Cookie Consent byPrivacyPolicies.comconduite à tenir? - Eugenol
Utilisateur banni

28/07/2015 à 18h17

Enlaye Brigitte fait les finitions uniquement le mardi ! et pas un autre jour :-)

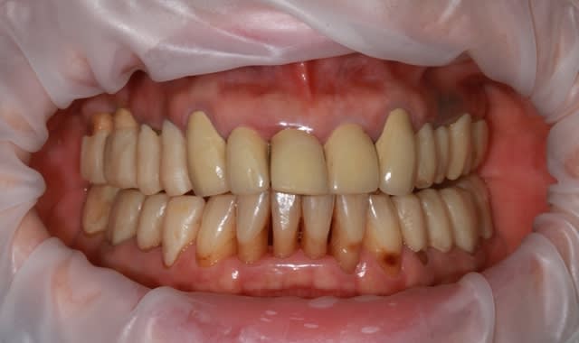
Pour la 46 tu as une atteinte de la furcation , non? une classe 2 voir une classe 3? sur la rétro on a vraiment l'impression d'une bonne perte osseuse en tout cas.
Par conséquent il faut privilégier le nettoyage de cette zone pour éviter de perdre encore plus d'os.

Les techniques de régénérations ne sont que peu concluantes dans ce type de cas (car moindre potentiel biologique et difficulté d'accès), donc tu t'orientes vers une séparation de racines si j'ai bien compris. Dans ce cas vu la faible hauteur des parois proximales et la faible largeur des parois, pourquoi tu ne t'es pas orientée directement vers 2 inlay-cores avec séparation de racines? car 2 reconstitutions foulées c'est pas un peu léger?


S2y2o1v7q53ws4r5wy6ou8czrpom - Eugenol
pxav

28/07/2015 à 19h25

paradoxalement les IC ça me plait plus trop, donc j'en fait très peu (à une période, c'était beaucoup, mais pas plus prévisible que ça à long terme).
si le traitement (obturation à la biodentine de la perforation due au pivot de l'inlay à clavette)ne fonctionne pas (pour le moment l'évolution est très sympa) je pense que ce sera extraction et implant.

--
xbk
"Si tous ceux qui croient avoir raison n'avaient pas tort, la vérité ne serait pas loin" Dac Pierre


S2y2o1v7q53ws4r5wy6ou8czrpom - Eugenol
pxav

07/08/2015 à 10h14

dépose des ceramo métal antérieur, ouf le précédent n'a pas mis d'IC, j'ai plus de marge de manœuvre.
Prochaine étape réalisation d'un provisoire résine "complet" pour le max.sup., mais il me faut paralléliser tous les moignons.
j'en suis à la 4eme séance détartrage surface...et ça commence à être propre et sain.
par contre je ne facture 28.92€ que les 2 premières....
--
xbk
"Si tous ceux qui croient avoir raison n'avaient pas tort, la vérité ne serait pas loin" Dac Pierre

Img 2518 vjt7ic - Eugenol
Img 2519 tdbv8q - Eugenol
Img 2520 uf0zpt - Eugenol
Img 2521 tbzyae - Eugenol

S2y2o1v7q53ws4r5wy6ou8czrpom - Eugenol
pxav

10/08/2015 à 16h30

ça commence à sentir bon, dans un premier temps, les provisoires sont en place sans collage (ça marche aussi sur les dents naturelles,pas que sur les implants) pour valider la partie mécanique et permettre aux différents moignons de se positionner bien parallèle, dommage qu'il n'existe pas de "guides" pour ça...
prochaine étape collage des provisoires haut et bas, et mise en attente 1 à 2 mois.
et petit travail sur les antérieurs mandibulaires

--
xbk
"Si tous ceux qui croient avoir raison n'avaient pas tort, la vérité ne serait pas loin" Dac Pierre

Img 2539 dt1btz - Eugenol
Img 2537 q1oz3r - Eugenol
Img 2541 p5psrx - Eugenol
Img 2542 bit5ni - Eugenol
Img 2544 eej5so - Eugenol

BucaR

12/08/2015 à 15h34

pxav écrivait:
--------------
> ça commence à sentir bon



Une élongation coronaire sur 12 11 21 est prévue pour harmoniser la ligne du sourire ou pas?


S2y2o1v7q53ws4r5wy6ou8czrpom - Eugenol
pxav

12/08/2015 à 23h42

possible mais pour le moment j'ai surtout cherché à nettoyer et stabiliser.
N'oublies pas que je raisonne d'après le Waxup du début qui n'a rien de définitif.
ensuite, je pense que les pros de l’esthétique sauront m'aider.
Il faut un petit travail sur les antérieurs c'est sur, et l'absence de 22 ne facilite pas la tâche.
--
xbk
"Si tous ceux qui croient avoir raison n'avaient pas tort, la vérité ne serait pas loin" Dac Pierre


S2y2o1v7q53ws4r5wy6ou8czrpom - Eugenol
pxav

21/08/2015 à 17h49

petit panoramique de contrôle, ce n'est pas gagné, mais ça semble aller dans le bon sens.
32?
--
xbk
"Si tous ceux qui croient avoir raison n'avaient pas tort, la vérité ne serait pas loin" Dac Pierre

Se si vpcrjc - Eugenol
Se si 21 08 2015 mo8np9 - Eugenol

S2y2o1v7q53ws4r5wy6ou8czrpom - Eugenol
pxav

06/10/2015 à 20h41

Ce matin pose de 8 ceramoceram (emax press) à la mandibule et pano de contrôle.
Je crois de plus en plus qu'extraire pour faire une MCI n'était pas le bon choix.

