Cookie Consent byPrivacyPolicies.comLa meilleure obturation c'est la pulpe.... Ah bon ?😊 - Eugenol

La meilleure obturation c'est la pulpe.... Ah bon ?😊

Generique fraisage r2rxmm - Eugenol
lardonbis

16/01/2017 à 12h32

trop de die spacer ? :)


Orezza gazeuse verre litre ocoxey - Eugenol
casa

16/01/2017 à 13h04

Bon puisque le sujet a complètement dévié , je confirme Enlaye , les moulages de mes propres dents font bien cloc cloc quand on les met en occlusion ! et j'ai une occlusion parfaite ! ( au moins un truc de bon !)! ça veut dire quoi donc ? tous les montages en PAP ou en PAT devraient faire aussi cloc cloc d'avant en arrière pour respecter la physiologie ? ça me perturbe cette affaire !

Sinon j'ai mon Orthese d'avancée mandibulaire , je teste cette nuit et j'enregistre ...le son ... Si ça intéresse du monde. Pour les initiés c'est une Narval .


Generique fraisage r2rxmm - Eugenol
lardonbis

16/01/2017 à 13h56

casa écrivait:
--------------

> Sinon j'ai mon Orthese d'avancée mandibulaire , je teste cette nuit et
> j'enregistre ...le son

C'est comme ça que les pneumo/orl faisait avant que ça devienne à la mode et qu'il y ai du matos dédié.
Et ils écoutaient le magnéto de la nuit du patient la journée pendant les consult :)


carident

16/01/2017 à 14h14

lardonbis écrivait:
-------------------
> trop de die spacer ? :)

Non, s'il y a trop de die spacer, ça aboutit à l'effet inverse : un inlay-core qui flotte.


Orezza gazeuse verre litre ocoxey - Eugenol
casa

16/01/2017 à 15h05

"C'est comme ça que les pneumo/orl faisait avant que ça devienne à la mode et qu'il y ai du matos dédié.
Et ils écoutaient le magnéto de la nuit du patient la journée pendant les consult :)"

J'ai déjà fait par moi même avec des petits logiciels pour augmenter le son et audacity pour regarder l'amplitude et la fréquence ..et ben c'était pas chouette ! je vais pouvoir comparer ....


Vw campersurfvan bmnk1q - Eugenol
enlaye

16/01/2017 à 15h09

lardonbis écrivait:
-------------------
" C'est comme ça que les pneumo/orl faisait avant que ça devienne à la mode et qu'il y ai du matos dédié. Et ils écoutaient le magnéto de la nuit du patient la journée pendant les consult :) "

tu confonds pas avec les sexo ?


Generique fraisage r2rxmm - Eugenol
lardonbis

16/01/2017 à 15h17

enlaye écrivait:
----------------

> tu confonds pas avec les sexo ?

Mais alors les gouttières ? J'en fais quoi ?


Vw campersurfvan bmnk1q - Eugenol
enlaye

16/01/2017 à 15h56

casa écrivait:
--------------
" Bon puisque le sujet a complètement dévié , je confirme Enlaye , les moulages de mes propres dents font bien cloc cloc quand on les met en occlusion ! et j'ai une occlusion parfaite ! ( au moins un truc de bon !)! ça veut dire quoi donc ? "

ça veut dire que tu as une centrée fonctionnelle de bonne amplitude donc une aire d'entrée à la fermeture en douceur .
mais ça peut aussi vouloir dire que tu as de grosses amygdales .
si ç est le cas ,tu grinces en position oim avec des mvts avant arriere pour pouvoir avoir plus d'air ( air sans le E ce coup ci ).souvent ,cela est associé avec des pointes canines du bas carrées ,mais pas obligatoirement .


" tous les montages en PAP ou en PAT devraient faire aussi cloc cloc d'avant en arrière pour respecter la physiologie ? ça me perturbe cette affaire ! "

on s'en fout
PAP PAT , ce sont des appareils que l'on appelle mobile ,ç est pas pour rien :-)).
ça + la resilience tissulaire ,ç est pas cloc - cloc que ça fait mais CLOC - CLOC .
et puis tu sais, quand un appareil va bien et qu'il ne fait pas mal ,ç est qu'il ne sert à rien :-)))
d'un point de vue occlusal ,s'entend .


Orezza gazeuse verre litre ocoxey - Eugenol
casa

16/01/2017 à 16h26

Ahh oui je suis bête pour les PAP ... mais alors sur de la fixe de grande étendue ...? Sinon quel rapport avec les amygdales ? tiens aller une partie de mon anatomie !:

Dsc 0780 hgb3om - Eugenol
Dsc 0782 anpnxt - Eugenol

Generique fraisage r2rxmm - Eugenol
lardonbis

16/01/2017 à 16h55

Montrer son anatomie occlusale à enlaye ...
Pour la pudeur tu repasseras, avec ça il sait déjà ce que tu manges au petit dej.


