Cookie Consent byPrivacyPolicies.comLa meilleure obturation c'est la pulpe.... Ah bon ?😊 - Eugenol

La meilleure obturation c'est la pulpe.... Ah bon ?😊

Vw campersurfvan bmnk1q - Eugenol
enlaye

20/01/2017 à 17h04

Treponem écrivait:
------------------
" J'aime encore bien de temps en temps utiliser ces moules ions."

ouaip , ils les vendent au kilo ?

 mg 0736 ucu8bj - Eugenol

Jack 2 wm3tqs - Eugenol
Treponem

20/01/2017 à 17h18

:D
gourmand !
Évidement, pour ce genre de cas, je suis pour la clef silicone, ou mieux la gouttière sur wax up.


Index vakr2r - Eugenol
pgc

20/01/2017 à 19h58

Treponem écrivait:
------------------
> :D
> gourmand !
> Évidement, pour ce genre de cas, je suis pour la clef silicone, ou mieux la
> gouttière sur wax up.

Les provisoires de labo c'est bien aussi.
Sinon je vous trouve vraiment méchants avec junior et ses moules ions, moi aussi j'ai ma boîte à cases pleines de moules ion et j'en fais tous les jours ! :) avec de l'Unifast. Ca va pas vite, mais c'est beau.
Je déteste les isomoulages...


Index vakr2r - Eugenol
pgc

20/01/2017 à 20h00

J'aime bien l'odeur du monomère Unifast ;))




Capture d  cran 2015 03 12 12.28 - Eugenol
chicot29

20/01/2017 à 20h51

vulpi écrivait:
---------------
> Est-ce plus étanche qu'un cavit?-))

C'est pas étanche du tout. Ca blaire à fond quand on l'enlève. -)))


--
En cas d'échec des négociations conventionnelles, seriez-vous prêt à suivre la promotion d'un déconventionnement massif de la profession par les syndicats représentatifs ? OUI - NON
Participez, anonymement, sur https://goo.gl/forms/nAO0htnsVmxotjYm1


Utilisateur banni

20/01/2017 à 21h02

Une bonne endo avec digue puis une provisoire à tenon, comme ça ça massère comme il faut , c'est parfait ... heureusement que ça existe la digue 😊


E - Eugenol
e.maxx

20/01/2017 à 21h11

@chicot29: tu l’achètes ou le clip flow?


Capture d  cran 2015 03 12 12.28 - Eugenol
chicot29

20/01/2017 à 21h21

Mega dental.


--
En cas d'échec des négociations conventionnelles, seriez-vous prêt à suivre la promotion d'un déconventionnement massif de la profession par les syndicats représentatifs ? OUI - NON
Participez, anonymement, sur https://goo.gl/forms/nAO0htnsVmxotjYm1


Capture d  cran 2015 03 12 12.28 - Eugenol
chicot29

20/01/2017 à 21h29

junior® écrivait:
-----------------
> Une bonne endo avec digue puis une provisoire à tenon, comme ça ça massère comme
> il faut , c'est parfait ... heureusement que ça existe la digue 😊

Meme sans digue et après 10 ans à l'air libre il n'y a pas de pèche à l'apex. Sauf si tu n'as pas traité le mv2.-))))

Alors une semaine.....



--
En cas d'échec des négociations conventionnelles, seriez-vous prêt à suivre la promotion d'un déconventionnement massif de la profession par les syndicats représentatifs ? OUI - NON
Participez, anonymement, sur https://goo.gl/forms/nAO0htnsVmxotjYm1

Capture d écran 2017 01 20 21.28 - Eugenol

6szjws718sv1jksw54v4mpj3a6cu - Eugenol
vulpi

20/01/2017 à 22h26

enlaye écrivait:
----------------


> ouaip , ils les vendent au kilo ?

Sont chouettes tes composites sur les amalgames ;-)) j'y avais pas pensé, ça se carie pas en dessous et c'est joli au dessus, t'es un malin!
Alors tu cotes une obturation amalgame et une obturation compo en même temps? C'est du joli!
A moins que ce soit pour autre chose?


Vw campersurfvan bmnk1q - Eugenol
enlaye

20/01/2017 à 22h51

Ouais et t as vu ,je mets même du compo sur les couronnes métal de l autre côté :-):-) sc6 sur couronnes !?!:-):-):-)
C est mon calage centrée + dvo surélevée .


Vw campersurfvan bmnk1q - Eugenol
enlaye

20/01/2017 à 23h20

quand le haut et le bas est à refaire ,
le haut détermine le plan d'occlusion
et les incisives du bas te déterminent le sourire ,et non pas le haut comme on le dit .:-))))
en effet l'angulation des incisives du bas te déterminent la positon cingulaire des incisives du haut ,donc le projeté en avant et donc le soutient de la lèvre sup .
a partir de là tu joues avec la dvo pour modifier la longueur et donc l'épaisseur des dents du bas .
ç est affreux un sourire avec de petites dents en bas trapues et plates dessus .
Donc une fois que tu as tout déterminé ,tu te fais une cale sur les dents du fond . si je perd une cale ,je suis mort .faut tout reprendre à 0 .

