Cookie Consent byPrivacyPolicies.comconduite à tenir? - Eugenol
Utilisateur banni

07/12/2015 à 09h36

Donc utiliser un cosmétique souple pour observer les pistes d’occlusion ?


Vw campersurfvan bmnk1q - Eugenol
enlaye

07/12/2015 à 09h47

oui , c est le role du prov !
et pas pour le definitif , bien sur .
le temps travail pour nous , sur le prov ,
il faut savoir remettre les pendules à l'heure pour le definitif .


S2y2o1v7q53ws4r5wy6ou8czrpom - Eugenol
pxav

07/12/2015 à 10h56

enlaye écrivait:
----------------
> oui , c est le role du prov ! et pas pour le definitif , bien sur . le temps travail pour nous , sur le prov , il faut savoir remettre les pendules à l'heure pour le definitif .

Le problème c'est que rien n'est définitif, à part la mort, donc la prothèse d'usage sera évolutive, si besoin et pas avec du cosmétique mou...
--
xbk
"Si tous ceux qui croient avoir raison n'avaient pas tort, la vérité ne serait pas loin" Dac Pierre


Utilisateur banni

07/12/2015 à 11h17

psav, au lieu de passer ton temps à me dénigrer, pourrais tu répondre aux questions ?


Vw campersurfvan bmnk1q - Eugenol
enlaye

07/12/2015 à 11h29

pxav , je vais finir par coire que ç est a toi qu'il manque 5mn .


Photo pluton1b h9n4ea - Eugenol
pluton

07/12/2015 à 11h38

pxav écrivait:
--------------
> Personnellement, je ne vois pas en quoi 3 ou 4 implants simplifierais les
> choses, au contraire.

d'un point de vue mécanique, pose toi la question de comment fonctionne un tabouret à 3 pieds et une chaise (qui en a 4)

> Tu as déjà utilisé cet argument temps/patience, et je pensais à une écriture
> trop rapide, mais non, ça parait être ta façon de travailler.
>
> Je croyais que nous étions des professionnels de santé, et que nous étions là
> pour soigner nos patients, avec des erreurs possibles, mais avec conscience.
>
> Tu devrais formuler différemment ta phrase, on n'a l'impression que les patients
> sont là pour ton confort, pas pour le leur, et j'ai du mal à croire que tu sois
> comme ça.

non, je ne suis pas comme çà, mais c'est une manière, une tournure de phrase que je trouve polie pour te dire que je ne suis absolument pas convaincu par ton plan de ttm


S2y2o1v7q53ws4r5wy6ou8czrpom - Eugenol
pxav

07/12/2015 à 12h25

Je préfères ça, rien n'oblige à être d'accord.
Pour les 3 pieds, d'accord, mais ça n'aurais fait qu’augmenter le problème dents / implants, puisque je désire garder les dents.

--
xbk
"Si tous ceux qui croient avoir raison n'avaient pas tort, la vérité ne serait pas loin" Dac Pierre


Photo pluton1b h9n4ea - Eugenol
pluton

07/12/2015 à 14h19

je ne pense pas, au contraire, que çà aurait compliqué les choses car tu aurais eu une contention fixe, stable déjà par elle même et là elle aurait pu vraiment servir à maintenir les dents...

mais je réfléchis peut être trop avec une vision "mécaniste" sur ce sujet, et je me trompe peut être...voilà pourquoi je suis curieux aussi de savoir par quel "stratagème" tu éludes le problème du bras de levier/point d'appui fixe créé par cet unique implant


S2y2o1v7q53ws4r5wy6ou8czrpom - Eugenol
pxav

07/12/2015 à 14h44

moi aussi...

