Cookie Consent byPrivacyPolicies.comMerveilleuse nomenclature - Eugenol
003 penrd2 - Eugenol
Cingulum

05/02/2015 à 21h45

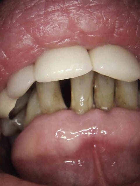
Tiens un cas s'approchant du tiens Chicot...comme je suis mauvais en Endo, j'essaye d'en faire le moins possible.
J'ai gardé vivant ce que je pouvais.
Le cas à 3 ans... RAS, j'ai vu la patiente il y a 2 mois.

Mais c'est facile, moi mes patients sont pas comme les vôtres. Par contre je sais pas jusqu’à quelle distance ils sont pas comme les autres... 500m, 5km, 50km ... faudrait que je fasse des stats.
C'est un microcosme local, où il y a pas de crise, pas de chômage, pas de divorce... bref j'ai eu du bol en m'installant ici en fait....

Image1 dojdzm - Eugenol
Image3 yyxyog - Eugenol
Image2 dnqit0 - Eugenol
Image4 k3c5ky - Eugenol

uɹöɾq

05/02/2015 à 21h47

moritooth écrivait:
-------------------
>
> Personnellement depuis 10 ans, je fait 2 CR sur 3 sur dent vivante,


Toi, je sens que tu fais du surtraitement!
Pense un peu à faire des onlays... :-)))


uɹöɾq

05/02/2015 à 21h51

Cingulum écrivait:

> Mais c'est facile, moi mes patients sont pas comme les vôtres. Par contre je
> sais pas jusqu’à quelle distance ils sont pas comme les autres... 500m, 5km,
> 50km ... faudrait que je fasse des stats.
> C'est un microcosme local, où il y a pas de crise, pas de chômage, pas de
> divorce... bref j'ai eu du bol en m'installant ici en fait....


Non, non, chez Darty, certains font 3 fois le CA d'autres vendeurs, DANS LE MEME MAGASIN, ça ne tient pas à la population, mais bien au vendeur.


Capture d  cran 2015 03 12 12.28 - Eugenol
chicot29

05/02/2015 à 21h53

> Endos sans digue, avec de la carie résiduelle, la gutta/ciment ne remplit pas
> toute la lumière du canal, pas de respect de l'espace biologique, effet férule
> minimaliste.....

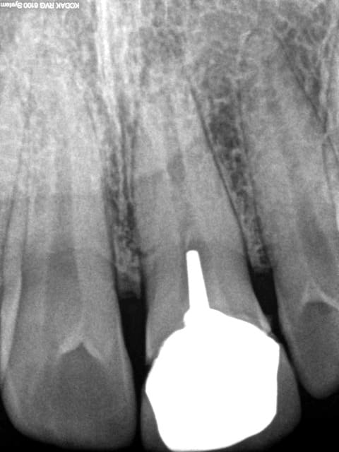
Carie résiduelle ? Gutta qui ne remplit pas toute la lumière du canal ?
Tu ne confonds pas dentine réactionnelle et carie ?
Tu ne confonds pas radio cone en place et thermo compaction ?
Pas de digue je te l'accorde, mais pour des incisives ou est le risque de contamination salivaire ? PFFF......
Pour 33,74 euro l'endo c'est déjà de la confiture pour les cochons.

8 nlz6x7 - Eugenol
2 myeg1d - Eugenol
4 cw2rul - Eugenol

Photo thumb 45 lnhuvp - Eugenol
wakrap

05/02/2015 à 22h01

Toujours intéressant de voir les goûts des autres.
Donne un exemple de ce qui te plait pour hommes, aurore.


Capture d  cran 2015 03 12 12.28 - Eugenol
chicot29

05/02/2015 à 22h02

baroud69 écrivait:
------------------

>
> Vu les autres dents le patient ne mérite peut être pas mieux et l'indication est
> là mieux posée, mais tu te positionnes comme un pro de l'endo puisque tu en
> ferais souvent et là, c'est pas flagrant...
> Par contre top rentabilité !
>Vu les autres dents le patient ne mérite peut être pas mieux et l'indication est là mieux >posée, mais tu te positionnes comme un pro de l'endo puisque tu en ferais souvent et là, >c'est pas flagrant...

