Tous les forums
comment t'en mettre plein la vue avec 3 chiffres
08/02/2016 à 20h29
yobi écrivait:
--------------
>
> Je ne peux pas te répondre car mon CA est toujours en augmentation!
ouais, ben c'est pas avec tes revalorisations de daube. un adepte de l'endo ic coiffe peut etre ? -)
je te le dis franco , on serait resté avec les tarifs de 72 que ca ne changerait pas grand chose. -)
08/02/2016 à 21h16
barbabapat écrivait:
--------------------
> Ça entraîne des renoncements à l'achat? La tva est l'un des impôts les plus
> rentables de l'état loin devant l'impôt sur les revenus.
>
> Et encore il reste la tva sociale à rajouter à terme.
Chez les ménages modestes y'a 0% d'épargne... Tout part dans la consommation... y'a même du renoncement à la consommation alimentaire.
Et 20% ça reste une grosse participation. 50% des recettes de l'état.
08/02/2016 à 21h37
Par contre avec des charges sociales personnelles de 72. Bien sur. -)))
Mon petit doigt me dit qu'en 72 l'exercice de la dentisterie était meilleur qu'en 2015 malgré vos revalorisations de merde. . -)
08/02/2016 à 21h40
Hokusai écrivait:
-----------------
>
> Chez les ménages modestes y'a 0% d'épargne... Tout part dans la consommation...
> y'a même du renoncement à la consommation alimentaire.
>
Et dans les charges sociales, la moitié de leur salaire. -)
C'est vrai qu'avec 20 % de TVA en plus sur ce qui leur reste il ne leur reste pas beaucoup après le passage de l'obèse. -)))
08/02/2016 à 22h39
chatondecarte écrivait:
-----------------------
> Si il a vraiment pas les moyens, on fera le choix de lui extraire sa dent au prix sécu. Ça ne t arrive jamais de baisser le prix d une prothèse pour un patient qui est sympa motivé mais qui est dans un moment difficile?
A vrai dire très rarement, parce que je soigne ma part de CMU, ni plus ni moins (5% environ). J'ai une autre vision des devis de prothèse que je présente à mes patients, je leurs explique avec "tact" (et mesure) qu'ils payent en fait des années de négligence, c'est un autre moyen de les motiver à leur hygiène bucco-dentaire (il y a quelques année j'avais tenter de me faire honorer des séances de motivation... ils n'étaient pas vraiment motivés :-) ). Certes il y a des patients comme tu dis sympa, mon attitude envers eux c'est de leur faire régler en 3, 4, 5, ...10 fois leur reste à charge. Parce que là encore je vous rejoins, les honoraires des soins opposables sont ridicules. Lorsque je passe 6 mois à reprendre des traitements endos d'une autre époque, je ne peux pas me permettre de faire une fleur même au plus sympa des patients.
> Ce qui est beau avec la liberté (un concept assez inédit sans le medical en france) c est que tu as le choix de baisser tes honoraires si tu en à envie. C'est le tact et la mesure.
> Après si le patient est un gros con qui croit que tout lui est du car il y a marqué cmu sur sa carte verte, alors c est pas normal qu on me force à bosser au rabais pour soigner un connard qui ne le mérite pas.
Dans ce cas, il me semble que le code de déontologie nous protège, s'il y a incompatibilité "d'humeur" avec un patient on a le droit de botter en touche....
08/02/2016 à 23h14
Les soins conservateurs son encore trop chers; Mais non suis je bete ils sont remboursés !
je pense qu'il va falloir passer à la vitesse supérieure : rémunérer les patients pour qu'ils viennent se faire soigner. Pour éviter d'avoir à gérer des cas comme ca.
On vous donne 150 euros par visite. -)
08/02/2016 à 23h24
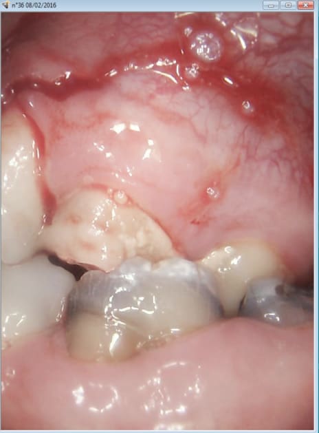
Miracle la 26 était vivante. -))))
Pas facile de trouver les 4 canaux c'est le Mv1 qui a été le plus dur une fois n'est pas coutume ! -)))
Le reste va dégager chez le stomato. J'ai viré la 24 en en chiant assez comme ca après l'endo de 26. Chacun doit faire sa B.A. -)))
J'ai juste la place de faire une ceram sur 26 une fois que 36 sera enlevée. -))))
08/02/2016 à 23h34
chicot29 écrivait:
------------------
> Question à doc es croc : pourquoi la journée d'hospitalisation est à tarifs variable ( du simple à un coefficient 7) et est en totalité prise en charge par la sécu ? hein ?
