Cookie Consent byPrivacyPolicies.comMerveilleuse nomenclature - Eugenol
carident

08/02/2015 à 11h58

barbabapat écrivait:
--------------------
> carident écrivait:
> ------------------
> > De la à dire que nos propositions thérapeutiques sont influencées par la
> > nomenclature... Je dirais qu'elles sont plutôt influencée par nos aptitudes
> > et/ou nos inaptitudes!
> >
> > Patiente venue me voir en septembre 2011, après avoir été charcuté par un
> > dentiste qui ne maitrisait visiblement pas la cavité d'accès (lime cassée et
> > perforation monstrueuse)... et s'être vu proposé un implant par deux autres
> > dentistes.
> >
>
> Le bridge onlay-couronne est aussi risqué d'un point de vue mécanique à cause de
> la trop grande différence de rétention entre l'onlay et la couronne qui induit
> régulièrement un descellement de l'onlay et une carie secondaire dessous.
>

Là c'est pas un bridge onlay-couronne, c'est un bridge onlay-hémicouronne ;-)

Dans le cas présent, il n'y a pas de trop grande différence de rétention entre l'inlay-core dans son logement (racine mésiale généralement frêle), la couronne par dessus avec un effet ferrule réduit, et l'inlay collé sur la dent adjacente (j'ai juste fait une boite en mésiale et approfondi la cavité occlusale pré existante).

De plus, je fais systématiquement des bridges provisoires pour "tester" mes reconstructions, et en attendant la cicatrisation... Et là, le bridge provisoire a tenu plus de deux mois, scellé avec du temp bond sans eugenol. J'en déduis que la reconstruction sera durable dans le temps.

En tout cas là, au bout de 3 ans, c'était impeccable. Pas de récession, pas de bourrage alimentaire, pas de douleur et parfaitement scellé.

Dans le pire des cas, si la racine se fracture ou si le bridge venait à se desceller avec une reprise de carie, il sera toujours temps de faire un implant. Mais honnêtement, je n'y crois pas, je n'ai jamais eu d’échec de la sorte, pour la simple et bonne raison que je réfléchi tout le temps au principe biomécanique de mes reconstruction, et que je les éprouve à l'aide de mes provisoire. Bien sûre, je n'applique pas les mêmes tarifs que Chicot... Je ne descend jamais en dessous de 850 pour l'IC+couronne, et la plupart du temps c'est plus autour de 950, voir 1050-1100 lorsqu'il s'agit de céramo-céramique.


carident

08/02/2015 à 12h26

chipoundine écrivait:
---------------------
>
> j'en tend bien vos sirènes en ce qui concerne les éventuelles nécroses ou
> calcifications...j'adore la radio qu'a posté carident avec le bridge complet et
> la 37 nécrosée.
> Premièrement nous ne connaissons pas l'étiologie de cette nécrose ( bactérienne,
> occlusale ?)
> Malgré tout il suffit de percer le bridge en occlusal et de traiter la nécrose,
> et le tour est joué , tu fais quoi cardent si tu as une pêche sous un des autres
> piliers ? du déposes tout et tu recommence à tes frais ?
>

C'est ce que j'ai fait, un joli trou dans la ccm sur 37, et un traitement canalaire, les symptômes ont cessé rapidement, puis j'ai fait un compo occlusale... Je dois le revoir bientôt pour contrôler la cicatrisation, et faire le haut.

Les seuls échecs que j'ai eu en prothèse fixé se résument à des fractures de céramique, et dans ces cas là je refait (l’occurrence est tellement faible que je ne cherche pas à comprendre, je dépose et je refait).

Si j'ai une pêche (c'est jamais arrivé, pas d'échec pour l'instant en endo), sous un pilier présentant un IC, j'imagine que je tenterais une résection apicale et une obturation à rétro... J'en ai jamais fait, jamais eu besoin en 8 ans.

Sous une CCM unitaire + IC, j'aurais tendance à tout redéposer (c'est ce que je fais pour les pêches sous des couronnes qui ne sont pas faite par moi). Déposer une couronne, ça me prend 10 min, déposer un IC 10 min à 30 min lorsqu'il ne vient pas avec l'IC... Par contre, faire le traitement d'une dent (qui plus est une molaire) complètement calcifiée, ça c'est beaucoup plus aléatoire quelque soit l'opérateur...


