Cookie Consent byPrivacyPolicies.comconduite à tenir? - Eugenol
S2y2o1v7q53ws4r5wy6ou8czrpom - Eugenol
pxav

19/06/2015 à 21h58

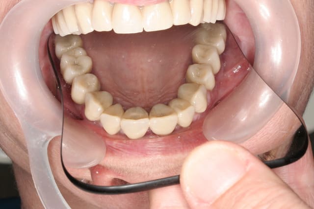
Patiente 69 ans, présente bien, ne fume pas, n'a plus confiance dans l'ancien confrère car "ses dents bougent et il ne fait rien"...
Ce n'est pas bien bon mais avant de me lancer dans de gros travaux j'aimerais avoir vos avis...paro, implanto?
Pluton si tu lis ce post dis moi de quel implant il s'agit.(posé à Lyon avec "greffe", c'est propre mais prothèse éclatée)
pas encore de photos mais esthétique...bof.mobilité avancée.
--
xbk
"Si tous ceux qui croient avoir raison n'avaient pas tort, la vérité ne serait pas loin" Dac Pierre

Se s pano du 19 06 2015 oj5uxd - Eugenol

Photo pluton1b h9n4ea - Eugenol
pluton

19/06/2015 à 22h07

une petite rétro pour être sûr pour cet implant?
c'est trop flou sur la pano pour que je sois certain...

c'est tout mobile en haut?

si oui j'ai bien une petite idée mais certains vont certainement dire que je vais un peu vite en besogne...;-)

edit: plus je le regarde, moins çà me dit pour du zimmer...peut être un serf....donc vite une rétro pour que je puisse t'aider


S2y2o1v7q53ws4r5wy6ou8czrpom - Eugenol
pxav

19/06/2015 à 22h46

oublie ton idée, je suis conservateur...par contre pour la rétro semaine prochaine.

--
xbk
"Si tous ceux qui croient avoir raison n'avaient pas tort, la vérité ne serait pas loin" Dac Pierre


Photo pluton1b h9n4ea - Eugenol
pluton

20/06/2015 à 00h05

pxav écrivait:
--------------
> oublie ton idée, je suis conservateur...par contre pour la rétro semaine
> prochaine.

moi aussi...de l'os...;-)
et un peu provocateur aussi, mais çà tu le savais déjà...;-)
de toutes façons je n'ai pas assez d'éléments pour juger de ce cas simplement avec une pano, tu en conviendras...

pour la rétro, oui, je m'en doutais, on est quand même vendredi soir...


41467 100000418256397 4215 n ypxyho - Eugenol
Blette

20/06/2015 à 00h17

Si le patient se plaint que toutes ses dents bougent et qu on ne lui fait rien ....
Y a qu une solution .... La révolution :0)
Extrac de tout le maxillaire et all on 6


41467 100000418256397 4215 n ypxyho - Eugenol
Blette

20/06/2015 à 00h19

Vu l atteinte parodontale , essayer d être conservateur la dessus c est juste repousser l échéance a 2 ou 4 ans maximum .....


Tumblr nbpd8ntwip1rsb3deo1 1280 hyinig - Eugenol
Enki

20/06/2015 à 01h05

Je crois que Blette dit ce que d'autres étaient en train de penser tout haut.

Si tout bouge...On peut partir dans des surfaçages+contention et dans 4 ou 5 ans on pourra extraire des dents aux racines polies... mais ils n'y aura plus d'os.

On peut se la jouer "conservateur" et dégarer les molaires et prémolaires, caller 8 implants et surfacer le bloc incisivo-canin et dans 5 ou 6 ans faire un bridge complet sur les 8 implants (6 je trouve ça un peu juste au maxillaire). Le risque dans ce cas est celui de la translocation des germes de la paro vers les implants. C'est pour ça que tout virer maintenant est une option sérieuse, provocatrice pour certains, mais sérieuse.


Je me pose souvent la question de ce que je ferai pour moi si tout se mettait à avoir la tremblote...


