Cookie Consent byPrivacyPolicies.comMerveilleuse nomenclature - Eugenol
Marque a3 orange fyvhyq - Eugenol
Marc Apap

05/02/2015 à 18h23

tailles sous gingivales sur dents vivantes : est-ce justifié sur une molaire ?


blaise2583

05/02/2015 à 18h28

chicot29 écrivait:
------------------
> Cingulum écrivait:
> ------------------
> > pouvez vous regarder honnêtement le temps et le cout pour:
> > Endo + IC + Couronne, avec frais de laboratoire et temps passé
> >
> > et ensuite faire la même chose pour:
> > Couronne sur dent vivante...
> >
> > et enfin regardé quelle rentabilité vous avez selon les deux protocoles ...
> > Vous allez être surpris...
> >
> C'est évident, mais je ne dis pas l'inverse. Tu crois que ca me plait de faire
> ca ? Tu es sur un petit nuage je pense ou tu as sélectionné ta clientèle au
> départ en ne gardant que les patients "motivés". Je trouve ca élégant cette
> notion de "patient motivé" décontracté du porte monnaie. -))))

Tout a fait d accord on a pas tous chance, le choix d avoir que des patients avec hbd nikel porte feuille rempli et motive...
Qd je sors de formation je me dis tjs ca c est top je vais l appliquer au cab et la c est le drame
"ca va me couter combien, c est tout rembourse? alors tu ne fais rien puisque ca ne suitpas ou composite d attente qui devient definitif dans sa tete et qui te dis 5 ans apres ca a casse votre truc alors qu il avait son devis d onlay.
Alors je ne sais pas vous mais 3 phrases cette semaine:

patient en urgence qui a plan de ttt"je ne peux pas faire votre devis je viens d acheter une voiture et une maison" reponse de ma part "ben demandez au garagiste de vous soigner les dents puisque vous avez des sous pour lui"

patiente chez qui je viens de devitaliser une 26 et mutuelle a 300% ce qui devient rare maintenant dc tout rembourse sur ic et ccm elle me dit non une metal ca suffira ma mere a les memes en metal et elle est contente

nouveau patient de confrere en retraite qui rendait service plus qu il soignait tout reprendre mais jamais rien paye "je viens juste pour la dent qui me fait mal le reste ca va"je vous laisse deviner ma reponse

Alors on fait quoi avec tout ca, comment on paye ses charges, les salaires des assistantes?
soit vous avez de la chance d avoir des patients avec des bouches tres peu abîmées, une hbd nikel, le porte feuille bien garni, une motivation de vous suivre ds les techniques

Alors j en ai qq uns des comme ca mais je ne pourrais pas en vivre et je refuserais tout le monde...
J ai qq fois l impression d exercer ailleurs, je dois deja motiver pour "remettre" des dents ou iln y en a plus depuis 20 ans alors l onlay ils s en tamponnent le coquillard

Par contre la belle caisse qui va bien avec la cagole comme ils disent dans le sud il y a le credit
La sante c est gratuit en france et tant que les techniques ne seront pas bien remboursées eh ben on va encore en bouffer de la dentisterie de merde a part nos qq cas qui nous changent les idees avec open bar mais ca va se rarefier ou alors vous tres persuasifs, ds une region a la sante n a pas de prix, ou vous etes subventionnes pour payer vos charges?


Photo thumb 45 lnhuvp - Eugenol
wakrap

05/02/2015 à 18h28

moritooth écrivait:
-------------------
> 1; Tailler avec fraise pas usagée, sous spray abondant. Turbine ou bague rouge
> peu importe.
>
> 2; Coiffe pro scellée avec IRM fluide. Lors des interséances, on laisse le
> ciment dans la pro, on rajoute juste une goutte d'eau avant de remettre la
> coiffe en place
>
> 3; Si proximité pulpaire : DYCAL ou CVIrésine ( surtout pas de CAOH)
>
> 4; Sur dent vivante on a souvent des tailles sous gingivales, donc empreinte à
> coque (= die en silicone fait dans la provisoire, et sur lequel on fait une
> petite coque en palavit)
>
> 5; Scellement selon hauteur moignon: du plus court au plus haut : SuperBond,
> Fuji+, et polycarboxylate (cas normaux)
>
> 6;Anesthesie pas trop chargé, chez des personnestd'un age a pulpe bien calcifiée
> on peut tailler sans AL, ils ne sentent rien !( mais tjs fraises neuves et
> spray)
>
> Voilà rapidement mes trucs, mais quand j'ai commencé j'ai fait une petite
> formation,
> En fait c'est une habitude. Mais que reconnais que quand j'ai démarré j'arrivais
> pas à imaginer une Cr sans dévitaliser.

