Cookie Consent byPrivacyPolicies.comconduite à tenir? - Eugenol
S2y2o1v7q53ws4r5wy6ou8czrpom - Eugenol
pxav

09/07/2015 à 15h58

début du Waxup.
Pour les incisives du bas, je pense diminuer le bord libre.
reste à tailler le bloc antérieur.
L'avis des spécialistes en esthétique sera le bienvenu.
--
xbk
"Si tous ceux qui croient avoir raison n'avaient pas tort, la vérité ne serait pas loin" Dac Pierre

Img 2332 dhesxc - Eugenol
Img 2334 zjlzfp - Eugenol
Img 2333 miy3bb - Eugenol
Img 2341 nxu5cp - Eugenol
Img 2342 tcihwn - Eugenol

aterman

09/07/2015 à 23h18

Je suis pas specialiste en esthetique mais...

- limites sous gingivales des couronnes est pas le top pour la gencive.
- rdv tous les 3 mois chez hygieniste pour maintenance paro aurait evite pas mal de problemes.
- atteinte de la furcation de 46?
- 1 paro pour stabilisation de l inflammation, motivation hygiene et traitement poches, injection vitamine et antibio en local.
2- 17-27 on oublie je pense.
3- bridge provisoires avec limites supra gingivales
4- reevaluation a 1 an et la on peut commencer a parler de definitif?


Utilisateur banni

10/07/2015 à 01h12

Les wax up sont très beaux ! j'aimerais bien que mon prothésiste me fasse des wax up bicolore comme ça...

si on veut chercher la ptite bête :
secteur gauche on a une classe 2 d'Angle molaire : donc dans l'idéal la cuspide de 25 devrait légèrement être mésialée.
Et la cuspide distale de 26 légèrement plus petite pour respecter la courbe de spee.
Mais c'est vraiment pour chercher la petite bête.


S2y2o1v7q53ws4r5wy6ou8czrpom - Eugenol
pxav

10/07/2015 à 01h28

Merci pour les waxups, j'ai fait la mise en place et Brigitte la finition.
Pour la couleur, c'est un peu un hasard, mais c'est vrai qu'en photo ça rend bien.

Pour 25/26 c'est exact et la cuspide distale de 47 remonte trop...
--
xbk
"Si tous ceux qui croient avoir raison n'avaient pas tort, la vérité ne serait pas loin" Dac Pierre


Vw campersurfvan bmnk1q - Eugenol
enlaye

10/07/2015 à 11h22

pxav écrivait:
--------------
" Merci pour les waxups, j'ai fait la mise en place et Brigitte la finition."

pardon pxav , mais tes waxups , ça va pas du tout !


il faut vestibuler le haut considerablement et meme un peu le bas .tout est verouillé pire qu'avant .il faudrait sortir les cuspides vest d'au moins 2 mm minimum .donner un peu d'air en decalage lateral immediat .
je n'ai pas l'impression que les modeles soient en centrée .
je ne comprend l'interet du wax up a cette etape du cas !!!


Utilisateur banni

10/07/2015 à 11h50

> il faut vestibuler le haut considerablement et meme un peu le bas .tout est
> verouillé pire qu'avant .il faudrait sortir les cuspides vest d'au moins 2 mm
> minimum .donner un peu d'air en decalage lateral immediat .
> je n'ai pas l'impression que les modeles soient en centrée .
> je ne comprend l'interet du wax up a cette etape du cas !!!

faudra que tu m'expliques comment tu fais pour voir si les modèles sont en RC ou pas :-)
c'est pas faux sur les photos de face on voit que tout est très verouillé.
Ceci dit la teinte du wax up me plait bien. Tu me diras "on s'en fout de la teinte" mais bon quand même ça rend bien sur les photos.


carident

10/07/2015 à 12h22

C'est sûre ; ce qui est nuisible au parodonte des dents postérieurs, c'est surtout l'absence de fonction canine, et de guidage antérieur (surplomb antérieur important).


Vw campersurfvan bmnk1q - Eugenol
enlaye

10/07/2015 à 14h39

plutonjunior écrivait:
----------------------

"faudra que tu m'expliques comment tu fais pour voir si les modèles sont en RC ou pas :-)"



:-)))))))) si on est capable de prendre la centrée , on a pas besoin d' en parler 9 pages et de faire un waxup ( de ce cas ).
si le wax-up est fait par un labo , on espere quoi ?
que le prothesiste sache determiner le schema occlusal ???
si oui ç est que l'on ne sait pas à quoi sert la centrée !

un cas comme ça ç est un decalage transversal + une retroposition mandibulaire :
a tous les coups la centrée doit etre un poil plus en avant et de coté , donc si on ne libere pas d'abord le bloc ant , il est tres difficile d'enregistrer une centrée ...........


S2y2o1v7q53ws4r5wy6ou8czrpom - Eugenol
pxav

10/07/2015 à 15h11

oui mais dans ce cas là, c'est pas le prothésiste qui a fait le waxup...mais le dentiste, avec une grosse part d'incertitude, bien sur, mais a ce stade, le waxup sert uniquement a vérifier si le travail prévu est faisable (d'après la taille des dents et divers autres parametres).

