Cookie Consent byPrivacyPolicies.comEt la suroccl revient, le jour suivant... - Eugenol

Et la suroccl revient, le jour suivant...

Mario ycg44a - Eugenol
Mario180

16/06/2014 à 15h27

Un truc qui me rends taré, j'appelle à l'aide.

Une couronne sur une centrale, avec un faux-moignon fibré réalisé en indirect.

La dentition est complète, sans particularité occlusale, le patient est assidu et se fait suivre depuis longtemps avec régularité.
Particularité : patient bien musclé de la mâchoire, pas spécialement bruxomane, mais éclateurdecéramomane.

Le problème : depuis que j'ai scellé cette centrale il y a plus d'un an, elle se descelle tous les 2 mois environs malgré toutes les technique de scellement/collage employées.

La raison ?

A chaque rescellement (dans les 48 heures grand maxi), il ré-apparaît une surocclusion.

Cela fait 2 fois que je note en gros dans le dossier que pour plus être emmerdé, j'ai supprimé tout point d'occlusion, et le patient reviens une troisième fois.

grrrr j'en ai marre : je ne comprends pas. L'autre centrale est couronnée aussi mais ne moufte pas depuis des années alors qu'elle supporte l'incision pour sa voisine également depuis des mois !!!

A vos idées


6szjws718sv1jksw54v4mpj3a6cu - Eugenol
vulpi

16/06/2014 à 15h57

couronne provisoire à moyen terme, si elle tient il n'y a plus qu'a copier.


Images nv3xcf - Eugenol
au fond du canal

16/06/2014 à 16h07

Mario180 écrivait:
------------------
..." La dentition est complète"...

Sa denture aussi?


zazamouk

16/06/2014 à 16h21

Parafonction style onychophagie sur une seule des centrales?

Contact en propulsion?

Ou alors c'est une fêlure/fracture, pb paro...

Une radio?


Images nv3xcf - Eugenol
au fond du canal

16/06/2014 à 19h08

Sarcasme mis à part, j'ai remarqué avec certains patients qui perdent une coiffe antérieure à répétition (généralement à cause d'un manque de cerclage, d'un tenon trop faible ou des deux), qu'il existe systématiquement une surocclusion au rescellement.
Je pense que la dent s'égresse dans l'intervalle entre la perte de la prothèse et son rescellement.

Mise à part cette constatation solidaire, je n'ai malheureusement pas d'autre solution à proposer que la réfection de la prothèse et la vérification de l'absence de parafonctions sur cette dent qui n'existeraient pas la la voisine.


Mario ycg44a - Eugenol
Mario180

16/06/2014 à 21h11

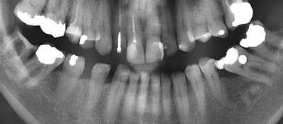
J'ai manqué de temps aujourd'hui pour poster l'iconographie à disposition.

Mon gros souci est que j'ai bien contrôlé les contacts occlusaux même dans des mouvements forcés ou non physiologique comme la propulsion, et absolument tout gommé, et ce à plusieurs reprises.

Le truc est que le surcontact réapparait au rdv suivant, et que l'épaisseur de ma céramique sur zircone n'est pas infinie.

Avez-vous déjà vu une égression de dent unitaire alors qu'elle est réhabilitée ?

La dernière fois le collage a bien fonctionné, et je crois fonctionne toujours, mais là c'est le parodonte qui commence à morfler du fait du retour de la surrocl : au dernière nouvelles, la dent était légèrement plus mobile que ses consoeures (j'ai encore gratté en occlusal).


isaïe

16/06/2014 à 22h46

Une dent à le même statut embryologique que la rétine ou les cellules olfactives. Telle qu'on la connaît, elle s'inscrit dans une évolution qui l'associe étroitement à une modification fondamentale de l'oreille interne et de l'oreille moyenne. Elle participe à une boucle de contrôle de la pression intracrânienne constituée autour de la déglutition, elle est une des clés qui permet enfin de soustraire l'élasticité tissulaire au métabolisme fluctuant du glucose.
On peut bien sûr la considérer comme un Légo qui doit trouver sa place dans une rangée, mais alors il vaut mieux soigner uniquement des reptiles et des poissons.