> Avec des "si" on ne fera que tourner en rond et comme dit précédemment il faut
> prendre en compte la globalité.
>
> Je n'ai jamais dit que la CCM est un mauvais traitement , je dis que dans
> Beaucoup de cas , il est possible de passer par l'étape "ONLAY" et que peut
> être un jour on arrivera à la CCM ? Toute la différence est là, le nuit est de
> faire gagner quelques années supplémentaires aux dents. J'espère que c'est clair
> pour vous sur ce point.
>

Faire gagner quelques années supplémentaires aux dents déjà très délabrées, ayant déjà un passif certain question soins, récidives et complications, c'est la manière la plus sûre de condamner les chances de réussite futures d'un traitement endodontique... Et après, il sera facile de dire, "oui mais les endo ça ne marche pas..."

Je suis d'accord, lorsque l'on fait un traitement, il faut toujours garder à l'esprit les différentes causes d'échecs possibles qui peuvent survenir, et la palette des solutions qui subsistent pour y répondre...

Le but de notre exercice est-il de conserver le plus longtemps la dent sur l'arcade ou de la garder le plus longtemps "vivante" en condamnant sa future conservation pour cause de non traitement possible?

Ceux qui s’intéressent à l'endodontie connaissent les difficultés et les causes d'échecs possibles, et en générale n'attendent pas que le traitement deviennent aléatoires pour le faire....


P2eqdh3csim6s7nb09ktdq3e7ev8 - Eugenol
barbabapat

08/02/2015 à 12h40

Tu en as aussi qui dans la même situation vont se casser la gueule. Un traitement reste subjectif et n'est jamais ni tout blanc ni tout noir.

A la fac j'avais travaillé une année sur un patient sur une hemisection et le bridge. On fait l'hemisection, la provisoire, on teste le bridge provisoire. Par contre c’était en fin d'année. L'année suivante je reprend le cas avec un autre prof pour des questions d’horaires après avoir fait la transmission. Ca s'est finit par un retrait de la racine en hemisection et un bridge classique au final.

Le patient et moi, on était très heureux, il restait juste les empreintes à faire.

Il y a bcp de subjectivité dans la réalisation d'un traitement. Et les cas comme le tient qui se finissent avec une carie sous l'onlay à cause d'un descellement partiel sont aussi légion. C'est pas le cas, c'est bien, mais la littérature pour ce type de reconstitution reste défavorable.


cocoladent

08/02/2015 à 14h45

chicot29 écrivait:
------------------
> C'est exactement ce que j'ai vécu avec le cerec. Meme à 150 euros l'onlay dans
> une écrasante majorité un ic-coiffe emporte la timbale.
> Pour que l'onlay soit choisi à 100 % il faut écrémer sa clientèle à 95 % dans
> mon cas. C'est d'ailleurs le meme % age qu'en implanto.

Quelle lucidité ! Salaire médian en France environ 1700 euros . Combien vont accepter des onlays non remboursés ? Sans rire ? 5% de la population et je suis optimiste .
Le porte monnaie prime et primera toujours . C'est désolant mais c'est la vie
Les dents c'est bien , mais si c'est en ballotage avec une semaine au camping les "flots bleus " à Palavas au mois d'août pour toute la famille , le choix est vite fait .


Capture d  cran 2015 03 12 12.28 - Eugenol
chicot29

08/02/2015 à 14h49

Eh oui ! On ne met pas la charrue avant les boeufs. Mon coté geek avait pris le dessus sur la raison. -))))


carident

08/02/2015 à 16h02

chicot29 écrivait:
------------------
> Eh oui ! On ne met pas la charrue avant les boeufs. Mon coté geek avait pris le
> dessus sur la raison. -))))

Et tu en as fait quoi de ton CEREC?


Utilisateur banni

08/02/2015 à 18h09

Pas d'échec endo en 8 ans , t'inquiète pas ta carrière va etre longue .. ;Surtout tiens nous au courant ,ça nous interesse 1 peu de savoir pourquoi nous on est mauvais .Bonne soirée au meilleur d'entre nous


Capture d  cran 2015 03 12 12.28 - Eugenol
chicot29

08/02/2015 à 18h53

carident écrivait:
------------------
> chicot29 écrivait:
> ------------------
> > Eh oui ! On ne met pas la charrue avant les boeufs. Mon coté geek avait pris
> le
> > dessus sur la raison. -))))
>
> Et tu en as fait quoi de ton CEREC?

Vendu. Leasing repris ouf !