--
xbk
"Si tous ceux qui croient avoir raison n'avaient pas tort, la vérité ne serait pas loin" Dac Pierre

Sesi 06.10 - Eugenol
Img 2860 wpyupw - Eugenol

tictac

06/10/2015 à 21h40

pas trop galere les demontage/rte?


S2y2o1v7q53ws4r5wy6ou8czrpom - Eugenol
pxav

06/10/2015 à 22h45

un peu long mais ça fait partie du jeux

--
xbk
"Si tous ceux qui croient avoir raison n'avaient pas tort, la vérité ne serait pas loin" Dac Pierre


alex33

06/10/2015 à 23h00

Plusieures questions:
- quels sont les tenons que tu as utilisé pour réaliser tes sc33 dans le secteur antérieur maxillaire? On dirait des tenons titane avec filetage type "stabyl"
- Toujours pour ces sc33; quelle résine composite pour la reconstitution?
- Le bridge provisoire que tu utilises est il un bridge de laboratoire ou un "méthode directe" à partir du wax up?
- avec quoi as tu collé tes emax?
Merci


S2y2o1v7q53ws4r5wy6ou8czrpom - Eugenol
pxav

06/10/2015 à 23h49

alex33 écrivait:
----------------
> Plusieures questions:
> - quels sont les tenons que tu as utilisé pour réaliser tes sc33 dans le secteur
> antérieur maxillaire? On dirait des tenons titane avec filetage type "stabyl"
> - Toujours pour ces sc33; quelle résine composite pour la reconstitution?
> - Le bridge provisoire que tu utilises est il un bridge de laboratoire ou un
> "méthode directe" à partir du wax up?
> - avec quoi as tu collé tes emax?
> Merci
screws post titane (anthogyr sous réserves)scellés.

Bridge provisoire "maison" d'après Wax up mais résine cuite au four sous pression d'azote (Kerr)

Emax traitement acide, puis silane Kerr (avec résine) et collé au NX3

Nettoyage soigneux des excès et radio de contrôle puis polissage doux.

équilibration en fin de séance et contrôle 3 h après.

Pour le max sup, je voulais passer par un résine cadcam, mais je ne suis plus sur, peut être en POM (emax pressé sur métal), c'est plus dur que la résine mais plus biocompatible.


--
xbk
"Si tous ceux qui croient avoir raison n'avaient pas tort, la vérité ne serait pas loin" Dac Pierre


S2y2o1v7q53ws4r5wy6ou8czrpom - Eugenol
pxav

04/12/2015 à 23h37

Finalement, pour le maxillaire la prothèse d'usage sera sur une armature métal.

--
xbk
"Si tous ceux qui croient avoir raison n'avaient pas tort, la vérité ne serait pas loin" Dac Pierre

Img 3258 eem9xg - Eugenol
Img 3259 ufwdkp - Eugenol

Blocperso talon jer3sl - Eugenol
mrquentin

05/12/2015 à 02h04

c'est du cad cam ton armature?


Azerty06

05/12/2015 à 09h11

Bonjour, beau travail suite à une bonne indication


S2y2o1v7q53ws4r5wy6ou8czrpom - Eugenol
pxav

05/12/2015 à 09h22

Non, après avoir hésité, nous n'avons pas choisi le cadcam, pour l'armature, mais du presque classique.

La solution la mieux adaptée semblait être la pressée sur métal, (POM ivoclar) car plus tendre que les autres céramiques, mais l’esthétique risquait d’être un peu fade, donc nous réfléchissons à un système différent sur armature métal.


--
xbk
"Si tous ceux qui croient avoir raison n'avaient pas tort, la vérité ne serait pas loin" Dac Pierre


S2y2o1v7q53ws4r5wy6ou8czrpom - Eugenol
pxav

05/12/2015 à 09h30

Azerty06 écrivait:
------------------
> Bonjour, beau travail suite à une bonne indication

la bonne indication....voilà un compliment qui touche.

Avec quand même la conscience que le moindre grain de sable peut tout faire louper, (le premier provisoire résine à eu des éclats, suite à une petite erreur de taille des moignons d"une prémolaire, le suivant est parfaitement intégré, et pourrait rester une année en place), donc la réponse ne viendra que dans plusieurs années, il faut que la prothèse soit bien intégrée à l'ensemble, et que la patiente entretienne tout ça comme il faut.


--
xbk
"Si tous ceux qui croient avoir raison n'avaient pas tort, la vérité ne serait pas loin" Dac Pierre


Utilisateur banni

05/12/2015 à 14h27

Je suis étonné que tu combines de façon rigide un support implantaire et racinaire.


