Cookie Consent byPrivacyPolicies.comLa meilleure obturation c'est la pulpe.... Ah bon ?😊 - Eugenol

La meilleure obturation c'est la pulpe.... Ah bon ?😊

Vw campersurfvan bmnk1q - Eugenol
enlaye

31/01/2017 à 13h14

le gros avantage de la ligne de finition simple ,ç est que tu peux diminuer le diametre de la racine .
ce qui fait que lorsque tu diminues le diametre ,ç est comme si tu epaississais virtuellement l'os autour .
or plus l'os est epais ,plus tu fabriques de la gencive , et plus elle peut monter sur la dent .
Donc en jouant sur le diametre ,tu peux donc jouer sur l'alignement gingival .ce qui m'arrange ,pcq j'y connais rien en paro :-)).
regardes avant apres ,et sans lambeau ,et que par la taille en finition simple .

PS : l'emax ç est beaucoup plus joli en ligne de finition .
mouhahahz

P2166557   copie lyyn4j - Eugenol
P5176690 sfmaiv - Eugenol

Generique fraisage r2rxmm - Eugenol
lardonbis

31/01/2017 à 13h27

t'as du en modifier des provisoires pour aligner tout ça :)



--
la réponse à vos questions est sans doute sur www.arcad-dentaire.fr !


6szjws718sv1jksw54v4mpj3a6cu - Eugenol
vulpi

31/01/2017 à 13h40

morpho-type favorable en sus, il me semble.


Generique fraisage r2rxmm - Eugenol
lardonbis

31/01/2017 à 14h17

en tout cas, sans grattouiller la gencive, c'est "magique"


--
la réponse à vos questions est sans doute sur www.arcad-dentaire.fr !


6szjws718sv1jksw54v4mpj3a6cu - Eugenol
vulpi

31/01/2017 à 14h19

Il a pas de mérite, je suis de sa génération nous sommes des billes en paro, alors faut bien se débrouiller autrement.


Utilisateur banni

31/01/2017 à 14h20

t'as pas viré de la gencive sur la 11? Qu'est ce que c'est que cette histoire....


6szjws718sv1jksw54v4mpj3a6cu - Eugenol
vulpi

31/01/2017 à 14h20

.


Utilisateur banni

31/01/2017 à 14h27

Je sais pas ce que vous racontez bande de vieilles carcasses mais au départ la limite gingivale de la 11 est 3 mm en dessous de la 21. Et ensuite comme par miracle la limite de la 11 est au même niveau que 21


6szjws718sv1jksw54v4mpj3a6cu - Eugenol
vulpi

31/01/2017 à 14h28

bin il a rasé 21, allez hop! Tout au même niveau.

Si tu peux pas par en bas, tu t'occupes du haut. Et vice versa.


Utilisateur banni

31/01/2017 à 14h35

Non il a viré 2,5 mm de gencive sur la 11. On va pas me la faire à l'envers 😊. Vraiment des brigands ces 2 là.


Vw campersurfvan bmnk1q - Eugenol
enlaye

31/01/2017 à 15h01

hahahaha , tu sais quoi ? je n'ai meme pas fait de prov :-))))) . enfin pas comme tu l'entends .
juste des coquilles de protection ,grosso merdo, pcq j'ai gardé les dents vivantes .ces coquilles je ne les ai enlevé que pour l empreinte ,bien sur .


Utilisateur banni

31/01/2017 à 15h12

Oui mais dis leur que tu as viré de la gencive sinon ils vont te croire


Vw campersurfvan bmnk1q - Eugenol
enlaye

31/01/2017 à 15h23

les lignes des collets je les ai faites au compo par dessus les coquilles .
ainsi en fonction que je voulais monter la gencive ,ou la descendre j en ai mis plus ou moins en épaisseur .
il a raison Vulpi ,on est de la génération demerde :-)
avec 1 lentulo et 1 fraise à congé je fais tout .
mouhahaha ,j'me regale :-))))


Vw campersurfvan bmnk1q - Eugenol
enlaye

31/01/2017 à 15h26

junior® écrivait:
-----------------
" Oui mais dis leur que tu as viré de la gencive sinon ils vont te croire "

à peine ,Junior ,à peine . en tout cas pas de lambeau ,pas de point ,pas de rebasage de prov ,rien :-)))))


Vw campersurfvan bmnk1q - Eugenol
enlaye

31/01/2017 à 15h37

junior® écrivait:
-----------------
" Non il a viré 2,5 mm de gencive sur la 11. On va pas me la faire à l'envers 😊. Vraiment des brigands ces 2 là."

virer 2.5 je veux bien ,mais alors elle serait revenue ,et le jour de l'empreinte chocolat .ç est l'epaisseur du bombé qui a guidé la cicatrisation . par la taille tres tres infra ,virtuellement la dent etait comme plus sortie ,et l'os est plus fin quand tu montes en apical .
encore une fois ,ç est la technique à Chicot , tu fracasses tout ,en ligne de finition ,bien sur , et le parodonte se recale en fonction de la partie coronaire de la dent .


Vw campersurfvan bmnk1q - Eugenol
enlaye

31/01/2017 à 15h44

il y a quand meme une astuce pour maintenir la gencive stable :-))))) :
un coup de fraise boule autour de la racine au ras de l'os et sous la limite de la couronne .
voilà ,tu sais tout .


Generique fraisage r2rxmm - Eugenol
lardonbis

31/01/2017 à 15h58

enlaye écrivait:
----------------

> un coup de fraise boule autour de la racine au ras de l'os et sous la limite de
> la couronne .


watwatwat !!
du détail !!

--
la réponse à vos questions est sans doute sur www.arcad-dentaire.fr !