Utilisateur banni

08/02/2015 à 19h18

coucou le chicot , n 'oublie pas que tu as de l 'iode a profusion et gracieusement a disposition C 'est pas rien hein!


carident

08/02/2015 à 20h13

auroreboreale20mai écrivait:
----------------------------
> Pas d'échec endo en 8 ans , t'inquiète pas ta carrière va etre longue ..
> ;Surtout tiens nous au courant ,ça nous interesse 1 peu de savoir pourquoi nous
> on est mauvais .Bonne soirée au meilleur d'entre nous

Difficile de savoir pourquoi tu n'y arrives pas... Il faut analyser ce qui marche et ce qui ne marche pas, en faisant des stats peut-être ;-)

En tout cas, j'espère au moins que tu maitrises l'amalgame et le brunissoir...


RépondreCiter
Capture d  cran 2015 03 12 12.28 - Eugenol
chicot29

09/02/2015 à 12h21

Mouhahaha ! chicot persiste et signe. Autant je ne tente pas d'onlays limites non remboursés Mais des ic coiffe pas de soucis-))))

Capture d e cran 2015 02 09 11.20 - Eugenol

John gp55mb - Eugenol
Faivre-rampant

09/02/2015 à 12h35

Tu utilise á chaque fois le bistouri ? Parce que les limites sont très belle ...


tictac

09/02/2015 à 12h36

tu as la reference de ta fraise à eviction gigivale?


Vw campersurfvan bmnk1q - Eugenol
enlaye

09/02/2015 à 12h57

Faivre-rampant écrivait:
------------------------
> Tu utilise á chaque fois le bistouri ? Parce que les limites sont très belle ...


ha haha ,il est sans limites le chicot , tout au fond.com et jusqu'à l'os ....


Orezza gazeuse verre litre ocoxey - Eugenol
casa

09/02/2015 à 13h10

Effectivement .. ton patient à la CMU , une bonne mutuelle , il paye rien ? En fait, tu me fais penser à ces patients qui ont la cmu et un Iphone .. même topo : tirer un max du système ... y'a pas raison de se gêner . Pour les uns , on arrive pas à avoir du boulot parce qu'on s'appelle Mohamed alors on se démerde , pour les autres , on nous en prend tellement alors pourquoi se gêner .... mais le résultat au final est le même : profiter !Dans tous les cas, c'est la faute des autres , de la société , des politiques , des syndicats .. alors chacun sa m.... Et il y aura "Vivement Marine" qui va remettre de l'ordre dans tout ça . On y arrive doucement mais surement !

PS : Soit Marine , soit la marine , dans tous les cas c'est l'équivalent d'une bonne guerre !


P2eqdh3csim6s7nb09ktdq3e7ev8 - Eugenol
barbabapat

09/02/2015 à 13h10

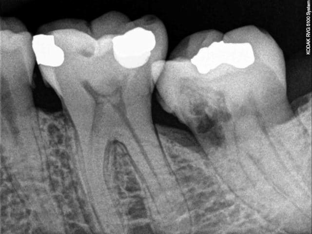
Pour carident, une image qui donnerait l'air d’être une perforation lors de l'ouverture.

Avec en plus des mesiaux bien rétractés et les limes qui souhaitent aller plus dans la carie qu'à l’intérieur des canaux.

R1w fvtxdv - Eugenol
R3w k1h3qt - Eugenol

Capture d  cran 2015 03 12 12.28 - Eugenol
chicot29

09/02/2015 à 13h43

Faivre-rampant écrivait:
------------------------
> Tu utilise á chaque fois le bistouri ? Parce que les limites sont très belle ...

Yes.

Encore. Jamais de surprises reproductible fiable.

Capture d e cran 2015 02 09 17.54 - Eugenol

Capture d  cran 2015 03 12 12.28 - Eugenol
chicot29

09/02/2015 à 14h02

enlaye écrivait:
----------------
> Faivre-rampant écrivait:
> ------------------------
> > Tu utilise á chaque fois le bistouri ? Parce que les limites sont très belle
> ...
>
>
> ha haha ,il est sans limites le chicot , tout au fond.com et jusqu'à l'os ....

Aucune limites pour profiter de cette "merveilleuse nomenclature" !. Ici sensibilité au froid sur 15 +++, ne me voyant pas ouvrir un sachet de mta à 100 euros pour la gloire et gratos ca se termine en endo sc33 dans la foulée. Patient étudiant et sans doute arnaqué par la MNEF fera une éventuelle couronne plus tard, si ca pete !.-)))))
41 mn. dont 25 mn pour l'endo, 1mn pour le status et 15 mn pour le SC33.