Me fait penser au mec qui m'explique qu'il lui faut une montre avec 4 tourbillons pour avoir de la précision. Quartz, plus simple. CEREC, what else..


youn

05/02/2015 à 18h28

Cingulum écrivait:
------------------
> "CCC sur dent vivante : 1h30-1h45"
>
> Donc 30 min pour faire l'endo ? et 1h30 pour faire prep, empreinte pose ?
>
> Si tu fais pas l'empreinte pour Inlay core le jour de l'endo faut rajouter un
> bon quart d'heure d'installation, dépose pansement etc...
> Et en plus dans ton calcul le FM est gratuit :)
>
> refais ton calcul tu vas voir que c'est kif kif... voir plus pénalisant avec
> l'endo
> Sans compter la sté, le consommable et le plaisir de l'acte endodontique...


1h30 CCC : prep + hybridation sous digue + pro : 45min-1h
: Pose (sous digue et collage, pas de ciments comme vu plus haut...) : 30-45 minutes : acide-bain a ultrasons-silane-primer-bond -compo.

2h30 IC-CCM : 1h45 : endo prep pro emp
30-45min : pose (en étant large, très large).

Elle est où mon erreur de calcul?


003 penrd2 - Eugenol
Cingulum

05/02/2015 à 18h34

youn écrivait:
--------------

>
> Elle est où mon erreur de calcul?

tu n'as pas de frais de labo sur l'inlay core...
et 90% des praticiens ne font pas l'empreinte Couronne + Inlay core le jour de l'endo ...



--
Dr Cingulum
-----Ancien interné----
----Attaché à l'apex----
http://www.clinic-all.fr/ formation par passion


moritooth

05/02/2015 à 18h37

wakrap écrivait:
----------------
> moritooth écrivait:
> -------------------
>.
>
> Me fait penser au mec qui m'explique qu'il lui faut une montre avec 4
> tourbillons pour avoir de la précision. Quartz, plus simple. CEREC, what else..

Pas bien compris


blaise2583

05/02/2015 à 18h37

youn écrivait:
--------------
> Cingulum écrivait:
> ------------------
> > "CCC sur dent vivante : 1h30-1h45"
> >
> > Donc 30 min pour faire l'endo ? et 1h30 pour faire prep, empreinte pose ?
> >
> > Si tu fais pas l'empreinte pour Inlay core le jour de l'endo faut rajouter un
> > bon quart d'heure d'installation, dépose pansement etc...
> > Et en plus dans ton calcul le FM est gratuit :)
> >
> > refais ton calcul tu vas voir que c'est kif kif... voir plus pénalisant avec
> > l'endo
> > Sans compter la sté, le consommable et le plaisir de l'acte endodontique...
>
>
> 1h30 CCC : prep + hybridation sous digue + pro : 45min-1h
> : Pose (sous digue et collage, pas de ciments comme vu plus haut...) :
> 30-45 minutes : acide-bain a ultrasons-silane-primer-bond -compo.
>
> 2h30 IC-CCM : 1h45 : endo prep pro emp
> 30-45min : pose (en étant large, très large).





>
> Elle est où mon erreur de calcul?

120 € ic et ccm tu bosses avec la malaisie?
t as oublie le prix de l ic


youn

05/02/2015 à 18h41

rajoute 30€ si ça te fais plaisir mais c'est les tarifs que j'ai, et fait en France par un artisan.

Tu peux aussi rajouter 1/4 d'heure si fait en deux rdv. Mais j'en connais beaucoup qui le font au contraire. Et je pense que chicot en fait partie.

Même comme ça la rentabilité est très éloignée. Et dans le deuxième cas ça prend plus de temps rentable...Donc moins de temps pour du non rentable.


moritooth

05/02/2015 à 18h42

Marc Apap écrivait:
-------------------
> tailles sous gingivales sur dents vivantes : est-ce justifié sur une molaire ?

Ca dépend du volume d'ancien matériau que t'as dégagé, des infiltrations sous ces dites obturations, etc...C'est pas un dogme, mais en reconstituant on se donne souvent bonne conscience grace à la hauteur du moigon. Sur DV tu peux pas tricher.


