

Non,au contraire, je me sers justement de ça pour "m'extraire du système" avant qu'il ne soit trop tard....le temps est compté désormais....mais les patients comprennent et apprennent vite .Ils préfèrent sortir 300 euros pour un inlay que pour une CCM et ça , ça fait du bien. Les patients sont moins C.. que la médiocre gauche journaleuse parisienne écervelée.


Marque a3 orange fyvhyq - Eugenol
Marc Apap

26/11/2013 à 00h49

C'est certes vrai, mais prendre pour argent content ce que raconte les dentistes expatriés en Suisse n'est pas non plus une chose très saine. La plupart des ces conférenciers sont mus par leur enthousiasme et sont là pour promouvoir leur travail. Si l'on gratte un peu, on constate très vite les limites de leur discours. C'est loin, malgré ce qu'ils racontent, de constituer "les données acquises de la science". Le recul sur ce type de restauration n'est pas énorme.
Si les restaurations sur dents vivantes appellent peu de critiques (hormis le fait que leur que leur mise en oeuvre est plus exigeante que le scellement d'une couronne), les endocouronnes ont des indications extrêmement limitées.
En toute chose, mieux vaut rester modéré. Il faut pour proposer une dentisterie de ce niveau, que tout soit à l'avenant, non seulement au niveau du dentiste (et de la rigueur qui va avec) mais du prothésiste et cela reste aujourd'hui un peu difficile à développer sur une grande échelle.


chipoundine

26/11/2013 à 00h52

Le Choixpeau magique écrivait:
------------------------------
> chipoundine écrivait:
> ---------------------
> > reconstitutions adhésives (ONLAYS ou ENDOCOURONNE)
>
> Cher Confrères, comme vous parlez de données acquises de la science, connaissez
> vous les études qui montrent la supériorité des techniques que vous citez,
> notamment l'endocouronne, sur les autres ?


Non mais je préfère recoller un inlay qu'extraire une dent fracturée

>
>
> > J'ai eu la chance d'avoir suivi des formations par un dentiste français
> expatrié
> > en suisse
>
> Il est expatrié en Suisse, mais il est obligé de faire le tour de France avec
> ses formations. Il n'y a rien qui vous dérange ?

Non absolument pas ! il m'a fait re-aimer la dentisterie

>
> > Il semble vraiment que les données acquises de la science ne soient pas les
> > mêmes partout!
>
> Ma question vaut toujours !


levm

26/11/2013 à 01h01

chipoundine écrivait:
---------------------
> Non,au contraire, je me sers justement de ça pour "m'extraire du système" avant
> qu'il ne soit trop tard....le temps est compté désormais....mais les patients
> comprennent et apprennent vite .Ils préfèrent sortir 300 euros pour un inlay
> que pour une CCM et ça , ça fait du bien. Les patients sont moins C.. que la
> médiocre gauche journaleuse parisienne écervelée.

Vrai et faux à la fois .
J'ai la chance d exercer dans un bon quartier de paris et en proche banlieue .
A paris dans ces quartiers , globalement il y a une ou 2 dents à soigner tout au plus .
300 euros sur une dents , les patients l'acceptent trés bien

En proche banlieue, je soigne la classe moyenne avec beaucoup de gens salariés.
L'équation est simple :
-CCM+ tenon fibré = reste à charge sur sur la CCM= Refus du patient avec CA correct.
-Inlay sur dent dépulpée = reste à charge important et CA diviser par 2 .
-Inlay core + CCM= acceptation du devis et reste à charge moindre.

J'avoue que c est frustrant... mais la dentisterie adhésive n'est réservée qu'à une patientèle bourgeoise.
Je serai le premier ravi de savoir que l'argent injecté pour la CMU et l'AME serve aux contribuables francais et à une VRAIE revalorisation des soins .