--
xbk
"Si tous ceux qui croient avoir raison n'avaient pas tort, la vérité ne serait pas loin" Dac Pierre


Vw campersurfvan bmnk1q - Eugenol
enlaye

10/07/2015 à 15h28

pxav écrivait:
--------------
"oui mais dans ce cas là, c'est pas le prothésiste qui a fait le waxup...mais le dentiste, avec une grosse part d'incertitude bien sur "


ouais , ,bien grosse , alors :-))


," mais a ce stade, le waxup sert uniquement a vérifier si le travail prévu est faisable (d'après la taille des dents et divers autres parametres)."


???? ah bon ? bof , deja un bon meulage d'equilibration vite fait , tu vois vite le coup venir ,non ?
le probleme au depart etant la mobilité , apres ça , ça doit etre vite reglé . si en plus tu fais des prov sur lesquels tu peux jouer tu t 'en sors large .
apres pose des prov validés , tu pourras alors faire tes wax si tu t'ennuies , mais tu les feras sur les moignons ...


S2y2o1v7q53ws4r5wy6ou8czrpom - Eugenol
pxav

10/07/2015 à 16h11

ce n'est pas du tout ma façon de concevoir le projet.
1-je réfléchis (avec l'aide de nonol pour ce cas précis)
2- discussion avec la principal intéressée des différentes solutions.
3-j'affine mes choix en faisant le travail à blanc sur modèle plâtre, de la même façon qu'en implanto, je peux faire une chir à blanc sur modèle 3D résine ou sur simplant.
Si la solution me semble viable, je vais dans une série de séances "longues" (de 2, 4 6 ou 8 heures) déposer l'ensemble des couronnes faire les soins et ensuite me servir de mon waxup pour poser des provisoires.
4- si ça marche j'envisagerai une suite.
5- si ça ne marche pas je changerais de cap.

ce n'est pas La Vérité, simplement ma façon de faire.
--
xbk
"Si tous ceux qui croient avoir raison n'avaient pas tort, la vérité ne serait pas loin" Dac Pierre


Vw campersurfvan bmnk1q - Eugenol
enlaye

10/07/2015 à 16h29

Ah , oui , OK , OK .
Ben profite en donc pour refaire tes wax . tu gagner as du temps .:-)


S2y2o1v7q53ws4r5wy6ou8czrpom - Eugenol
pxav

17/07/2015 à 18h55

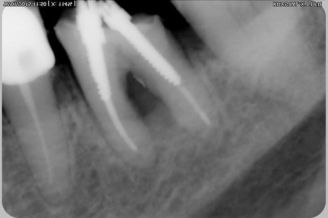
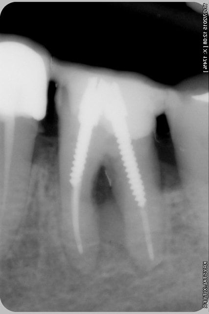
Tentative de sauvetage de 46, dépose de la ceramometal, et d'un magnifique inlay core à clavette (inter-radiculaire) (qui ne risquait pas de se barrer coincé entre les 3 parois restantes et un gros amalgame vestibulaire...(merci à la nomenclature qui rembourse ça...).
Nettoyage, curetage inter-radiculaires,lavage à l'hypochlorite, obturation (sans la digue) 3 screws post (en prévision d'une éventuelle séparation de racine)après avoir bouché la perforation à la bio dentine, recouverte d'un composite.
2 heures pour peut être rien, ou peut être pas?
sur les radios on distingue la biodentine sur la racine distale
--
xbk
"Si tous ceux qui croient avoir raison n'avaient pas tort, la vérité ne serait pas loin" Dac Pierre

Img 2449 przmrq - Eugenol
014 wovhet - Eugenol
018 gat3e9 - Eugenol

olivier

17/07/2015 à 20h18

pxav écrivait:
--------------
" Merci pour les waxups, j'ai fait la mise en place et Brigitte la finition."


Rhhhha lovely !!!!!


Smile beach jgh0a1 - Eugenol
Céramik

18/07/2015 à 20h29

Euh, pourquoi sans digue ?
:-)



pxav écrivait:
--------------
> Tentative de sauvetage de 46,
(sans la digue)

--
Céramik


S2y2o1v7q53ws4r5wy6ou8czrpom - Eugenol
pxav

18/07/2015 à 22h40

Pour montrer que optragate, plus cotons, plus aspirations "sérieuses" plus assistante attentionnée, et bien pas de pollution extérieure.
Ceci étant, je n'ai rien contre la digue, au contraire.
--
xbk
"Si tous ceux qui croient avoir raison n'avaient pas tort, la vérité ne serait pas loin" Dac Pierre


S2y2o1v7q53ws4r5wy6ou8czrpom - Eugenol
pxav

18/07/2015 à 22h41

et comme tu le sais, j'aime bien faire ...autrement...ce n'est pas bien, je sais...