--
xbk
"Si tous ceux qui croient avoir raison n'avaient pas tort, la vérité ne serait pas loin" Dac Pierre


S2y2o1v7q53ws4r5wy6ou8czrpom - Eugenol
pxav

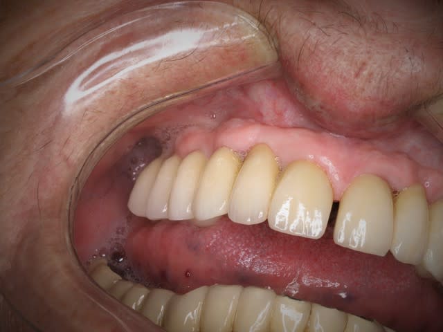
05/01/2016 à 20h29

essayage

--
xbk
"Si tous ceux qui croient avoir raison n'avaient pas tort, la vérité ne serait pas loin" Dac Pierre

Img 3400 neo3cp - Eugenol
Img 3410 couhah - Eugenol
Img 3417 qlsgdo - Eugenol

Vw campersurfvan bmnk1q - Eugenol
enlaye

05/01/2016 à 22h06

Les oursins c est les mois en R .
on est dans les temps :-))))


Little shop of horrors brzqjx - Eugenol
chatondecarte

07/01/2016 à 09h43

Pourquoi les provisoires sont vertes?

--
Mon book de chirurgie :
http://facebook.fr/drbbenichou


S2y2o1v7q53ws4r5wy6ou8czrpom - Eugenol
pxav

07/01/2016 à 14h57

choix de la patiente..:-))

--
xbk
"Si tous ceux qui croient avoir raison n'avaient pas tort, la vérité ne serait pas loin" Dac Pierre


3f3boxni50k58rq7e9ce9ddqrxgk - Eugenol
dentiste57

08/01/2016 à 14h29

vert; couleur de l'espérance...
:)

non, xavier a due essayer la cire de ses futures couronnes pressées


S2y2o1v7q53ws4r5wy6ou8czrpom - Eugenol
pxav

08/01/2016 à 21h08

la suite,

--
xbk
"Si tous ceux qui croient avoir raison n'avaient pas tort, la vérité ne serait pas loin" Dac Pierre

Img 3418 caf8um - Eugenol
Img 3411 fftukb - Eugenol
Img 3425 smze3y - Eugenol

Utilisateur banni

09/01/2016 à 08h12

Je ne voie pas l’intérêt de faire un essayage esthétique si après tu es obligé de retoucher le cosmétique à moins que tu reviennes en arrière dans la chronologie et que tu nous montre la réalisation du provisoire. Tu nous à déjà présenté l’armature en décembre.

As-tu refait l’armature, puisque les tiges de préhension ont disparues ?

La première armature a été réalisée avant la validation esthétique ?


Little shop of horrors brzqjx - Eugenol
chatondecarte

09/01/2016 à 09h15

Pourquoi ne pas avoir tenté une morphologie de latérale sur la 23 pour palier à l agénésie de la 22?

--
Mon book de chirurgie :
http://facebook.fr/drbbenichou


S2y2o1v7q53ws4r5wy6ou8czrpom - Eugenol
pxav

09/01/2016 à 10h32

il faut toujours faire des choix, et la patiente n'a jamais eu de 22 donc nous avons fait le choix de ne pas modifier.

Le coté esthétique n'est pas la priorité pour cette charmante dame, mais la durée.

Il ne fut pas simple de décider de garder toutes ses dents, la solution radicale (implant) était une possibilité pas idiote, donc une fois décidé l'axe de travail, le but est que dans 10 ans minimum rien n'ai bougé.

Ce cas est une addition de compromis, et le résultat n'est pas parfait, il y a plein de détails que je n'aime pas forcement, par exemple, j'aurais bien aimé me passer de l'armature métal (encore que sans les tiges de préhensions elle est plus confortable pour la patiente), mais il nous a semblé important d'avoir une architecture résistante.