On est pleine période de l'ADF...
La nouvelle tendance est de faire du composite en palatin et des facettes en vestibulaires .C'est sensé être le "gold standard" du moment .
Quel patient de la classe moyenne va payer 2 fois (une pour le coté vestibulaire et une pour le coté palatin) pour une dent , soyons franc ?


chipoundine

26/11/2013 à 01h13

levm écrivait:
--------------
> chipoundine écrivait:
> ---------------------
> > Non,au contraire, je me sers justement de ça pour "m'extraire du système"
> avant
> > qu'il ne soit trop tard....le temps est compté désormais....mais les patients
> > comprennent et apprennent vite .Ils préfèrent sortir 300 euros pour un inlay
> > que pour une CCM et ça , ça fait du bien. Les patients sont moins C.. que la
> > médiocre gauche journaleuse parisienne écervelée.
>
> Vrai et faux à la fois .
> J'ai la chance d exercer dans un bon quartier de paris et en proche banlieue .
> A paris dans ces quartiers , globalement il y a une ou 2 dents à soigner tout au
> plus .
> 300 euros sur une dents , les patients l'acceptent trés bien
>
> En proche banlieue, je soigne la classe moyenne avec beaucoup de gens salariés.
> L'équation est simple :
> -CCM+ tenon fibré = reste à charge sur sur la CCM= Refus du patient avec CA
> correct.
> -Inlay sur dent dépulpé = reste à charge important et CA diviser par 2 .
> -Inlay core + CCM= acceptation du devis et reste à charge moindre.
>
> J'avoue que c est frustrant... mais la dentisterie adhésive n'est réservée qu'à
> une patientèle bourgeoise.
> Je serai le premier ravi de savoir que l'argent injecté pour la CMU et l'AME
> serve aux contribuables francais et à une VRAI revalorisation des soins .
>


Ok bien sur on est d'accord sur ce point, moi aussi j'ai des charges à payer et des bouches à nourrir !!!!!

je ne crache pas dans la soupe , je dis que nos décisions thérapeutiques sont totalement biaisées par le système.


La question que je pose est : si tu fais une endo sur 46 sur ta mère, quel que soit le nombre de parois résiduelles quel type de reconstitution va tu réaliser ?


levm

26/11/2013 à 01h26

Sur ma mere ,je fais ce qu'il y a de mieux et de moins délabrant bien entendu.
Mais occulter des impératifs financiers est utopique.
Sinon tous les porteurs de PAC auraient des bridges complets sur implants par exemple.

Après pour être tout à fait franc, la dentisterie adhésive c'est surement bien .
Mais quand on voit qu'une couronne peut tenir en bouche des dizaines d'années sans bouger , ca ne me dérangerait pas que l'on fasse une couronne à ma mère tant que ce n'est pas baclé.



Nouveau image bitmap fz77zh - Eugenol
Sethef

26/11/2013 à 02h14

Je ne fais pas une endo sur 46 sur ma mère, elle va chez l'exclusif.


Bebe 038 nf8eum - Eugenol
danteyeah

26/11/2013 à 02h31

chipoundine écrivait:
---------------------
>
> La question que je pose est : si tu fais une endo sur 46 sur ta mère, quel que
> soit le nombre de parois résiduelles quel type de reconstitution va tu réaliser
> ?


La reconstitution que le petit (à sa maman) maîtrise le mieux: c'est simplement donner le meilleur de soi, et pour une grande majorité de praticien ça ne passe pas par l'adhésive, et choixpeau pourra te fournir une liste longue comme le bras d'étude validant le bon pronostic de réhabilitation non adhésive.

Pour moi aussi la dentisterie collée à été le passage obligé pour me re passionner pour mon métier. Puis bien formé on aime à croire que c'est la seule voie possible vers une dentisterie de qualité.
Je crois que cela n'est vrai que dans le contexte d'une prise en charge adhésive initiale et donc grâce a du dépistage précoce et de la micro-dentisterie. On en est bien loin en France, et tant que la nomenclature ne privilégiera pas cette dentisterie ( rénumeration de la prévention ), il est illusoire de vouloir changer de paradigme.