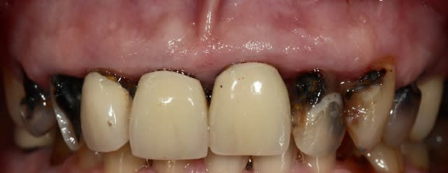
Il y a meilleur en endo que moi, c'est un fait. Il faut dire que le patient méritait mieux. -)))))
Il a eu du bol celui là. Un seul soin en bouche et il a eu droit au top !
Voir cas ci dessous.

1 t0vddl - Eugenol
2 oailks - Eugenol

uɹöɾq

05/02/2015 à 22h02

De toutes façons, au vu de la gueule de ses incisives, ce sera vite un complet si l'étiologie n'est pas maîtrisée.


uɹöɾq

05/02/2015 à 22h04

chicot29 écrivait:
------------------
>
> Il y a meilleur en endo que moi, il faut dire que le patient méritait mieux.
> -)))))
>
> Voir cas ci dessous.


Encore plus rentable: l'IC/CCM sur dent vivante!! :-)))à


Capture d  cran 2015 03 12 12.28 - Eugenol
chicot29

05/02/2015 à 22h16

uɹöɾq écrivait:
---------------
> chicot29 écrivait:
> ------------------
> >
> > Il y a meilleur en endo que moi, il faut dire que le patient méritait mieux.
> > -)))))
> >
> > Voir cas ci dessous.
>
>
> Encore plus rentable: l'IC/CCM sur dent vivante!! :-)))à

Oui , la meilleure c'est qu'il fait partie de mes cas de radios abusives.
Toutes les radios sont abusives " sauf éventuellement la 21".
C'est énorme !-)))))
Au fait tu as une idée de ce qu'est l'effet "ferule" ? -))))


jeff13

05/02/2015 à 22h22

punaise mais chicot, tu bosses où pour avoir des cas comme cas? Directement depuis l'aeroport dont les patients reviennent du bled?


Capture d  cran 2015 03 12 12.28 - Eugenol
chicot29

05/02/2015 à 22h26

baroud69 écrivait:
------------------

pas de respect de l'espace biologique,

Pas de ma faute, je taille au feeling. J'y vois plus rien en vision de près ( astigmate et presbyte). J'ai une mauvaise mutuelle ce qui fait que je n'ait pas les moyens de changer de lunettes tous les ans.


uɹöɾq

05/02/2015 à 22h29

chicot29 écrivait:
------------------
>
> Au fait tu as une idée de ce qu'est l'effet "ferule" ? -))))

Oui, c'est un concept mécanique fumeux inventé par des dentistes qui ne devaient pas être agrégés de physique.


Capture d  cran 2015 03 12 12.28 - Eugenol
chicot29

05/02/2015 à 22h36

Cingulum écrivait:
------------------
> Mais c'est facile, moi mes patients sont pas comme les vôtres.

Je penses que si tu veux faire un concours tu vas perdre. Patient au smic pas un centime devant lui. Amuses toi. -)))))



1 f8r5uw - Eugenol
2 uqjowx - Eugenol
3 b6buap - Eugenol
4 ax5o6k - Eugenol
5 uxxr26 - Eugenol

Grueavatar nptrc9 - Eugenol
Le Choixpeau magique

05/02/2015 à 22h39

youn écrivait:
--------------
> Vous semblez un petit peu craquer ici. Ce que fait chicot combien le font?

PERSONNE ne le fait !
TOUT LE MONDE passe 1H30 sur trois compos sous digue et le poste ensuite ici sur Facebook.
Quand tu demandes les CA horaires, les mecs sont à 400, 500, 600... sûrement à coup de 40,97.

> Ceux qui mettraient un compo là dessus, c'est une blague ou quoi? Vous pensez
> sincèrement que votre patient avec un compo reviendra pour la suite

Bien sûr que non.
A une époque j'étais assez con pour mettre des IRM sur les caries des patients pour lesquelles une reconstitution directe n'était pas la bonne indication. En général je les revoyais à 6 mois quand l'IRM commençait à ne plus être étanche.
Récemment j'ai vu un gars à qui j'ai posé un IRM sur un MOD géant, une dent à couronner, il y a... trois ans ! Il se pointe pour un "détartrage", je lui demande si il a pris une décision pour sa dent "ah non, mais ça ne me dérange pas, ça ne fait pas mal".
Mais est-ce que vous vous rendez compte que vous risquez de casser votre dent et de la perdre ? "ah oui oui, mais je n'ai pas mal, ça ne me dérange pas".

