Cookie Consent byPrivacyPolicies.comComment faire accepter le devis d'inlay... - Eugenol

Comment faire accepter le devis d'inlay...

Copilot daqhpp - Eugenol
thebenj87

27/03/2015 à 12h36

Bonjour,
J'ai un cas assez caractéristique que je voudrais soumettre à l'aimable assemblée.
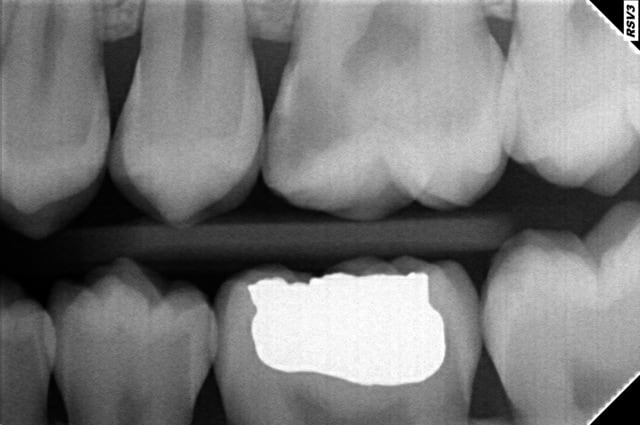
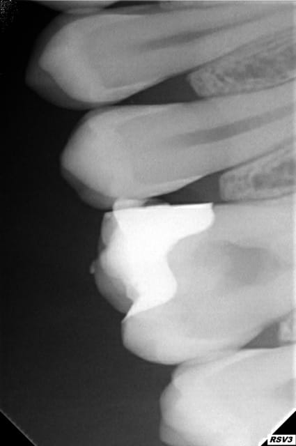
Patiente de 21 ans arrive avec une hyperémie de la 26. je pose de la biodentine et je lui fait un devis pour un inlay (à 235 euros). Je viens de me mettre aux inlays et au concept de garder la dent vivante (j'ai fait la journée de formation avec cingulum à clinic all).
Elle revient au prochain rdv,et la elle me dit qu'il reste 200 euros de sa poche et qu'elle ne les a pas. J'ai donc fait un composite...
Je n'ai même pas essayé de la convaincre de faire l'inlay, j'ai dis :" bon et bien on fait quelque chose d'autre qui durera moins longtemps."
On avait perdu une partie de la cuspide mv et de la mp et un inlay était indiqué je pense.
Comment faire accepter ce devis?

Biodetine vfjvoo - Eugenol
Onlay2 brhnap - Eugenol

Kon nx3ojp - Eugenol
Kon

27/03/2015 à 12h58

caractéristique comme tu dit.
Tu a passé deux séances pour maximum 100 euros d'honoraire en utilisant des matériaux couteux.

Cette position intermédiaire est la moins viable pour ton cabinet, choisi plutôt:
1-pulpectomie ccm+IC d'emblée
2-composite direct sans coiffage et revenir à 1 plus tard.
3-devis avant même de commencer le soin pour ton inlay et si refus étape 2 puis étape 1.


doagui

27/03/2015 à 13h43

C'est triste mais honnêtement la biodentine (ou le MTA, bref tout ce qui est hors de prix) ne peut pas être utilisé pour des patients qui ne le payent pas.

Pour ces patients-là qui ne VEULENT PAS (et j'insiste là dessus, qui ne veulent pas et non qui ne peuvent pas, parce que franchement 200€ si tu veux tu les trouves, quitte à payer en plusieurs fois) et bien il n'est pas question de ne pas les soigner bien évidemment mais de s'en tenir à des matériaux ayant un coût raisonnable et en adéquation avec la motivation du patient. En l'occurrence, avec un Dycal et un CVI en fond de cavité sous ton composite, tu obtiens une restauration tout à fait honnête et qui a été un standard il n'y a pas si longtemps, avec des taux de réussite encourageants.


Enigma

27/03/2015 à 13h49

quel interet pour un patient, d'avoir a choisir entre un onlay a 250 300 euros, "couleur des dents", structure proche de la dentine et un composite a 40 euros, couleurs des dents, structure proche de la dentine.

aucun pour 90 % des patients.

deja oublie les composites, en france si tu es conventionné et propose onlay ou plombage.

pour le reste idem precedemment.

Je fais extremement rarement des compos 2 faces, d'ailleurs les indications sont limitées...
des 3 faces ça fait 2 ans que je n'en ai pas fait, hormis de canines a canines.

