Cookie Consent byPrivacyPolicies.comchirurgie mini-invasive implantaire - Eugenol

chirurgie mini-invasive implantaire

Moustache asiatique 2 b9rsxq - Eugenol
goupil

15/12/2015 à 08h37



"En tout cas ça envoie la paillette, ça permet de se différencier de son voisin."

on peut aussi se mettre une plume dans le cul pour se différencier de son voisin


Photo pluton1b h9n4ea - Eugenol
pluton

15/12/2015 à 08h40

pxav écrivait:
--------------

> voilà un truc typique de quadra, avec le temps, ce que l'on recherche (enfin
> pour ma part) c'est un résultat satisfaisant, les "meilleurs" il y en a plein
> les cimetières...

voilà aussi l'une des différences entre nous...tu recherches un résultat satisfaisant, acceptable, alors que je recherche le moins invasif et le plus précis...

je suis d'accord que "des meilleurs" il y en a plein les cimetières...mais si personne ne se donnait la peine d'essayer d'innover, d'avancer et de partager avec les autres leur connaissances...on serait toujours au fond d'une caverne en train de tailler du silex...


Bazaruto 2007 ircsez - Eugenol
jumpingjackflash

15/12/2015 à 10h24

goupil écrivait:
----------------

> on peut aussi se mettre une plume dans le cul pour se différencier de son voisin

cela dépend énormément de ton cul et quand je dit énormément..

l'avantage du pilote link est qu'il te permet de faire ce que tu faisais avant avec plus de précision , plus de contrôle et moins de suites opératoire. A main levé ta précision d'angulation est supérieur à 10° avec pilot elle est inférieur à 2°.
Tu contrôle ce que tu fais pendant tous le processus opératoire



je ne crois pas que se soit un problème de quadra , l'âge ne fait rein a l'affaire

(le nom sur le montage n'est pas le mien puisque je suis jumpingjackflash, et personne ne peut porter un nom pareil)


S2y2o1v7q53ws4r5wy6ou8czrpom - Eugenol
pxav

15/12/2015 à 11h38

Pluton et jumping, ne croyez pas que je critique le système, au contraire, je trouve intéressant,non, je disais que se différencier de son voisin pour être "Le Praticien" ce n'était plus mon truc.
En 1979 je faisais parti des très rares confrères à être équipé d'un micro ordinateur, dont j'avais fait toute la programmation en Basic... des heures et des heures...avec 32 ko de mémoire...maintenant j'utilise Julie, qui n'est pas la panacée, mais je ne programme plus.

Et pluton le moins invasif, quand je pose 8 implants mandibulaires et la séance suivante 8 implants maxillaire en flapless intégral (même pas de punch) avec moins d'1 mm de marge en vestibulaire, je n'ai pas l'impression d’être invasif, et le patient n'a prit qu'un efferalgan..vous êtes l'avenir, je n'en doute pas, mais pas le mien c'est tout.


--
xbk
"Si tous ceux qui croient avoir raison n'avaient pas tort, la vérité ne serait pas loin" Dac Pierre


Bazaruto 2007 ircsez - Eugenol
jumpingjackflash

15/12/2015 à 12h03

j'ai passé l'âge de me demander si la mienne était plus longue. Si tu es contant de ta façon de travailler et de tes résultats, je ne vois pas où est le problème. je ne veux convaincre personne.
j'ai parlé du système sur eugenol en 2011, je me suis retrouvé tout de suite dans les cordes, j'ai laissé tomber. Mais si maintenant quelqu'un est intéressé je veux bien en parler, c'est tout.


Photo pluton1b h9n4ea - Eugenol
pluton

15/12/2015 à 12h18

pxav écrivait:
--------------
> Pluton et jumping, ne croyez pas que je critique le système, au contraire, je
> trouve intéressant,non, je disais que se différencier de son voisin pour être
> "Le Praticien" ce n'était plus mon truc.

si tu penses que c'est mon but alors tu fais fausse route...
je ne recherche qu'une chose: faire de mon mieux pour mes patients.
si en plus d'être moins invasif tout le temps (et donc que leurs suites post op sont simplifiées), çà m'apporte une sécurité dans mon geste, une précision, un diagnostique 3D que je n'ai pas au niveau radiographique, c'est tout bénef pour moi
et le fait que çà me permette d'être plus rapide, c'est la cerise sur le gâteau...

