Cookie Consent byPrivacyPolicies.comLa meilleure obturation c'est la pulpe.... Ah bon ?😊 - Eugenol

La meilleure obturation c'est la pulpe.... Ah bon ?😊

Generique fraisage r2rxmm - Eugenol
lardonbis

30/01/2017 à 12h45

j'ose pas


--
la réponse à vos questions est sans doute sur www.arcad-dentaire.fr !


6szjws718sv1jksw54v4mpj3a6cu - Eugenol
vulpi

30/01/2017 à 17h45

enlaye écrivait:
----------------
> heuuu , mais avant d'en arriver au complet , la meilleure obturation ,ç etait
> quoi finalement :-))))))

Oh il était tellement content de nous montrer sa belle empreinte, c'est pas chouette.


Vw campersurfvan bmnk1q - Eugenol
enlaye

30/01/2017 à 19h11

faut dire qu il met le paquet ,le minot .
on sent qu'il se bat :-))
donc verdict , belle empreinte ,bien sur :-)


Utilisateur banni

30/01/2017 à 20h32

Ah ah et toi alors quand tu fais le malin avec tes moignons qui brillent de partout ... je pourrais dire la même chose 😊
Vulpi : idem avec ses empreintes de complets


Vw campersurfvan bmnk1q - Eugenol
enlaye

30/01/2017 à 21h10

Le malin , le malin ,pas vraiment l occluso prothese c est mon metier à force.mais je suis certainement moins polyvalent que toi .


6szjws718sv1jksw54v4mpj3a6cu - Eugenol
vulpi

30/01/2017 à 23h11

Nan, là je fais le malin!

ça va Enlaye, t'es toujours vivant?-))) T'as vu? les prépas et l'occlusion aux petits oignons! Eh! Y en a là dedans ;-)))

Dscf0423 vizuz6 - Eugenol
Dscf0424 yfg5vq - Eugenol
Dscf0425 khbu4t - Eugenol
Dscf0427 rcas1e - Eugenol
Dscf0428 envcak - Eugenol
Dscf0429 ulgqy1 - Eugenol

6szjws718sv1jksw54v4mpj3a6cu - Eugenol
vulpi

30/01/2017 à 23h15

En plus c'est pas des chinoiseries, non môsieur, c'est du made in France!
En revanche la patiente est polonaise, on peut pas gagner à tous les coups.


Vw campersurfvan bmnk1q - Eugenol
enlaye

31/01/2017 à 00h25

ho putain Vulpi ,faut pas faire ce genre de plan .
elle va t exploser une dent anterieure du haut à gauche !!
sur de sur ,je dirais 6 mois max.
tu l'as scellé ? en acier ,en plus aille aille aille !
1 - il faut que tu vires à mort l'angle distal de la derniere du bridge
2 - et à mort l'angle mesial de celle du haut .
je n'arrive pas a avoir les photos en grand .
des que je les ai ,je reviens


Vw campersurfvan bmnk1q - Eugenol
enlaye

31/01/2017 à 00h25

.


Vw campersurfvan bmnk1q - Eugenol
enlaye

31/01/2017 à 00h49

non ,pas l angle mesial du haut mais distal aussi .

- tu vois le diasteme de la 43 + les ant du bas en eventail ?
ça ça veut dire qu'elle sert a fond sur la canine en serrement excentré . la canine est montée et la pm que tu as taillé devait etre lingualée ,non ?
- en plus ta 48 ( ou 7 sais pas j'attends les photos ) est plus haute que l'autre coté ,et du coté ou elle serre .
- elle ne pourra plus se caller sur la droite pour eviter la gene qu'elle devait avoir soit à gauche soit pire encore sur la 48 ( 47 ?) non taillée .pcq ton bridge la force en retropulsion coté droit .un mouvement en torque ,le pire .
- pour eviter la retropulsion et sa nouvelle prematurité tellement importante qu'elle en devient aussi une interference + sa gene d'avant elle va aller directement devant pour eviter tout ça . et comme la 48 est la plus haute ,elle est obligée d'aller en avant et à gauche .
- et comme aussi elle est deja au taquet sur les cingulums raplapla ,,genre supra - clusion elle va aller se caller bord libre sur bord libre .

sinon ,question taille / parallelisme ,toussa ,ç est joli :-))))
par contre ,ta polonaise ,elle ne doit pas etre tres jolie .
je la vois bien avec une grosse machoire et une grosse voix


Utilisateur banni

31/01/2017 à 07h09

Celle-ci c'est juste pour contredire pour le plaisir de la contradiction et pour exciter un peu Enlaye :

=>le diasteme de la 3 ça peut être aussi parce qu'elle n'a pas de dents en postérieur à part sa 8
-> donc forcément la 3 subit plus de pression
-> et donc forcément elle a bougé et donc du coup on a un Diasteme
-> théorie junioresque : l'espace attire la dent bordant l'espace... un peu comme un trou attire le membre

=> l'angle M de la 7 du haut ne touche pas son bridge , y a minimum 2 mm d'espace à ce niveau. Et donc pas certain que dans les mouvements de latéralités ou de mastication, elle vienne gêner quoique ce soit

=> non moi j'aurais plutôt touché la 15 egressée avant de faire le bridge et effectivement l'angle D de la 8 du bridge.