Le mieux que l'on puisse faire est d'augmenter la qualité de son travail en améliorant au maximum la maîtrise de techniques conventionnels et éprouvées de réhabilitation (la encore je suis certains que Choixp te dénichera la biblio adéquate), et d'y ajouter, selon sa conscience, ses connaissances en prévention et en adhésion, pour éviter d'avoir toujours à délabrer plus. Malheureusement du fait de notre nomenclature et du plafonnement des actes de dentisterie conservatrice (qui porte bien son nom), cette démarche est coûteuse au praticien, et ne peut être réclamée au patient ou à la collectivité. Il est alors illusoire de penser qu'une majorité de dentiste français puissent simplement mettre en péril leur entreprise pour se "convertir" au collage et à la prévention.
A nous ( ou plutôt à nos "gourous" leader d'opinion) de prouver la supériorité de l'éternel rapport qualité/santé/prix à nos politiques de la dentisterie adhésive et préventive.

Petite aparté sur une réflexion de Levm sur "la mode" de réhabilitation couplée palatine (ou linguale) puis vestibulaire, soit par mix composite/céramique, soit tout céramique par chips et/ou facettes dont il a pu entendre beaucoup de bien (et à raison) lors de conférence "up to date": les propositions de ces traitements ont quasi systématiquement toujours la même indication, à savoir le traitement de l'érosion dentaire (abrasion, abfraction), et donc une réhabilitation avec préparation à minima la moins invasive possible, qui perd une partie de son sens lors de pathologie carieuse délabrante.


P2eqdh3csim6s7nb09ktdq3e7ev8 - Eugenol
barbabapat

26/11/2013 à 09h48

La dentisterie adhesive est bien mais il est bon de se rappeller quand meme les résultats lors des batailles de l'adhesion de Degrange.

Deuxiemement, j'ai adoré quand un representant pour me vanter son nouveau systeme de resine pour tenon fibré, m'a dit que contrairement à l'ancien la polymerisation complete se faisait cette fois si au dela de 5mm d'epaisseur.

Donc entre les chiffres labo, les chiffres chez des praticiens confirmés qui ont accès au DP et les chiffres en dentisterie de ville; on a des diffrences qui doivent etre prise en compte lorsque l'on compare des techniques.

Enfin, pour une mise en oeuvre correcte d'une reconstitution fibrée, le SC33 qui à été calculé pour l'amalgame scew post ne fonctionne pas.

On passerait en tout fibré, on serait obligés d'augmenter les tarifs des couronnes pour tenir le choc financier.

Donc, oui la dentisterie adhesive à un avenir si la sécu accepte qu'elle est plus difficile à mettre en oeuvre que les amalgames et si on arrete de vouloir generaliser des techniques juste par delire financier de la sécu.

Hier, on avait les mechants onlay face aux gentils amalgames.

Aujourd'hui, on nous joue les mechants inlay cores contre les gentils tenon fibrés.

Hors la réalité est bcp plus dans le compromis et l'application de la bonne technique chez le bon patient que dans des generalisations de techniques n'importe comment dans n'importe quelles conditions de mise en oeuvre.


chipoundine

26/11/2013 à 09h53

Nous ne parlons pas de la meme chose... Dans la plupart des cas l utilisation d un tenon , meme fibre ne sert a rien!


Grueavatar nptrc9 - Eugenol
Le Choixpeau magique

26/11/2013 à 10h01

chipoundine écrivait:
---------------------
> La question que je pose est : si tu fais une endo sur 46 sur ta mère, quel que
> soit le nombre de parois résiduelles quel type de reconstitution va tu réaliser
> ?