> Et pluton le moins invasif, quand je pose 8 implants mandibulaires et la séance
> suivante 8 implants maxillaire en flapless intégral (même pas de punch) avec
> moins d'1 mm de marge en vestibulaire, je n'ai pas l'impression d’être invasif,
> et le patient n'a prit qu'un efferalgan..vous êtes l'avenir, je n'en doute pas,
> mais pas le mien c'est tout.

je n'ai pas dit que tu ne savais pas être peu invasif pxav...et que tu sois habile de tes mains est une évidence...
pour autant, je ne pense pas être un manchot, et malgré çà, je peux te dire que je vois la différence entre "que mes yeux et mes mains" et "drivé par le pilot"...
comme je l'ai dit plus haut, çà n'est pas la machine qui se trompe, mais bien moi...çà calme, crois moi, et on se remet vite en question...


Photo pluton1b h9n4ea - Eugenol
pluton

16/12/2015 à 17h38

pour ceux qui m'ont demandé les images...;-)

la reconstruction 3D du scan
la planif avec le recalage du scan
la même en vue latérale avec le mapping osseux (mais qui devait merder, à cause de l'alim qui était en train de lâcher...)
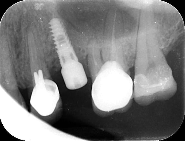
et la radio post op...

Capture4 lbzd7r - Eugenol
Capture2 sfj4dc - Eugenol
Capture3 wa2uw2 - Eugenol
Mci jljrau - Eugenol

Photo pluton1b h9n4ea - Eugenol
pluton

16/12/2015 à 17h47

et pour le fun, ce que j'ai fait ce matin en 15min là aussi...

la patiente ne voulais pas faire de sinus lift car elle avait eu pas mal de pb de ce côté là...
donc, j'ai posé l'implant à raz le long du plancher sinusien

et bien, je souhaite bien du plaisir à qui doit poser un implant de la sorte à main levée en prenant à la fois en compte le sinus et l'émergence du col de l'implant pour ne pas avoir de pb pour faire la prothèse...
à part y aller millimètre par millimètre et prendre des radios à chaque fois....

P.S: j'ai quand même vérifié après l'insertion finale que je pouvais connecter un transfert...bilan, aucun problème!

Capture1 bzketg - Eugenol
Sinus zbjhxn - Eugenol

Bazaruto 2007 ircsez - Eugenol
jumpingjackflash

16/12/2015 à 18h38

premiers implants posées avec Pilot.
patient sous plavix impossible de suspendre le traitement
implant dans septum sinisien bridge posé en 2008
à main levé ; bonne chance

(c'était la première interface machine)

Screenshot873 w7ixfi - Eugenol
Img 0807 i1bcnt - Eugenol
Bontemp 2 ale85h - Eugenol
Img 0801 amerxh - Eugenol
Pano pre op msig1i - Eugenol
16 2y p1ygeq - Eugenol

Generique fraisage r2rxmm - Eugenol
lardonbis

16/12/2015 à 19h01

Putain vous êtes des chauds les mecs quand même :).
La question qui viens immédiatement a l'esprit : pourquoi s'embarrasser d'un operateur alors qu'un bras robotisé ferait mieux et beaucoup plus safe?


Photo pluton1b h9n4ea - Eugenol
pluton

16/12/2015 à 19h06

parce qu'un robot n'a aucune capacité d'analyse d'un cas clinique, aucun ressenti de la densité osseuse, ni aucune possibilité d'adapter/modifier le plan de ttm en cours de route si quelque chose se passe mal...;-)

on est sur les mêmes problématiques en chirurgie générale et/ou neurochir assistée par ordinateur et robots...