Capture d  cran 2015 03 12 12.28 - Eugenol
chicot29

05/02/2015 à 18h55

Cingulum écrivait:
------------------
> "CCC sur dent vivante : 1h30-1h45"
>
> Donc 30 min pour faire l'endo ? et 1h30 pour faire prep, empreinte pose ?
>
> Si tu fais pas l'empreinte pour Inlay core le jour de l'endo faut rajouter un
> bon quart d'heure d'installation, dépose pansement etc...
> Et en plus dans ton calcul le FM est gratuit :)
>
> refais ton calcul tu vas voir que c'est kif kif... voir plus pénalisant avec
> l'endo
> Sans compter la sté, le consommable et le plaisir de l'acte endodontique...
>

Désolé wakrap plus de cerec. -)))
Sinon tu ne fais pas assez d'endos cingulum, on ne fait vite et bien que ce qu'on fait souvent.
Ici, endo- taille- empreinte provisoire 1 h. Pose 10 mn.
Une molaire ca prend plus de temps je te l'accorde.

1 sptqqv - Eugenol
2 nrsxww - Eugenol
3 bfr6il - Eugenol
4 yt2f3q - Eugenol
5 rrqwkd - Eugenol
6 nvk9i8 - Eugenol
7 dpigl1 - Eugenol
8 z4bnp9 - Eugenol
9 ad2u4i - Eugenol
10 tgnepm - Eugenol
11 kxxmfo - Eugenol

Photo thumb 45 lnhuvp - Eugenol
wakrap

05/02/2015 à 20h06

moritooth écrivait:
-------------------

>
> Pas bien compris

Le tourbillon est à la montre ce que ton protocole est à la solution du cas présenté. Quand on a des dents dans cet état, ta solution est à mille lieues de la demande du patient.
Faut faire simple et rapide.
Un peu comme ici en bas de page :http://www.eugenol.com/sujets/406621-vous-auriez-fait-quoi?page=2

Tourbillon ydzmxn - Eugenol

uɹöɾq

05/02/2015 à 20h22

Le Choixpeau magique écrivait:
------------------------------
> C'est ce que font 90% des dentistes, le plus souvent pas ignorance.
> Je préfère ceux qui disent ce qu'ils font plutôt que ceux qui tiennent des
> discours édifiants sur la pureté de leur travail et font de la grosse merde au
> quotidien.


+10^9999999


uɹöɾq

05/02/2015 à 20h26

cocoladent écrivait:
--------------------

>
> Exact , l'éclairage dépend de la torche que tu utilises . Entre un compo bien
> fait et une dévitalisation toujours aléatoire , un IC mal adapté et une céram au
> joint incertain ... On se retrouve dans 20 ans et on compte les points ? Je suis
> certain que le compo sera toujours là .


Tu mets la digue pour faire tes composites?


Capture d  cran 2015 03 12 12.28 - Eugenol
chicot29

05/02/2015 à 20h33

j'ai un point commun avec Pierre Moscovici. Moi aussi j'aime les montres.-))))

Bell and ross tourbillon zb18ak - Eugenol
Bell and ross i8ep4l - Eugenol

Photo thumb 45 lnhuvp - Eugenol
wakrap

05/02/2015 à 20h43

Ah, en ce moment j'attend celle-ci (8 semaines d'attente!)que je viens de commander chez nos amis teutons. Une des rares qui soit belle avec un bracelet tissus si adapté à mes températures locales.

Nomos dfdmj7 - Eugenol

Photo thumb 45 lnhuvp - Eugenol
wakrap

05/02/2015 à 20h47

Par contre , je me permets de te conseiller cette seringue, plus adaptée à ton heure.

Seringue f0ndpp - Eugenol

uɹöɾq

05/02/2015 à 20h53

Cingulum écrivait:
------------------


> >
> je voulais dire, que je fais un devis, sans me
> demander ce qui va être rembourser... Je considère que la prise en charge c'est
> le problème du patient...
> Le patient me demande souvent s'il doit envoyer le devis à sa mutuelle, je lui
> dit que c'est pour lui, s'il veut connaitre la prise en charge que de toute
> façon la mutuelle rembourse sur présentation de facture, et que cela ne change
> rien de l'envoyer ou non...
>
>


Ah ah ah ah! :-)))


Photo thumb 45 lnhuvp - Eugenol
wakrap

05/02/2015 à 20h54

Sinon, connais-tu ce site? Une vrai perle pour trouver des vintage très sympa.

https://auctionata.com/auction-calendar


uɹöɾq

05/02/2015 à 20h59

Cingulum écrivait:

> Mais je n'ai pas de refus sur des onlays....
>
> Je fais en sorte que mes patients repartent avec un traitement qui leur donne
> les meilleurs chances de garder ses dents le plus longtemps possible, et ils
> viennent pour ça... ;)
>

Tu CROIS qu'ils viennent pour ça. ;-)


uɹöɾq

05/02/2015 à 21h04

casa écrivait:
--------------
> heureusement que la médecine ..la vraie ! ne tient pas ce genre de raisonnement
> ...


