Tous les forums
Vos meilleurs produits 2014
16/12/2014 à 16h52
Bonjour,
y'a ce genre de topic chaque année. L'année se terminant, je trouvais ca interessant de discuter entre nous de ce que vous avez trouvé comme produit sympa (ou de decevant pourquoi pas) qui a amelioré votre excercie au quotidien
Merci
16/12/2014 à 17h36
Voilà un de mes fils préférés sur Eugénol :)
- Compothixo pour des compos postérieurs bien adaptés au plancher cavitaire.
- Compo Estelite Asteria de Tokuyama : ça reste du luxe, mais quand j'ai le temps, je stratifie en antérieur avec un compo body autre marque et le NE Asteria en couche amélaire, aussi beau que facile à travailler.
- Microetcher CD : juste à cliquer sur le raccord rapide turbine de l'unit. Poudre de 90µ pour retirer les restes de compos quand on se rapproche de la pulpe, mordançage mécanique sur classe 5 quand la dentine est brillante, idem des préparations sous inlay/onlay. Marche super bien aussi pour retirer les ciments/colles dans une couronne avant un rescellement, un intrados beau comme au labo !
Prévoir nettoyage complet de la salle de soins si pas d'enceinte de sablage par contre...
- Les instruments à compo Hu Friedy XTS
et Deezer Premium dans la salle de soins !
16/12/2014 à 17h44
pour ma part..
earbits,com pour la musique, on choisit son style, 0 pub, et gratuit ))
pour le matos, pas de grand changement cette année -)
16/12/2014 à 19h24
mes 2 meilleurs produits 2014:
-un pot de vaseline XXXL
-un parapluie là aussi en version XXXL
...aux vues de ce qui nous attend en 2015...
sinon, trêve de plaisanterie, le Sonic weld KLS Martin et bien sûr l'Interactive ID....;-)
16/12/2014 à 21h29
sonicweld-rxR-dental ça coûte combien ...
--
Dr Cingulum
-----Ancien interné----
----Attaché à l'apex----
http://www.clinic-all.fr/ formation par passion
16/12/2014 à 23h13
Les wamkey apres ma des aventure avec l arrache couronne
Le wam'x essyé pour la 1 ère fois ce matin....GÉNIAL.
KITVIEW pour la photo, la communication et le rangement de tout les dossiers,photos, formulaires,fiche d intervention, courriers, traçabilité etc....
Le tweeter de chez wamkey encore, je l avais oublié celui la pour les onlay: génial pour mettre l'acide, le silane, l'adhesif et pour mettre en place l onlay.
L assistanat 3X3.
Le leasing chez W&h
Les kit implanto sur mesure de chez NEOHM, avec leur super aspi chir jetable.
Ma nouvelle assistante dentaire.
L alphadex pour le classement numérique avec code couleur pour les dossiers patients ( on ne peut pas tout mettre sur informatique.....)
Je le met quand même en tant que produits de formation, les formations chez ACTIS dentaire
Tres bonne année pour moi en terme d achat gagnant cette année.
17/12/2014 à 01h07
Hodina écrivait:
----------------
> L alphadex pour le classement numérique avec code couleur pour les dossiers
> patients ( on ne peut pas tout mettre sur informatique.....)
Quoi par exemple ?
Sinon moi planmeca cone beam très bien et se paye tout seul.
17/12/2014 à 09h54
Ce n'est pas une nouveauté 2014, mais je me félicite chaque année de l'achat d'un VISTASCAN mini ET d'un capteur Kodak. Un peu chérot mais un vrai bonheur au quotidien !
Bonne fin d'année à tous.
17/12/2014 à 10h05
mon 3D kodak
un peu cherot effectivement mais revolutionne mon exercice en endo et évite les galères
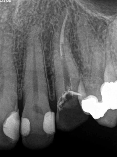
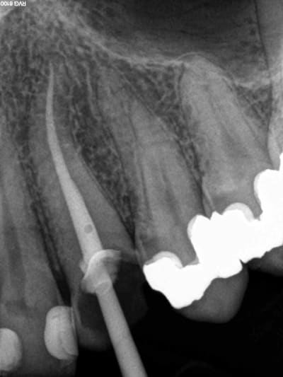
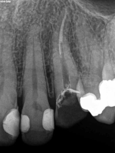
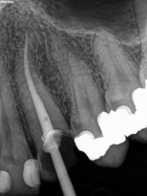
un vision claire du nombre et de la disposition des canaux ainsi que de leur longueur réelle , je n'aurais jamais osé rêver çà ...
mon sterildent ... même s'il est controversé , depuis que je l'utilise je fonctionne en mode sans echec sur les dents porteuses d'infections apicales anciennes en retraitement
17/12/2014 à 10h06
G-P écrivait:
-------------
> Hodina écrivait:
> ----------------
> > L alphadex pour le classement numérique avec code couleur pour les dossiers
> > patients ( on ne peut pas tout mettre sur informatique.....)
>
> Quoi par exemple ?
Ok, tu m'as eu.
On peut tout mettre sur informatique.
Mais parfois, c est sympa d avoir un vrai papier avec ta vrai écriture dessus,
Les plans de traitement par exemple, je ne les fait pas sur Julie,
Les shemas explicatifs,les photocopie des mutuelles des patients.
Je pourrais tout scanner, et cela se fera un jour, mais il faut y aller progressivement.
Plus tard, quand je n aurais plus de fiche papier, un jour peut être, cela me fera un porte classeur ( compta, urssaf, carcd, factures etc....)