Vw campersurfvan bmnk1q - Eugenol
enlaye

31/01/2017 à 08h25

junior® écrivait:
-----------------
" => l'angle M de la 7 du haut ne touche pas son bridge , y a minimum 2 mm d'espace à ce niveau. Et donc pas certain que dans les mouvements de latéralités ou de mastication, elle vienne gêner quoique ce soit "

je suis d'accord avec toi, il n'y a pas forcement de pb a la mastication ou en lateralité ,tu peux faire confiance à Vulpi et quand bien meme ,on s'en tape de toutes ces conneries .
le pb ici ç est la rétropulsion .
à la fermeture , la mand dérape sur la dent du haut comme sur un toboggan et part en arrière .et là ,on est tres pres de l'axe charniere ,donc la force est importante ,meme si le mouvement est faible .
tu n'as pas remarqué que chez les jeunes ,les dds du haut sont vestibulées et hautes ? on peut se demander à quoi elles servent ,puisque sur les modeles en platre elles ne touchent pas ou peu !
et bien en vrai ,elles touchent à la fermeture .en debut de fermeture ,l'atm peut etre en position plus en arriere et plus haute que la centrée . ç est à ce moment que les dds peuvent et doivent toucher .et ,des qu il y a contact ,la mand est propulsée en avant et en bas pour soulager la centrée . ç est l'initiation du fameux mouvement du decalage centrée / OIM .

donc pour revenir à ce cas , si l'OIM est deja calée en centrée , non seulement il n'y a plus cette possibilité de decalage OIM / centrée ,mais la 7 du haut induit le mvt inverse . voilà ,pourquoi les gens serrent devant , ç est pour soulager l'arriere , en fait .
or ,elle serrait déjà devant avant le bridge .
certes il y avait certainement la dent naturelle ,qui devait gener ,mais elle avait du mettre des années à se l'user gentiment , la polonaise ! l'acier bien glissant ,ç est une autre affaire .
voilà .


Vw campersurfvan bmnk1q - Eugenol
enlaye

31/01/2017 à 08h41

junior® écrivait:
-----------------
" => non moi j'aurais plutôt touché la 15 egressée avant de faire le bridge et effectivement l'angle D de la 8 du bridge."

oui déjà toucher la 15 pour commencer .


6szjws718sv1jksw54v4mpj3a6cu - Eugenol
vulpi

31/01/2017 à 09h32

enlaye écrivait:
----------------
> ho putain Vulpi ,faut pas faire ce genre de plan .

Mais moi j'voulais pas, j'y ai dit non, et crac j'y suis passé quand même, le drame de ma vie, une faiblesse de caractère.

Bon, je vous laisse réfléchir au pourquoi, à ce soir.


lachmar

31/01/2017 à 09h59



ta belle mère ?

ton controleur des impots ?


Generique fraisage r2rxmm - Eugenol
lardonbis

31/01/2017 à 10h02

elle te fais des kugels ?


--
la réponse à vos questions est sans doute sur www.arcad-dentaire.fr !


Utilisateur banni

31/01/2017 à 10h44

ca va pas du tout Vulpi. Faut tout refaire . Y a rien qui va. Qu'est ce que c'est bon de lui dire ça 😊
À mon avis vu le bridge en métal ça ne doit pas être une danseuse de l'Est.
En voyant le nom de la patiente sur son planning le Vulpi s'est dit "ouuu ! attention c'est mon jour : une danseuse de l'Est"
La rencontre fut en fait la déception du jour : une camioneuse de l'Est avec des gros masséters qui écrasent tout sur leur passage😊. "Mettez moi du métal Mr Vulpi, c'est pour que sa soit En raccord avec les chromes de mon camion, j'aime quand ça scintille "


6szjws718sv1jksw54v4mpj3a6cu - Eugenol
vulpi

31/01/2017 à 11h08

C'est certain, ce n'était pas Polina, pour qui aime, joli documentaire sur la vie de danseuse de compagnie.



Ce traitement va à l'encontre de tous mes dogmes et croyances, l'occlusion, la portée, la faiblesse du pilier antr... et pourtant un truc????

C'est une scientifique de l'est, cursus ex URSS, le métal... culture socialiste...

La réflexion autour du cas me semble intéressante à discuter.


Vw campersurfvan bmnk1q - Eugenol
enlaye

31/01/2017 à 11h10

junior® écrivait:
-----------------
" ca va pas du tout Vulpi. Faut tout refaire . Y a rien qui va. Qu'est ce que c'est bon de lui dire ça "

Rhoooo l'enc ,comme il se venge :-))))
pas booo :-)


Vw campersurfvan bmnk1q - Eugenol
enlaye

31/01/2017 à 11h17

vulpi écrivait:
---------------
" Mais moi j'voulais pas, j'y ai dit non, et crac j'y suis passé quand même, le drame de ma vie, une faiblesse de caractère.
Bon, je vous laisse réfléchir au pourquoi, à ce soir. "

alors là , je serais tres mal placé pour te jeter la pierre :-)) parfois ,on dit non avec la tete mais on dit oui avec ...


