Cookie Consent byPrivacyPolicies.comLa meilleure obturation c'est la pulpe.... Ah bon ?😊 - Eugenol

La meilleure obturation c'est la pulpe.... Ah bon ?😊

6szjws718sv1jksw54v4mpj3a6cu - Eugenol
vulpi

18/01/2017 à 11h58

enlaye écrivait:
----------------
> solidariser 2 dents ç est tres difficile à faire .
> par contre par 4 6 ou 8 ç est top .
> ç est top mais ç est pas pour les febriles de la turbine :-)))et il y a des
> precautions obligatoire :
> - dents toutes devitalisées
> - des tailles tres coniques
> - des congés fins
> - donc d'IC à eviter .


J'en reviens à tes prépa toutes coniques, là ce sont des antr mandibulaires, tu ne fais pas un bandeau lingual parallèle à l'axe d'insertion sur qq mm histoire de majorer la rétention et passer au dessus de la pulpe? puis réduction de la face linguale à la fraise boule.


Generique fraisage r2rxmm - Eugenol
lardonbis

18/01/2017 à 12h32

pareil ça m'intéresse pas mal.

Autre : pourquoi la gencive est toujours plus belle autour des tailles ( "non taille" plutôt) minimale et supra-gingivale de vieilles Cmétal ? pourtant y'a plein de plaque sous le rebord...
Plus je regarde dans la bouche des gens, plus je me dis que faire des congés c'est le mal. limite il faudrait juste un cerclage type tonnelet et basta :)


Utilisateur banni

18/01/2017 à 19h50

tiens pour Carident et Enlaye : comme vous pouvez le voir , sous haute pression et sans préparation particulière, la substance visqueuse vient arroser et s'introduire dans les fentes et recoins ce qui permet de finaliser l'acte et de terminer en apothéose

Img 0675 cssr58 - Eugenol

Vw campersurfvan bmnk1q - Eugenol
enlaye

18/01/2017 à 20h06

vulpi écrivait:
---------------
" J'en reviens à tes prépa toutes coniques, là ce sont des antr mandibulaires, tu ne fais pas un bandeau lingual parallèle à l'axe d'insertion sur qq mm histoire de majorer la rétention et passer au dessus de la pulpe? puis réduction de la face linguale à la fraise boule. "

si bien sur, sur 1 à 2 mn ,il y a moins de conicité ,bien sur ,et les faces linguales sont préparées à la fraise olive .
dans le cas de la photo à 8 dents ,elles sont toutes dévitalisées .l'autre photo ( a la page 7 ),des dents ant sont vivantes ,pcq les dents ne sont pas solidarisées


Vw campersurfvan bmnk1q - Eugenol
enlaye

18/01/2017 à 20h12

lardonbis écrivait:
-------------------
"Plus je regarde dans la bouche des gens, plus je me dis que faire des congés c'est le mal. limite il faudrait juste un cerclage type tonnelet et basta :)"

bien sur .A+


Vw campersurfvan bmnk1q - Eugenol
enlaye

18/01/2017 à 21h32

junior® écrivait:
-----------------
" ....et sans préparation particulière, la substance visqueuse vient arroser et s'introduire dans les fentes et recoins ce qui permet de finaliser l'acte et de terminer en apothéose "

? toi tu envoies du lourd :-)


Vw campersurfvan bmnk1q - Eugenol
enlaye

19/01/2017 à 01h18

lardonbis écrivait:
-------------------
"Plus je regarde dans la bouche des gens, plus je me dis que faire des congés c'est le mal. "

Et oui ,ce n est pas pour rien que les paro conseillaient un bandeau métal tout azimuts sur les ccm .
La plupart du temps Le pb du congé ,c est qu' il n est pas dans l espace biologique et même si il y est ,il est rarement exploité en totalité par l empreinte .
Et cela rien que pour une unique cause récurrente :
L empreinte le jour de la taille .
Si l empreinte est faite le jour de la taille ,ce n est même plus la peine de parler .