--
xbk
"Si tous ceux qui croient avoir raison n'avaient pas tort, la vérité ne serait pas loin" Dac Pierre


Vw campersurfvan bmnk1q - Eugenol
enlaye

09/01/2016 à 13h13

pxav écrivait:
--------------
" par exemple, j'aurais bien aimé me passer de l'armature métal ),...... mais il nous a semblé important d'avoir une architecture résistante."

ah ben dans ce cas , il y a beaucoup beaucoup plus simple :
tu essayes un maquette en plastaga ultra tendre qui servira de gabarit de fraisage .
tu peux faire des ajouts
le régler à la fraise
le modeler en faisant mordre.

bien sur ç est un réglage PASSIF , cad que lorsque tu ne sais pas où tu vas , ce qui est ton cas , tu enregistres en FONCTION de ce qui existe ET des mouvements fonctionnels existants .
à contrario d' un réglage ACTIF où , tu crées un nouveau schéma occlusal imposé par les formes de l'arcade du haut

Pb086831  2  hpltdx - Eugenol
P6106707 mui7uh - Eugenol

Vw campersurfvan bmnk1q - Eugenol
enlaye

09/01/2016 à 13h20

tu vois pxav , les formes vest de mes canine , pm et molaires , sont pipées ,comme les tiennes en bouche d'oursin . ç est le resultat d'un reglage passif .
bien sur , il y a eu tout de suite un gros modelage des cuspides vest de tout le coté ......


S2y2o1v7q53ws4r5wy6ou8czrpom - Eugenol
pxav

09/01/2016 à 22h24

très intéressant, et joli rendu (dents résine?), même si je n'aime pas du tout, la courbe occlusale.

--
xbk
"Si tous ceux qui croient avoir raison n'avaient pas tort, la vérité ne serait pas loin" Dac Pierre


Vw campersurfvan bmnk1q - Eugenol
enlaye

10/01/2016 à 10h30

pxav écrivait:
--------------
" très intéressant, et joli rendu (dents résine?)"

non non ,en zircon







6szjws718sv1jksw54v4mpj3a6cu - Eugenol
vulpi

10/01/2016 à 10h52

Dis moi enlaye, pourquoi ne pas faire une empreinte globale, puis faire une mise en articulateur via le provisoire, porté X mois en bouche. Cad mettre le prov sur l'empreinte, les miens s'adaptent très bien, puis faire une "indexation de plaque". Ensuite y a plus qu'a retirer le prov de l'empreinte. Un peu bricolo, mais de toutes façons il y aura retouches+++ en bouche.


Vw campersurfvan bmnk1q - Eugenol
enlaye

10/01/2016 à 10h54

pxav écrivait:
" même si je n'aime pas du tout, la courbe occlusale."

ben moi non plus elle ne me plait pas la courbe .
puisque le bas était merdique , fatalement la courbe du haut est pipée aussi .sauf que là je m'en fout un peut puisque c est un bridge vissé donc évolutif .
Et pire encore que la courbe , ce qui ne me plait pas , ç'est le recouvrement cuspidien qui est un scandale , et comme je te l'ai dit a été repris à la fraise .

Mais si nous revenons à ton cas ;
tu as déjà fais le bas . bon, on va considérer qu'il est bien ( ce qui n'est pas le cas dans mes photos )
et que tu ne saches pas où tu vas : çest à dire que tu fasses confiance à Brigitte , ce qui est pareil ,en fait .
ben le machin blanc en plastaga te permet très facilement ,et surtout très rapidement , en bouche , d'enregistrer les surfaces d'usure . du coup quand tu le repositionne sur le maitre modèle , tu peux programmer l'articulateur très fastoche sans cires sans rien ...
A partir de là , au moins , tu as les paramétrages + les formes occlusales ( style fgp ), ce qui enlève quand même pas mal de visions fantasmatiques à ta Brigitte , afin de lui éviter d'inventer ,on ne sait quoi :-)))
les faces occlusale seront fraisée sur le definitif , comme si tu refaisais le double de tes clef du garage .




P6106708 zqhgw9 - Eugenol

Vw campersurfvan bmnk1q - Eugenol
enlaye

10/01/2016 à 11h03

bien sur il ne faut pas confondre ce machin blanc avec un essayage esthetique avec une maquette esthetique ,
ou là tu peux aussi intervenir , et qui se fait avant .
ou tu peux meme anticiper la future courbe occlusale ,si le bas est a modifier plus tard ....

P5276700 pdmm3e - Eugenol

1...678...