Ma pauvre, elle en tient de bien pires (si tu savais).
Et les patients n'ont pas le choix, contrairement à celui de chicot.


Photo thumb 45 lnhuvp - Eugenol
wakrap

05/02/2015 à 21h13

uɹöɾq écrivait:
---------------
> casa écrivait:
> --------------
> > heureusement que la médecine ..la vraie ! ne tient pas ce genre de
> raisonnement
> > ...
>
>
> Ma pauvre, elle en tient de bien pires (si tu savais).
> Et les patients n'ont pas le choix, contrairement à celui de chicot.


Ouaip, + 70 ans , rea, tu bouffes vite du pota à l'insu de ton plein gré


Utilisateur banni

05/02/2015 à 21h24

Et dire qu 'on nous mets tous dans le meme panier : A "gerber" ..nouveau pseudo : gerbax ....


baroud69

05/02/2015 à 21h28

chicot29 écrivait:
------------------
> Cingulum écrivait:
> ------------------
> > "CCC sur dent vivante : 1h30-1h45"
> >
> > Donc 30 min pour faire l'endo ? et 1h30 pour faire prep, empreinte pose ?
> >
> > Si tu fais pas l'empreinte pour Inlay core le jour de l'endo faut rajouter un
> > bon quart d'heure d'installation, dépose pansement etc...
> > Et en plus dans ton calcul le FM est gratuit :)
> >
> > refais ton calcul tu vas voir que c'est kif kif... voir plus pénalisant avec
> > l'endo
> > Sans compter la sté, le consommable et le plaisir de l'acte endodontique...
> >
>
> Désolé wakrap plus de cerec. -)))
> Sinon tu ne fais pas assez d'endos cingulum, on ne fait vite et bien que ce
> qu'on fait souvent.
> Ici, endo- taille- empreinte provisoire 1 h. Pose 10 mn.
> Une molaire ca prend plus de temps je te l'accorde.

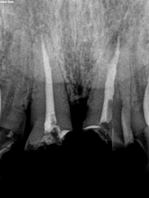
Endos sans digue, avec de la carie résiduelle, la gutta/ciment ne remplit pas toute la lumière du canal, pas de respect de l'espace biologique, effet férule minimaliste.....

Vu les autres dents le patient ne mérite peut être pas mieux et l'indication est là mieux posée, mais tu te positionnes comme un pro de l'endo puisque tu en ferais souvent et là, c'est pas flagrant...

Par contre top rentabilité !


uɹöɾq

05/02/2015 à 21h39

Cingulum écrivait:
------------------
> pouvez vous regarder honnêtement le temps et le cout pour:
> Endo + IC + Couronne, avec frais de laboratoire et temps passé
>
> et ensuite faire la même chose pour:
> Couronne sur dent vivante...
>
> et enfin regardé quelle rentabilité vous avez selon les deux protocoles ...
> Vous allez être surpris...
>
>

1.Endo+IC+CCM:
Temps:
120 minutes (endo, taille, provisoire, empreinte en une fois)
15 minutes une semaine après (scellement en une fois)
Honoraires:
90+430+376-110-42=744€

CA horaire supposé:330€
Reste à charge pour un patient à 300%= 116€
==> CA horaire effectif : 330€

2.CCC sur dent vivante
Temps:
60 minutes (vente, curetage carieux soigneux, reconstitution, taille, IDS, provisoire)
30 minutes collage

Honoraires:
40,97+564-110=495€

CA horaire supposé:330€ (le praticien gagne la même chose)
Reste à charge effectif pour un patient à 300%= 242€
===> CA horaire effectif: en fonction de ses dispositions naturelles pour la vente, son relationnel en général, la mise en place d'artifices rassurant le chaland (titres universitaires, site internet très commercial, statut affiché de formateur, grande taille, belle gueule, etc) le praticien qui ne proposera que la CCC pourra faire de 0 à 330€ de CA horaire. :-)))

Chacun selon ses capacités commerciales, comme chez Darty.




Utilisateur banni

05/02/2015 à 21h44

"no class " avec vos montres ....Aucune élégance ..


12345...