Capture d  cran 2015 03 12 12.28 - Eugenol
chicot29

31/01/2017 à 12h19

Non c'est pas la meilleure obturation. Ca dépend de son état.
Amalgame fait en décembre 2016. Tu ouvres 2mois après ( sensibilité percussion ++++) et meme pas une goutte de sang.

--
En cas d'échec des négociations conventionnelles, seriez-vous prêt à suivre la promotion d'un déconventionnement massif de la profession par les syndicats représentatifs ? OUI - NON
Participez, anonymement, sur https://goo.gl/forms/nAO0htnsVmxotjYm1

Capture d écran 2017 01 31 09.47 - Eugenol
Capture d écran 2017 01 31 12.17 - Eugenol

Vw campersurfvan bmnk1q - Eugenol
enlaye

31/01/2017 à 12h30

@ Lardonbis.

l'autre jours tu te demandais si le congé n'etait pas le mal .
je t'ai dit que si tu prenais l'empreinte le jour meme de la taille ç était pipé mais sans explication .
ç est qu'en fait , on dit que la limite doit se situer dans le sulcus .
mais le probleme ç est que au moment où tu tailles , tu ne sais pas vraiment où il est ce sulcus sain . tu ne peux pas le savoir pcq la dent n'etait pas saine ,tout simplement ,sinon tu ne la couronnerais pas .
il y avait
soit une pulpite
soit une necrose
soit un point de contact proximal à la con ,
soit un pb occlusal
tu penses bien que le sulcus ne peut pas etre nickel .
par contre des que tu tailles la dent , ( et pas forcement la gencive d'ailleurs ) ,les contraintes sont annulées , la gencive est assainie , et tout se reorganise .
ç est un peu la raison pour laquelle je ne suis pas pour les prov automatiques.
la seance d'apres ,si tu as bien taillé ,ç est a dire pas trop , tu dois voir la gencive à un niveau plus bas que ta limite .
et ç est à ce moment que tu decides ( ou pas )de descendre la limite en juxta ou en leger infra .
si tu as la gencive qui est remontée ,ç est que tu as trop taillé , ç est mort .
moralité , ,la paro avant taille ç est du pipo .

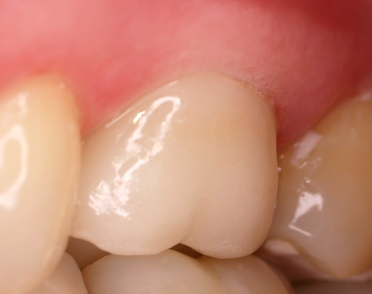
regardes la photo ,tu vois la limite , elle se trouve au dessus de la gencive . tu penses bien que le jour de la taille ,la limite paraissait plus infra .

Alors que , regarde les tailles à Chicot ,ce sont des lignes de finitions de depouille .
et bien ç est pas mal pcq tu t'en fout de la position de la taille puisque le joint est minimal et qu'en fait il a nettoyé le cement en meme temps .
il a tout explosé ,le sulcus ,la gencive et meme le debut du ligament .
au final ,il repart de neuf ,et de peu que le proto n'exploite pas le fond de la limite , il fait la couronne en retrait ,et ç est la gencive qui se reorganise EN FONCTION de la prothese . il est malin le Chicot :-)).
par contre si tu fais un congé ,ç est toi qui doit t'organiser EN FONCTION de la gencive . pas pareil .

Donc ,plus tu tailles gras et en limites horizontales , plus t'es con ou alors ç est que tu es joueur :-))

1 hiynez - Eugenol
.apres qyh2q5 - Eugenol

Generique fraisage r2rxmm - Eugenol
lardonbis

31/01/2017 à 12h44

La première photo on dirais une pub pour nivea, il manque que la plume ou le bébé posé sur la gencive :)

Si tu était implanto tu ne poserais que des soft tissus level :)

En gros la meilleur façon de gérer le rapport entre la gencive et le joint prothèse dent... c'est de prendre le temps pour ne pas avoir à le gérer :)

Du coup le bistouri électrique je le ressors ? :))

Merci en tout cas, ça explique bien ce que j'observe régulièrement.


--
la réponse à vos questions est sans doute sur www.arcad-dentaire.fr !


Vw campersurfvan bmnk1q - Eugenol
enlaye

31/01/2017 à 12h50

lardonbis écrivait:
-------------------
" Du coup le bistouri électrique je le ressors ? :))"

tu veux le mien ?:-))))comme neuf :-)


Capture d  cran 2015 03 12 12.28 - Eugenol
chicot29

31/01/2017 à 13h07

Une semaine après c'est tout comme enlaye. faut pas mettre du clip flow par contre. -)))


--
En cas d'échec des négociations conventionnelles, seriez-vous prêt à suivre la promotion d'un déconventionnement massif de la profession par les syndicats représentatifs ? OUI - NON
Participez, anonymement, sur https://goo.gl/forms/nAO0htnsVmxotjYm1


1...171819...