17/12/2014 à 11h13
Hodina écrivait:
----------------
> > > L alphadex pour le classement numérique avec code couleur pour les dossiers
> > > patients ( on ne peut pas tout mettre sur informatique.....)
> >
Il faut voir si ils livrent en france.
http://global.rakuten.com/en/store/sanwadirect/item/400-cms013/
Globalement un appareil photo sur pied reglé avec un eclairage homogene.
17/12/2014 à 13h14
barbabapat écrivait:
--------------------
> Hodina écrivait:
> ----------------
>
> > > > L alphadex pour le classement numérique avec code couleur pour les
> dossiers
> > > > patients ( on ne peut pas tout mettre sur informatique.....)
> > >
>
>
> Il faut voir si ils livrent en france.
>
> http://global.rakuten.com/en/store/sanwadirect/item/400-cms013/
>
> Globalement un appareil photo sur pied reglé avec un eclairage homogene.
Bonne trouvaille.
En voilà une en France
Tu tapes mustek MCS 500
Tu la trouve chez CDISCOUNT a ....219€
17/12/2014 à 13h31
G-P écrivait:
-------------
> Hodina écrivait:
> ----------------
> > L alphadex pour le classement numérique avec code couleur pour les dossiers
> > patients ( on ne peut pas tout mettre sur informatique.....)
>
> Quoi par exemple ?
>
> Sinon moi planmeca cone beam très bien et se paye tout seul.
Meme en suivant les recommandations HAS ? -))))
17/12/2014 à 13h32
Hodina écrivait:
----------------
> G-P écrivait:
> -------------
> > Hodina écrivait:
> > ----------------
> > > L alphadex pour le classement numérique avec code couleur pour les dossiers
> > > patients ( on ne peut pas tout mettre sur informatique.....)
> >
> > Quoi par exemple ?
>
> Ok, tu m'as eu.
> On peut tout mettre sur informatique.
> Mais parfois, c est sympa d avoir un vrai papier avec ta vrai écriture dessus,
> Les plans de traitement par exemple, je ne les fait pas sur Julie,
> Les shemas explicatifs,les photocopie des mutuelles des patients.
> Je pourrais tout scanner, et cela se fera un jour, mais il faut y aller
> progressivement.
> Plus tard, quand je n aurais plus de fiche papier, un jour peut être, cela me
> fera un porte classeur ( compta, urssaf, carcd, factures etc....)
Pense aux arbres !
17/12/2014 à 13h57
@G.P :
En fait, j avoue ne pas trop y penser dans mon bouleau.....
Tu as raison mais le matos informatique pour scanner est il + ou moins dangereux sur le long terme et en impact carbone que des arbres venant de forêts bien gérés??
Qui ici n a aucune fiche papier et dossiers papiers?
17/12/2014 à 16h14
Hodina écrivait:
----------------
> Tu tapes mustek MCS 500
> Tu la trouve chez CDISCOUNT a ....219€
C'est plutot le mustek MCS 510 qui est rebrandé
http://www.mustek.de/?product=mustek-mcs-510-a3-pro-scanner-presenter
http://www.conrad.ch/ce/de/product/1299053/Kamera-Dokumentenscanner-A3-Mustek-MCS-510-A3-PRO-5-Mio-Pixel-USB?ref=searchDetail qui à la base est à 120 euros sans les frais de ports.
17/12/2014 à 17h18
Hodina écrivait:
----------------
> @G.P :
> En fait, j avoue ne pas trop y penser dans mon bouleau.....
> Tu as raison mais le matos informatique pour scanner est il + ou moins dangereux
> sur le long terme et en impact carbone que des arbres venant de forêts bien
> gérés??
> Qui ici n a aucune fiche papier et dossiers papiers?
Je plaisantais, en fait je m'en fous complètement des arbres. Si on pouvait en manger je le ferais.
17/12/2014 à 17h27
dentisteparis_75 écrivait:
--------------------------
> l'ONYX T-Track qui remplace les tests prions/bowie dick/helix et qui m'a fait
> économiser un fric fou...!
dis moi en plus...
17/12/2014 à 18h22
.. et qui coute 2000 euros.. je vois pas comment on économise quoi que ce soit.
17/12/2014 à 19h14
Les pires de l'année 2014
-Julie
-moteur VDW dont le cable entre le moteur et le CA n'arrêtent pas de se torsader
-Digora qui m'a bloque une plaque phosphore heureusement j'ai pu l'enlever moi meme sinon encore une facture a plusieurs centaine d'euro (du coup je perds ma garantie l'ayant ouvert)
-sirolux qui gicle sur le visage des patients
-dac qui me fusillent les turbines et les contre angles
-
17/12/2014 à 20h25
Tout con : utilisation de papier crepé pour emballer les cassettes (merci marc) et qui sert de champ stérile pour emballer les trays ( on y met tous ses déchets facile pour débarrasser).
Tubuli seal en seringue auto mélangeuse pour sceller les cones.
Friendo pour les fondre (fini le machtou chauffé) et ainsi faire ses empreintes et provisoires dans la séance de l'endo.
Stops à picots sur le sx qui sert à compter le nombre d'utilisations du set d'endo.
Set de fraises 12 trous FG et 5 CA pour y mettre toutes ses fraises.
Set d'endo 10 trous également pour forets limes etc.....
Et bien sur les tubs qui servent de réserve pour le consommable.