Capture d e cran 2015 02 09 12.51 - Eugenol
Capture d e cran 2015 02 09 12.57 - Eugenol
Capture d e cran 2015 02 09 12.58 - Eugenol

Capture d  cran 2015 03 12 12.28 - Eugenol
chicot29

09/02/2015 à 19h41

Décidément ca n'arrete pas aujourd'hui. Je sens qu'il y a de la CC acier dans l'air vu que les SC33 ne compriment pas le reste à charge sur les cerams. ! -))))
Encore une fois MERVEILLEUSE NOMENCLATURE !
Marche bien cette digue à réserver sur les antériures néanmoins, trop de tension sur les molaires.

Capture d e cran 2015 02 09 18.38 - Eugenol

Logo qw3xdt - Eugenol
ĐĐS

09/02/2015 à 19h44

chicot29 écrivait:
------------------
> enlaye écrivait:
> ----------------
> > Faivre-rampant écrivait:
> > ------------------------
> > > Tu utilise á chaque fois le bistouri ? Parce que les limites sont très belle
> > ...
> >
> >
> > ha haha ,il est sans limites le chicot , tout au fond.com et jusqu'à l'os ....
>
> Aucune limites pour profiter de cette "merveilleuse nomenclature" !. Ici
> sensibilité au froid sur 15 +++, ne me voyant pas ouvrir un sachet de mta à 100
> euros pour la gloire et gratos ca se termine en endo sc33 dans la foulée.
> Patient étudiant et sans doute arnaqué par la MNEF fera une éventuelle couronne
> plus tard, si ca pete !.-)))))
> 41 mn. dont 25 mn pour l'endo, 1mn pour le status et 15 mn pour le SC33.

Bah le MTA pour un coiffage, ça existe dans la CCAM...

Comme la reconstitution pré-endo...

--
Normal is not something to aspire to, it's something to get away from...


Capture d  cran 2015 03 12 12.28 - Eugenol
chicot29

09/02/2015 à 20h03

ĐĐS écrivait:
-------------

> Bah le MTA pour un coiffage, ça existe dans la CCAM...
>
> Comme la reconstitution pré-endo...
>

Seul problème l'assureur en situation de monopole ainsi que ses complices complémentaires ne les remboursent pas. Tu crois sincèrement que les patients, dans ce pays foutu en pleine croissance, sont si bourrés de thunes au point d'allonger en plus de leurs cotisations obligatoires à ce système de merde ?
C'est simple ce qu'il faut faire dans la majorité des cas c'est ce que les assureurs ne remboursent pas.

Merveilleuse convention obsolète de merde, c'est plus juste non ? !


Utilisateur banni

09/02/2015 à 21h05

Convention obsolète , mais que tout le monde accepte depuis 25 ans ,mais c 'est beaucoup trop tard ...Les carottes sont cuites , du moins pour nous ..


chipoundine

12/02/2015 à 09h10

Tiens il semble que le changement de paradigme commence à prendre tournure .......

http://www.lefildentaire.com/interviews/1274-no-post-no-crown-dentistry#.VNxQZ17Wq_Y



Interviews
Rencontres
Mon rendez-vous avec...
Guides d'achat
Accueil > Interviews > La "No Post, No Crown Dentistry » : A quelle échéance… ?
La "No Post, No Crown Dentistry » : A quelle échéance… ? PDF Imprimer Envoyer à un ami
Écrit par Gil TIRLET et Jean-Pierre ATTAL
Lundi, 26 Janvier 2015 10:22

Dans le cadre de la dentisterie contemporaine, le changement fort de paradigme qui s’opère dans le domaine de la prothèse conjointe concerne tout aussi bien ses indications actuelles que les biomatériaux et les modes d’assemblage qu’elle met en œuvre. Il est clairement admis que la prothèse conjointe conventionnelle basée sur des concepts essentiellement mécanistes à l’origine d’une perte tissulaire souvent excessive voire extrême n’est plus acceptable tant sur le plan biologique que sur le plan biomécanique (1, 2, 3).