Photo pluton1b h9n4ea - Eugenol
pluton

20/06/2015 à 01h35

Enki et Blette, visiblement on se rejoint dans notre vision des choses...mais bon, encore une fois, c'est pas simplement sur une pano qu'on peut juger, même si çà paraît bien compromis...

reste aussi le côté moyens financiers de la patiente ainsi que son état psychologique...faut être prêt pour une telle "révolution"...


S2y2o1v7q53ws4r5wy6ou8czrpom - Eugenol
pxav

20/06/2015 à 02h01

Oui J'ai aussi eu ce raisonnement la mais je ne suis pas sur que ce soit le bon

--
xbk
"Si tous ceux qui croient avoir raison n'avaient pas tort, la vérité ne serait pas loin" Dac Pierre


Utilisateur banni

21/06/2015 à 14h36

Dans un plan de traitement, la transition entre la situation présente et celle envisagée fait aussi partie de l’adhésion ou non du patient. Quel est le plan et la procédure que tu envisage?


Utilisateur banni

22/06/2015 à 21h38

Je viens de recevoir une photo d’un cas clinique réalisé il y a 25 jours. Je vous poste la photo du bridge posé le jour de la chirurgie et souhaite avoir des critiques, bien sur du moment où elles peuvent être expliquée (les remarques du style « c’est moche » ne compte pas s’il n’y a pas de commentaire). Je pense que les prochaines photos et explications illustrerons les remarques de Enki Blette et Pluton.

Mci   25 jours de la pose du bridge d0sgs5 - Eugenol

RépondreCiter
S2y2o1v7q53ws4r5wy6ou8czrpom - Eugenol
pxav

22/06/2015 à 21h46


Sans doute passionnant comme cas, mais ça ne fait pas avancer ma réflexion.
--
xbk
"Si tous ceux qui croient avoir raison n'avaient pas tort, la vérité ne serait pas loin" Dac Pierre


Utilisateur banni

22/06/2015 à 22h07

Si ce que je poste ne fait pas avancer ta réflexion, je te ferais mes plus plates excuses mais n’hésite pas , quelle critique t’inspire ce bridge.


S2y2o1v7q53ws4r5wy6ou8czrpom - Eugenol
pxav

23/06/2015 à 00h43

rien de spécial, si ce n'est une photo de mauvaise qualité.

--
xbk
"Si tous ceux qui croient avoir raison n'avaient pas tort, la vérité ne serait pas loin" Dac Pierre


Utilisateur banni

23/06/2015 à 00h52

Trop fort pxav, la photo ou disons la définition n’est pas terrible, c’est une copie d’écran d’un corps d’email.


Utilisateur banni

23/06/2015 à 01h00

Je vais me critiquer tout seul ! La fausse gencive est trop pale, pas assez opaque et un peu plus dégagé au niveau des espaces inter implant serait le bien venu.


Utilisateur banni

23/06/2015 à 01h03

Voici le bridge posé en fin d’intervention.

Positdental 150528 070 cwolsv - Eugenol

Photo pluton1b h9n4ea - Eugenol
pluton

23/06/2015 à 01h06

pxav écrivait:
--------------
>
> Sans doute passionnant comme cas, mais ça ne fait pas avancer ma réflexion.


c'est à dire? tu ne sais toujours pas quoi faire?

si je peux apporter ma pierre à l'édifice:
le "standard" actuel, c'est d'être un maximum conservateur, jusqu'à ce que...

le problème c'est qu'en faisant comme çà en général, on a plus d'os, donc faut reconstruire, faire de l'expansion des ROG, etc, etc...c'est long, douloureux, inconfortable car il faut passer par une prothèse transitoire qui blesse et se balade, et c'est coûteux pour le patient...

comme Enki et Blette te l'ont dit aussi, dans ce cas là, çà sent le "sapin", et tu peux espérer...peut être quelques années de rab...mais qu'en sera t'il au niveau gêne/inconfort de ta patiente...?