Utilisateur banni

19/01/2017 à 18h19

j'ai entendu dire par notre semi vieille branche Carident que les coques polycarbonates ne se polissaient pas et que c'était de la merde ... Ah bon ?🤡🤡🤡

Img 0693 vgmaze - Eugenol
Img 0694 azpeyd - Eugenol

6szjws718sv1jksw54v4mpj3a6cu - Eugenol
vulpi

19/01/2017 à 19h10

Tu en dépenses du fric dans des saloperies! Je pensais pas que cela existait encore, dans les années 80 ok, mais en 2017!
:-))))


Utilisateur banni

20/01/2017 à 08h24

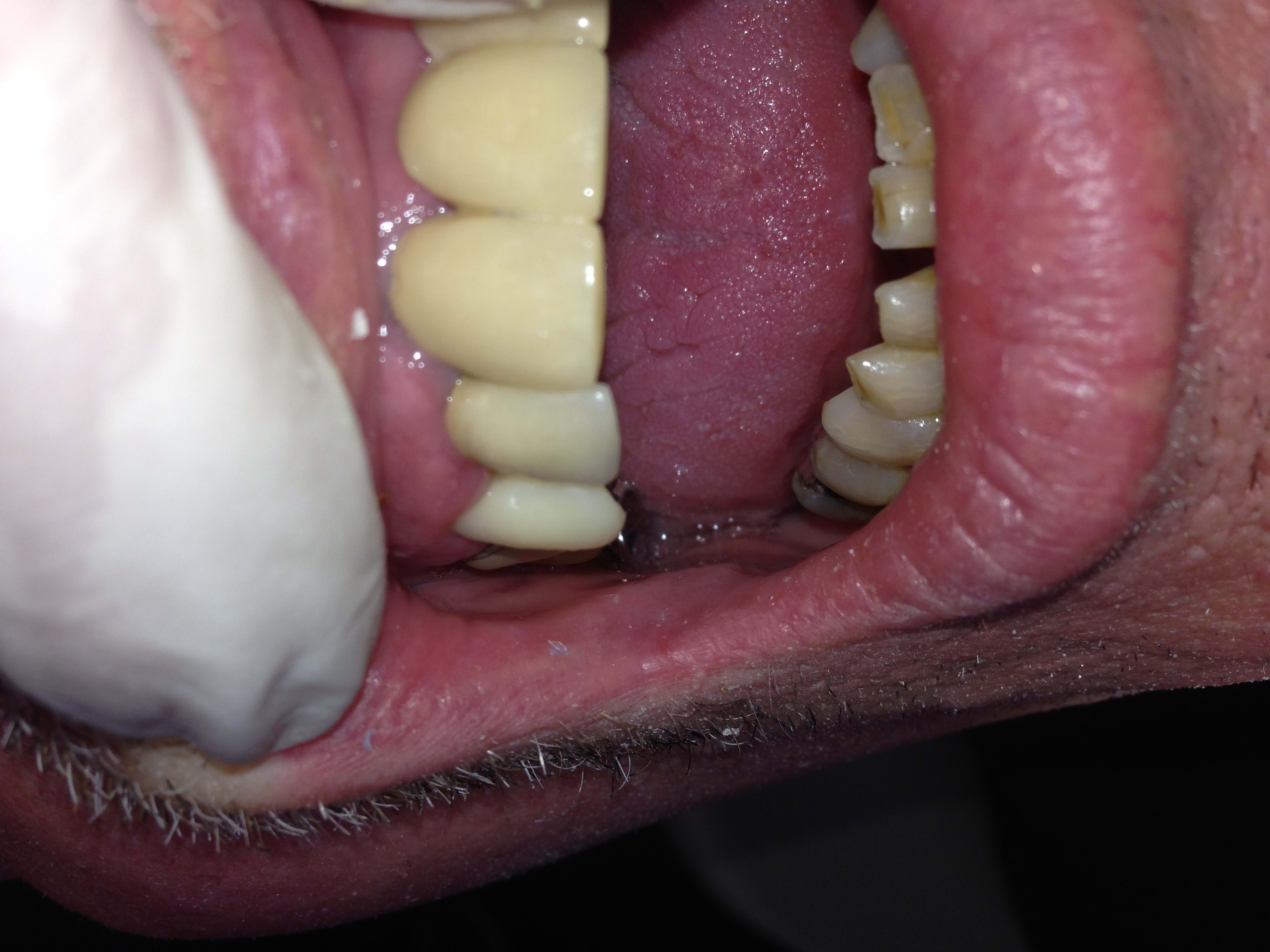
Tiens celle-ci elle est pour Enlaye pour qu'il fasse moins son gros malin avec ses moignons qui brillent
1ère photo moignon
2eme photo provisoire avec reproduction des stries qu'on peut voir sur la 11. On fait moins le malin là le suceur de moignon 🤠

