Cookie Consent byPrivacyPolicies.comconduite à tenir? - Eugenol
Vw campersurfvan bmnk1q - Eugenol
enlaye

29/06/2015 à 08h31

carident écrivait:

> Maintenant, est-ce trop tard pour bien faire?

Non , il y a largement assez de dents et d os . Tranquille .
Le plus embêtant serait la 27 .et si on perd la 27 , il "faut "perdre la 17 .
Ce qui est embêtant aussi c est la 16 ou plutôt que l implant soit un appuis rigide unilatéral .
Sinon pas de stress .


Vw campersurfvan bmnk1q - Eugenol
enlaye

29/06/2015 à 08h39

posit écrivait:
---------------
> Pour toi le facteur de dégradation est d’origine occlusal ?


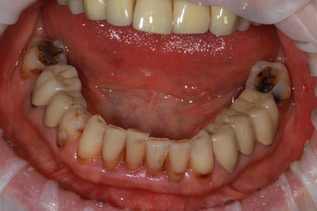
Rien qu en regardant la photo de face , je te dis oui :
L aspect de la gencives et la forme des dents suffit .
Même si les limites prophétiques étaient correctes , il y aurait ce style de gencives .


Utilisateur banni

29/06/2015 à 09h37

Dans ton plan de traitement, tu rétablis l’occlusion uniquement en réhabilitant le maxillaire supérieur par un bridge résine ?


Vw campersurfvan bmnk1q - Eugenol
enlaye

30/06/2015 à 03h08

Ben , si tu corriges le haut il faut quand même qui il s emboîté avec la bas :-))
La moindre des choses serait de faire un ajustement du bas parpetite coronoplastie du bloc ant qui a régressé par lescontraintes en direction lingale et petits compos de calages derriere .
Le temps que les dents ne bougent plus , puisque la question de ce post était la mobilité dentaire.
ca peut aller assez vite .


S2y2o1v7q53ws4r5wy6ou8czrpom - Eugenol
pxav

30/06/2015 à 09h37

c'est clair que quelque soit la solution aux différents problèmes de cette patiente, l'équilibre occlusal est indispensable, c'est étonnant comme question...

--
xbk
"Si tous ceux qui croient avoir raison n'avaient pas tort, la vérité ne serait pas loin" Dac Pierre

Positdental 150528 070 thumb zthiqa - Eugenol

Utilisateur banni

30/06/2015 à 11h21

Je pense que la première conduite à tenir est le respect, celui des patients et des confrères. Résumer une présentation d’un cas clinique à un concours de bouches pourries et un détartrage ne fait pas avancer le débat. En posant une question la réponse est plus féconde qu’une affirmation.

Merci enlaye pour tes réponses qui alimentent ma réflexion. Si un problème occlusal et d’ajustement des couronnes est iatrogène, les même cause conduisant les même effets pourquoi le maxillaire inférieur ne présente pas le même aspect secteur 3 ?


carident

30/06/2015 à 12h02

posit écrivait:
---------------
> Si un problème
> occlusal et d’ajustement des couronnes est iatrogène, les même cause conduisant
> les même effets pourquoi le maxillaire inférieur ne présente pas le même aspect
> secteur 3 ?

C'est la théorie du maillon faible (issue de mes propres constatations cliniques) : Lorsqu'il y a un problème occlusal, cela aboutit à une usure prématurée des dents lorsque les racines sont longues et le parodonte solide ; dans le cas contraire (racine courte, frêle, parodonte peu épais...) cela aboutit à une mobilité dentaire...


Utilisateur banni

30/06/2015 à 12h08

Ayant cette information, n’y a-t-il un moyen de pallier au problème pour éviter la détérioration du support le plus faible ?


S2y2o1v7q53ws4r5wy6ou8czrpom - Eugenol
pxav

30/06/2015 à 14h20

je respecte le travail des confrères, ainsi que celui des prothésistes, pas de problème de ce coté là...

Mais chaque fois tu poses le même genre de questions, sans te rendre compte que dans tes posts tu "oublies" souvent d'y répondre, alors ne t'étonnes pas que je te le fasse remarquer.

C'est tellement évident que si on modifie le haut pour des problèmes de paro et d'occlusion, il faille aussi modifier le bas, que la question ne peut être poser que pour "piquer".

--
xbk
"Si tous ceux qui croient avoir raison n'avaient pas tort, la vérité ne serait pas loin" Dac Pierre


Utilisateur banni

30/06/2015 à 15h31

Cela a permis à carident de rappeler une règle fondamentale « en cas de déséquilibre dans les forces masticatoires il est important d’identifier le maillon faible » le choix d’enlaye sur un bridge résine me semble moins traumatisant pour les racines et son support que des emax.


Vw campersurfvan bmnk1q - Eugenol
enlaye

30/06/2015 à 19h52

posit écrivait:
---------------
> Je pense Si un problème
> occlusal et d’ajustement des couronnes est iatrogène, les même cause conduisant les même effets pourquoi le maxillaire inférieur ne présente pas le même aspect
> secteur 3 ?