(si y'en a
> 1/20 qui revient dans 6 mois ou 1 an avec des sous pour la suite...)

Ca me semble une bonne estimation.
Et tu en auras 1 sur 4 qui va revenir à deux ans avec un gros problème sur la dent, style fracture irrécupérable, et le pire c'est qu'en général ça ne leur sert même pas de leçon.
"ah oui Docteur, j'ai bien compris, maintenant je veux tout faire.... ah oui, l'autre couronne à faire ? Je vais me renseigner auprès de ma mutuelle et ensuite je vous rappelle sans faute".

> Je suis sûr que le patient a été averti du risque de la pulpo, on lui a proposé
> avec et sans, c'est lui qui voit.

Ca me fait penser à tous les mecs qui ont un bridge qui se casse la gueule et à qui on n'a JAMAAAAAIS proposé d'implant. Et quand tu leur proposes de faire des implants pour faire le bridge qui s'est cassé la figure, emportant un pilier au passage "mais c'est remboursééééé ?"


uɹöɾq

05/02/2015 à 22h49

chicot29 écrivait:
------------------
> Cingulum écrivait:
> ------------------
> > Mais c'est facile, moi mes patients sont pas comme les vôtres.
>
> Je penses que si tu veux faire un concours tu vas perdre. Patient au smic pas un
> centime devant lui. Amuses toi. -)))))
>
>
>


Cingulum, ce serait intéressant que tu répondes: ton plan de traitement?


Grueavatar nptrc9 - Eugenol
Le Choixpeau magique

05/02/2015 à 22h53

Cingulum écrivait:
------------------
> pouvez vous regarder honnêtement le temps et le cout pour:
> Endo + IC + Couronne, avec frais de laboratoire et temps passé

Si tu considères que le taux d'acceptation va facilement du simple au triple, ce n'est pas le seul critère.

Vaut mieux faire un taux horaire pas optimal en faisant de la prothèse plutôt que des détartrages et des composites six faces toute la journée.


uɹöɾq

05/02/2015 à 22h56

Le Choixpeau magique écrivait:
------------------------------
> youn écrivait:
> --------------
> > Vous semblez un petit peu craquer ici. Ce que fait chicot combien le font?
>
> PERSONNE ne le fait !
> TOUT LE MONDE passe 1H30 sur trois compos sous digue et le poste ensuite ici sur
> Facebook.
> Quand tu demandes les CA horaires, les mecs sont à 400, 500, 600... sûrement à
> coup de 40,97.
>

T'es vraiment aigri, Choixpeau.

Alors qu'il suffit de se former, d'être à l'écoute des patients, de leur proposer à chaque fois le traitement que tu ferais à un membre de ta famille,, sans aucune sélection -consciente ou inconsciente- des patients, sans JAMAIS parler ni de remboursements ni d'argent, pour faire 400€ de CA horaire en étant aimé de tous et en faisant du boulot de dieu vivant sur tous tes cas (et pas que ceux que tu photographies).

Forme-toi Choixpeau! :-)))


Grueavatar nptrc9 - Eugenol
Le Choixpeau magique

05/02/2015 à 23h05

moritooth écrivait:
-------------------
> 1; Tailler avec fraise pas usagée, sous spray abondant. Turbine ou bague rouge
> peu importe.

J'utilise mes fraises normales avec un spray normal.

>
> 2; Coiffe pro scellée avec IRM fluide. Lors des interséances, on laisse le
> ciment dans la pro, on rajoute juste une goutte d'eau avant de remettre la
> coiffe en place

J'aime bien le Durelon, jamais de problème de sensibilité.
L'IRM perturbe le collage et d'après certains est mauvais pour la pulpe (jamais trop pigé).
>
> 3; Si proximité pulpaire : DYCAL ou CVIrésine ( surtout pas de CAOH)

Et le dycal c'est quoi si ce n'est du CaOH ???

Si proxmité pulpaire, je ne fais rien de spécial.