Orezza gazeuse verre litre ocoxey - Eugenol
casa

16/01/2017 à 17h00

ha ha ha et surtout il va me dire que j'ai le rate de travers ou pourquoi pas, les yeux bleu !


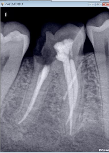
Capture d  cran 2015 03 12 12.28 - Eugenol
chicot29

16/01/2017 à 17h02

Tiens casa quand tu soignes la dent causale tu ne les revois plus........ non plus.
Enfin des fois si. 2006........2017. Et pas pour une visite de controle. -) -)

Je pense qu'il y a une image apicale sur 16 car je n'avais pas traité le MV2 à l'époque. Heureusement que je n'ai pas fait de couronne hein ? -) -))))
C'est la 15 qui a motivé la consult. Bizarre. -))))
Je vais commencer par 27....... une fois le devis signé ! -)))))))

Ah oui radios 8 secteurs. -))))

--
En cas d'échec des négociations conventionnelles, seriez-vous prêt à suivre la promotion d'un déconventionnement massif de la profession par les syndicats représentatifs ? OUI - NON
Participez, anonymement, sur https://goo.gl/forms/nAO0htnsVmxotjYm1

Capture d écran 2017 01 16 16.56 - Eugenol
Capture d écran 2017 01 16 16.57 - Eugenol

Vw campersurfvan bmnk1q - Eugenol
enlaye

16/01/2017 à 17h35

Casa , ta 23 est naturelle ?
dommage que je ne puisse te voir par derriere .
en occlusion ,bien sur :-)


Capture d  cran 2015 03 12 12.28 - Eugenol
chicot29

16/01/2017 à 17h41

carident écrivait:
------------------
> chicot29 écrivait:
> ------------------

> C'est quand même dommage de faire d'aussi belle endo, de comprendre l'intérêt
> d'avoir une bonne obturation canalaire étanche etc, mais de finir le travail
> sans tenir compte du parodonte.

Et dans ce cas très sous gingival tu fais quoi ?

AH ! oui il a tardé en plus ( endo en avril 2016) ca n'arrange pas les choses-)))
--
En cas d'échec des négociations conventionnelles, seriez-vous prêt à suivre la promotion d'un déconventionnement massif de la profession par les syndicats représentatifs ? OUI - NON
Participez, anonymement, sur https://goo.gl/forms/nAO0htnsVmxotjYm1

Capture d écran 2017 01 16 17.38 - Eugenol
Capture d écran 2017 01 16 17.42 - Eugenol

Generique fraisage r2rxmm - Eugenol
lardonbis

16/01/2017 à 17h58

tu l'as mérité ton hbld007 là :)


Vw campersurfvan bmnk1q - Eugenol
enlaye

16/01/2017 à 18h01

chicot29 écrivait:
------------------
" Et dans ce cas très sous gingival tu fais quoi ? "

eh bien tu vois ,Chicot ,ç est pour moi l'indication de la reconstitution .
à cause de l'inclinaison du canal distal + de la profondeur de la limite , à cet endroit ,il ne pourra y avoir de gencive assez épaisse à cet endroit ,puisque meme l'os doit etre fin à cet endroit entre les 2 molaires
donc je profiterais de ton eviction pour reconstruire grosso merdo ,puis tailler bien en pente ,en ligne de finition simple ,et polir à mort le compo .et à ciao pas de prov rien.

la seance d'apres ,environ 3 semaines plus tard ,je prends l'empreinte gentillement sans chercher à decoler la gencive en distal . au prealable ,j'aurais reprecisé la limite distale en juxta de la nouvelle attache .et @max ,bien sur pour le coté bio :-))

alors certes ,la limite sera sur le compo , et alors ? les MIA se font bien des remontées de marge ,eux :-)))))
la limite sera sur le compo ,mais derriere ou plutot dessous ,la gencive sera epaisse et protégera ....jusqu'a l'implant :-)))) mais il aura le temps de se prendre un credit de tres longue durée d'ici là :-))))))

PS: putain , j'avais pas vu les radio ,ç est bo que ç en devient enervant :-)


Orezza gazeuse verre litre ocoxey - Eugenol
casa

16/01/2017 à 18h33

Houlà , faut que je réponde là !! alors oui enlaye , tout est naturel chez moi ! pas une couronne, seulement une 15 dévitalisée (erreur de jeunesse à la fac)et non couronnée depuis 10 ans facile (tu vois chicot ça peut se faire si on a une bonne occlusion , une bonne hygiène et je ne suis pas une forcenée de la brosse à dent ! ) ce qui m'amène à ton cas : tu lui a fais quoi sur cette 16 à part l'endo il y a 11 ans ? rien peut-être et regarde la 15 en 11 ans complètement rongée .... donc le mec il a un fort pouvoir carieux et c'est avec des gars comme ça qu'on peut se prendre pour le (la) pire des nazes ! même couronnée , elle serait partie en sucette cette dent ... (il me semble que tu as un exemple proche ...) donc ton exemple ne démontre rien . Quant à ton 2 ème cas , comme Enlaye , SC33 , , ça vaut le coup , sinon t'es sur d'avoir de gros pb paro assez rapidement ...