> Ca n'est que des dépassements d'honoraires déguisés mais pris en charge.
> Comme d'habitude 2 poids et 2 mesures. Facile dans ces conditions de stigmatiser les dépassements d'honoraires des libéraux qui ne sont pas remboursés. -)
Te répondre juste je ne peux, je ne suis pas un politicien.
J'ai tout de même mon idée, l'hôpital représente de mémoire 80% des dépenses de la sécurité sociale, la fonction publique hospitalière c'est 1.137 millions d'emploi...... 1.137 million de voix dans les urnes. Si la sécu ne payait pas les soins des patients hospitalisés à 100%, la fonction publique hospitalière s'en porterait encore plus mal.
Nous nous sommes 40 000 dentistes on représentent que dalle dans les urnes, on est stigmatisé comme des nantis, on a une image de tortionnaire dans l'inconscient collectif, on empoisonne avec nos amalgames, on vide les fonds de poche de nos concitoyens (sa bloque la croissance il parait). On a tout pour déplaire quoi.
C'est pour ça qu'à la CNSD ils font les Roms quand ils vont aux négociations. Ils sont heureux de ramener un petit peu à chaque fois, bon des fois ils sont obligés d'y laisser un morceau de la chemise de la profession (taux urssaf) parce qu'on les a mis devant le fait accompli de la plus belle prise de notre profession sur la sécu : le SPR57 et le SPR67. Et que ça lui a couté une blinde cette histoire, (attention je ne crache pas dans la soupe non plus), mais certains disent que c'est ce qui a bloqué pour longtemps la revalorisation de nos soins opposables.
Ou aussi pour tenter de rattraper les coups de poignard de nos plus fidèles collaborateurs (les prothésistes) avec le devis légale. La CNSD c'est retrouvé bien seule face au politique à ce moment là pour trouver une solution pour noyer le poisson dans l'eau.
Je n'ai pas grand chose à dire sur vos attaques contre la CNSD, elles ont un fond de vérité. Beaucoup des cadres départementaux de la CNSD sont désappointés par la tournure des deux dernières élections. Et pour leur travail quotidien je trouve que vos attaques ne sont pas justes. Mais c'est le jeu des postures syndicalistes. J'espère simplement que vous irez tous ensembles aux négociations et que vous nous ramènerez quelques choses de bien.
Yobi si tu peux leur prêter un stylo pour qu'ils signent aux moins la feuille de présence....... :-))))))))))))))))
08/02/2016 à 23h35
Doc es croc écrivait:
---------------------
Lorsque je passe 6
> mois à reprendre des traitements endos d'une autre époque, je ne peux pas me
> permettre de faire une fleur même au plus sympa des patients.
Oui en plus de rémunérer le patient pour le motiver à venir, il faudrait rémunérer certains praticiens pour qu'il ne fassent pas l'endo : c'est plus chiant à reprendre après. -)
08/02/2016 à 23h36
chicot29 écrivait:
------------------
> Miracle la 26 était vivante. -))))
>
> Pas facile de trouver les 4 canaux c'est le Mv1 qui a été le plus dur une fois
> n'est pas coutume ! -)))
>
> Le reste va dégager chez le stomato. J'ai viré la 24 en en chiant assez comme ca
> après l'endo de 26. Chacun doit faire sa B.A. -)))
>
> J'ai juste la place de faire une ceram sur 26 une fois que 36 sera enlevée.
> -))))
Tu travailles sous microscope électronique?
ca coute combien (à financer et à honorer par le patient)?
08/02/2016 à 23h40
chicot29 écrivait:
------------------
> Miracle la 26 était vivante. -))))
>
> Pas facile de trouver les 4 canaux c'est le Mv1 qui a été le plus dur une fois
> n'est pas coutume ! -)))
>
> Le reste va dégager chez le stomato. J'ai viré la 24 en en chiant assez comme ca
> après l'endo de 26. Chacun doit faire sa B.A. -)))
>
> J'ai juste la place de faire une ceram sur 26 une fois que 36 sera enlevée.
> -))))
Ah ouai j'avais pas bien regardé les photos. Comment as-tu trouvé MV1, parce que sur la photo en haut à droite on ne le voit pas du tout.
08/02/2016 à 23h44
chicot29 écrivait:
------------------
> Les soins conservateurs son encore trop chers; Mais non suis je bete ils sont
> remboursés !