la solution que j'ai évoqué (et posit aussi) est à la fois extrême, mais aussi quelque peu novatrice
certes, on est clairement sur un terrain paro, mais tu as encore de l'os en hauteur et en épaisseur que tu n'auras plus si tu laisses faire les choses
de ma (petite) expérience en matière de MCI guidée, ce genre de cas est (çà peut paraître incroyable de par le terrain paro) très favorable pour avoir un résultat esthétique optimum...
le cas avec les 12 implants que j'ai publié en est un parfait exemple, j'en ai 2 autres de la fin de la semaine dernière et la cicatrisation à 72h est très encourageante...
qui plus est: même si c'est une épreuve physique pour le patient, ils sont ensuite très surpris par le peu de suites post op (généralement entre 2 et 4 cp (au total!) de paracétamol codeïné dans les 48 premières heures...et c'est tout)...la présence de la prothèse n'est certainement pas étranger à ce résultat

et on peut recréer les papilles, en faisant des points en U en passant sous la prothèse posée à chaque triangle interdentaire, d'autant qu'on est aidé par les septums résiduels...qui les soutiennent naturellement...

p'tites photos du cas sur 12 implants à 3 mois post op...j'ai même eu les papilles dans les zones molaires...

si çà peut faire avancer ta réflexion...;-)

3mois1 j95dlm - Eugenol
3mois3 dbbtoa - Eugenol

Utilisateur banni

23/06/2015 à 01h10

Merci Pluton.
Suite :
Les espaces inter implants ne sont pas si resserrés qu’il ni parait, la gencive semble trouver sa place sous les formes du bridge.


Utilisateur banni

23/06/2015 à 01h11

Ce patient en 2010, envisage une MCI mais préfère repousser le projet.

Image002 k4hwdr - Eugenol

S2y2o1v7q53ws4r5wy6ou8czrpom - Eugenol
pxav

23/06/2015 à 01h13

tu t'es trompé de post, c'est plutôt a mettre dans :
http://www.eugenol.com/sujets/389473-championat-de-france-de-bouche-pourrie-c-est-parti?page=5#post_819002
.
--
xbk
"Si tous ceux qui croient avoir raison n'avaient pas tort, la vérité ne serait pas loin" Dac Pierre


Utilisateur banni

23/06/2015 à 01h18

Après un passage par une PCA le patient reviens voir le praticien qui lui a proposé une MCI.

2010 q1copb - Eugenol
2015 pw4ie8 - Eugenol

Utilisateur banni

23/06/2015 à 01h23

pxav écrivait:
--------------
> tu t'es trompé de post, c'est plutôt a mettre dans :
> http://www.eugenol.com/sujets/389473-championat-de-france-de-bouche-pourrie-c-est-parti?page=5#post_819002
> .
> --
> xbk
> "Si tous ceux qui croient avoir raison n'avaient pas tort, la vérité ne
> serait pas loin" Dac Pierre

Le maxillaire inférieur est prévu pour septembre, il le voulait pour le mois de juillet mais impossible de le rentrer dans le planning.


S2y2o1v7q53ws4r5wy6ou8czrpom - Eugenol
pxav

23/06/2015 à 01h27

si tu veux parler MCI, ouvre un post, je connais ton travail, ainsi que tes coordonnées
, donc si je veux passer par toi, je sais faire.
Pour le moment, j'ai ouvert ce post, pour m'aider dans les différents choix possible.
J'ai trouvé ton cas de 12 implants intéressant Pluton et j'entends bien ce que tu me dis, néanmoins je manque de données pour décider comme ça que je vais virer toutes les dents et poser un complet en MCI.
--
xbk
"Si tous ceux qui croient avoir raison n'avaient pas tort, la vérité ne serait pas loin" Dac Pierre


S2y2o1v7q53ws4r5wy6ou8czrpom - Eugenol
pxav

23/06/2015 à 01h29

posit écrivait:
---------------

>
> Le maxillaire inférieur est prévu pour septembre, il le voulait pour le mois de
> juillet mais impossible de le rentrer dans le planning.

ça n’empêche pas un détartrage avant la chir.
--
xbk
"Si tous ceux qui croient avoir raison n'avaient pas tort, la vérité ne serait pas loin" Dac Pierre


12...