Apres je m'adapte au systeme, sans porter tort au patient, et j'assume.


N'oublie pas que 80% des patients peuvent tres bien te payer ton onlay. Tu es juste en concurrence avec leur week end relais et chateaux, la soirée discotheque du samedi, l'abonnement telephonique tout illimité etc etc.


Image bm39we - Eugenol
daggets

27/03/2015 à 13h59

Enigma écrivait:
----------------
> deja oublie les composites, en france si tu es conventionné et propose onlay ou
> plombage.
> Je fais extremement rarement des compos 2 faces, d'ailleurs les indications sont
> limitées... des 3 faces ça fait 2 ans que je n'en ai pas fait, hormis de canines a canines.
>


P***** on ne vit pas la même pratique dans ce pays !!
Tant mieux pour toi si ça passe.
Après c'est clair qu'il faut bosser sur la communication. Expliquer l'interet d'un matériau qui est plus pertinent qu'un autre ok, mais avoir ce sentiment de "vendre" de la prothèse, moi, ça me plombe.


Enigma

27/03/2015 à 14h17

heureusement qu'on ne vit pas la meme pratique. Il faut s'adapter a sa patientele, a la zone geographique etc.
Je fais de plus en plsu d'onlay donc ça me va avec tres peu de patients qui vont autre part poru cette raison.

Je n'ai pas parlé de vendre. Mais obtenir l'acceptation d'un choix du patient, en l'occurence choisir l'onlay plutot que l'autre solution, si c'est vendre alors aucun soucis, apelle ça comme tu veux. Si je fais accepter l'onlay au patient, c'est dans son interet (et aussi dans le mien donc parfait pour les 2 !)

Le patient lui, il achete un soin dans tous les cas dans son esprit!
faut redescendre du pays des bisounours. 9a ne fait pas de toi un vendeur de prothese pour autant.


Copilot daqhpp - Eugenol
thebenj87

27/03/2015 à 14h33

Merci de vos réponses,

Déjà dans ce cas je suis tomber sur une grande effraction pulpaire. Apparemment il n'y a que la biodentine qui marche, l'hydroxyde de calcium n'étant pas suffisant (la prochaine fois je ferai un devis de 50 euros hn pour mettre la biodentine quitte à revoir le patient une prochaine fois...)

Je pense que je n'étais pas assez sur de l'intérêt d'un inlay par rapport à un composite. Je n'ai pas de recul pour pouvoir comparer les deux et dans ma tête si il n'y a pas du tout de salive, un collage correct et pleins de couches cela vaut pratiquement l'inlay : c'est pour ça que je n'ai pas insisté.

Une piste de réflexion sur l'avantage de l'inlay serai que comme on est déjà proche de la pulpe, une reprise carieuse serait beaucoup plus embêtante que sur une petite carie. Quand le compo se sera détérioré on va aller plus vite vers une couronne....


doagui

27/03/2015 à 15h32

thebenj87 écrivait:
-------------------
> Merci de vos réponses,
>
> Déjà dans ce cas je suis tomber sur une grande effraction pulpaire.


Ah bon bah dans ce cas c'est différent, tu as mal présenté les choses, c'était pas composite ou inlay, c'était soit le patient veut garder sa dent vivante et c'est biodentine et inlay, soit il veut du tout remboursé et c'est endo couronne.

Biodentine sous un composite c'est un non sens absolu. Théoriquement tu pourrais proposer un devis pour la biodentine et faire un superbe composite dessus, mais ça resterait une solution de compromis un peu triste... Soit le patient et toi vous décidez de mettre les moyens et alors c'est biodentine + inlay, soit vous décidez de ne pas les mettre et c'est ni l'un ni l'autre, mais entre les deux ça n'a pas vraiment de sens à mon avis, ni pour lui ni pour toi.


> Je pense que je n'étais pas assez sur de l'intérêt d'un inlay par rapport à un
> composite. Je n'ai pas de recul pour pouvoir comparer les deux et dans ma tête
> si il n'y a pas du tout de salive, un collage correct et pleins de couches cela
> vaut pratiquement l'inlay : c'est pour ça que je n'ai pas insisté.

Effectivement c'est là que ça se joue en bonne partie. Si tu es convaincu à 100% du bien fondé de ta proposition, ça se ressent et les gens ont plus tendance à essayer de te suivre. Après c'est clair que ça dépend aussi du budget, mais bon au risque de me répéter là on ne parle que d'une dent, y'a que 200€ de restant à charge et je reste persuadé que 90% de la population peut s'offrir ce soin, quitte à payer en plusieurs fois. Après ce n'est qu'une question de motivation du patient, comme la plupart du temps.