RépondreCiter
Mario ycg44a - Eugenol
Mario180

16/06/2014 à 22h52

isaïe écrivait:
---------------
> Une dent à le même statut embryologique que la rétine ou les cellules
> olfactives. Telle qu'on la connaît, elle s'inscrit dans une évolution qui
> l'associe étroitement à une modification fondamentale de l'oreille interne et de
> l'oreille moyenne. Elle participe à une boucle de contrôle de la pression
> intracrânienne constituée autour de la déglutition, elle est une des clés qui
> permet enfin de soustraire l'élasticité tissulaire au métabolisme fluctuant du
> glucose.
> On peut bien sûr la considérer comme un Légo qui doit trouver sa place dans une
> rangée, mais alors il vaut mieux soigner uniquement des reptiles et des
> poissons.

Merci pour ton intervention. J'ai cependant un peu de mal à en extraire un conseil.


isaïe

16/06/2014 à 23h10

Tu parles de surocclusion.
Comment fait-on pour savoir si un contact est une surocclusion? Quels critères ?
Ta dent se mettrait en surocclusion volontaire ? Mais par quel phénomène ? Un couloir musculaire étroit ? Un autre moteur de déplacement ?


Mario ycg44a - Eugenol
Mario180

16/06/2014 à 23h18

En OIM ou dans le mouvement d'incision, la dent subit un choc plus important que ses voisines : le papier d'occlusion laisse une marque caractéristique, et le doigt placé sur la face vestibulaire ressent la mobilité de la dent lorsque le contact s'établit avec l'antagoniste.

Le nouveau symptôme qu'est la souffrance parodontale en témoigne.

Et toi, as-tu une réponse à ma question ?


Mario ycg44a - Eugenol
Mario180

16/06/2014 à 23h20

isaïe écrivait:
---------------
>
> Ta dent se mettrait en surocclusion volontaire ? Mais par quel phénomène ? Un
> couloir musculaire étroit ? Un autre moteur de déplacement ?

Ça ne me paraît pas rationnel, mais si j'avais compris, je ne serais pas là à discuter.


isaïe

16/06/2014 à 23h56

Pourquoi ça se passe comme ça?
Ici ex des 46 36. La 37 se couche tandis que la 47 reste en place et les 45, 44 s'offrent une croisière distale.

Ad lvz5c0 - Eugenol

Mario ycg44a - Eugenol
Mario180

16/06/2014 à 23h58

isaïe écrivait:
---------------
> Pourquoi ça se passe comme ça?
> Ici ex des 46 36. La 37 se couche tandis que la 47 reste en place et les 45, 44
> s'offrent une croisière distale.

pourquoi pourquoi ? pourquoi pas parce que ?

Parce que "?" ?


isaïe

17/06/2014 à 09h56

Je n'ai qu'une expérience limitée des traitements sur implants.
Est-ce qu'on rencontre souvent ce phénomène de récidive de "sur-contact" ?


Mario ycg44a - Eugenol
Mario180

17/06/2014 à 10h10

T'es le roi de la question ma parole.

A ma connaissance cela n'arrive jamais sur les dents, mais si sur un plan théorique on supposait que c'était possible, ce serait 2 fois moins probable sur implant car il y a 1 ligament de moins.

Cette question te semble-t-elle pertinente sous un certain angle que j'ai du mal à percevoir ?

D'autres questions M. le dentopsychanalyste ?


Icon poker h4nm2d - Eugenol
jeff

17/06/2014 à 11h56

Quand isaïe pose une question, il a tres souvent la réponse :)

Par contre, il n'est pas facile d'extraire un conseil pratique de cette réponse, comme tu le dit, mario.

Alors, isaïe, un peu de concret ou c'est encore trop tot ;) ?


Mario ycg44a - Eugenol
Mario180

17/06/2014 à 11h59

Oui, c'est bien ce que je veux comprendre.

Mais désolé, j'ai pas le temps de m'allonger ces jours-ci 😃


coca zero

17/06/2014 à 13h08

Si rien de special en occlusal faut voir si niveau paro tout va bien.

Peut être serait il intéressant de refaire une couronne avec des ailettes linguales permettant de solidariser la dent avec les 2 dents contiguës?


coca zero

17/06/2014 à 13h08

Si rien de special en occlusal faut voir si niveau paro tout va bien.

Peut être serait il intéressant de refaire une couronne avec des ailettes linguales permettant de solidariser la dent avec les 2 dents contiguës?


Ylfwcw979cz1jnx9gfqeaxndiuzk - Eugenol
Algi

17/06/2014 à 13h43

Possible que cette dent soit reactive à une information emotionnelle et que, tant que la perturbation "psy" persiste elle se mette systématiquement en suroclusion....