--
xbk
"Si tous ceux qui croient avoir raison n'avaient pas tort, la vérité ne serait pas loin" Dac Pierre


Smile beach jgh0a1 - Eugenol
Céramik

19/07/2015 à 00h30

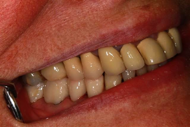
un crampon, une digue, un peu de digue liquide (parfois) plus simple que Optragate+cotons+aspiration et l'AD peut être plus utile...surtout que la photo montre une dent facile a clamper

pourquoi pas un nain-plant ? ;-)))

--
Céramik


S2y2o1v7q53ws4r5wy6ou8czrpom - Eugenol
pxav

19/07/2015 à 10h47

ce sera le nain plant, si je n'arrive pas à sauver ça, mais j'essaye d'abord de garder le maximum, et de tout assainir, ça ne peut que servir les solutions futures.
Je ne suis pas chaud pour implanter dans un contexte paro comme celui-ci.

--
xbk
"Si tous ceux qui croient avoir raison n'avaient pas tort, la vérité ne serait pas loin" Dac Pierre


S2y2o1v7q53ws4r5wy6ou8czrpom - Eugenol
pxav

23/07/2015 à 22h43

enlaye écrivait:
----------------
>>
> ???? ah bon ? bof , deja un bon meulage d'equilibration vite fait , tu vois
> vite le coup venir ,non ?
> le probleme au depart etant la mobilité , apres ça , ça doit etre vite reglé .
> si en plus tu fais des prov sur lesquels tu peux jouer tu t 'en sors large .
> apres pose des prov validés , tu pourras alors faire tes wax si tu t'ennuies ,
> mais tu les feras sur les moignons ...


ce matin, grosse séance (4 h), pour le bas dépose des couronnes retraitement, taille et provisoires pour secteur 3 et 4 d'après le waxup, puis équilibration (le haut ne correspond pas encore), et bien désolé de te décevoir enlaye, mais les waxups donnent un résultat tip top...
pas eu le temps de faire des photos (patiente HS) mais ça viendra.
aucune certitude de sauver le haut mais au moins j'essaie.
--
xbk
"Si tous ceux qui croient avoir raison n'avaient pas tort, la vérité ne serait pas loin" Dac Pierre


Vw campersurfvan bmnk1q - Eugenol
enlaye

25/07/2015 à 03h58

-)))))))))))))))
4 heures ,?? café et croissants compris plus une pause jus d orange ?
Ça va nickel , sur , tu n as pas fait le haut .!!
Remonte les crêtes distales des 7 du haut , élargis les cupides vestibulaires , avance les cingulums des centrales et latérales , donnes de l air à tout ça ..........
La coupe de spee doit se faire sur le haut ,dans un cas comme celui la .
Apres tu fais comme tu veux , c est. Juste un conseil d occluso .......


S2y2o1v7q53ws4r5wy6ou8czrpom - Eugenol
pxav

25/07/2015 à 11h44

Je te trouve très sur de ce que tu penses... Trop ?
Ce qui semble certain c'est que nous n avons pas la même façon de voir... Pauvre patiente, ici c'est moi qui décide...
Néanmoins si ça ne passe pas je modifie avec tes options.
Je n'ai pas commencé par le haut car j'ai besoin de partir de quelque chose de "fixe " comme référence,or le bas me permet ça,les dents du haut sont trop mobile pour qu'en une séance je stabilise tout.
Il m'est plus facile de mettre des provisoires en bas,et de meuler les dents antagonistes.
Suite mardi

--
xbk
"Si tous ceux qui croient avoir raison n'avaient pas tort, la vérité ne serait pas loin" Dac Pierre


Vw campersurfvan bmnk1q - Eugenol
enlaye

27/07/2015 à 14h32

pxav écrivait:
--------------
" j'ai fait la mise en place et Brigitte la finition.................................................................
Suite mardi "


elle vient le mardi , Brigitte ? :-)))))))





S2y2o1v7q53ws4r5wy6ou8czrpom - Eugenol
pxav

27/07/2015 à 14h41

c'est la prothésiste donc elle vient et si besoin elle voit la patiente, c'est plus simple que sur modèle.

--
xbk
"Si tous ceux qui croient avoir raison n'avaient pas tort, la vérité ne serait pas loin" Dac Pierre


S2y2o1v7q53ws4r5wy6ou8czrpom - Eugenol
pxav

28/07/2015 à 17h00

secteur 3 et 4 ça avance,avec mes options pour l'occlusion, fonction du haut "chancelant", une fois le haut "stabilisé", je modifierais sans doute le bas.

--
xbk
"Si tous ceux qui croient avoir raison n'avaient pas tort, la vérité ne serait pas loin" Dac Pierre

Img 2493 ddhlbv - Eugenol
Img 2488 jkfpzq - Eugenol
Img 2489 j3ahrf - Eugenol

12345...