Cookie Consent byPrivacyPolicies.comexpansion? ça va etre chaud... - Eugenol

expansion? ça va etre chaud...

Vw campersurfvan bmnk1q - Eugenol
enlaye

01/08/2017 à 12h33

posit écrivait:
---------------
> Dans ce cas le type de reconstruction prothétique devrait avoir un influence sur
> la pérennité de la reconstruction effectuée en amont?

Je ne pense pas finalement .
L influence se fait surtout sur les dents restantes .




Utilisateur banni

01/08/2017 à 13h23

.


S2y2o1v7q53ws4r5wy6ou8czrpom - Eugenol
pxav

01/08/2017 à 15h32

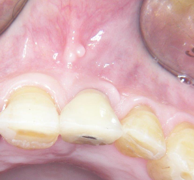
pour ceux que ça intéressent, une petite utilisation d'expansion de la paroi palatine, sur une avulsion d’incisive(racine fendue). toutes mes excuses pour la mauvaise qualité des photos.


--
xbk
La connaissance s'acquiert par l'expérience, tout le reste n'est que de l'information." ALBERT EINSTEIN

100 2089 f81iti - Eugenol
100 2408 enci3h - Eugenol
100 2414 jgwvpt - Eugenol
100 2416 rf7avr - Eugenol
100 2419 rmemrv - Eugenol
100 2421 ftu3xx - Eugenol

S2y2o1v7q53ws4r5wy6ou8czrpom - Eugenol
pxav

01/08/2017 à 15h33




--
xbk
La connaissance s'acquiert par l'expérience, tout le reste n'est que de l'information." ALBERT EINSTEIN

100 2422 yua7fk - Eugenol
100 2423 x4s9rb - Eugenol
100 2430 cqugjt - Eugenol
100 2429 baqdsu - Eugenol
100 2427 brzmts - Eugenol
100 2425 e061rj - Eugenol

S2y2o1v7q53ws4r5wy6ou8czrpom - Eugenol
pxav

01/08/2017 à 15h34




--
xbk
La connaissance s'acquiert par l'expérience, tout le reste n'est que de l'information." ALBERT EINSTEIN

100 2439 fpl1so - Eugenol
100 2446 gh1ssg - Eugenol
100 2444 guucqp - Eugenol
100 2448 tljvy6 - Eugenol
100 2438 em8bc7 - Eugenol
100 2441 u1vjha - Eugenol

S2y2o1v7q53ws4r5wy6ou8czrpom - Eugenol
pxav

01/08/2017 à 15h35




--
xbk
La connaissance s'acquiert par l'expérience, tout le reste n'est que de l'information." ALBERT EINSTEIN

100 2456 yyarji - Eugenol
100 2459 oqlsiu - Eugenol
100 2452 ntbzae - Eugenol
100 2467 hkestk - Eugenol

S2y2o1v7q53ws4r5wy6ou8czrpom - Eugenol
pxav

01/08/2017 à 15h41


voilà prothèse moyenne mais aucun souci

--
xbk
La connaissance s'acquiert par l'expérience, tout le reste n'est que de l'information." ALBERT EINSTEIN

100 2472 l8a11u - Eugenol
100 6336 ftor9m - Eugenol
101 6644 g82jw7 - Eugenol

S2y2o1v7q53ws4r5wy6ou8czrpom - Eugenol
pxav

01/08/2017 à 18h11


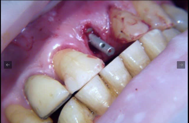
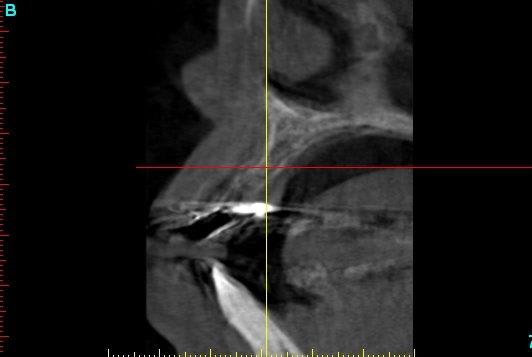
un autre petit cas courant, agénésie 12/22

--
xbk
La connaissance s'acquiert par l'expérience, tout le reste n'est que de l'information." ALBERT EINSTEIN

D quasimodo cross section txwz8a - Eugenol
Quasimodo section12 ka53ee - Eugenol
Quasimodo section12x bdppfq - Eugenol
Quasimodo section22 s3nt2x - Eugenol
Quasimodo section122 fw5yx9 - Eugenol

S2y2o1v7q53ws4r5wy6ou8czrpom - Eugenol
pxav

01/08/2017 à 18h12




--
xbk
La connaissance s'acquiert par l'expérience, tout le reste n'est que de l'information." ALBERT EINSTEIN

Img 2229r qhauyb - Eugenol
Img 2230r ppttph - Eugenol
Img 2232r klnehp - Eugenol
Img 2233r woynjh - Eugenol
Img 2237 srx7ra - Eugenol
Img 2239 v0oaez - Eugenol
Img 2242 ynkp5s - Eugenol
Img 2244 c2fkgz - Eugenol
Img 2247 ejnkrb - Eugenol