PS: plus le patient est âgé ,plus les incisives du bas sont visibles .


Smile beach jgh0a1 - Eugenol
Céramik

21/01/2017 à 17h52

chicot29 écrivait:
------------------
>
> Meme sans digue et après 10 ans à l'air libre il n'y a pas de pèche à l'apex.
> Sauf si tu n'as pas traité le mv2.-))))
>

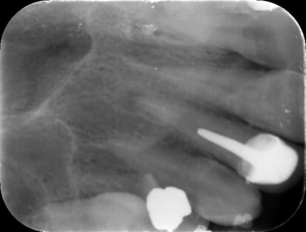
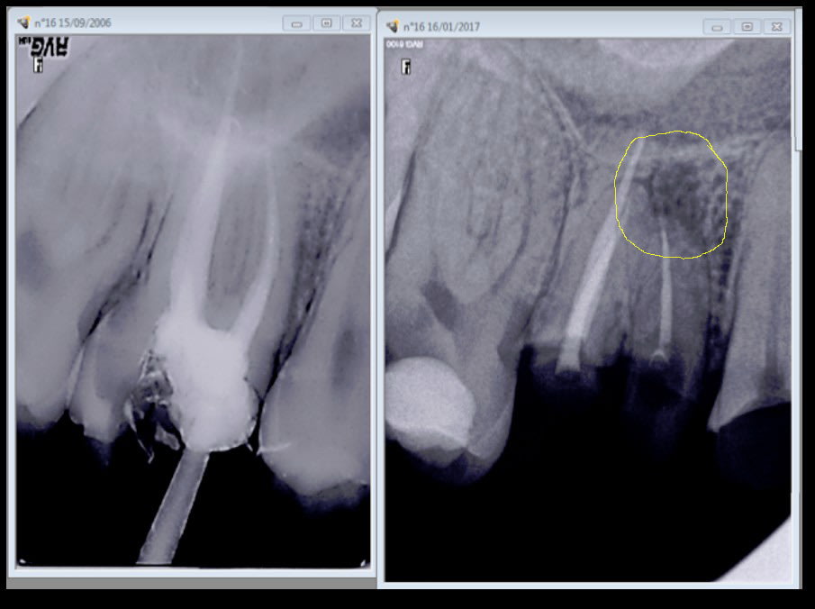
Radio 2 tu vois pas de pèche ?
--
Céramik

27 irt4wo - Eugenol

Capture d  cran 2015 03 12 12.28 - Eugenol
chicot29

21/01/2017 à 18h09

Si justement. C'est bien le mv2 non traité. -)

Quand je vais la virer c'est ce que révèlera l'autopsie de cette racine. -)

mais bon ca aurait pu etre plus grave si j'avais fait une couronne dessus hein casa ? -)))





--
En cas d'échec des négociations conventionnelles, seriez-vous prêt à suivre la promotion d'un déconventionnement massif de la profession par les syndicats représentatifs ? OUI - NON
Participez, anonymement, sur https://goo.gl/forms/nAO0htnsVmxotjYm1


Smile beach jgh0a1 - Eugenol
Céramik

21/01/2017 à 19h05

La couronne c'est pas anti pèche ?
;-)


--
Céramik


Capture d  cran 2015 03 12 12.28 - Eugenol
chicot29

22/01/2017 à 00h03

Non.
Mais dans ce cas particulier c'est pas cette dent qui 10 ans après pose problème c'est la 15.-)
La couronne aurait au moins eu le mérite de protéger ce qui restait de la dent au départ. -)


--
En cas d'échec des négociations conventionnelles, seriez-vous prêt à suivre la promotion d'un déconventionnement massif de la profession par les syndicats représentatifs ? OUI - NON
Participez, anonymement, sur https://goo.gl/forms/nAO0htnsVmxotjYm1


Utilisateur banni

22/01/2017 à 21h06

pgc écrivait:
-------------
> Treponem écrivait:
> ------------------
> > :D
> > gourmand !
> > Évidement, pour ce genre de cas, je suis pour la clef silicone, ou mieux la
> > gouttière sur wax up.
>
> Les provisoires de labo c'est bien aussi.
> Sinon je vous trouve vraiment méchants avec junior et ses moules ions, moi aussi
> j'ai ma boîte à cases pleines de moules ion et j'en fais tous les jours ! :)
> avec de l'Unifast. Ca va pas vite, mais c'est beau.
> Je déteste les isomoulages...