>
> 4; Sur dent vivante on a souvent des tailles sous gingivales

Pourquoi ???

> 5; Scellement selon hauteur moignon: du plus court au plus haut : SuperBond,
> Fuji+, et polycarboxylate (cas normaux)

Quand je fais du scellé, toujours Fuji plus, jamais de sensibilité.
Quand je colle, je colle.
Par contre j'ai eu quelques fois des problèmes avec l'unicem sur des dents pulpées dont un qui s'est terminé en pulpite.

>
> 6;Anesthesie pas trop chargé, chez des personnestd'un age a pulpe bien calcifiée
> on peut tailler sans AL, ils ne sentent rien !( mais tjs fraises neuves et
> spray)

Anesthésie pas trop chargée ???


> Mais que reconnais que quand j'ai démarré j'arrivais
> pas à imaginer une Cr sans dévitaliser.

A la fac c'était, besoin couronne ? -> endo + IC + CCM

Après j'ai appris à mieux soigner.... et mon CA a baissé ;)


Capture d  cran 2015 03 12 12.28 - Eugenol
chicot29

05/02/2015 à 23h14

uɹöɾq écrivait:
---------------
> chicot29 écrivait:
> ------------------
> > Cingulum écrivait:
> > ------------------
> > > Mais c'est facile, moi mes patients sont pas comme les vôtres.
> >
> > Je penses que si tu veux faire un concours tu vas perdre. Patient au smic pas
> un
> > centime devant lui. Amuses toi. -)))))
> >
> >
> >
>
>
> Cingulum, ce serait intéressant que tu répondes: ton plan de traitement?

Ca c'est rien j'ai le meme en inversé d'articulé. -))))


John gp55mb - Eugenol
Faivre-rampant

05/02/2015 à 23h25

@chico29
tu utilise quoi comme mordu pour prendre tes empreintes ?


chipoundine

05/02/2015 à 23h28

Donc moralité , il vaut mieux faire endo/IC/CCM sur ce cas plutôt qu'un compo en gardant la dent vivante, si le patient ne peux pas se payer d'inlay, car il risque de ne pas revenir, et donc la dent risque de se péter....sauf que si la dent elle pète le patient pourra peut être faire un inlay non ? les fractures sont systématiquement intra-pulpaires et intra-osseuses ? savait pas ....

Je vous conseille donc avec un tel raisonnement , d'extraire toute dent cariée, et de la remplacer par un implant directement, au moins c'est réglé ! pas d'endo , pas de pêche , pas d'ASM....

C'est bien les gas continuez comme ça...Finalement certains d'entre vous ne font qu'appliquer les recettes des centre low-cost dans leur cabinet, mais en plus cher .

Sauf que de plus en plus de confrères ont pris conscience du changement de "dogme" que nos chers profs de la fac nous inculquent en se basant sur des ouvrages des années 70 , et ceux là échapperont peut-être au scandale de santé publique auquel nous allons devoir répondre dans quelques années.


RépondreCiter
John gp55mb - Eugenol
Faivre-rampant

05/02/2015 à 23h34

@moritooth

Combien factures-tu ta couronne sur dent vivant ?
quel type de couronne est ce que c'est métal / ceramo métallique / full céramique ?

quelle est ton protocole ?
tu comble ton éviction carieuse avec un composite classique ?


uɹöɾq

05/02/2015 à 23h34

chipoundine écrivait:
---------------------

> Sauf que de plus en plus de confrères ont pris conscience du changement de
> "dogme" que nos chers profs de la fac nous inculquent en se basant sur des
> ouvrages des années 70 , et ceux là échapperont peut-être au scandale de santé
> publique auquel nous allons devoir répondre dans quelques années.
>


Quel scandale de santé publique?


John gp55mb - Eugenol
Faivre-rampant

05/02/2015 à 23h35

@moritooth
avec quel produit tu scelle sur dent vivante ?


John gp55mb - Eugenol
Faivre-rampant

05/02/2015 à 23h40

Sur dent vivante on a souvent des tailles sous gingivales, donc empreinte à coque (= die en silicone fait dans la provisoire, et sur lequel on fait une petite coque en palavit)

tu pourrais expliquer ou prendre des photos. je ne connais pas du tout....


1...456...