Vw campersurfvan bmnk1q - Eugenol
enlaye

16/01/2017 à 18h58

Chicot ,je ne te parles pas du trait en traviol , sinon Lachmar va ariver en criant son cri de guerre , RCP ,RCP :-)))


Generique fraisage r2rxmm - Eugenol
lardonbis

16/01/2017 à 19h01

on l'a pas déjà vu la dent à la racine barrée mystère de chicot ?


Orezza gazeuse verre litre ocoxey - Eugenol
casa

16/01/2017 à 19h14

si si déja vu ,en fait, chicot, il 10 patients par semaine , le reste du temps il eugenolit ....


Capture d  cran 2015 03 12 12.28 - Eugenol
chicot29

16/01/2017 à 19h17

Oui l'année dernière. je me demandais si c'était pas l'aiguille du quick sleeper qui avait traversé la racine. -)
Avant thermocompaction et après thermocompaction. Et merde. -)

Mais bon RAS 10 mois après. Si ce n'est qu'elle a perdu de la durée devie car c'était un peu ramollo au niveau du canal distal. J'aurais bien fait le pivot dans un des mésiaux mais j'ai pas osé. -)))

--
En cas d'échec des négociations conventionnelles, seriez-vous prêt à suivre la promotion d'un déconventionnement massif de la profession par les syndicats représentatifs ? OUI - NON
Participez, anonymement, sur https://goo.gl/forms/nAO0htnsVmxotjYm1

Capture d écran 2017 01 16 19.14 - Eugenol
Capture d écran 2017 01 16 19.12 - Eugenol

Capture d  cran 2015 03 12 12.28 - Eugenol
chicot29

16/01/2017 à 19h22

casa écrivait:
--------------
: tu lui a fais quoi sur cette 16 à part
> l'endo il y a 11 ans ? rien peut-être

Si un cavit. Et un devis pour une couronne. Mais après l'endo. Erreur fatale. -)

--
En cas d'échec des négociations conventionnelles, seriez-vous prêt à suivre la promotion d'un déconventionnement massif de la profession par les syndicats représentatifs ? OUI - NON
Participez, anonymement, sur https://goo.gl/forms/nAO0htnsVmxotjYm1


Capture d  cran 2015 03 12 12.28 - Eugenol
chicot29

16/01/2017 à 19h24

casa écrivait:
--------------
> si si déja vu ,en fait, chicot, il 10 patients par semaine , le reste du temps
> il eugenolit ....

Non je prends une heure pour les endos molaire mais je les fais en 30 mn. 30 mn pour les autres mais je les fais en 15. -)

--
En cas d'échec des négociations conventionnelles, seriez-vous prêt à suivre la promotion d'un déconventionnement massif de la profession par les syndicats représentatifs ? OUI - NON
Participez, anonymement, sur https://goo.gl/forms/nAO0htnsVmxotjYm1


Utilisateur banni

16/01/2017 à 20h04

enlaye écrivait:
----------------
> junior® écrivait:
> -----------------
> " Carident essaie pour voir avec des silicones actuels A avec juste putty soft
> et du super light dans un PE rigide et sans avoir fait d'events ..."
>
>
> pourquoi soft ?

Parce qu'il ne faut pas que le putty soit trop dur quand tu desinseres puis quand tu réinsères ton empreinte.
Ça te viendrait à l'idée de faire du wash avec du polyether ? Non. Pourquoi ? Parce qu'il est trop rigide. C'est un peu le même principe avec le silicone.
Après Dans la pratique du putty classique va également je le reconnais


Orezza gazeuse verre litre ocoxey - Eugenol
casa

16/01/2017 à 20h23

ah ben ça fait 6 mois qu'elle baigne dans la salive en gros cette 36 .. du coup la digue et tout le tintouin ben ça sert plus à grand chose , elle avait un cavit celle là aussi ...ça fait 2 patients ( voire 3 avec l'urgence qui est parti ailleurs ) qui n'ont pas poursuivi leur soin d'après les exemples récents que tu nous donnes à voir ... attention chicot faut fidéliser un peu quand même sinon tu vas mettre la clé sous la porte !!! et comme visiblement tu n'en prends pas beaucoup vu ton organisation , va falloir un peu plus expliquer ce que tu fais au patient (pas seulement à nous!! ) sinon ils sont plutôt enclin à se tirer visiblement ...

PS : c'est juste pour te taquiner un peu , quand on "pose" on s'expose !


1...121314...