Cookie Consent byPrivacyPolicies.comcotations rétro coronaires - Eugenol
Image saznoz - Eugenol
Hodina

16/02/2016 à 20h20

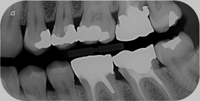
Sur la radio de Hokusai on voit combien de secteurs
18-17-16
17-16-15
16-15-14
3 secteurs DISTINCTS😀😀😀😀😀

--
😁😁😁😁😁😁
Le Blog dentaire.
www.arcad-dentaire.fr
Dernier article: SANTE ET LOW-COST
((-----Vivre le sourire Hollywoodien-----))


Hok 1b hgd3rj - Eugenol
Hokusai

16/02/2016 à 20h41

Hodina écrivait:
----------------
> Sur la radio de Hokusai on voit combien de secteurs
> 18-17-16
> 17-16-15
> 16-15-14
> 3 secteurs DISTINCTS😀😀😀😀😀

Alors toi... tu vas avoir des problèmes !!!


Capture d  cran 2015 03 12 12.28 - Eugenol
chicot29

16/02/2016 à 21h04

14 secteurs. -)
Une dent manquante c'est pas un diastème.
On pourrait passer à 16 secteurs mais on ne doit pas pouvoir centrer une sagesse. -)

Capture d e cran 2016 02 16 19.50 - Eugenol

Image saznoz - Eugenol
Hodina

16/02/2016 à 21h18

Hokusai écrivait:
-----------------
> Hodina écrivait:
> ----------------
> > Sur la radio de Hokusai on voit combien de secteurs
> > 18-17-16
> > 17-16-15
> > 16-15-14
> > 3 secteurs DISTINCTS😀😀😀😀😀
>
> Alors toi... tu vas avoir des problèmes !!!

Attends, je joue la,hein....mais si l'on applique à la lettre les intitulés etc.... Ça passe!
Ce n'est pas moi qui écrit les lois, j'essaye juste de les comprendre et de les appliquer!
Que l'on me explique juste ou mon raisonnement est foireux?
En cas de contrôle d'un ,CDC sur les radios, que peut il reprocher à cela ( après explication bien sur entre les notions de distinct et disjoint)
--
😁😁😁😁😁😁
Le Blog dentaire.
www.arcad-dentaire.fr
Dernier article: SANTE ET LOW-COST
((-----Vivre le sourire Hollywoodien-----))


Capture d  cran 2015 03 12 12.28 - Eugenol
chicot29

16/02/2016 à 22h26

Ca c'est une chose. Mais cette histoire de secteurs vient après le premier principe de radio protection : la justification de l'examen. -)
Avant il fallait justifier de chaque radio ( sauf pour les status complet Z56 acte à part) , qu'en est il maintenant que chaque acte a sa cotation particulière en fonction du nombre de secteurs ? En particulier peut on appliquer comme aux status complets les notions d'antécédents de soins intensifs et de signes d'appels. -)


Image saznoz - Eugenol
Hodina

16/02/2016 à 22h52

chicot29 écrivait:
------------------
> Ca c'est une chose. Mais cette histoire de secteurs vient après le premier
> principe de radio protection : la justification de l'examen. -)
> Avant il fallait justifier de chaque radio ( sauf pour les status complet Z56
> acte à part) , qu'en est il maintenant que chaque acte a sa cotation
> particulière en fonction du nombre de secteurs ? En particulier peut on
> appliquer comme aux status complets les notions d'antécédents de soins intensifs
> et de signes d'appels. -)

Bien sûr chicot
Concernant la justification des examens, il faut en revenir aux 169 pages du document de la HAS concernant la radioprotection;
J'avais d'ailleurs essayer de donner des indications dans mon blog si tu te rappelles: Guide de prescription radio ou "50 nuances de Gray" dont voici le lien :
http://www.arcad-dentaire.fr/?p=561

Évidemment, cela n'engageait que moi, mais j'avais essayer de tout répertorier sur 2 tableaux qui sont d'ailleurs affichés dans mon cabinets puisque les indications différaient en fonction non seulement de l'âge mais aussi du risque carieux faible ou élevé; était répertorié les radios de 1ère intention, de 2eme intention et même de 3eme intention en fonctions de ce qui était recherché.......