En plus de ce que t a dit carident, il y a une notion d anciennete . le temps passe et fait son degat


S2y2o1v7q53ws4r5wy6ou8czrpom - Eugenol
pxav

30/06/2015 à 20h17

personnellement je ne vois pas de grosse différence secteur 3 et 4, mis à part "l'implant" inter-radiculaire
exact pour la résine par rapport à l'impact, mais pas par rapport au parodonte, nous devons toujours faire des compromis mais il faut choisir les moins nocifs.
--
xbk
"Si tous ceux qui croient avoir raison n'avaient pas tort, la vérité ne serait pas loin" Dac Pierre


Vw campersurfvan bmnk1q - Eugenol
enlaye

30/06/2015 à 20h51

La résine n est pas un ttt définitif ,bien sur mais une étape intermédiaire obligée . le temps de retrouver une paro correcte avec une fermeture occlusale non iatrogène .
J ai eu des cas ou j ai perdu de vu des cas sous prov ....et quand je les ai revu bien plus tard , j ai été agreablelement surpris , mais aussi déçu de n avoir été plus convaincu et donc plus convaincant et ce des le début .
Un ttt extractionnel lui est definitif.


S2y2o1v7q53ws4r5wy6ou8czrpom - Eugenol
pxav

30/06/2015 à 21h05

enlaye écrivait:
----------------

> Un ttt extractionnel lui est definitif.

nous sommes tout à fait d'accord.
ça ne résout pas complétement l'équation, mais c'est agréable de savoir que d'autres pensent conservation, plutôt que traitement radical.
--
xbk
"Si tous ceux qui croient avoir raison n'avaient pas tort, la vérité ne serait pas loin" Dac Pierre


pop corn

02/07/2015 à 16h01

Si je peux apporter mon humble avis…
quelques faits soutenus par la littérature me semble-t-il, à mettre en balance avec l’expérience clinique de chacun et les désirs et exigences de la patiente :

-L’étiologie de la parodontite est un déséquilibre hôte/bactéries.
-L’occlusion n’est qu’un facteur aggravant.
-La mobilité n’est pas un facteur pronostic (sauf la mobilité terminale axiale). Le traitement de l’inflammation et de la malocclusion peut diminuer les mobilités liées à l’inflammation du ligament parodontal avant même de penser contention.
-Le niveau d’alvéolyse n’est pas un facteur pronostic à lui seul. Il est possible de conserver des dents sur au moins 5 ans avec des atteintes osseuses jusqu’aux apex.
-l’extraction implantation sans traitement parodontal préalable sur une parodontite sévère a de fortes chances d’aboutir à la péri-implantite.
-la péri-implantite est un véritable fléau pour les prochaines années
-l’extraction, même de toutes les dents, n’élimine pas les bactéries parodontopathogènes (et encore moins la susceptiblité du patient à la maladie parodontale/péri-implantaire). la langue, entre autres, est un réservoir potentiel. faut-il prévoir également l’ablation de la langue ?
-les résultats d'un traitement parodontal bien mené (à deux conditions : patient très coopérant, et maintenance rigoureuse) sont excellents, même pour une parodontite sévère, même sur le long terme.
-l’extraction prophylactique en vue de conserver l’os n’est pas un concept soutenu par la littérature (bien sûr il y a quand même des limites à la conservation à tout prix mais en est-on vraiment là ?)

Partant de là je ferais déjà un charting complet pour affiner le pronostic et prévoir les traitements adaptés, motivation à l’hygiène, traitement parodontal, dépose des éléments prothétiques et réalisation de provisoires en résine de labo aux limites et en corrigeant l'occlusion (sans certitude: dans ce cas, les limites des restaurations ne seraient-elles pas plus en cause que l’occlusion elle-même ? c’est juste mon impression), et suivi rigoureux. A mettre en balance avec la motivation, ainsi que les exigences (esthétiques notamment) de la patiente. Ne vaut-il pas mieux (surtout au vu de la prévalence des péri-implantites chez les patients paro (même bien traités !)) conserver au maximum les dents (si le traitement est bien mené et le patient coopérant il n’y a pas de raison de perdre plus d’os!) et limiter l’implant à son indication première à savoir le remplacement des dents ABSENTES ? c’est juste mon avis n’y voyez aucune arrogance, tous les avis sont respectables...


S2y2o1v7q53ws4r5wy6ou8czrpom - Eugenol
pxav

02/07/2015 à 16h32

j'aime bien ta réponse, qui sans peut être donner "La solution", permet une approche tranquille.