S2y2o1v7q53ws4r5wy6ou8czrpom - Eugenol
pxav

16/12/2015 à 19h10


votre système est peut être bien mais ne croyez pas que sans on ne peut rien faire...
d'autant plus que sur une coupe, l'axe n'est pas génial par rapport à la 6....
2 coupes scan pour exemple, de ce que n'importe quel praticien lambda, peut faire à main levé avec un minimum de sensibilité et d'attention. implant posé et l'autre coté va être fait pareil
--
xbk
"Si tous ceux qui croient avoir raison n'avaient pas tort, la vérité ne serait pas loin" Dac Pierre

Vjmcross section hz7nql - Eugenol
Vjmcross section1 wmsiku - Eugenol

Generique fraisage r2rxmm - Eugenol
lardonbis

16/12/2015 à 19h25

pour l'élaboration et la modification per-opératoire du plan de traitement ok.
Mais en ce qui concerne le retour sur la densité osseuse pendant le forage, je pense que tu serait surpris de la simplicité à mettre en place un retour bien plus fiable et précis que le ressenti du praticien.

edit : tant qu'a rêver on pourrait monter une éléctrobroche suffisamment rapide pour assurer une coupe par formation adiabatique du copeau (cisaillement catastrophique). fini l'échauffement de l'os (ou presque).. tien on vire l'irrigation !


Moustache asiatique 2 b9rsxq - Eugenol
goupil

16/12/2015 à 19h35

pluton écrivait:
----------------
> et pour le fun, ce que j'ai fait ce matin en 15min là aussi...
>
> la patiente ne voulais pas faire de sinus lift car elle avait eu pas mal de pb
> de ce côté là...
> donc, j'ai posé l'implant à raz le long du plancher sinusien
>
> et bien, je souhaite bien du plaisir à qui doit poser un implant de la sorte à
> main levée en prenant à la fois en compte le sinus et l'émergence du col de
> l'implant pour ne pas avoir de pb pour faire la prothèse...
> à part y aller millimètre par millimètre et prendre des radios à chaque fois....
>
> P.S: j'ai quand même vérifié après l'insertion finale que je pouvais connecter
> un transfert...bilan, aucun problème!


et la 6 c'est bon ? :)))))))


S2y2o1v7q53ws4r5wy6ou8czrpom - Eugenol
pxav

16/12/2015 à 20h24

je le redis, je n'ai rien contre ce système, par contre je continu de penser que sans on peut quand même survivre et continuer à poser ses implants même dans des crêtes d'1 mm.
Pour l'endo, certains on besoin d'un localisateur d'apex, et pour eux c'est un instrument indispensable, n’empêche que ceux qui comme Marmasse le disait "ont des yeux au bouts des doigts", ben le localisateur n'est qu'un gadget.
Ce qui est important c'est que chacun trouve le matériel adapté à ses capacités.
Pour trouver le bon axe, je passe beaucoup de temps sur simplant, mais après, en principe la main suit l'esprit.

Pour info je n'utilise pratiquement jamais de forets, car je n'ai pas assez de sensibilité avec les forets.

--
xbk
"Si tous ceux qui croient avoir raison n'avaient pas tort, la vérité ne serait pas loin" Dac Pierre


Photo pluton1b h9n4ea - Eugenol
pluton

16/12/2015 à 23h33

pxav, tu as une grande expérience en implanto
çà n'est pas le cas de tout le monde
une pose comme celle que j'ai montré en dernier, avec l'implant angulé qui longe le sinus, j'en ai fait moi aussi totalement main levée...si tu avais mieux lu mon message, tu l'aurais sûrement compris...
tu pointes, tu fais une radio, tu passes les condenseurs, tu fais une radio pour contrôler, tu vérifies l'axe et l'émergence prothétique, etc...
tu vois je connais tout çà... et je sais que c'est possible sans aide
mais c'est très chronophage, demande une très grande maîtrise...là çà m'a pris 15 min sutures incluses...et pour la planif: 15 min avec la patiente et 15min pour recaler le scan et peaufiner les axes tout seul, tranquille quand j'en ai eu le temps...

tes réflexions me font penser aux anciens pilotes automobile (je sais que tu pilotes, donc c'est un petit clin d'oeil...;-)..) qui ne jurent que par les autos sans aucunes assistances à la conduite...
oui, on peut être très performant sans...mais c'est tellement plus simple et "safe" avec...(dans une certaine mesure, bien sûr, car en général on les déconnecte...ou du moins on modifie les réglages pour en retarder la mise en action...)

faut aussi savoir vivre avec son temps...dans les années 70 il y avait 18000 morts sur les routes...avec les aides à la conduite aujourd'hui on est à environ 3000 alors que le parc auto a terriblement augmenté... (on est passé de 13.000.000 à près de 40.000.000)

mon sujet est juste là pour vous montrer un nouveau genre d'outil, qui commence d'être (au niveau prix) abordable
je ne souhaite que vous en montrer les possibilités et la précision...pas de lancer un débat entre les conservateurs et les avant-gardistes...