Pour répondre à ta question, je pense qu'il faut effectivement appliquer les notions d'antécédents de soins intensifs et de signes d'appels; ces notions n'ont à ma connaissance pas été remis en cause.

Par contre, l'acte rétro coronaire si je ne me trompe n'existe pas dans la CCAM.... Il me semble que leur cotation remboursée par la sécu est une liberté donné par les CDC; donc si c'est bien le cas, Hosukai, tu as alors raison; il ne faut pas abuser;
D'un autre côté on devrait ( si je ne me trompe pas) pouvoir les coter en HN ( oui je dis bien HN et pas NPC), ce qui pourrait être intéressant également;



--
😁😁😁😁😁😁
Le Blog dentaire.
www.arcad-dentaire.fr
Dernier article: SANTE ET LOW-COST
((-----Vivre le sourire Hollywoodien-----))


Capture d  cran 2015 03 12 12.28 - Eugenol
chicot29

17/02/2016 à 01h00

Hodina écrivait:
----------------
>
> Par contre, l'acte rétro coronaire si je ne me trompe n'existe pas dans la
> CCAM.... Il me semble que leur cotation remboursée par la sécu est une liberté
> donné par les CDC; donc si c'est bien le cas, Hosukai, tu as alors raison; il ne
> faut pas abuser;

comment ca n'existe pas ?

HBQK389 Radiographie intrabuccale rétroalvéolaire ET/OU rétrocoronaire d'un secteur de 1 à 3 dents contigües

Après il faut s'entendre sur le terme rétro coronaire. Selon la HAS c'est un mordu. Mais bon rétro coronaire c'est la couronne seule littéralement et avec le et/ ou on peut panacher un secteur avec les 2 avec ou sans mordu. -)
tu m'étonnes qu'avec un libellé aussi clair les litiges du à des interprétations à géométrie variables soient nombreux. -)
Bref le seul moyen de ne pas se faire emmerder c'est de ne pas les quoter voire de ne pas en faire. Après tout le non diagnostic de lésions carieuses est un investissement à moyen long terme surtout avec une nomenclature ne favorisant pas les soins conservateurs -)
Une seule rétrocoronaire en mordu avec un film XL comprenant de 8 à 4, ca fait combien de secteurs distincts de 3 dents contiguës ? -)
Perso j'aurais tendance à dire 2 en vertu de quelque soit le nombre de clichés. . -)


Capture d  cran 2015 03 12 12.28 - Eugenol
chicot29

17/02/2016 à 01h37

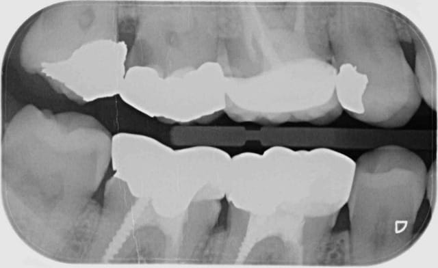
Ici on peut voir 4 secteurs distincts de 3 dents contigues en rétro-coronaires aussi pourquoi pas.

Toujours ce quelque soit le nombre de clichés hein ?


18, 17, 16 - 16, 15, 14

48, 47, 46- 46, 45, 44

Je mets la définition de distinct pour que ca soit clair. Ces secteurs ne se confondent pas. -)

C'est pratique ces libellés plus on creuse et moins c'est clair. -)
Enfin pour un CDC moins il y a de secteurs cotés et mieux c'est. C'est curieux pour celui qui les cote c'est l'inverse. -)-)

Capture d e cran 2016 02 17 00.30 - Eugenol
Capture d e cran 2016 02 17 00.37 - Eugenol

Capture d  cran 2015 03 12 12.28 - Eugenol
chicot29

17/02/2016 à 01h55

Définition HAS du cliché rétro coronaire :

• Visualisation
Un cliché rétrocoronaire doit montrer les couronnes des dents antagonistes
radiographiées ainsi que les rebords alvéolaires maxillaires et mandibulaires du secteur
concerné.

