Cookie Consent byPrivacyPolicies.comSINUS LIFT & GREFFE en ONLAY - Eugenol

SINUS LIFT & GREFFE en ONLAY

3f3boxni50k58rq7e9ce9ddqrxgk - Eugenol
dentiste57

09/09/2015 à 15h10

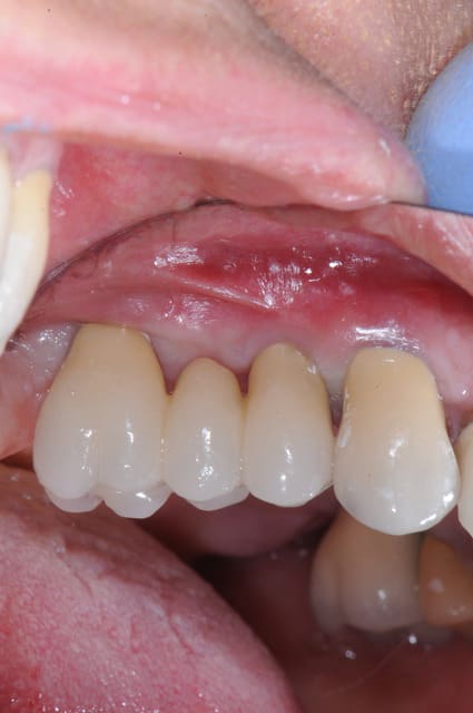
voici pou la cicatrisation à j+4mois avant la pose des implants et la dépose des vis

et après 3 mois après pose des implants puis pose du bridge


R8 ohviqb - Eugenol
R36 wzvsso - Eugenol
Dsc 1038 bktydv - Eugenol

S2y2o1v7q53ws4r5wy6ou8czrpom - Eugenol
pxav

09/09/2015 à 15h23

c'est beau!

--
xbk
"Si tous ceux qui croient avoir raison n'avaient pas tort, la vérité ne serait pas loin" Dac Pierre


Image saznoz - Eugenol
Hodina

09/09/2015 à 17h02

Merci et bravo!!!

--
😁😁😁😁😁😁
Le Blog dentaire.
www.arcad-dentaire.fr
((-----Vivre le sourire Hollywoodien-----))