Cookie Consent byPrivacyPolicies.com1 ère fois que je le fais ..... - Eugenol

1 ère fois que je le fais .....

Orezza gazeuse verre litre ocoxey - Eugenol
casa

02/02/2016 à 12h55

Il y a quelques temps un sujet avait mis le feu à la poudre d'oxyde de zinc .... Hodina s'était retrouvé avec une dent d'un patient dans la main et avait eu l'idée (saugrenue?)de la remettre...Il avait exprimé ses doutes dans le sujet : "1 ére fois que ça m'arrive" . S'en était suivi un débat passionné et passionnant où un certain Enlaye avait défrayé la chronique en exposant ses cas d'extractions / réimplantations ... (ERI !! ça le fait Enlaye) . Certains et même les plus nombreux avaient crié au fou !!! D'autres , dont moi , avaient prêté l'oreille , demandé des éclaircissements ... Bref , depuis Enlaye a gagné le respect des chantres de ce forum , il y apporte son humour , sa connaissance et son regard toujours intéressant ou drôle ,bref ,je suis fan ! (et ne chope pas la grosse tête , il y en a assez comme ça ici ! ) Cette idée d'extraction / réimplnatation me trottait dans la tête ...fallait que j'essaye : pas besoin de matos sophistiqué , pas besoin de formation ... fallait trouver le cas . Donc mi Novembre , une patiente de 71 ans se pointe avec une 23 cassée , sous gingival , à peine visible : la gencive ayant presque recouvert tout ça . Un stellite étant à dispo , je me dis : j'extrais et hop une adjonction .... Je prends une radio , la racine est belle .... Entre les 2 rendez vous , je cogite : et si ..... La fois suivante , je suis décidée , je vais tenter l'ERI , mon idée était de faire une "élongation coronaire" .... bref ..je vous passe les détails ... J'ai été enchantée du résultat !!! cela fait une semaine qu'elle a sa couronne définitive , sur une dent absolument pas mobile . Tout s'est super bien passé , aucune douleur (mis sous ATB) , certains diront que je suis allée un peu vite , mais bon , une provisoire c'est pas le top non plus . Alors , la conclusion de tout ça : j'y ai pris beaucoup de plaisir à tenter l'expérience , je ne dis pas que je recommencerais ça tous les jours ou même tous les mois. Je n'ai pas de recul sur cette dent , d'ici 6 mois , un an on verra ce que ça donne mais je ne pensais vraiment pas que cela soit possible alors je remercie Enlaye pour cette ouverture de mon petit esprit sclérosé , et je vous invite à tenter l'expérience .


R20 ckdylf - Eugenol
R21 ym5fij - Eugenol

Bagheera tudzjy - Eugenol
bagheerra

02/02/2016 à 13h13

Moi je veux bien les détails.


G-P

02/02/2016 à 13h25

Pourquoi extraire ici ? Une endo et une gingivectomie/élongation et basta, non ?


Orezza gazeuse verre litre ocoxey - Eugenol
casa

02/02/2016 à 13h58

@ GP , ben parce que je ne sais pas faire .. tout simplement ! j'ai eu bien essayé mais le résultat ne m'a pas plu ou pas satisfait .


Spix4ever

02/02/2016 à 14h21

En tout cas c'est assez impressionnant !

Par contre t'as du reste de ciment il me semble !


Vw campersurfvan bmnk1q - Eugenol
enlaye

02/02/2016 à 15h51

je ne savais pas que les femmes en avaient :-)))))


Orezza gazeuse verre litre ocoxey - Eugenol
casa

02/02/2016 à 15h53

Tu veux dire : un cerveau ?


Hok 1b hgd3rj - Eugenol
Hokusai

02/02/2016 à 15h58

Spix4ever écrivait:
-------------------

> Par contre t'as du reste de ciment il me semble !

Oui entre 22 et 23, non ?


