Tous les forums
Cas complexe
30/11/2014 à 20h32
Bonsoir
Voilà un cas qui me rend bien perplexe même après 25 ans de fauteuil.
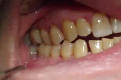
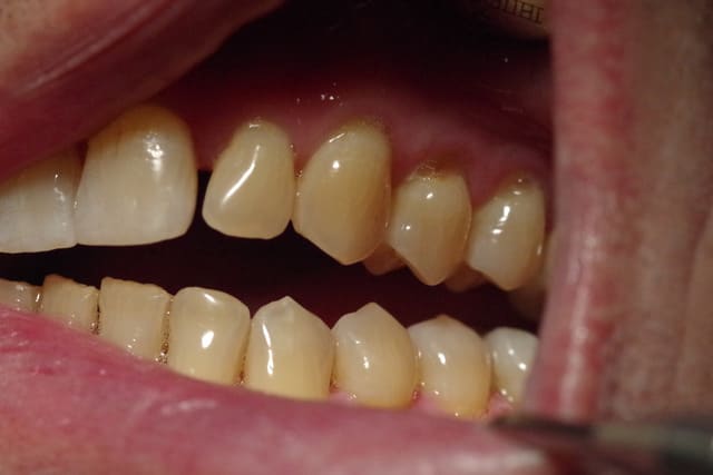
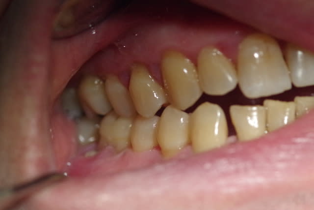
Le patient de 65 ans n'a plus d'occlusion sur le secteur ant et sur le secteur postérieur gauche.
L'occlusion ne se fait que sur les 5, 6 et 7 côté droit.
De ce fait la surcharge occlusale sur la 46 a entraîné une lyse osseuse importante qui contre indique la conservation de cette dent.
Cette lyse est sans doute aggravée par une hygiène très incertaine .
Pour le moment je suis entrain de reprendre la paro mais une fois tous les secteurs assainis, que faire ?
J'ai d'abord pensé adresser le patient pour une rééducation linguale ( kiné ou orthophoniste) car le patient a une langue très puissante qui a entraîné l'inocclusion totale des secteurs antérieurs et latéraux ( côté gauche).
Mais que faire par la suite pour rétablir une occlusion chez ce patient et aussi remplacer la 46?
PS1 La ccm sur 26 a été réalisée en occlusion en 2005
PS2 Les dents, sur les secteurs postérieurs, se sont considérablement écartées sans doute due à la pulsion linguale.
Merci pour vos réponses et votre aide
30/11/2014 à 22h08
Sethef écrivait:
----------------
> Luxation mandibulaire unilatérale.
Qu’entends tu par la ? c'est l'étiologie de la béance , ou la conséquence ?
Pour la reconstruction, pourquoi pas odf ( juste coordonner les arcades ) et chirurgie. greffe et implant 46.
30/11/2014 à 22h10
Adresser orthophoniste pour un bilan et ré-éducation.
Orthodontiste pour égresser le secteur 2 avec élastiques et mini-implants
30/11/2014 à 23h16
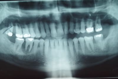
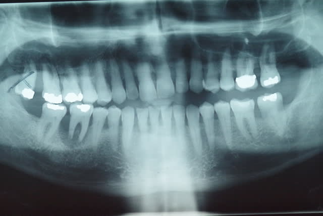
J'entends par là que ce monsieur a l'ATM gauche luxée, probablement depuis un bout de temps. J'imagine que ça se verrait à la pano si les ATM étaient dans le cadre.
Je n'ai aucune idée si ça peut s'opérer quand ce n'est pas fait immédiatement après.
30/11/2014 à 23h17
Jamais vu ça ....
Égresser le secteur 2 risque de créer un gros souci paro non ?
30/11/2014 à 23h37
http://www.sist.sn/gsdl/collect/fmposodonto/index/assoc/HASH48f1.dir/42.63.06.31.pdf
p58 du pdf...
Envoie le à un maxillo facial, tu en trouveras d'autres des cas de bridge complet.
01/12/2014 à 01h24
Il est pas mauvais le sethef. On dirait une luxation suite a une AG par exemple . pendant l intubation .la mandibule a été luxée et une hémorragie a coagulé le disque sur le temporal .
01/12/2014 à 12h17
Note que je serais tout à fait curieux de voir à quoi ça ressemble à la pano, en général ça se règle en urgence et la radio n'est pas franchement utile pour poser le diagnostic, du coup je ne sais pas à quoi ça ressemble...
J'avais luxé une mandibule, les 2 côtés cette fois, à la suite d'une séance de soins même pas particulièrement longue... Merci google qui m'a redonné la manoeuvre de Nellaton en urgence, impossible de m'en rappeler sur le coup même si elle paraît très logique à tête reposée.