Ici il n'est pas question de secteurs de 1 à 3 dents contigues mais d'antagonistes. Ca peut etre 1 2 3 4 ou 5 couples d' antagonistes. -)


Libellé CCAM :

Par dents contigües on entend : dents ayant des faces de contact mésiales et distales qu'il y ait diastème ou non. Par secteur de 1 à 3 dents contigües on entend : secteur de 1 ou 2 ou 3 dents comprenant la dent sur laquelle est centré le cliché radiographique et chacune de ses dents adjacentes.Facturation : quel que soit le nombre de clichés réalisés sur un même secteur de 1à 3 dents contigües. Ne peuvent pas être facturées pour un traitement endodontique.

Ici il est question de secteurs indépendamment du nombre de clichés. -)
A noter qu'on ne parle à aucun moment d'angulation différentes de clichés. -)


Image saznoz - Eugenol
Hodina

17/02/2016 à 09h26

chicot29 écrivait:
------------------
> Ici on peut voir 4 secteurs distincts de 3 dents contigues en rétro-coronaires
> aussi pourquoi pas.
>
> Toujours ce quelque soit le nombre de clichés hein ?
>
>
> 18, 17, 16 - 16, 15, 14
>
> 48, 47, 46- 46, 45, 44
>
> Je mets la définition de distinct pour que ca soit clair. Ces secteurs ne se
> confondent pas. -)
>
> C'est pratique ces libellés plus on creuse et moins c'est clair. -)
> Enfin pour un CDC moins il y a de secteurs cotés et mieux c'est. C'est curieux
> pour celui qui les cote c'est l'inverse. -)-)

Tu vois chicot, on n'est deja pas d'accord sur la définition de distinct et sur le nombre de secteur sur la même radio
Il faudrait un arbitre
--
😁😁😁😁😁😁
Le Blog dentaire.
www.arcad-dentaire.fr
Dernier article: SANTE ET LOW-COST
((-----Vivre le sourire Hollywoodien-----))


Capture d  cran 2015 03 12 12.28 - Eugenol
chicot29

17/02/2016 à 09h39

Bon J'arrete de déconner. -)

La notion de centre est primordiale. Une seule radio, un seul centre un seul secteur.
Sauf pour les rétro coronaires ou tu peux centrer sur 2 secteurs.

Ici tu ne peux coter que 2 secteurs de 1 a 3 dents contigues dents contigues. radio centrée sur 46 et 16 donc 2 secteurs distincts.

47,46,45 et 17,16, 15.

Et tu n'aurais "que" 16 et 46 dessus ca serait pareil. -)
Point. -)

Non mais. -)

Capture d e cran 2016 02 17 00.30 - Eugenol

Image saznoz - Eugenol
Hodina

17/02/2016 à 09h52

chicot29 écrivait:
------------------
> Bon J'arrete de déconner. -)
>
> La notion de centre est primordiale. Une seule radio, un seul centre un seul
> secteur.
>
> Ici tu ne peux coter que 2 secteurs de dents contigues. radio centrée sur 46
> et 16 donc 2 secteurs distincts.
>
> 47,46,45 et 17,16, 15.
>
> Point. -)
>
> Non mais. -)

Ça m'arrange pas😀
Je ne suis toujours pas d'accord avec toi
Pour moi,
Secteur 18-17-16
Secteur 17-16-15
Secteur 16-15-14
...si on applique ma notion de distinct(cf plus haut)
Sinon 2 secteurs
18-17-16
16-15-14 si on ne cherche pas le cdc




--
😁😁😁😁😁😁
Le Blog dentaire.
www.arcad-dentaire.fr
Dernier article: SANTE ET LOW-COST
((-----Vivre le sourire Hollywoodien-----))