Sûrement pas une endo couronne !
Sur dentaltown, au début des années 2000, c'était la folie avec les endocouronnes, tout le monde trouvait ça super (les américains sont très équipés en Cerec). Et puis on a vu apparaître quelques voix discordantes pour dire qu'il y avait pas mal de fractures irrécupérables des dents... Bien sûr comme toujours, la réaction première de beaucoup de gens qui en avaient fait trois était de dire "non, ça ne m'est jamais arrivé, ça marche très bien". Et comme toujours également, c'est assez plaisant de trouver trois ans plus tard les avis de ces mêmes personnes pour dire qu'ils n'en faisaient plus.
Aucun intérêt à faire une endocouronne, c'est une ineptie.


P2eqdh3csim6s7nb09ktdq3e7ev8 - Eugenol
barbabapat

26/11/2013 à 10h06

chipoundine écrivait:
---------------------
> Nous ne parlons pas de la meme chose... Dans la plupart des cas l utilisation d
> un tenon , meme fibre ne sert a rien!

je dis juste qu'il faut faire attention aussi lorsque l'on parle de generaliser des techniques.

Tu as des variabilités entre les praticiens, et meme chez un praticien, certaines techniques auront plus de variabilité que d'autres.


Enfin, on parle du tenon fibré contre l'inlay core que sur le theme du tarif. Aux endo couronnes, on te retorquera dans la presse qu'un gros CVI fait le meme travail pour le tarif sécu.


Utilisateur banni

26/11/2013 à 10h42

C'est quoi cet argumentaire à deux balles!!! Du collé reste du collé, une couronne allie normalement friction et scellement/collage donc meilleure efficacité de tenue. Quand aux restaurations collées commencez par les faire en compo avant de foncer sur onlay, endocouronne ... J'ai bien souvent de très bon résultat sur de très grosses restauration en compo, cependant il reste les défauts inhérents au collage, délamination notamment, qui à mon sens est moins emmerdante pour le patient que le décollement complet de son onlay. Donc en résumé la durée de vie de la majorité des restaurations compo est bien satisfaisante et remplit sa fonction quelques années, pour un coût moindre pour le patient, pourquoi voudrait-il alors investir dans l'onlay? Par ailleurs lorsqu'une casse intervient trop rapidement ou que la morpho donnée n'est pas satisfaisante une couronne pourra être indiquée. Pour ceux qui s'imagine une couronne comme hyper mutilante je rappelle qu'en secteur postérieur sous peu que l'on accepte des couronnes mono composant les épaisseurs de taille sont à minima : 0.7mm en périphérique et maxi 1.5 en occlusal. Je n'ai pas l'impression par la sorte de provoquer une perte de chance. Autre problème des collages partiels, les préparations sont elles aussi mutilantes car il faut s'assurer d'éliminer toutes zones trop fragiles ou dont la jonction avec la restauration tomberait en occlusion, bref il y a souvent à fraiser pas mal aussi.
Dans ce contexte l'indication des ces restaurations partielle collées sont confidentielles, et doivent être utiliser pour des cas bien précis.
Quand aux fractures on ne me fera pas avaler qu'un inlay core provoque plus de fracture qu'une endocouronne ou un onlay s'il est bien construit et penser. En respectant quelques règles de mécaniques et la situation en bouche on peut très bien s'en sortir. Je ne dis pas que je ne serais jamais emmerdé mais à ce jour les fractures due à l'insertion d'un système dans la racine sont très rares. Simplement lorsque je crains pour la solidité de la racine j'opte pour le SC33 un excès de force aura tendance à le décoller plutôt que casser la racine.
BREF la clinique, les qualités du praticien, celles des matériaux, et surtout l'EXPERIENCE détermine la thérapeutique.


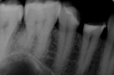
chipoundine

26/11/2013 à 15h41

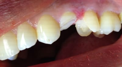
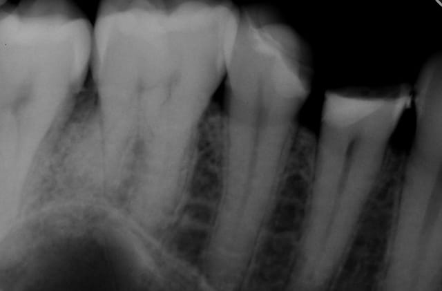
Alors comment traiteriez vous cette 24 asymptotique, qui présente un enorme délabrement sous gingival , notez que l'émail n'est plus soutenu par la dentine à aucun endroit ?