Hok 1b hgd3rj - Eugenol
Hokusai

02/02/2016 à 15h58

a


Vw campersurfvan bmnk1q - Eugenol
enlaye

02/02/2016 à 16h01

"Tu veux dire : un cerveau ?"
je n'etais pas monté si haut :-))))
bon mais revenons à ton affaire : on veut tout savoir , contention ,pas contention ,prov ,pas prov , enfin tout quoi .....


Orezza gazeuse verre litre ocoxey - Eugenol
casa

02/02/2016 à 16h46

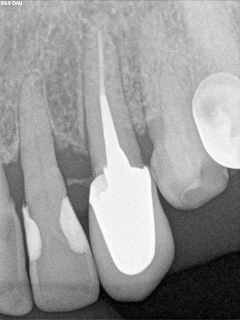
Ha , ha , ha je savais que tu visais plus bas !! Bon je vais faire vite : alors endo in situ , sans digue ( waouh , mais t'es di(n)gue là ! remarque je me demande bien ou je l'aurais accroché le crampon , aux oreilles peut-être ?, alors plein de sales bébêtes sont passées par là , j'me demande même si j'étais pas enrhumée ce jour là .. ça c'est pour Ameli !!! ) . La fois suivante , je réalise une provisoire mais le hic c'est que le logement de tenon ,ben j'arrivais pas à avoir une longueur satisfaisante , ça butait sur les dents adjacentes .... Prov en tab 2000 et moule ... Puis vient le grand jour de l'extraction réimplantation : je vire manteau , sac , chaussures ..... hi hi hi .. bon rien en fait ! Je m'arme d'un bon petit davier et la dent, sympa comme la patiente, vient facilement ! Et là tout devient plus facile , je refais mon logement de tenon à la bonne longueur (trop facile!) et j'ajuste ma provisoire aux petits oignons ... surtout en distal et mésial bien sûr . Et je remets gentiment tout ça en place . Pb , ça ballote dans tous les sens ! ouille ouille , mal barré mon affaire ! J'avais prévu une contention avec une grille et du compo fluide : pb le compo sur de la résine ça tient pas bien ! et la dent se balade quand même un peu . je m'y reprends à 2 ou trois fois avant que j'obtienne un truc qui tienne.Bon faut pas y aller franco non plus . Ce qui m'a aidé ( et a aussi facilité ma décision) c'est qu'en antagoniste , il y avait une PAP .. donc une certaine souplesse !!!Le hic , c'est que pour l'élongation coronaire ben c'est pas ça , la coquine est retournée bien sagement dans son cocon . Bon bon bon , on verra . La patiente est cool , et prévenue qu'il va pas falloir croquer des smarties de ce coté là , je la mets sous ATB et roule ma poule ! J'attends la semaine suivante avec curiosité mais une pointe d’anxiété quand même : a t-elle expulsé sa valda en éternuant ? s'est elle tordue de douleur ? la contention a t'elle tenu ? Et la semaine suivante : tout va bien : pas de douleur , la dent et sa provisoire sont là . Tuti va bene ! Rendez-vous 5 semaines plus tard : faut que j'en ai le cœur net : je dépose ma contention qui ne résiste vraiment pas beaucoup ! je teste la mobilité : nada , rien ! tout va bien . La gencive est impeccable,un miracle ! le jonction gencive , dent est bien nette : que demande le peuple ! La suite est classique . Voili , voilà ;


Jack 2 wm3tqs - Eugenol
Trepo

02/02/2016 à 17h04

Joli (sans le ciment ;) )! Faut oser, mais tu as un bon prof ... :)
Après endo et élongation, pourquoi pas ?!
Bon, on verra dans le temps.
Après je suis peut être parano avec ces histoires de retro alvéolaire mais il n'y a pas un truc à l'apex quand même, le cone beam le confirmerait ... ou pas ;)