Image saznoz - Eugenol
Hodina

17/02/2016 à 09h52

chicot29 écrivait:
------------------
> Bon J'arrete de déconner. -)
>
> La notion de centre est primordiale. Une seule radio, un seul centre un seul
> secteur.
>
> Ici tu ne peux coter que 2 secteurs de dents contigues. radio centrée sur 46
> et 16 donc 2 secteurs distincts.
>
> 47,46,45 et 17,16, 15.
>
> Point. -)
>
> Non mais. -)

Ça m'arrange pas😀
Je ne suis toujours pas d'accord avec toi
Pour moi,
Secteur 18-17-16
Secteur 17-16-15
Secteur 16-15-14
...si on applique ma notion de distinct(cf plus haut)
Sinon 2 secteurs
18-17-16
16-15-14 si on ne cherche pas le cdc




--
😁😁😁😁😁😁
Le Blog dentaire.
www.arcad-dentaire.fr
Dernier article: SANTE ET LOW-COST
((-----Vivre le sourire Hollywoodien-----))


Capture d  cran 2015 03 12 12.28 - Eugenol
chicot29

17/02/2016 à 10h08

C'est la notion de centre qui définit le secteur. Tu prends la dent au centre et tu définis ton secteur. -)

Ex une RVG centrée sur 17 ou tu n'as que 17 : Secteur 18,17,16. Si ca te chantes tu peux prendre une radio de 17 et 18 en plus ca ne change rien. -)


Capture d  cran 2015 03 12 12.28 - Eugenol
chicot29

17/02/2016 à 10h37

Bon alors on compte quoi là ? -)

Problème de centre sur les 3 et les 4 pas facile de déterminer le centre du secteur. -)
Plus facile de déterminer le centre du secteur sur les molaires par contre. -)

J'ai dénombré 8 secteur les quels ? -)

Capture d e cran 2016 02 17 09.36 - Eugenol

Capture d  cran 2015 03 12 12.28 - Eugenol
chicot29

17/02/2016 à 11h14

Et ca ?

2 secteurs : 36 35 et 35 34 33

ou un secteur 36,35,34 hein ? -)

Par ce qu'en fait c'est centré sur 36 et 34 . -)

Capture d e cran 2016 02 17 10.12 - Eugenol

Image saznoz - Eugenol
Hodina

17/02/2016 à 12h21

chicot29 écrivait:
------------------
> Et ca ?
>
> 2 secteurs : 36 35 et 35 34 33
>
> ou un secteur 36,35,34 hein ? -)
>
> Par ce qu'en fait c'est centré sur 36 et 34 . -)

La difficulté est que tu places tes capteurs à la verticale.
Place les a l'horizontal, ce sera plus facile d'avoir les dents adjacentes...
--
😁😁😁😁😁😁
Le Blog dentaire.
www.arcad-dentaire.fr
Dernier article: SANTE ET LOW-COST
((-----Vivre le sourire Hollywoodien-----))


Capture d  cran 2015 03 12 12.28 - Eugenol
chicot29

17/02/2016 à 13h09

Ouais mais là tu n'as pas les apex. -)

Et puis ca m'arrange pour cette histoire de centre de secteur. -)


Image saznoz - Eugenol
Hodina

17/02/2016 à 13h10

chicot29 écrivait:
------------------
> Et ca ?
>
> 2 secteurs : 36 35 et 35 34 33
>
> ou un secteur 36,35,34 hein ? -)
>
> Par ce qu'en fait c'est centré sur 36 et 34 . -)

Toujours ton capteur a la verticale et en plus il manque une partie des couronnes
Donc le CDC doit pouvoir te chercher encore des poux s'il n'est pas conciliant
--
😁😁😁😁😁😁
Le Blog dentaire.
www.arcad-dentaire.fr
Dernier article: SANTE ET LOW-COST
((-----Vivre le sourire Hollywoodien-----))