Sedd 1 nrugyk - Eugenol

pontdemail

26/11/2013 à 15h53

chipoundine écrivait:
---------------------
> Alors comment traiteriez vous cette 24 asymptotique, qui présente un enorme
> délabrement sous gingival , notez que l'émail n'est plus soutenu par la dentine
> à aucun endroit ?

TE + inlay-core + couronne si on veut une reconstitution pérenne ...impossible de coller un inlay au sec...


King lcqqit - Eugenol
King of PAP

26/11/2013 à 15h58

chipoundine écrivait:
---------------------
> Alors comment traiteriez vous cette 24 asymptotique, qui présente un enorme
> délabrement sous gingival , notez que l'émail n'est plus soutenu par la dentine
> à aucun endroit ?
Coiffage direct à la Biodentine (ou MTA), remontée de marge au compo et onlay emax. Pas d'endo si pas de symptomes.
L'esssentiel est de faire ce que l'on sait faire et ce à quoi on croit.


Avatar transparent iqadnc - Eugenol
adhoc

26/11/2013 à 16h46

>Hors la réalité est bcp plus dans le compromis et l'application de la bonne technique chez le bon patient que dans des generalisations de techniques n'importe comment dans n'importe quelles conditions de mise en oeuvre.<

Tout est dit ici. Les nouvelles données acquises d'une science n'excluent pas forcément les anciennes, mais peuvent s'y juxtaposer.


Bebe 038 nf8eum - Eugenol
danteyeah

26/11/2013 à 17h30

pontdemail écrivait:
--------------------
>
> TE + inlay-core + couronne si on veut une reconstitution pérenne ...impossible
> de coller un inlay au sec..

Impossible? En fait non, comme l'a écrit King: remonté de marche: soit une séance de composite, avec gestion tissus mous (un laser diode peut s'avérer utile).
Tiens en aparté (encore), pour Tirlet et Atal, la gestion de l'espace biologique est plus simple dans le cas d'une remontée de marche (contact plus restreint avec le parodonte), qu'avec une couronne (contact important avec le parodonte), ce qui augmente encore ainsi les avantages octroyés aux techniques collées.
Vu la proximité de la cavité et de la pulpe sur 5, une restauration directe composite me semble plus sage et simple car accès direct, pour la 4: remontée+ onlay (hémi couronne, c'est plus joli).
Reste que pour gagner sa vie avec notre nomenclature dans cette configuration le reste à charge pour le patient risque d'être énorme par rapport au trio TE/RC/CCM.
A nous de faire comprendre à notre patientèle ainsi qu'à nos élus l'intérêt d'une telle dentisterie. Il semblerait que Cingulum ait certaines réponses dans ces confs.


01 ukhwbq - Eugenol
ʎqqoq

26/11/2013 à 17h47

Dès lors que se pose la question d'empiéter ou non sur l'espace biologique, c'est rarement favorable pour coller à mon sens.
La principale chose à prendre en compte dans ce cas, c'est le contexte. Pour moi, il est défavorable, donc TR+IC+CR.


chipoundine

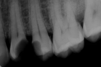
26/11/2013 à 22h12

Bonne réponse pour KING !!! pas de symptômes / pas d'endo !