Bien entendu ... et je dirais même que c'est plus rapide à faire avec un coque ! Dans le secteur antérieur ça peut être très pratique


Capture d  cran 2015 03 12 12.28 - Eugenol
chicot29

23/01/2017 à 18h35

chicot29 écrivait:
------------------
> Si justement. C'est bien le mv2 non traité. -)
>
> Quand je vais la virer c'est ce que révèlera l'autopsie de cette racine. -)
>
> mais bon ca aurait pu etre plus grave si j'avais fait une couronne dessus hein
> casa ? -)))
>
>

Quand on parle du loup. -)))

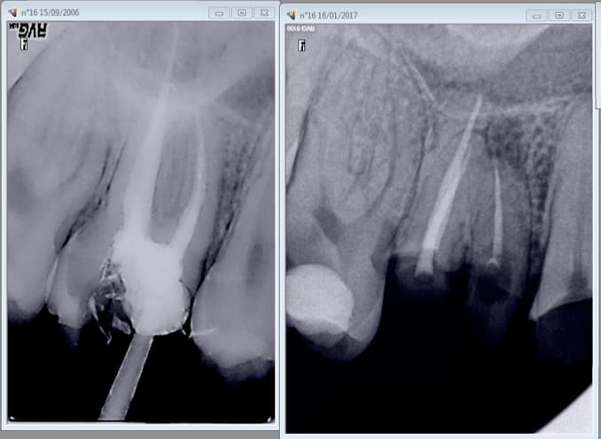
Merde endo et couronne faites en 2011 pèche en 2017.

Quizzzzz : c'est la faute à pas de digue ? -))))

--
En cas d'échec des négociations conventionnelles, seriez-vous prêt à suivre la promotion d'un déconventionnement massif de la profession par les syndicats représentatifs ? OUI - NON
Participez, anonymement, sur https://goo.gl/forms/nAO0htnsVmxotjYm1

Capture d écran 2017 01 23 18.32 - Eugenol

Paul Pitt

24/01/2017 à 14h02

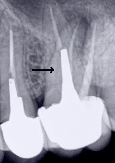
Il n'y aurait pas un mv2 ?

Capture gjvuui - Eugenol

Capture d  cran 2015 03 12 12.28 - Eugenol
chicot29

24/01/2017 à 16h05

Ben si. Finalement, c'est une erreur de traiter le MV2 en première intention car on ne risque pas de déposer la couronne et d'en refaire une autre. -))

Hormis les peintures canalaires le MV2 non traité est la principale source source de 4ième. -)))
Quand il n'y a pas de pèche c'est que le plus souvent MV1 et MV2 sont en Y.

mais bon avec les tarifs sécu de merde pourquoi veux tu t'emmerder à chercher 3 plombes le canal le plus difficile à trouver pour le meme tarif.

Ca va leur faire un IC et une autre couronne à rembourser. bien fait pour leur gueule.


--
En cas d'échec des négociations conventionnelles, seriez-vous prêt à suivre la promotion d'un déconventionnement massif de la profession par les syndicats représentatifs ? OUI - NON
Participez, anonymement, sur https://goo.gl/forms/nAO0htnsVmxotjYm1


Utilisateur banni

25/01/2017 à 19h07

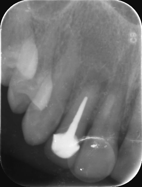
Qu'est ce que vous faites dans le cas de gros tenons comme là bande de vieilles branches ? 22 et 12 sur la même patiente

Img 0702 yvtk5b - Eugenol
Img 0703 xwhbb3 - Eugenol

Jack 2 wm3tqs - Eugenol
Treponem

25/01/2017 à 21h02

Je suis pas encore une vieille branche, plutôt le stade après le jeune gland mais pour moi c'est depose et RTE, avec info au patient des risques.


Utilisateur banni

25/01/2017 à 21h05

Treponem écrivait:
------------------
> Je suis pas encore une vieille branche, plutôt l'intermédiaire entre le jeune
> gland et la branche, mais pour moi c'est depose et RTE, avec info au patient des
> risques.

Merde 😊😊😊 j'attendais avec impatience que quelqu'un me dise de faire une obturation à rétro . T'as complètement raison on retire les IC.

Img 0701 bf7cie - Eugenol
Img 0700 iso1ck - Eugenol

Jack 2 wm3tqs - Eugenol
Treponem

25/01/2017 à 21h19

GG
Tu as déposé à l'arrache couronne ? C'est couillu ...
Moi, j'ose pas je taille dans le gras.


6szjws718sv1jksw54v4mpj3a6cu - Eugenol
vulpi

25/01/2017 à 21h28

Bin pourquoi t'as pas fait une ERI?


1...151617...