P.S: pour goupil, oui la 16 n'est pas dans une forme olympique...on peut en dire autant pour la 14...
seulement voilà: ce cas m'est adressé, j'ai longuement parlé avec mon confrère et la patiente des différentes options et c'est celle qui a été retenue...
pour info quand même, ces dents sont totalement asymptomatiques et n'ont aucune mobilité...


Generique fraisage r2rxmm - Eugenol
lardonbis

16/12/2015 à 23h57

Ce genre de technique permet effectivement passer d'un cas difficile à un cas complexe. La complexité se gère bien plus facilement car elle repose moins sur l’expérience et libère ton cerveau pour l’imprévu.
L'avenir c'est toujours les protocoles les moins opérateurs dépendants et ce système est une voie intéressante sur bien des aspects.
j'ai par contre du mal avec la technologie sélectionnée , deux bras de type FaroArm (un fixer au maxillaire l'autre au contre angle) permettent a mon sens une plus grande réactivitée ( mesure par seconde), l'assurance de ne pas boucher le champ des cameras, et surtout la possibilité de "freiner" le mouvement du contre angle a l’approche des angles et positions retenus voir de verrouiller des degrés de liberté quand la position optimale est atteinte.
Un premier pas avant le robot ?


S2y2o1v7q53ws4r5wy6ou8czrpom - Eugenol
pxav

16/12/2015 à 23h59

tu ne comprends pas ce que je dis, pluton, JE N'AI RIEN CONTRE CE SYSTÈME!!! je dis simplement qu'il n'est pas indispensable.

Idem pour d'autres outils moderne, type ostéosafe d'Anthogyr, ça peut aider, ça fonctionne très bien mais ce n'est pas indispensable.

Et ne crois pas que je sois plus doué que d'autres, lors de nos formations (expansion) avec Thomas,ce qui est important c'est que les participants comprennent qu'ils ont en eux touts les éléments pour faire du bon travail.

Pour le coté pilotage, là aussi, il y a erreur, je roule tout les jours avec abs, etc, sans jamais les débrancher car sur route je ne suis qu'un chauffeur, et je serais preneur de voiture dirigée par ordinateur, sans soucis, car il n'y a plus de plaisir sur route ouverte.

Par contre, mon loisir c'est le circuit, et là j’apprécie de ne pas être assisté, de "piloter" des voitures anciennes si possible en propulsion et survitaminées, bien que je ne déteste pas un tour en mini ou en 205 GTI...

--
xbk
"Si tous ceux qui croient avoir raison n'avaient pas tort, la vérité ne serait pas loin" Dac Pierre


Photo pluton1b h9n4ea - Eugenol
pluton

17/12/2015 à 00h10

pour la technologie, tout çà évolue perpétuellement...
pour l'instant çà marche (plutôt bien) avec une caméra 3D...
dans l'avenir (pour en avoir parlé avec le concepteur) 2 circuits intégrés avec gyroscopes et localisation GPS (comme on a dans un tel portable) pourraient permettre un encombrement moindre et qui sais une plus grande précision...

quand au forage, on parle maintenant de laser à co-focalisation dont la puissance peut d'adapter en temps réel en fonction des tissus rencontrés

après, pour les bras robotisés...faut aussi prendre conscience que çà a un coût...et s'il faut rajouter les retours de force, etc...c'est une machine à plus de 100k€, volumineuse qui peut peut être aussi effrayer les patients...