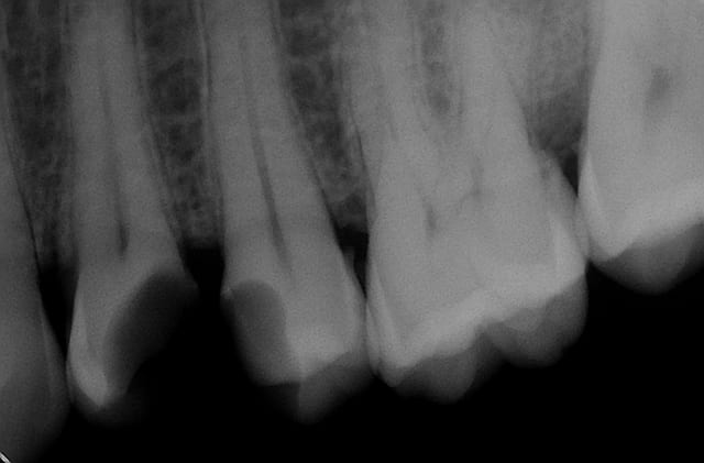
1ère séance remontées de la marche distale au compo flow + compo de restauration / réalisation d'un IDS , le tout sous digue bien sur (voir radio jointe , désolé à l'envers))

Pas de coiffage, j'ai juste fais attention à ne pas trop mordancer la dentine ( 10 s max).

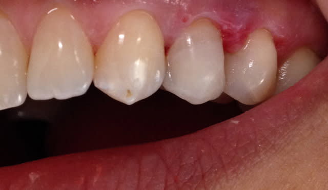
Patiente revue ce matin aucunes douleurs , mise à part au niveau de la papille entre 24 et 25 qui s'est enflammée à cause du Telio ( ça le fais à chaques fois).

Je vous met les photos de la pose de ce matin, par contre désolé pour les puristes , mais photos faites avec un iphone....

Sedd 2 ntfigk - Eugenol

Utilisateur banni

26/11/2013 à 22h20

Pour ma part ce cas serait éviction à la curette si proxi pulpaire in vitro forte, acide polyacrylique 10 à 15s idem rinçage, cvi pour la part sous gingivale et flow+hybride+macro comme compo. Si casse --> provisoire sur dent vivante temporisation de quelques mois, si ok couronne.


chipoundine

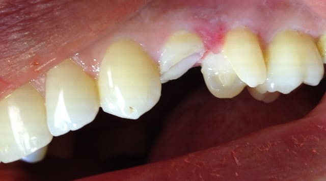
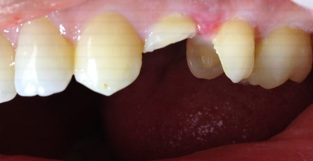
26/11/2013 à 22h49

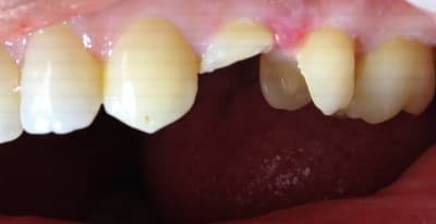
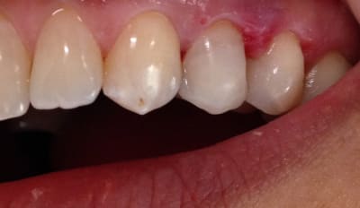
Voici les photos toutes fraiches de ce matin.

Vos critiques sont bien sur les bienvenues je dois encore beaucoup m'améliorer sur les prises de teintes, et je m'y attelle en ce moment,, par contre en ce qui concerne la pérennité de la restauration…..ma patiente a sa dent bien vivante, aucun joint sous gingival , possibilité de réaliser une endo dans le futur sans détruire la restauration existante si besoin, possibilité re refaire un onlay dans quelques années si ça casse, toujours sur dent vivante…. bref la liste des avantages est très longue par rapport au classique endo-IC-CCM.

Img 0426 c6ztp6 - Eugenol
Img 0425 pkg13y - Eugenol
Img 0428 nsvsgr - Eugenol
Img 0430 xurifa - Eugenol
Img 0431 h6ydmr - Eugenol
Img 0433 n44qgf - Eugenol
Img 0434 rnu7ea - Eugenol
Img 0435 jbbbuz - Eugenol
Img 0438 anqgdn - Eugenol
Img 0439 dpwwwb - Eugenol
Img 0441 kuncu9 - Eugenol

12...