Img 0689 hx6dhz - Eugenol
Img 0686 mc5wra - Eugenol

Vw campersurfvan bmnk1q - Eugenol
enlaye

20/01/2017 à 08h28

Joli


Capture d  cran 2015 03 12 12.28 - Eugenol
chicot29

20/01/2017 à 08h33

vulpi écrivait:
---------------
> Tu en dépenses du fric dans des saloperies! Je pensais pas que cela existait
> encore, dans les années 80 ok, mais en 2017!
> :-))))

Ah oui avec le coffret aux innombrables cases de tailles de provisoires. et la résine Texton de rebasage qui met 3 plombes à durcir en se rétractant à fond. -)

--
En cas d'échec des négociations conventionnelles, seriez-vous prêt à suivre la promotion d'un déconventionnement massif de la profession par les syndicats représentatifs ? OUI - NON
Participez, anonymement, sur https://goo.gl/forms/nAO0htnsVmxotjYm1


Generique fraisage r2rxmm - Eugenol
lardonbis

20/01/2017 à 08h52

enlaye écrivait:
----------------

> Si l empreinte est faite le jour de la taille ,ce n est même plus la peine de
> parler .
>
Hum hum ... mes pov patients :)
--
la réponse à vos questions est sans doute sur www.arcad-dentaire.fr !


Vw campersurfvan bmnk1q - Eugenol
enlaye

20/01/2017 à 09h00

Junior ,je dis joli pour t'encourager et que tu es un gentil garçon sensible :-)
mais ,si tu pouvais jeter ta fraise fissure 1/4 de rond ,ce serait encore mieux .
là ç est moins flagrant sur cette photo ,mais je n'aime tes limites . elles sont trop horizontales comme des chanfreins avec un creux au milieu .ce ne sont pas des congés .
je sais que ç est la mode .une mode importée par les encolleurs .
pourtant ,cette forme de limite n'a que des inconvénients fatigants .


Utilisateur banni

20/01/2017 à 09h04

chicot29 écrivait:
------------------
> vulpi écrivait:
> ---------------
> > Tu en dépenses du fric dans des saloperies! Je pensais pas que cela existait
> > encore, dans les années 80 ok, mais en 2017!
> > :-))))
>
> Ah oui avec le coffret aux innombrables cases de tailles de provisoires. et la
> résine Texton de rebasage qui met 3 plombes à durcir en se rétractant à fond.
> -)

Qu'est ce que vous me racontez comme histoire ? De la résine Texton ?!? Tu fous n'importe quelle résine auto et ça prend rapidos.
Moi je les utilise quand j'ai envie de faire mon feignant. C'est plus rapide qu'une bloc ou qu'un isomoulage


Utilisateur banni

20/01/2017 à 09h10

j'utilise pas de 1/4 de rond mais des komet qui évitent que ça rebique coté gingival.
Après je suis en train d'écouler et de vider un stock de 1/4 de rond peut être qu'hier j'ai utilisé ça. J'ai pris la première fraise qui venait
Pourquoi tu utilises quoi toi ?


Capture d  cran 2015 03 12 12.28 - Eugenol
chicot29

20/01/2017 à 09h38

junior® écrivait:
-----------------
> chicot29 écrivait:
> ------------------
> > vulpi écrivait:
> > ---------------
> > > Tu en dépenses du fric dans des saloperies! Je pensais pas que cela existait
> > > encore, dans les années 80 ok, mais en 2017!
> > > :-))))
> >
> > Ah oui avec le coffret aux innombrables cases de tailles de provisoires. et
> la
> > résine Texton de rebasage qui met 3 plombes à durcir en se rétractant à fond.
> > -)
>
> Qu'est ce que vous me racontez comme histoire ? De la résine Texton ?!? Tu fous
> n'importe quelle résine auto et ça prend rapidos.
> Moi je les utilise quand j'ai envie de faire mon feignant. C'est plus rapide
> qu'une bloc ou qu'un isomoulage