>
> je pense qu'il va falloir passer à la vitesse supérieure : rémunérer les
> patients pour qu'ils viennent se faire soigner. Pour éviter d'avoir à gérer des
> cas comme ca.
> On vous donne 150 euros par visite. -)
J'en ai un aussi comme ça en ce moment 28 dents 20 caries, un fumeur de chichon. Obliger de le déstresser au MEOPA pour espérer faire prendre un début d'anesthésie avant de faire une intrapulpaire dans les 6 et les 7.
Bien! y touche sa bille chicot29, belle ouvrage
08/02/2016 à 23h47
Doc es croc écrivait:
---------------------
> chicot29 écrivait:
> ------------------
> > Miracle la 26 était vivante. -))))
> >
> > Pas facile de trouver les 4 canaux c'est le Mv1 qui a été le plus dur une fois
> > n'est pas coutume ! -)))
> >
> > Le reste va dégager chez le stomato. J'ai viré la 24 en en chiant assez comme
> ca
> > après l'endo de 26. Chacun doit faire sa B.A. -)))
> >
> > J'ai juste la place de faire une ceram sur 26 une fois que 36 sera enlevée.
> > -))))
>
> Ah ouai j'avais pas bien regardé les photos. Comment as-tu trouvé MV1, parce que
> sur la photo en haut à droite on ne le voit pas du tout.
Le feeling et un bon sx protaper. -)))
08/02/2016 à 23h51
chicot29 écrivait:
------------------
>
>
> Le feeling et un bon sx protaper. -)))
Et pour les photos c'est un microscope ou c'est une caméra endobuccale?
09/02/2016 à 09h21
chicot29 écrivait:
------------------
> Miracle la 26 était vivante. -))))
Pffff tu es dur, tu aurais pu la garder vivante, et lui coller un onlay ... bon allez je dégage :)
09/02/2016 à 10h35
Doc es croc écrivait:
---------------------
>
> Nous nous sommes 40 000 dentistes on représentent que dalle dans les urnes, on
> est stigmatisé comme des nantis, on a une image de tortionnaire dans
> l'inconscient collectif, on empoisonne avec nos amalgames, on vide les fonds de
> poche de nos concitoyens (sa bloque la croissance il parait). On a tout pour
> déplaire quoi.
>
Nous sommes 40 000 personnes à faire un boulot que peu de monde veulent réellement faire. Non, nous n'empoisonnons personne avec nos amalgames. Même degrange qui a énormément promus l’adhésion en connaissait ses limites et était très mesuré sur un problème sanitaire avec l'amalgame.
Par contre si tu part négocier avec ce niveau d'engagement reste chez toi. Tu feras plus de mal à la profession en étant défaitiste dés le départ.
> Ou aussi pour tenter de rattraper les coups de poignard de nos plus fidèles
> collaborateurs (les prothésistes) avec le devis légale. La CNSD c'est retrouvé
> bien seule face au politique à ce moment là pour trouver une solution pour noyer
> le poisson dans l'eau.
Mauvaise communication que de noyer le poisson dans l'eau. Tu fais croire alors au public que tu as quelque-chose à cacher. J'ai deux exemple de prothèses que m'as fournis le prothésiste. Aux patient qui me prennent pour un vendeur de chaussure sur la prothèse, je leur met en mains une des couronne et leur dit de l'installer eux même. Très vite ils comprennent qu'il faut un travail du dentiste préalable.
>
> Je n'ai pas grand chose à dire sur vos attaques contre la CNSD, elles ont un
> fond de vérité. Beaucoup des cadres départementaux de la CNSD sont désappointés
> par la tournure des deux dernières élections.
Le résultat des élections ne me pose pas de problème.
La situation dans laquelle se retrouve la profession me pose plus de problèmes surtout quand le cadre d'un syndicat publie sur un forum public un document d’autosatisfaction interne à utiliser dans le cadre de soirées éméchées qui laisse entendre que nos revendications de revalorisations sur les soins sont déplacées alors que certains calculs sur les extractions sont à la limite de la malhonnêté quand ils sont généralisés. C'est quand même sympa que l’abcès paro après moins d'un ans d’existence soit sur surveillance de la part de la sécu.
09/02/2016 à 10h44
Trepo écrivait:
---------------
> chicot29 écrivait:
> ------------------
> > Miracle la 26 était vivante. -))))
>
>
> Pffff tu es dur, tu aurais pu la garder vivante, et lui coller un onlay ... bon
> allez je dégage :)
C'est vrai ma reconstitution préendo était bien collée à l'entrée du MV1 dommage que le patient consultait à cause de douleurs. Il serait venu 15 jours avant ca aurait pu le faire. -)
09/02/2016 à 10h50
sinon avec ces trois chiffres t'en mets plein la vue
9 1 1
hein chicot?