S2y2o1v7q53ws4r5wy6ou8czrpom - Eugenol
pxav

01/08/2017 à 18h13




--
xbk
La connaissance s'acquiert par l'expérience, tout le reste n'est que de l'information." ALBERT EINSTEIN

Img 2249 dznqz8 - Eugenol
Img 2253 jp9yaj - Eugenol
Img 2254 vrvkqq - Eugenol
Img 2256 asm9ge - Eugenol
Quasimodo 08.01 - Eugenol

Utilisateur banni

01/08/2017 à 21h09

Et à ton avis pourquoi ton incisive s'est fendue ? Y a qu'à regarder ta photo ...
Et donc tu mets un Implant dans ce contexte là .... faudra pas se demander pourquoi il y aura des complications prothétiques de type fracture de vis

Img 1383 q9zsef - Eugenol

Azerty06

02/08/2017 à 10h50

bonjour, une question pour pxav, je voudrais savoir si une prochaine formation sur l'expansion est prévue ?
merci


S2y2o1v7q53ws4r5wy6ou8czrpom - Eugenol
pxav

02/08/2017 à 12h10

oui bien sur nous sommes de nouveaux présent en 2018 avec Thomas
expansion et manipulation osseuse les 14 et 15 Juin
Sinus le 25 Mai

à suivre sur :
http://www.anthogyr.fr/services/formations/toutes-les-formations?date=2&page=1


--
xbk
La connaissance s'acquiert par l'expérience, tout le reste n'est que de l'information." ALBERT EINSTEIN


RépondreCiter
Utilisateur banni

03/08/2017 à 07h26

posit écrivait:
---------------

>
> La garantie couvre la barre ou la barre + la pérennité des implants?


Olieve, je fais la différence entre une barre qui résiste mécaniquement et une barre adapté au cas clinique. Tu as regardé les conditions de la garantie?


Images 1 vwmtnm - Eugenol
Castor

03/08/2017 à 22h21

junior® écrivait:
-----------------
> Et à ton avis pourquoi ton incisive s'est fendue ? Y a qu'à regarder ta photo
> ...
> Et donc tu mets un Implant dans ce contexte là .... faudra pas se demander
> pourquoi il y aura des complications prothétiques de type fracture de vis

On dirait une réponse à la GéPé :D....
Fais attention, tu glisse vers ce que tu déteste ;)


Blocperso talon jer3sl - Eugenol
mrquentin

04/08/2017 à 00h38

pxav écrivait:
--------------
>
> en réalité expansion sur les 6 implants mais après double greffe biobank en
> greffon préparés avant la stérilisation, c'était une première, la préparation
> des greffons fut faite chez biobank, (posit avait fait un bout de l'étude) et ça
> leur à permit de proposer maintenant des greffons 3D préparé en cadcam...les
> greffons étaient relativement fins (choix perso) et j'ai fait de l’expansion 8
> mois après la pose ce qui a permit de valider la qualité de l'os néoformé dans
> la matrice des greffons.
> aucune gloriole à tout ça simplement une prise de risque murement calculé, et
> beaucoup de réflexion avec les divers intervenants, y compris la patiente (la
> seule solution, qui paraissait possible était une greffe d'os pariétal par le
> maitre de la technique, mais je ne suis pas fan du tout de ce type
> d'intervention, hors cas particulier)
> juste pour expliquer que le partage est important et que de se la péter ça ne
> fait pas avancer le schmilblick...
> fin du débat pour ma part.
>
> --
> xbk
> "Si tous ceux qui croient avoir raison n'avaient pas tort, la vérité ne
> serait pas loin" Dac Pierre

Joli cas, mais pourquoi avoir demandé des greffons fins puis faire de l'expansion plutot que de demander des greffons plus épais qui ne necessiteront pas d'expansion et donc un moins gros risque de désunion?


Utilisateur banni

04/08/2017 à 01h28

Castor écrivait:
----------------
> junior® écrivait:
> -----------------
> > Et à ton avis pourquoi ton incisive s'est fendue ? Y a qu'à regarder ta photo
> > ...
> > Et donc tu mets un Implant dans ce contexte là .... faudra pas se demander
> > pourquoi il y aura des complications prothétiques de type fracture de vis
>
> On dirait une réponse à la GéPé :D....
> Fais attention, tu glisse vers ce que tu déteste ;)

Je suis bien d'accord avec toi 😊. Mais bon que veux tu faire quand une personne se prend pour un ponte de l'implantologie alors qu'il ne l'est pas ? ^^ Y a qu'à voir sa prothèse... c'est pas le tout de fendre l'os et de poser un Implant. Si c'est pour derrière faire n'importe quoi et si c'est pour ne pas s'être posé les bonnes questions au niveau de l'occlusion et de la prothèse, ça n'a pas d'intérêt, c'est travailler dans le vide

Puisque pxav roule pour Anthogyr, je suis allé voir quels étaient les intervenants : et si j'étais Azerty06 j'irais plutôt voir Khoury -> là on est à un niveau bien au dessus, c'est un très bon, bien meilleur et beaucoup plus humble que pxav. Mais apparemment chez Anthogyr on mélange les torchons avec les serviettes, on mélange ceux qui pensent être très bons alors qu'ils ne le sont pas (pxav) , et les très bons qui le sont effectivement (Khoury). D'ailleurs j'ai l'impression que pxav se met dans le même panier que Khoury alors que ce n'est absolument pas le cas. C'est pas parce qu'on est dans la même écurie, que tout le monde est au même niveau, sinon ça se saurait 😊. Enfin bref ça n'est que l'avis d'un petit praticien débutant que je donne....