Il n'y a pas plus rapide qu'un iso moulage. Surtout quand tu fais l'empreinte pendant que l'anesthésie fasse son effet avant l'endo. -)
Non sérieux ce coffret avec toutes ces tailles c'est du n'importe quoi. C'est la première chose que j'ai balancée en reprenant le cabinet. -)


--
En cas d'échec des négociations conventionnelles, seriez-vous prêt à suivre la promotion d'un déconventionnement massif de la profession par les syndicats représentatifs ? OUI - NON
Participez, anonymement, sur https://goo.gl/forms/nAO0htnsVmxotjYm1


Utilisateur banni

20/01/2017 à 09h51

Mais quand il te reste plus que les racines ou qu'une portion , tu peux toujours te toucher avec ton isomoulage ... et t'es bien content d'avoir des coques 😊


6szjws718sv1jksw54v4mpj3a6cu - Eugenol
vulpi

20/01/2017 à 09h56

Tu remontes la dent en 10 secondes avec du telio, tu fais mordre, polymérisation, empreinte, isomoulage.


Utilisateur banni

20/01/2017 à 10h12

Qu'est ce que c'est que cette technique de vieille branche ?
-> tu remontes la dent au telio
-> ensuite tu fais l'empreinte
-> tu vires ton telio
-> tu fous ta résine dans l'empreinte
-> et tu fais ta dent En résine par isomoulage
C'est bien ça ?
Pourquoi tu fais pas directement ta dent au telio au lieu de faire un isomoulage ?
Et surtout qui me dit que le telio n'est pas plus cher que mes coques?😊


Jack 2 wm3tqs - Eugenol
Treponem

20/01/2017 à 10h19

J'aime encore bien de temps en temps utiliser ces moules ions.
Le rendu esthétique est vraiment au top, si j'ai le temps, c'est un plaisir. Le tout est de bien choisir son moule, de bien le régler sur ce qu'il reste, tu as un cerclage qui est impossible à obtenir en isomoulage, la gencive est repoussée, la séance d'après l'empreinte s'en trouve facilitée.
Le rendu esthétique, pour peu que tu aies bien réglé le moule avant de remplir de résine, est top, quasi pas de retouches, brillant en vestibulaire ... (limite, tu es dégouté quand tu poses la définitive :) )
Bon après, c'est sûr que c'est plus long qu'un isomoulage ou même un montage à main levée avec une résine autopo (encore que).
En plus, pour les premo, les moules sont moches, et y en a pas pour les molaires (enfin si des moules odus, mais souples, horribles à manipuler, bref inutiles), à croire que pour les molaires ... pas besoin de pro :)


Capture d  cran 2015 03 12 12.28 - Eugenol
chicot29

20/01/2017 à 10h23

junior® écrivait:
-----------------
> Mais quand il te reste plus que les racines ou qu'une portion , tu peux toujours
> te toucher avec ton isomoulage ... et t'es bien content d'avoir des coques 😊

Tu montes en direct. Pour les incisives c'est facile de faire l'anatomie. Pour les molaires encore plus. Clip flow !
C'est pratique ta gencive ne revient pas sur la racine, ca s'enlève en 2 secondes et pas de ciment provisoire à virer. . -)
--
En cas d'échec des négociations conventionnelles, seriez-vous prêt à suivre la promotion d'un déconventionnement massif de la profession par les syndicats représentatifs ? OUI - NON
Participez, anonymement, sur https://goo.gl/forms/nAO0htnsVmxotjYm1

Capture d écran 2017 01 20 10.23 - Eugenol

Utilisateur banni

20/01/2017 à 10h39

ah c'est mal ça ! Moi qui m'embête à faire des bloc technics en postérieur !
Jvais acheter ça ( si c'est pas trop cher 😊)


6szjws718sv1jksw54v4mpj3a6cu - Eugenol
vulpi

20/01/2017 à 13h25

Est-ce plus étanche qu'un cavit?-))


Utilisateur banni

20/01/2017 à 13h50

vulpi écrivait:
---------------
> Est-ce plus étanche qu'un cavit?-))

Y a un truc qui m'échappe quand même : pourquoi il n'existe pas une résine ou un composite qu'on pourrait monter comme le produit de Chicot , Un compo qu'on pourrait monter facilement sans avoir ensuite à faire une empreinte puis à y fourrer de la résine à l'intérieur ???


1...141516...