01/12/2014 à 18h55
Et moi je serais curieux de savoir :
1) Si la cinématique mandibulaire est symétrique
2) Si les deux arcades sont toujours coordonnées (avec les modèles sur le plan de travail!) Si c'est le cas penchons pour l'hypothèse de Sethef (luxation). Si le couvercle ne va plus avec la boîte penchons pour l'hypothèse fonctionnelle (la tienne).
01/12/2014 à 21h12
Merci à ceux qui m'ont répondu.
J'ai revu le patient aujourd'hui suite à l'avis de Sethef concernant une luxation de l'ATM gauche.
A priori le patient m'a juste rapporté un épisode de blocage il y a 2-3 mois mais cela n'a duré que qq secondes. A la palpation je ne sens pas de vacuité au niveau de la cavité glénoîde. L'ouverture me semble légèrement asymétrique mais il n'y a aucun craquement ni douleur à ce moment là.
Le patient a une amplitude d'ouverture quasi normale.
Je pencherai plutôt vers une déformation de son maxillaire due à une pulsion linguale importante.
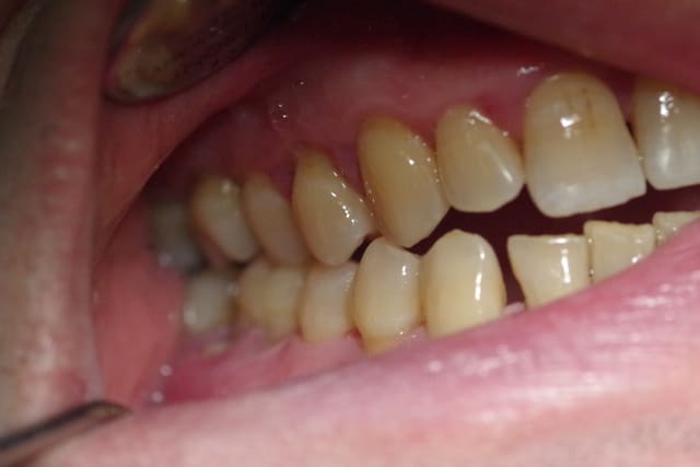
Les photos sont assez évocatrices car le plan de Fox mis à l'arcade supérieure montre nettement une divergence entre la ligne bipupillaire et le plan.
J'ai pris aussi une photo en demandant au patient de déglutir et on voit la langue qui s'interpose entre les arcades ( là où il y a béance).
Concernant une radio des ATM, mon centre de radio m'a précisé que cela ne se faisait plus car la SS ne remboursait plus !!
Ils veulent faire une pano centré sur les ATM.
Je pense la faire faire afin d'éliminer définitivement une luxation de la mandibule.
Ils m'ont parlé aussi d'IRM mais cela me semble un peu lourd.
Par contre tjrs la même question comment remettre en occlusion le secteur antérieur et le secteur gauche?
De toute façon cela passera par une rééducation linguale.
Merci de me donner vos avis
PS Pour Sethef: je ne cherche pas à faire un bridge complet ( c'est d'ailleurs bien pénible comme travail) ; je cherche juste à rendre service à un patient .
01/12/2014 à 22h15
Bien vu le plan de fox!
Ce monsieur a une langue très présente (photo 2) => rééducation.
Est-ce un patient que tu soignes depuis longtemps?
Se rappelle-t-il depuis quand ses dents ne se touchent plus à gauche?
Une téléradiographie de face serait intéressante.
Et pas de secret, c'est un cas ortho voir orthochir.
01/12/2014 à 22h24
Il est évident que je te taquine sur le bridge complet. J'admets cependant que la déviation du plan d'occlusion me trouble.
Par contre, le fait que la langue s'interpose dans l'espace laissé libre me semble tout à fait normal, puisqu'elle a la place pour le faire: cause ou conséquence?
Une pano montrant les ATM permettra de confirmer ou non la théorie de la luxation mandibulaire: plus de doutes possibles. L'IRM permettra d'écarter un autre problème ATM (luxation du disque), qui serait cependant bien étonnante au vu des symptômes.
Edit: J'ai trouvé ça:
http://www.jcda.ca/article/e16
01/12/2014 à 23h54
Bonsoir,
Je pense aussi qu une pano bouche fermée et une en bouche ouverte serait intéressante pour savoir s il y a une luxation.
En l'absence de luxation, il est probable que la langue soit impliquée dans la béance.
Sinon, qu en est il de l' occlusion en Relation centrée par rapport à l OIM?
Un diagramme de FARRAR serait intéressant pour connaître son amplitude ouverture, latéralité....
02/12/2014 à 09h01
>
> Une pano montrant les ATM
SANS LA CALE INCISIVE : EN OCCLUSION!! ça te permettra de voir la place de tes condyles dans les cavités glénoïdes en occlusion. Si la luxation est permanente tu la verras.
Sinon, en théorie, la rééducation fonctionnelle, si elle est la seule cause, règlera le problème : il faudra juste de la patience et que le patient se tienne à ses exercices de reprogrammation. Aide ortho si pas assez d'effet.