Photo pluton1b h9n4ea - Eugenol
pluton

17/12/2015 à 00h22

pxav écrivait:
--------------
> tu ne comprends pas ce que je dis, pluton, JE N'AI RIEN CONTRE CE SYSTÈME!!! je
> dis simplement qu'il n'est pas indispensable.

mais Où TU AS LU que je disais que c'était indispensable?????

bon sang mais lis autrement qu'en diagonale...

j'ai la chance de m'être payé ce joujou technologique et je vous fais part de mon retour utilisateur, de ce que çà peut apporter...
libre à toi si çà ne t'intéresse pas de faire comme tu le fais depuis toujours...mais laisse au moins aux autres qui veulent plus de prédictibilité dans leur ttm, de précision, de rapidité d'exécution, le choix de voir ce que cette bécane a dans le ventre, non?


Bazaruto 2007 ircsez - Eugenol
jumpingjackflash

17/12/2015 à 11h00

pxav écrivait:
--------------
>
> votre système est peut être bien mais ne croyez pas que sans on ne peut rien
> faire...
> d'autant plus que sur une coupe, l'axe n'est pas génial par rapport à la 6....
> 2 coupes scan pour exemple, de ce que n'importe quel praticien lambda, peut
> faire à main levé avec un minimum de sensibilité et d'attention. implant posé et
> l'autre coté va être fait pareil
> --
> xbk
> "Si tous ceux qui croient avoir raison n'avaient pas tort, la vérité ne
> serait pas loin" Dac Pierre


quand je regarde attentivement tes deux coupes elle sont visiblement pas au même niveau sur le prévisionnel l'implant est dans le trou palatin postérieur alors que l'implant est placé plus antérieur surement 3 ou 4 mm,les implants ne semblent pas être de la même longueur non plus, je ne comprend pas le sens de la démonstration ; si ce n'est que tu es un grand un chanceux tu devrais jouer au loto


Bazaruto 2007 ircsez - Eugenol
jumpingjackflash

17/12/2015 à 12h02

tout cela me rappelle une vieille histoire. Avant de partir à Boston j'ai beaucoup fréquenter J Bori un paro parisien qui faisait des conférences. Il mettait au point une technique de transplantation dentaire avec dent ligament et os après stimulation osseuse. A la fin de mon master j'ai discuté avec M Ruben le chef de service de paro il refusait que Bori enseigne sa technique à BU. il disait "je ne peux pas le laisser enseigner une technique qui ne marche que entre les mains d'un type très doué"
l'avantage du Pilot c'est de permettre à tous les praticiens de devenir "très doué" et de façon prévisible, une gageure non


S2y2o1v7q53ws4r5wy6ou8czrpom - Eugenol
pxav

17/12/2015 à 13h27

jumpingjackflash écrivait:
--------------------------

> quand je regarde attentivement tes deux coupes elle sont visiblement pas au même niveau sur le prévisionnel l'implant est dans le trou palatin postérieur alors que l'implant est placé plus antérieur surement 3 ou 4 mm,les implants ne semblent pas être de la même longueur non plus, je ne comprend pas le sens de la démonstration ; si ce n'est que tu es un grand un chanceux tu devrais jouer au loto

Exemple type des posts sur internet...je lis ce que j'ai envie de comprendre... si tu regarde attentivement, et que tu lis le texte, 1 implant est posé, en 26 et en 16 il va être posé (c'est fait depuis), donc il est normal que les coupes ne soit pas au mème niveaux ...
Je ne suis ni un chanceux,ni spécialement doué, simplement avant la chir je m’imprègne de la vue 3D et je vais là ou mes sensations me guident, exactement comme en endo...
et tout le monde peut faire la même chose, qui sera facilité par les appareils, c'est sur, au détriment d'une certaine connaissance de la nature.
--
xbk
"Si tous ceux qui croient avoir raison n'avaient pas tort, la vérité ne serait pas loin" Dac Pierre


Photo pluton1b h9n4ea - Eugenol
pluton

17/12/2015 à 16h49

pxav écrivait:
--------------

> Exemple type des posts sur internet...je lis ce que j'ai envie de comprendre...

on appelle çà comment déjà? ah oui, l'hôpital qui se fout de la charité, non?


Scan10030 ukikhq - Eugenol
vava

17/12/2015 à 17h18

ici personne ne met en question ton coup de poigné pxav