S2y2o1v7q53ws4r5wy6ou8czrpom - Eugenol
pxav

05/12/2015 à 14h39

Oui, alors qu'il aurait été plus simple de virer toutes ses dents qui ne servent à rien pour mettre de beaux et bons implants...

Ceci étant nous sommes d'accord les bridges implants dents ça reste un compromis.

Mais il ne s'agit pas d'un bridge.

Pour infos, il y a quelques années un de nos brillant confrère, qui ne vient plus montrer ses magnifiques travaux, avait posté un cas de bridge complet implant dent avec des coiffes (en or je crois)qui recevait les couronnes pour avoir une certaine résilience.

--
xbk
"Si tous ceux qui croient avoir raison n'avaient pas tort, la vérité ne serait pas loin" Dac Pierre


Utilisateur banni

05/12/2015 à 17h56

pxav écrivait:
--------------
> Oui, alors qu'il aurait été plus simple de virer toutes ses dents qui ne servent
> à rien pour mettre de beaux et bons implants...
>
> Ceci étant nous sommes d'accord les bridges implants dents ça reste un
> compromis.
>
> Mais il ne s'agit pas d'un bridge.
>
> Pour infos, il y a quelques années un de nos brillant confrère, qui ne vient
> plus montrer ses magnifiques travaux, avait posté un cas de bridge complet
> implant dent avec des coiffes (en or je crois)qui recevait les couronnes pour
> avoir une certaine résilience.
>
> --
> xbk
> "Si tous ceux qui croient avoir raison
n'avaient pas tort, la vérité ne
> serait pas loin" Dac Pierre

je ne vois pas la différence entre un bridge et des couronnes solidariser sur les phénomène de micro mouvement supporté par les racines mais pas par un implant.
je pensais que tu aurais mis en place une solution pour éviter ce genre de problème.


S2y2o1v7q53ws4r5wy6ou8czrpom - Eugenol
pxav

05/12/2015 à 21h00

posit écrivait:
---------------

> je pensais que tu aurais mis en place une solution pour éviter ce genre de problème.

Ben justement j'ai résolu le problème, enfin modestement comme un dentiste lambda.

J'avais au départ, le problème suivant :

toutes les dents sont déchaussées et gravement mobiles.

L'implant est intégré et complétement immobile, ce qui est le but pour un implant.

Donc j'ai eu un éclair de génie, et mon mains ont immédiatement suivi mon esprit, j'ai donc conçu une armature métallique qui grâce à la fixité de l'implant va tenir toutes les dents....

PS si tu as l'impression que je me moque (avec gentillesse) de toi...tu as raison. :-))

--
xbk
"Si tous ceux qui croient avoir raison n'avaient pas tort, la vérité ne serait pas loin" Dac Pierre


tanios

06/12/2015 à 00h57

oula!! implant dans le sinus, parodontyse généralisée... l'ancien confrere s'en est bien débaeassé.
vu l age du patient je doute qu il y a autre solution


S2y2o1v7q53ws4r5wy6ou8czrpom - Eugenol
pxav

06/12/2015 à 01h20



non,l'implant n'est pas "dans le sinus", mais dans une greffe, qui est elle même dans le sinus (comblement) rien d'anormal, pour cet implant.
Quand à l'ancien confrère, il ne s'en est pas débarrassé, c'est la patiente qui l'a quitté, et s'il est toujours simple de trouver que le travail de l'autre n’était pas bon,je sais aussi que nous avons tous nos casseroles, donc pas de critique.
Ce qui compte c'est que le futur soit denté pour cette patiente....
--
xbk
"Si tous ceux qui croient avoir raison n'avaient pas tort, la vérité ne serait pas loin" Dac Pierre


Utilisateur banni

06/12/2015 à 10h13

Je pensais en suivant ton poste et en lisant ton titre que tu voulais appliquer un plan de traitement le plus conservateur possible dans les données acquises. Des combinaisons implants racines, tu n’es pas le premier à le faire ni le dernier. Des bridge de ce type chacun à des cas qui son en place depuis des années et d’autres qui non pas résistés. Je pensé qu’un consensus c’était dégagé d’éviter cette combinaison. J’imaginais que tu avais étudié cette problématique dés le départ et que tu avais une solution novatrice à mettre en place. Je suis donc étonné de la solution que tu utilise au final. Pourtant à chaque post tu le répète «Si tous ceux qui croient avoir raison n'avaient pas tort, la vérité ne serait pas loin ». Je me suis donc trompé. Ne perd pas de temps à me répondre tu à un bridge céram à finir avant les vacances de noël et bonnes fêtes.


Utilisateur banni

06/12/2015 à 10h34

pxav écrivait:
--------------
> oublie ton idée, je suis conservateur...par contre pour la rétro semaine
> prochaine.
>
> --
> xbk
> "Si tous ceux qui croient avoir raison n'avaient pas tort, la vérité ne
> serait pas loin" Dac Pierre

J’aurais due mieux lire.


1...456...