Copilot daqhpp - Eugenol
thebenj87

27/03/2015 à 15h50

Pourquoi pas de biodentine et de composite? Il y a quand même une adhésion qui se fait selon la littératureet leurs propres conseils...


Olieve

27/03/2015 à 16h07

thebenj87 écrivait:
-------------------
> Pourquoi pas de biodentine et de composite? Il y a quand même une adhésion qui
> se fait selon la littératureet leurs propres conseils...

Tout à fait. Et il faut attendre 3 semaines entre l'application de la biodentine et la pose du composite pour avoir les meilleures valeurs d'adhésion.


doagui

27/03/2015 à 16h09

Je ne dis pas que c'est impossible, je trouve juste que c'est incohérent. Soit on veut mettre toutes les chances de son côté et on fait ce qu'il faut, soit on ne veut pas, mais l'entre deux me laisse perplexe.


Toothache

27/03/2015 à 16h13

thebenj87 écrivait:
-------------------
> Bonjour,
> J'ai un cas assez caractéristique que je voudrais soumettre à l'aimable
> assemblée.
> Patiente de 21 ans arrive avec une hyperémie de la 26. je pose de la biodentine
> et je lui fait un devis pour un inlay (à 235 euros). Je viens de me mettre aux
> inlays et au concept de garder la dent vivante (j'ai fait la journée de


Quel est ton cout horaire du cabinet pour proposer un onlay à 235 euros?

Je ne sais pas comment tu fais, rien que pour payer tes charges?


olivier

27/03/2015 à 16h21

cerec?


Copilot daqhpp - Eugenol
thebenj87

27/03/2015 à 16h30

Bon je suis collaborateur libéral, pas titulaire et je viens de commencer a faire des inlays : j'augmenterai le prix jusqu'à 350 euros (je me suis un peu renseigné) quand j'aurai un peu plus d’expérience... Vous avez des bons retours au long terme avec des inlays ? plus que les compos ? Il y a une réel différence?


doagui

27/03/2015 à 16h54

Rien que le point de contact n'a rien à voir en général, et ça fait déjà une gigantesque différence.


yup

27/03/2015 à 16h58

bonjour,

eh bien comme qqs copains à moi, des que j'ai un overlay, je cote ça comme une couronne...(enfin, je garde tarif onlay qd meme!)
à condition que ce soit en ceram bien sur.
et vous, vous faites comment?


azerty

27/03/2015 à 17h01

oui; il y a une différence


Little shop of horrors brzqjx - Eugenol
chatondecarte

27/03/2015 à 17h05

Enigma écrivait:
----------------
>
>
>
> Je fais extremement rarement des compos 2 faces, d'ailleurs les indications sont
> limitées...
>

J'aimerai que tu développes, car les indications ils y en quand même beaucoup. Bien plus que pour les inlay core / couronnes.


pascal79

27/03/2015 à 17h14

thebenj87 écrivait:
-------------------
> Bon je suis collaborateur libéral, pas titulaire et je viens de commencer a
> faire des inlays : j'augmenterai le prix jusqu'à 350 euros (je me suis un peu
> renseigné) quand j'aurai un peu plus d’expérience... Vous avez des bons retours
> au long terme avec des inlays ? plus que les compos ? Il y a une réel
> différence?

si toi tu n'es pas persuadé de la difference, c'est normal que ton patient ne choisisse pas l'inlay. J'ai gaspillé bcp de salive a expliqué l'interet de l'inlay et je n'en propose quasi plus. Je pense que l'idée est de cibler le patient qui est en mesure de comprendre et pour qui la santé bucco-dentaire est importante. En ce qui concerne les tarifs, je te conseillerai de te mettre directement au tarif réel ...J'ai commencé avec des tarifs bas comme toi et quand certain patients comparent les prix entre eux ou quand le meme patient revient et voit que ça a augmenté c'est pas terrible ...


Image bm39we - Eugenol
daggets

27/03/2015 à 18h28

doagui écrivait:
----------------
> Rien que le point de contact n'a rien à voir en général, et ça fait déjà une
> gigantesque différence.