Vw campersurfvan bmnk1q - Eugenol
enlaye

02/02/2016 à 17h16

casa écrivait:
--------------
." La gencive est impeccable,un miracle ! le jonction gencive , dent est bien nette "

tu veux dire qu'un pseudo sulcus ç est formé a distance homothetique du prov ? avec un prov infragingival ? interessant ça !
je n'aurais pas osé melanger une reimplantation + un prov infragingival.
pas de doutes tu en as :-)))))


Orezza gazeuse verre litre ocoxey - Eugenol
casa

02/02/2016 à 17h17

Il est certain que ce n'est pas donné à tout le monde ! si tu zieutes les radio à la loupe , si t'es un adepte compulsif de cone beam à la recherche de chaque imperfection de la cavité buccale (on parle pas du reste du corps , hein ! ) ben c'est pas pour toi . Le ciment ? apparemment ça vous inquiète , il va partir bien gentiment , j'ai bien vu ce petit truc à la radio , j'ai cherché j'ai rien trouvé : des papilles en béton : ça doit être ça !


Orezza gazeuse verre litre ocoxey - Eugenol
casa

02/02/2016 à 17h22

Non non Enlaye , je n'en ai définitivement pas ! J'ai revu la patiente une semaine après la pose de la définitive , en distal, là où c'était le plus critique , il y avait une belle papille bien ferme, pas inflammatoire, maintenant je n'ai pas pris le microscope non plus !!


Orezza gazeuse verre litre ocoxey - Eugenol
casa

02/02/2016 à 18h05

ha oui j'oubliais , la cotation CCAM : COUILLU02 , pourquoi 02 ? ch'ais pas !


Jack 2 wm3tqs - Eugenol
Trepo

02/02/2016 à 18h06

Non non c'est cool, je suis taquin.
Juste que je n'aime revoir des patients avec des boulots que j'ai fait qui reviennent parce que ça merdouille. Elle est prévenue, sinon c'était exo et adjonction, donc cool, elle garde sa dent.


Orezza gazeuse verre litre ocoxey - Eugenol
casa

02/02/2016 à 18h11

Oui trepo , merci , faut voir ça comme une deuxième chance !


Vw campersurfvan bmnk1q - Eugenol
enlaye

02/02/2016 à 18h22

il serait temps que l'on en tire des conclusions , parce que celà remet en cause pas mal de choses quand meme ,non ?


Orezza gazeuse verre litre ocoxey - Eugenol
casa

02/02/2016 à 18h28

Houlà , Enlaye , tu vas vite , il serait intéressant que quelques uns "testent" , ça va prendre du temps, mais c'est intéressant d'avoir diverses expériences , c'est pour cela aussi que j'ai avoué "mon crime" !


Vw campersurfvan bmnk1q - Eugenol
enlaye

02/02/2016 à 18h37

il y a une eugenolienne ,qui m'a contacté pour faire sa these dessus .j' en ai vu le plan ... donc il y a des profs sur le coup .
de plus sur le post d'Hodina : 1ere fois que ça m'arrive !!!
il y a eu quand meme 48600 visites !

à mon avis ç est un nouveau truc qui va demarrer .


Toothache

02/02/2016 à 19h02

Peut on avoir le lien du fil original STP Enlaye


Orezza gazeuse verre litre ocoxey - Eugenol
casa

02/02/2016 à 19h27

http://www.eugenol.com/sujets/406035-1ere-fois-que-ca-m-arrive?page=1

Bonne lecture ... 48 pages , il me semble ....


Vw campersurfvan bmnk1q - Eugenol
enlaye

02/02/2016 à 19h36

oui mais ç est facile à lire et c'est rigolo .


Avatar transparent iqadnc - Eugenol
adhoc

02/02/2016 à 19h50

Je ne retire pas du tout ton mérite, mon enlaye, mais un truc mer turlupine (oui, sais....:-). Pourquoi cela n'a pas été tenté plus tot ? .
On a bien des publi et des expériences réussies de reimplan , mais dans des cas tres particuliers: expulsion, transreimplantation 18-46 etc...
Mais pourquoi le généralisation de cette pratique ne s'impose pas?