On avait remarqué ce phenomene il y a dejà presque 10ans avec les membres du crroc et de certains de ses intervenants ici presents comme jeff et isaïe.

Bref faudrait tester tout ça et eventuellement apporter la ou les corrections.


--
On a toujours le choix mais entre quoi et quoi?
Vas-y boulégue et l'avenir te le dira!


RépondreCiter
isaïe

17/06/2014 à 14h49

isaïe écrivait:
---------------
> Je n'ai qu'une expérience limitée des traitements sur implants.
> Est-ce qu'on rencontre souvent ce phénomène de récidive de "sur-contact" ?

Des migrations proximales d'implants, ça existe ?

Des conseils pratiques ? Pas possible dans la perspective mécaniste, je ne peux certainement pas faire mieux que toi. Pas plus compétent qu'un autre.

Pas psy no plus, ça me crispe au plus haut point.

La grosse différence avec l'implant, c'est le ligament qui a une ou plusieurs fréquence de résonance.
Dans le bruit de fond électrique, il y a une ou des exagérations de signaux alternatifs qui induisent des modifications d'élasticité, donc de forme, et biochimiques, par mise en résonance exagérée. On peut mesurer.
Analogie mécanique : des balançoires folles. Un seul moyen de les arrêter : les repérer et taper dedans. Ici, électriquement. Sismothérapie, mais douce.
Tant que ces signaux persistent, il va falloir corriger, meuler, coller…

On a le même problème avec les tendons des fibromyalgiques, avec le diaphragme quand on ne respire pas convenablement, avec le sphincer oesophagien inférieur qui ne ferme plus, c'est de l'élasticité qui a changé. Comme une langue qui a perdu son élasticité, inrééduquable.
C'est pas de la chimie, c'est de la physique... électricité.


Images nv3xcf - Eugenol
au fond du canal

17/06/2014 à 18h46

On nage en plein délire, où est la caméra?


Capture ddc6bm - Eugenol
sumble

17/06/2014 à 19h09

Mouai... réduire le problème à simplement de l'electro-physiologie je suis pas certain que ce soit une bonne voie. Il y a certainement d'autres pistes de réflexion dont on ne soupçonne pas encore toute la portée.
Algi soulève un point intéressant, les neurosciences et la sphère oro-faciale.

Pour en revenir au sujet, Mario, as tu contrôler aussi les latéralités?


Icon poker h4nm2d - Eugenol
jeff

17/06/2014 à 19h15

au fond du canal écrivait:
--------------------------
> On nage en plein délire, où est la caméra?

Effectivement, pour toi, c'est un peu comme si tu étais un indien d'amazonie à qui on dit qu'il est constitué d'electron, d'atome, de molécule...

le delire, quoi !


RépondreCiter
isaïe

17/06/2014 à 20h02

On peut garder le nez dans le guidon et pas trop se poser de questions, chacun son niveau de béatitude.

On parle beaucoup et on vend beaucoup de stages d'occlusion et de posture. Qu'est-ce qui est physiologique dans le fil à plomb qui pend dans le dos du sujet, une symétrie ou une asymétrie posturale ? Plus compliqué qu'on ne pense : la règle est l'asymétrie et Dupas, Clauzade, Landouzy et consorts se trompent quand ils cherchent à obtenir une symétrie posturale.
Quand le temps d'induction d'une asymétrie posturale par un champ électrique alternatif externe est inversement proportionnel à la fréquence, est-ce qu'on est dans du neuro-musculaire ou pas ? Impossible à justifier de cette façon, la conduction nerveuse ne fonctionne pas comme ça.
Une bascule de la ceinture scapulaire qui met 20 secondes à s'installer à 500 mHz, est-ce que ça peut être un réflexe ? Certainement pas. Jamais.
Un champ de 90 mV/m peut générer un potentiel d'action ? Certainement pas non plus, physiquement impossible et pourtant le muscle bouge.

Il y a une autre information derrière ce que nous observons et qui n'est pas neurologique. Avec d'autres règles qui sont connues depuis longtemps en physique : quand on rajoute de l'énergie dans un système oscillant à sa fréquence de résonance, on augmente l'énergie globale du système. Petite cause, grands effets, à condition d'être en résonance. Valable avec des soldats au pas sur le pont jusqu'aux circuits RLC.

Y a pas de caméra, faut juste relire son cours de physique de 1e.

Je vous laisse… Belgique-Algérie