S2y2o1v7q53ws4r5wy6ou8czrpom - Eugenol
pxav

04/08/2017 à 09h24

mrquentin écrivait:
-------------------
> pxav écrivait:
> --------------
>
> Joli cas, mais pourquoi avoir demandé des greffons fins puis faire de
> l'expansion plutot que de demander des greffons plus épais qui ne necessiteront
> pas d'expansion et donc un moins gros risque de désunion?


Des greffons plus épais, c'était possible mais il en aurait fallu 4, puisque les têtes de fémur ont une forme arrondie qui limite les possibilités.
De plus je voulais faire un côté en flapless pour la greffe, donc plus simple d'avoir deux greffons.
Pour finir, j'avais confiance dans le résultat. Greffons / os patiente, et mon idée de départ était de prouver la qualité du résultat osseux, donc rien de mieux qu'une expansion, qui de plus permet un remaniement osseux de deuxième intention, le risque des greffes étant une fonte osseuse en vestibulaire.
Là malgré la prothése moyenne, aucun problème pour le moment au contraire.
Ce type d'intervention est lourd de conséquences en cas de souci. Il était important d'essayer de tout programmer et de suivre le programme.
J'ai il y a peu assisté un confrère pour un cas équivalent, mais avec 4 greffons (en flapless) c'est plus rapide que deux mais le vestibule est plus chaotique au final.
Ce qui n'est qu'un détail pour certains patients.

--
xbk
La connaissance s'acquiert par l'expérience, tout le reste n'est que de l'information." ALBERT EINSTEIN


Utilisateur banni

04/08/2017 à 10h15

Le choix de 2 ou 4 greffons pour réhabiliter un maxillaire supérieur dépend de la zone à greffer. La courbure de la tête fémorale varie entre 50 et 48. 25 mn est la longueur maximale préconisée du prélèvement. Généralement de la centrale à deuxième prémolaire 1 seul greffon peut être envisagé. Au-delà la courbure de 50 est trop épaisse en son centre et la longueur du greffon est trop importante.


Une foi la courbure et la longueur de greffon déterminée son épaisseur ne pose pas de problème pour la faire varier.


La difficulté sera au niveau de la fermeture du lambeau. Un autre paramètre pour le choix de l’épaisseur du greffon est la capacité régénératrice osseuse.


Utilisateur banni

04/08/2017 à 10h23

Et jusqu'à quelle épaisseur on t'a déjà demandé de faire un greffon Posit ?
Y a une épaisseur limite qu'on ne peut pas dépasser pour qu'on ne puisse pas observer une résorption trop importante ?

Qu'est ce qu'il en pense Albert Einstein, pxav ?😊😊😊 Dans Le genre pompeux on ne peut pas mieux faire . Est-ce que t'en as d'autres des comme ça ?


Vw campersurfvan bmnk1q - Eugenol
enlaye

04/08/2017 à 13h33

Eh bien Junior , c est pas ton collegue ,Pxav , on dirait :-)).


Olieve

04/08/2017 à 13h34

posit écrivait:
---------------
> Olieve, je fais la différence entre une barre qui résiste mécaniquement et une
> barre adapté au cas clinique. Tu as regardé les conditions de la garantie?

"Nobel Biocare s'engage à remplacer, à titre gracieux, tout produit NobelProcera ou Procera défaillant sous cinq (5) ans à partir de sa pose dans la bouche du patient. Outre le remplacement du produit Nobel Procera ou Procera, Nobel Biocare remplacera également, à titre gracieux, tout composant prothétique Nobel Biocare non temporaire ou non prothétique ou tout implant Nobel Biocare associé au produit NobelProcera ou Procera défaillant, par un composant prothétique Nobel Biocare ou un implant Nobel Biocare, si ce composant prothétique ou cet implant doit être remplacé pendant le replacement du produit NobelProcera ou Procera défaillant."


Paul Pitt

04/08/2017 à 14h04

Pxav ,
Avec ton recul sur les expansions , quelle incidence a la resorption centripete maxillaire sur ces pans d'os déplacés ? n'y a t'il pas un risque d'exposition des spires implantaires à long terme ?


Utilisateur banni

04/08/2017 à 14h41

merci Olieve pour l'info


Utilisateur banni

04/08/2017 à 14h53

junior ce qui est habituellement recherché en augmentation par greffe est d'obtenir 2 mm de chaque coté de l'implant.


1...789