--
You can't always get what you want..
09/02/2016 à 11h33
En même temps, dans ton cas, un onlay est une reconstitution pré-endo de luxe :)
09/02/2016 à 11h46
chicot29 écrivait:
------------------
>
>
> C'est vrai ma reconstitution préendo était bien collée à l'entrée du MV1 dommage
> que le patient consultait à cause de douleurs. Il serait venu 15 jours avant ca
> aurait pu le faire. -)
On est quand même d accord que toute considération financière mise à part, on est en plein dans l indication d'un onlay là?
09/02/2016 à 11h53
Ha non à ce degré de saleté et de négligence on est hors indication d'un onlay pour moi.
On est pile-poil dans l'indication d'une CCM avec un sertissage périphérique légèrement sous-gingival.
Je ne porte aucun jugement moral sur la saleté et la négligence. C'est une considération factuelle.
09/02/2016 à 12h26
barbabapat écrivait:
--------------------
> Doc es croc écrivait:
> ---------------------
> Par contre si tu part négocier avec ce niveau d'engagement reste chez toi. Tu feras plus de mal à la profession en étant défaitiste dés le départ.
J'attend pour voir comment ça va effectivement se passer.
il faudra en reparler le jour venu. Mais accorde moi que ce serait rageant qu'on accorde beaucoup plus aux chirurgiens dentistes aujourd'hui se qu'on leur refuse depuis des dizaines d'années.
> > Ou aussi pour tenter de rattraper les coups de poignard de nos plus fidèles
> > collaborateurs (les prothésistes) avec le devis légale. La CNSD c'est retrouvé
> > bien seule face au politique à ce moment là pour trouver une solution pour
> noyer
> > le poisson dans l'eau.
>
> Mauvaise communication que de noyer le poisson dans l'eau. Tu fais croire alors au public que tu as quelque-chose à cacher. J'ai deux exemple de prothèses que m'as fournis le prothésiste. Aux patient qui me prennent pour un vendeur de chaussure sur la prothèse, je leur met en mains une des couronne et leur dit de
> l'installer eux même. Très vite ils comprennent qu'il faut un travail du dentiste préalable.
Là en l’occurrence ce n'était pas nos patients qu'il fallait convaincre mais les politiciens qui souhaitaient nous imposer un statut de commerçant.
> > Je n'ai pas grand chose à dire sur vos attaques contre la CNSD, elles ont un fond de vérité. Beaucoup des cadres départementaux de la CNSD sont désappointés par la tournure des deux dernières élections.
> Le résultat des élections ne me pose pas de problème.
Des élections ou 55% de l'électorat ne se mobilise pas moi ça me gène profondément. Les confrères n'espèrent pas grand chose des syndicats, parce que le contexte économique ne s'y prête pas ou bien parce que la situation actuelle leur convient malgré tout.
> La situation dans laquelle se retrouve la profession me pose plus de problèmes surtout quand le cadre d'un syndicat publie sur un forum public un document d’autosatisfaction interne à utiliser dans le cadre de soirées éméchées qui laisse entendre que nos revendications de revalorisations sur les soins sont déplacées alors que certains calculs sur les extractions sont à la limite de la malhonnêté quand ils sont généralisés. C'est quand même sympa que l’abcès paro après moins d'un ans d’existence soit sur surveillance de la part de la sécu.
09/02/2016 à 14h42
pgc écrivait:
-------------
> Ha non à ce degré de saleté et de négligence on est hors indication d'un onlay
> pour moi.
> On est pile-poil dans l'indication d'une CCM avec un sertissage périphérique
> légèrement sous-gingival.
> Je ne porte aucun jugement moral sur la saleté et la négligence. C'est une
> considération factuelle.
>
Donc pour toi ce patient peut nettoyer plus facilement une limite infragingivale qu une limite largement supragingivale?
09/02/2016 à 15h00
Doc es croc écrivait:
---------------------
>
> Là en l’occurrence ce n'était pas nos patients qu'il fallait convaincre mais les
> politiciens qui souhaitaient nous imposer un statut de commerçant.
>
Pour les politiques, le mauvais plan a été de chercher à faire une loi spécifique pour les dentistes en négociant avec eux l'application de la loi.
Une loi plus générale imposant à tous le prix d'achat, n'aurait pas dépassé le stade du projet de loi.