--
xbk
"Si tous ceux qui croient avoir raison n'avaient pas tort, la vérité ne serait pas loin" Dac Pierre


S2y2o1v7q53ws4r5wy6ou8czrpom - Eugenol
pxav

03/07/2015 à 22h33

revue la patiente ce jour...avec un joli scan...rien de réjouissant.
Néanmoins, le plan de travail se met en place, et aujourd'hui, détartrage (irrigation à la betadine) constat que le terrain est miné, mais je vais quand même jouer la conservation.
Empreintes pour préparer un Waxup
les conseils sont les bienvenus, bien sur
Pourquoi conserver? parce que je crois que c'est la bonne voie
Ensuite si la situation se dégrade, il sera toujours temps de pratiquer les avulsions


xbk
"Si tous ceux qui croient avoir raison n'avaient pas tort, la vérité ne serait pas loin" Dac Pierre

Img 2308 toqbmu - Eugenol
Img 2309 rxkui0 - Eugenol
Img 2310 ylyhwi - Eugenol
Img 2311 vftikh - Eugenol
Img 2302  1  cq3urf - Eugenol
Img 2303 wekuyn - Eugenol

Image001 e0kg9q - Eugenol
clemsdent

04/07/2015 à 01h34

j'aime bien ton approche pxav!
par contre as-tu as vitalité pour la 32 ou une retro-alvéaolaire?


S2y2o1v7q53ws4r5wy6ou8czrpom - Eugenol
pxav

04/07/2015 à 10h27

Merci.
à priori 32 est vitale,légèrement mobile (2/4) mais je n'ai pas de rétro alvéolaire,
qu'as tu détecté?



--
xbk
"Si tous ceux qui croient avoir raison n'avaient pas tort, la vérité ne serait pas loin" Dac Pierre


Image001 e0kg9q - Eugenol
clemsdent

04/07/2015 à 16h10

j'aurais dit une image apicale à la 32, mais ce n'est qu une panoramique...


levm

04/07/2015 à 17h23

C est une bonne attitude de tout conserver , meme des dents qui ont un pronostic plus que réservés.
Cependant , les soins dentaires sont chers .Que comptes tu faire , si l'évolution du cas ne se passe pas aussi bien que tu le souhaites ?

Pour une dent ou 2 , la gestion est globalement simple . Mais quand il s'agit d'une arcade complète, c est autre chose.
Vas tu tout solidariser ?



Pour les problemes de paro , ils seront aussi présents sur des implants on est bien d accord. Un traitement paro préalable est nécessaire et obligatoire.

Qui dit paro , dit poche et parfois , grosse gingivectomie aprés surfacage pour eviter les récidives si absence d'ep de jonction .
J'ai un ami prothésiste dans le meme cas , il a depuis 2 ans son bridge complet sur implant et en est content.
Il avait été suivi préalablement en paro dans les services hospitaliers dentaires sans aucun succés .Je tiens à préciser qu'il était rigoureux sur son hygiene et ses rdvs .


S2y2o1v7q53ws4r5wy6ou8czrpom - Eugenol
pxav

04/07/2015 à 18h47

Pour la prothèse, je pense tout solidariser, mais je ne décide rien pour le moment.

Une idée de couronnes résine en CAD CAM pour un provisoire complet usiné dans un disques de polymère?


Il faut d'abord assainir, et voir ce qui est sauvable, et les retraitements nécessaires.
Beaucoup de temps de soins, pour un résultat hypothétique, pour le moment.

--
xbk
"Si tous ceux qui croient avoir raison n'avaient pas tort, la vérité ne serait pas loin" Dac Pierre


rene

05/07/2015 à 23h52

salut xav

je ne viens plus souvent sur nonol et quand je vois un de tes cas je me precipite
j'ai lu les 72 post et jusqu'a celui de popcorn j'etais stupefait
personne pour conserver toutes les dents en attendant la fin du trt paro

je partage 100% ce qu'a dit popcorn
et je suis sur qu'au final tu vas tout sauver

amicalement
rene


Image r6habu - Eugenol
Thomas Crown

06/07/2015 à 00h08

rene écrivait:
--------------
> salut xav
> j'ai lu les 72 post et jusqu'a celui de popcorn j'etais stupefait
> personne pour conserver toutes les dents en attendant la fin du trt paro

Ben si, y'en a (encore un au moins) qui conserve.. mais je suis discret, c'est dans ma nature :)

> et je suis sur qu'au final tu vas tout sauver

A bon? les 6 et 7 maxillaires aussi? mais à quel terme ? et 46?

> rene


S2y2o1v7q53ws4r5wy6ou8czrpom - Eugenol
pxav

06/07/2015 à 09h02

rene écrivait:
--------------
> salut xav
>
> je ne viens plus souvent sur nonol et quand je vois un de tes cas je me precipite j'ai lu les 72 post et jusqu'a celui de popcorn j'etais stupefait personne pour conserver toutes les dents en attendant la fin du trt paro
>
> je partage 100% ce qu'a dit popcorn
> et je suis sur qu'au final tu vas tout sauver
>
> amicalement
> rene
>

toi tu sais faire plaisir rene :-))

Je ne sais pas si je vais tout sauver, mais je vais au moins essayer, y compris 46 (sans certitude, bien entendu)

Au plaisir de te relire

amitiés
--
xbk
"Si tous ceux qui croient avoir raison n'avaient pas tort, la vérité ne serait pas loin" Dac Pierre


1234...