Si tu as un bon système de matriçage ( genre palodent + ) pour des cavités type inlay, tu as un super point de contact avec un compo "classique", les bons arguments seraient plutôt dans le matériau si tu fais des inlay ceram ou mixte ( Lava ultimate par ex ), ainsi que dans la réduction d'infiltration puisque monobloc... non ?


doagui

27/03/2015 à 19h00

daggets écrivait:
-----------------

> Si tu as un bon système de matriçage ( genre palodent + ) pour des cavités type
> inlay, tu as un super point de contact avec un compo "classique", les bons
> arguments seraient plutôt dans le matériau si tu fais des inlay ceram ou mixte
> ( Lava ultimate par ex ), ainsi que dans la réduction d'infiltration puisque
> monobloc... non ?


On peut avoir un bon point de contact avec un simple composite dans beaucoup de cas, mais soyons réalistes, quel pourcentage des praticiens en France mettent en oeuvre les moyens nécessaires pour avoir ce point de contact de qualité ?


Tes arguments sur le matériau sont valables, bien entendu.


Capture d  cran 2015 03 12 12.28 - Eugenol
chicot29

27/03/2015 à 19h54

chatondecarte écrivait:
-----------------------
> Enigma écrivait:
> ----------------
> >
> >
> >
> > Je fais extremement rarement des compos 2 faces, d'ailleurs les indications
> sont
> > limitées...
> >
>
> J'aimerai que tu développes, car les indications ils y en quand même beaucoup.
> Bien plus que pour les inlay core / couronnes.

Ah ? en général l'état fout des prunes pour ce qui n'est pas indiqué. Pas pour ce qui l'est. -))))


Index vf7ggk - Eugenol
dentisfuturis

27/03/2015 à 20h23

inclure la biodentine dans le devis "conservateur" avec onlay en valorisant le traitement.
mettre en balance avec les autres traitements et peser le pour et le contre...
si refus, faire traitement correspondant aux honoraires..

--
http://www.dentisfuturis.com


Dents t2cri9 - Eugenol
FGR

27/03/2015 à 21h14

yup écrivait:
-------------
> bonjour,
>
> eh bien comme qqs copains à moi, des que j'ai un overlay, je cote ça comme une
> couronne...(enfin, je garde tarif onlay qd meme!)
> à condition que ce soit en ceram bien sur.
> et vous, vous faites comment?

la couronne est une reconstitution périphérique, donc dès que toutes tes faces axiales sont concernées (4) en plus de la face O, quelque soit la hauteur, là je cote couronne mais en général en emax et je facture couronne.
si toutes les faces axiales ne sont pas concernées ça reste onlay en cotation


3231500709 2 2 94jcbpqu h1bmap - Eugenol
T4xus

27/03/2015 à 23h10

thebenj87 écrivait:
-------------------
> Bonjour,
> J'ai un cas assez caractéristique que je voudrais soumettre à l'aimable
> assemblée.
> Patiente de 21 ans arrive avec une hyperémie de la 26. je pose de la biodentine
> et je lui fait un devis pour un inlay (à 235 euros). Je viens de me mettre aux
> inlays et au concept de garder la dent vivante (j'ai fait la journée de
> formation avec cingulum à clinic all).
> Elle revient au prochain rdv,et la elle me dit qu'il reste 200 euros de sa poche
> et qu'elle ne les a pas. J'ai donc fait un composite...
> Je n'ai même pas essayé de la convaincre de faire l'inlay, j'ai dis :" bon et
> bien on fait quelque chose d'autre qui durera moins longtemps."
> On avait perdu une partie de la cuspide mv et de la mp et un inlay était indiqué
> je pense.
> Comment faire accepter ce devis?

Tu ne laisses pas le choix : si tu estimes que c'est une indication de restauration partielle collée tu fais le devis et tu expliques à la patiente que c'est cela qui faut faire et pas autre chose. Qu'un composite vieillira mal et qu'il va mettre en péril l'avenir de la dent. Il ne faut pas laisser le choix, c'est toi le professionnel de santé, c'est toi qui sait, pas le patient ; lui va choisir en fonction de son portefeuille mais il n'oubliera pas de venir gueuler quand sa dent sera à extraire.

Tu ne dois pas te laisser influencer par des critères économiques dans ton plan de traitement ni avoir peur de perdre des patients, la seule chose dont tu dois avoir peur c'est de faire de la merde parce que tu n'as pas fait ce qu'il fallait faire.

Je fais plus d'inlay-onlay que de composites et je dirais que 80% de mes patients acceptent le devis.

J'ai l'impression que le principal obstacle à l'acceptation de tes devis de restaurations partielles collées c'est toi-même parce que tu culpabilises de proposer un traitement plus onéreux qu'un composite. Soi convaincu de tes choix et tes patients le seront aussi!