Capture d  cran 2015 03 12 12.28 - Eugenol
chicot29

17/02/2016 à 13h13

Hodina écrivait:
----------------
> chicot29 écrivait:
> ------------------
> > Et ca ?
> >
> > 2 secteurs : 36 35 et 35 34 33
> >
> > ou un secteur 36,35,34 hein ? -)
> >
> > Par ce qu'en fait c'est centré sur 36 et 34 . -)
>
> Toujours ton capteur a la verticale et en plus il manque une partie des
> couronnes
> Donc le CDC doit pouvoir te chercher encore des poux s'il n'est pas conciliant


C'est le secteur qui compte "quelque soit le nombre de clichés" donc on s'en branle.
Effectivement mais là c'est chercher les poux des poux. -)
En pratique je ne compte qu'un seul secteur bien qu'a mon avis on puisse en coter 2.
Je cote par intervalle de 2 dents.
Si j'avais eu la 33 centrée j'aurais compté 36 33.


Capture d  cran 2015 03 12 12.28 - Eugenol
chicot29

17/02/2016 à 13h54

C'est pas concluant en horizontal. -)

Capture d e cran 2016 02 17 12.54 - Eugenol

Bagheera tudzjy - Eugenol
bagheerra

17/02/2016 à 16h55

On tourne un peu en rond dans ce post...

Pour ma part, je ne fais et ne cote de rétro-coronaires que depuis que j'ai viré mon vieux capteur pour un Vistascan. Je n'ai aucun scrupule pour le HBQK443 (4 secteurs, 31.92€).

Après, Chcot29, si tu t'es fait allumer sur les radios, n'est-ce pas aussi parce que ton volume de IC/CCM attire l'attention ? Quand un CDC veut montrer à un praticien qu'il est dans la ligne de mire, c'est plus facile de demander des radios en vrac plutôt que de demander à prouver que telle ou telle dent n'était pas reconstituable durablement par une obturation.

C2 mwa9hl - Eugenol
C3 la3d11 - Eugenol

Capture d  cran 2015 03 12 12.28 - Eugenol
chicot29

17/02/2016 à 17h24

Pas du tout. C'est du au volume de Z56. Acte à part en NGAP. J'en ai coté 180 en un an. 15 status controlés comme par hasard qui n'avaient pas été suivis de soins. -) la loupiote s'allume. Les ic coiffes tout le monde en fait quasi systématiquement ca ne risque pas de s'allumer. -)
Ca a un tel succès que la CNSD l'integre dans son protocole avec la MGEN. -)
Ils ne risquent pas d'y incorporer les onlays ceram qui pourtant en auraient bien besoin. -)
Il m'a dit de refaire comme avant coter 8 Z6. -)
Par contre les bouches avec peu ou pas de soins je ne cote que des rétro coronaires.

Et dans ton cas mauvais exemple c'est des rétro alvéolaires qu'il faut faire.


Bagheera tudzjy - Eugenol
bagheerra

17/02/2016 à 18h11

>
> Et dans ton cas mauvais exemple c'est des rétro alvéolaires qu'il faut faire.

Dans mon cas j'ai une pano de moins de 5 ans donc les BW suffisent en contrôle annuel.

P2 ef3fo1 - Eugenol

Image saznoz - Eugenol
Hodina

17/02/2016 à 18h29

bagheerra écrivait:
-------------------
> >
> > Et dans ton cas mauvais exemple c'est des rétro alvéolaires qu'il faut faire.
>
> Dans mon cas j'ai une pano de moins de 5 ans donc les BW suffisent en contrôle
> annuel.

Oui mais non
D'accord avec chicot
Rétro alvéolaire pour voir l'apex des dents dévitalisées
Même si pano de - de 5 ans
Tu peux faire de mémoire 1 rétro alvéolaire par an puisque adulte à haut risque carieux avec antécédents de soins intensif
--
😁😁😁😁😁😁
Le Blog dentaire.
www.arcad-dentaire.fr
Dernier article: SANTE ET LOW-COST
((-----Vivre le sourire Hollywoodien-----))