Vw campersurfvan bmnk1q - Eugenol
enlaye

31/01/2017 à 16h01

voila ,jai retrouvé les photos .
1ere seance taille à minima +coquilles

P5176684 tgr0qd - Eugenol
P4116612 cjj6du - Eugenol

Vw campersurfvan bmnk1q - Eugenol
enlaye

31/01/2017 à 16h03

2eme seance :
machinage gencive +os sans enlever les coquilles + compo par dessus .

P4196644   copie slvsnp - Eugenol

Vw campersurfvan bmnk1q - Eugenol
enlaye

31/01/2017 à 16h06

3eme empreinte 1 mois après
et 4éme pose

cas facile ,ça ,pas prise de tete :-)

P5176689 bj9fvx - Eugenol

Vw campersurfvan bmnk1q - Eugenol
enlaye

31/01/2017 à 16h09

enlaye écrivait:
---------------- un coup de fraise boule autour de la racine au ras de l'os et sous la limite de la couronne .
lardonbis écrivait:
------------------- watwatwat !! du détail !!

pour faire comme avec les implants .
sais plus comment ça s'appelle quand l'implant est plus large que le trognon .


6szjws718sv1jksw54v4mpj3a6cu - Eugenol
vulpi

31/01/2017 à 16h17

platform switching


Vw campersurfvan bmnk1q - Eugenol
enlaye

31/01/2017 à 16h20

oui voilà ça .Astra a fait croire que ç était une invention ,mais ç est un vieux truc qui datait de bien bien avant les implants .
ça servait de repère radiologique pour les paro .
on s'est aperçu après que ç était bonard par ce que la gencive était plus épaisse à ce niveau là et donc plus étanche .


Vw campersurfvan bmnk1q - Eugenol
enlaye

31/01/2017 à 16h40

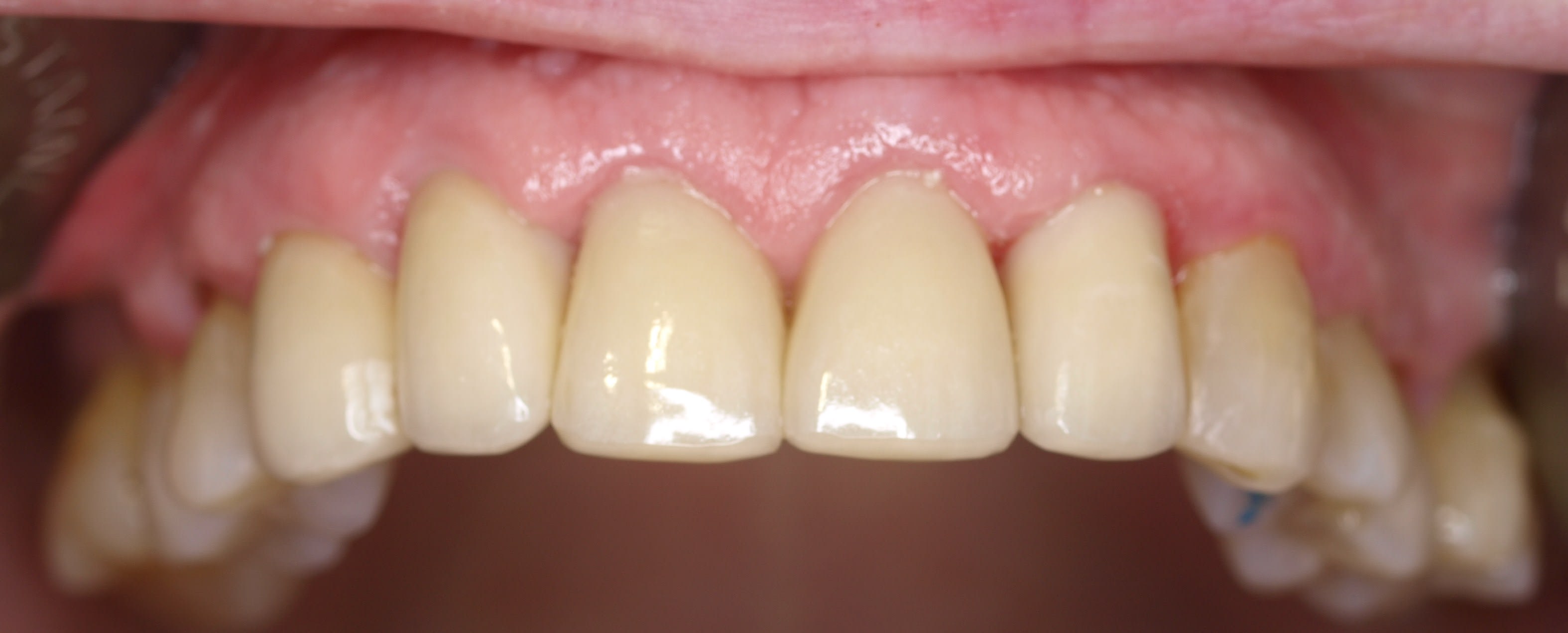
Cas au depart :
Vulpi , tu vois les 38 et 48 ? elles interferent à mort comme ton cas .
comme par hasard , 33 et 43 sont egressées et couchées et il y a un diateme derriere ,pourtant ,il ne manque pas de dents derriere . les pm sont lingualées pareil aussi .

P2166557 k5tztw - Eugenol

Utilisateur banni

31/01/2017 à 17h35

C'est pas Astra , c'est biomet
Et c'est bien ce que je dis depuis le départ t'as touché à la gencive et à l'os
Heureusement que je suis là pour vous relire et faire les corrections 😊😊😊


1...181920...