Ainsi aujourd’hui, comme nous le rappelle le Pr Urs Belser, seuls les délabrements coronaires ne présentant pas de support dentaires suffisant et fiable mécaniquement pour un collage de qualité devrait rester les seules indications de la couronne unitaire (1). En dehors de cette indication spécifique, la réalisation d’une couronne périphérique devrait légitimement se faire dans le cadre de la seule réintervention prothétique. La couronne a donc encore sa place, bien évidemment, dans notre arsenal thérapeutique, mais son indication en première intention s’est limitée considérablement au profit des restaurations partielles. C’est ce que Pascal Magne appelle la « No Post, No Crown dentistry » (2).
Les techniques adhésives offrent effectivement aujourd’hui au praticien la possibilité d’indiquer et réaliser dans de nombreuses situations des restaurations partielles aussi bien sur les dents postérieures qu’antérieures, qu’elles soient pulpées ou dépulpées. Ces restaurations partielles peuvent aussi répondre à des contextes de perte de substance parfois importantes relevant des phénomènes pathologiques d’érosion/usure en augmentation croissante dans tous les pays du monde, touchant toutes les classes d’âge et dont certains affichent un degré de sévérité extrême (4, 5, 6).
Ce changement de paradigme et cette démarche clinique s’inscrivent dans un concept plus contemporain appelé concept « Biomimétique » ou « Bioémulation » décrit par Magne et Belser en 2003 (7, 8) et qui trouve son origine dans l’étude histo anatomique des tissus naturels de la dent. Idéalement, la dent et le biomatériau de restauration devraient constituer, au sens biologique et optique, une véritable « unité fonctionnelle », qui aurait la capacité de supporter les charges biomécaniques auxquelles elle est soumise dans son environnement.
Cette préservation tissulaire des restaurations partielles par rapport aux restaurations périphériques a été quantifiée sur les dents postérieures (9) et sur les dents antérieures (10). Elle est associée à d’excellentes performances de longévité comme par exemple dans le cas des facettes lorsque les préparations restent dans l’émail (11) ou dans le cas des inlays/onlays (12). Ainsi en suivant le concept du gradient thérapeutique (13), qui basé sur la préservation tissulaire, on peut dire que, lorsque les conditions sont requises (Cf plus haut selon Urs Belser), les restaurations partielles, directes ou indirectes sont préférables aux couronnes.
De plus, l’allongement de la durée de vie de nos concitoyens (en moyenne un trimestre par année) impose un nombre de réinterventions sur les restaurations plus important dans le temps. Cette donnée nécessite donc plus que jamais la conservation optimale des tissus lors des premières interventions cliniques sur la dent afin de rendre possibles et plus aisées toutes les réinterventions futures.
En effet, les échecs de restaurations partielles sont non seulement plus faciles à gérer que les échecs des restaurations périphériques, mais dans quasiment tous les cas la dent reste conservable et une nouvelle restauration partielle reste possible (12). Ainsi le cercle vicieux des restaurations qui aboutit à la perte de la dent est brisé et une importante longévité de la dent sur l’arcade est permise (14).

Donc la question titre de ce numéro La "No Post, No Crown Dentistry » : à quelle échéance ? » reste d’une actualité brûlante. Il semble urgent que tous les acteurs de la vie professionnelle (université, syndicat, ordre, organisme de formation…etc) se saisissent de ce sujet et expliquent aux gouvernants qu’il est possible de mieux soigner les dents, en préservant les tissus, et ce à coût constant.
C’est donc fort de ce changement de paradigme fondamental, qui bouscule la dentisterie de tous les pays du monde, que nous avons voulu inscrire le sommaire de ce numéro spécial.
Nous avons fait appel pour cela à 3 équipes de jeunes praticiens, cliniciens et scientifiques talentueux (Paris, Bordeaux, Marseille) pour présenter quelques aspects des restaurations partielles que nous encourageons si fortement. L’équipe bordelaise traite des restaurations partielles postérieures, l’équipe marseillaise des restaurations partielles antérieures et l’équipe parisienne d’une synthèse sur les matériaux actuels. Nous les remercions tous très chaleureusement tant pour leur réactivité que pour la qualité de leurs articles.
Bonne lecture !


Marque a3 orange fyvhyq - Eugenol
Marc Apap

12/02/2015 à 09h19

No post, no crown, no business, sauf si t'as des couilles de taureau ou/et que t'es installé dans les beaux quartiers d'une grande ville bourgeoise.


Marque a3 orange fyvhyq - Eugenol
Marc Apap

12/02/2015 à 09h55

JP Attal m'a dit qu'il avait déjà discuté avec les gens de la SS pour les convaincre de réviser la nomenclature, en faveur des restaurations partielles.
Même si la démarche doit être poursuivie, cette promotion de ce type de dentisterie mérite discussion :
A mes yeux, c'est comme si l'on préconisait, voire imposait la voiture électrique pour tout le monde, sans tenir compte de son coût ni de son autonomie.


1...111213