02/12/2014 à 09h02
Latin écrivait:
---------------
> Et moi je serais curieux de savoir :
> 1) Si la cinématique mandibulaire est symétrique
> 2) Si les deux arcades sont toujours coordonnées (avec les modèles sur le plan
> de travail!) Si c'est le cas penchons pour l'hypothèse de Sethef (luxation). Si
> le couvercle ne va plus avec la boîte penchons pour l'hypothèse fonctionnelle
> (la tienne).
+1!!!
02/12/2014 à 09h44
en tout cas si le haut est tordu ( il nous l'avait pas montré avant ,le plan du haut )ç est qu'il est tordu.Par la langue ?
mais elle ressemble a quoi cette langue ?un cric ?
et un petit coup de fil a celui qui a fait la couronne du haut.parce que si il a economisé un antago , il devrait s en souvenir .
02/12/2014 à 21h32
Pour Sethef : » Il est évident que je te taquine sur le bridge complet. J'admets cependant que la déviation du plan d'occlusion me trouble.
Par contre, le fait que la langue s'interpose dans l'espace laissé libre me semble tout à fait normal, puisqu'elle a la place pour le faire: cause ou conséquence? »
La photo avec la langue a été prise au moment où j’ai demandé au patient de déglutir : le test a été révélateur car ce patient a une déglutition infantile ou primaire ( je ne connais pas très bien les termes) et pousse sa langue sur les dents.
J'ai eu récemment une patiente de 60 ans environ qui me disait qu'elle ne pouvait plus couper le fil à coudre avec ses dents depuis 2 à 3 ans. Effectivement il y avait une légère béance antérieure qui était apparue progressivement car déglutition infantile.
Latin écrivait:
---------------
> Et moi je serais curieux de savoir :
> 1) Si la cinématique mandibulaire est symétrique
> 2) Si les deux arcades sont toujours coordonnées (avec les modèles sur le plan
> de travail!) Si c'est le cas penchons pour l'hypothèse de Sethef (luxation). Si
> le couvercle ne va plus avec la boîte penchons pour l'hypothèse fonctionnelle
> (la tienne).
J’ai mis des photos des modèles qui n’arrivent pas bien sur à être en occlusion.
Le patient occluse uniquement côté droit au niveau prémolaire et molaire.
Je me suis amusé aussi à mettre en occlusion les modèles côté G ( comme on voit sur une photo) et bien évidemment le côté droit était en inocclusion.
enlaye écrivait:
----------------
> en tout cas si le haut est tordu ( il nous l'avait pas montré avant ,le plan du
> haut )ç est qu'il est tordu.Par la langue ?
> mais elle ressemble a quoi cette langue ?un cric ?
> et un petit coup de fil a celui qui a fait la couronne du haut.parce que si il a
> economisé un antago , il devrait s en souvenir .
La langue est bien sur puissante
Concernant la ccm sur 26 : comme dit précédemment elle a été réalisée en 2005 et par ... moi-même ; elle était bien en occlusion.
Le patient ne sait absolument pas quand son inocclusion a commencé. D’ailleurs il ne s’en était pas aperçu. J’ai mis des clichés BW de ce patient à différentes dates ( un peu floue : désolé). J’avoue ne m’être intéressé uniquement à la paro de ce patient lors des dernières consultations.
Je vais faire faire au patient ces prochains jours une pano centrée sur les ATM bouche fermée.
Enfin je me pose qd même une question au cas où le patient aurait une luxation : Comment peut il faire pour mobiliser normalement sa mandibule et pourquoi ne s’en est il pas aperçu ?
Merci encore à ceux qui ont répondu et à ceux qui répondront par la suite.
02/12/2014 à 21h53
Je crois qu'il est également temps de l'adresser à un orthophoniste pour un bilan.
Pour avoir une idée du moment depuis lequel il est comme ça, demande-lui depuis combien de temps il a du mal à manger des artichauts!
C'est un choix le réglage de ton appareil photo avec si peu de profondeur de champ?
02/12/2014 à 22h08
va sur le site idweblogs ou il y a un cas presque similaire avec une discussion avec le dr UNGER.
cela te donnera une idee des pistes avancees poour ton cas clinique.vraiment
02/12/2014 à 22h58
Cette histoire me chatouille. L'hypothèse de la luxation me semblait absolument évidente, et plus tu donnes d'éléments, moins elle me semble probable. Vérifier la pano bien entendu.
J'ai souvent observé des béances secondaires à une déglution infantile (ma frangine, en premier lieu), mais ce serait bien la première fois que cela entraîne une inocclucion latérale. Une cause articulaire autre que la luxation (IRM)? Une piste tumorale, comme sur la publi que j'ai cité?
En théorie, une luxation condylienne n'empêcherait pas l'ouverture, seulement la fermeture complète, ce qui est bien notre problème aussi. J'ai la sensation que le problème vient de l'ATM gauche, mais quel diagnostic exactement...