Cookie Consent byPrivacyPolicies.comLa meilleure obturation c'est la pulpe.... Ah bon ?😊 - Eugenol

La meilleure obturation c'est la pulpe.... Ah bon ?😊

6szjws718sv1jksw54v4mpj3a6cu - Eugenol
vulpi

08/02/2017 à 08h47

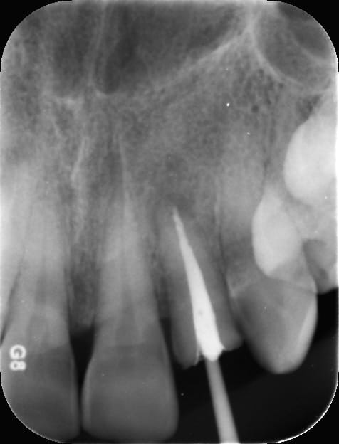
X séances d'une heure pour trouver les orifices, avec de la patience souvent on y arrive.


6szjws718sv1jksw54v4mpj3a6cu - Eugenol
vulpi

08/02/2017 à 15h56

Ah oui, nous sommes mercredi, Junior a centre aéré, il ne peut pas répondre.


6szjws718sv1jksw54v4mpj3a6cu - Eugenol
vulpi

08/02/2017 à 21h21

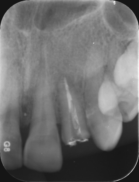
Là c'était pas trop difficile, pulpite aiguë, pas de souci d'AL normal, tronculaire... en plus avec la digue et un cavit bien étanche après l'obturation canalaire, zéro problème.

Dscf1645 3 la4bkd - Eugenol

Capture d  cran 2015 03 12 12.28 - Eugenol
chicot29

08/02/2017 à 23h02

J'ai fait mon patachon, pas de digue. c'est grave docteur ? -)))

Le distal était vivant. Si si si.
--
En cas d'échec des négociations conventionnelles, seriez-vous prêt à suivre la promotion d'un déconventionnement massif de la profession par les syndicats représentatifs ? OUI - NON
Participez, anonymement, sur https://goo.gl/forms/nAO0htnsVmxotjYm1

Capture d écran 2017 02 08 23.01 - Eugenol

6szjws718sv1jksw54v4mpj3a6cu - Eugenol
vulpi

09/02/2017 à 09h44

chicot29 écrivait:
------------------
> J'ai fait mon patachon, pas de digue. c'est grave docteur ? -)))
>
Gare à la validation de fin d'année;-))))


lachmar

09/02/2017 à 10h19



pulpite 16 ; 4 canaux tres difficiles dixit cbct

methode lachmar : proposé b.khayat en expliquant que ca dépassait mes compétences
patiente en larmes me demande de faire ... en plein divorce n'a pas 1000 euros à mettre la dedans

comme un con je cède
20 minutes pour trouver les 4 entrées (même la palatine était très difficile)
lachmar très content de lui se frise les moustaches en se disant qu'il est aussi bon que chicot
et paf un S1 gold dans le 2eMV (un tout neuf pour ce canal)
ca démotive )))
du coup de dégout j'ai baclé

décidement chicot est le meilleur )

PS : pas de digue parce que sinon tu trouves rien (même la chambre pulpaire a été difficile à determiner )
PPS : 3 litres d'hypo, alors ca sera surement un succès quand même
PPPS : la prochaine fois je ferais un seul passage de S1 et après je passerai le reciproc blue jusqu'à la coudure avant de reprendre le S1 jusqu'à l'apex


Avatar transparent iqadnc - Eugenol
adhoc

09/02/2017 à 10h53

Pas sur de moi, lachmar, mais tu as peut etre un hiatus entre l'axe de ton bout d'instrument et l'axe de départ. Peut etre que le bon trajet est matérialisé par le tracé vert. J'ai agrandi un peu.
On verra si le patient revient en urgence ou non :-)))

Fauxcanalavoir djnawh - Eugenol
Fauxcanalavoir0 yszo1r - Eugenol

Jack 2 wm3tqs - Eugenol
Treponem

09/02/2017 à 10h57

Ces MV2 de m... ils ont toujours une angulation à la c...
Si tu ouvres pour redresser la courbure, limite tu te dis que tu cas sortir de la dent :( Surtout quand la chambre est étroite, et que les racines font le grand écart.
Pour dire, quand je cathéterise manuellement et que je vois la lime ressortir en "Z", je me dis que je vais transpirer.


lachmar

09/02/2017 à 11h10

Treponem écrivait:
------------------
> Ces MV2 de m... ils ont toujours une angulation à la c...
> Si tu ouvres pour redresser la courbure, limite tu te dis que tu cas sortir de
> la dent :( Surtout quand la chambre est étroite, et que les racines font le
> grand écart.
> Pour dire, quand je cathéterise manuellement et que je vois la lime ressortir en
> "Z", je me dis que je vais transpirer.


en fait c'est ça

comme le premier MV était coudé, mais tranquille, j'ai instrumenté normalement au S1 (neuf j'insiste) , ca a pété au troisième passage
j'aurias effectivement du redressser à mort au reciproc blue
mais : je ne suis ni khayat ni chicot ))))


Vw campersurfvan bmnk1q - Eugenol
enlaye

09/02/2017 à 11h32

chicot29 écrivait:
------------------
" J'ai fait mon patachon, pas de digue. c'est grave docteur ? -))) "

fais comme tu veux du moment qu'on soit pas emmerdé :-)


Vw campersurfvan bmnk1q - Eugenol
enlaye

09/02/2017 à 12h06

lachmar écrivait:
-----------------
" c'est facile : j'envoie a Bertrand Khayat "

et pourquoi pas à ton neveu ?


Jack 2 wm3tqs - Eugenol
Treponem

09/02/2017 à 12h34

:)


lachmar

09/02/2017 à 12h51

enlaye écrivait:
----------------
> lachmar écrivait:
> -----------------
> " c'est facile : j'envoie a Bertrand Khayat "
>
> et pourquoi pas à ton neveu ?


c'est pas un peu mechant pour ce gamin ca ?

tu serais pas du genre a vouloir jouer avec lui avec une matraque toi ?


Utilisateur banni

09/02/2017 à 13h47

lachmar écrivait:
-----------------
> junior® écrivait:
> -----------------
> > lachmar écrivait:
> > -----------------
> quand la riviere est rouge il faut savoir emprunter le petit sentier boueux

Je m'étonne qu' Enlaye et Vulpi Ne soient pas inspirés par cette expression


6szjws718sv1jksw54v4mpj3a6cu - Eugenol
vulpi

09/02/2017 à 14h36


>
> Je m'étonne qu' Enlaye et Vulpi Ne soient pas inspirés par cette expression

Trop occupé vulpi...




Capture d  cran 2015 03 12 12.28 - Eugenol
chicot29

09/02/2017 à 15h33

C'est la pulpe, c'est la pulpe !

Pulpe rétractée on va s'amuser à travers le bridge. -)
--
En cas d'échec des négociations conventionnelles, seriez-vous prêt à suivre la promotion d'un déconventionnement massif de la profession par les syndicats représentatifs ? OUI - NON
Participez, anonymement, sur https://goo.gl/forms/nAO0htnsVmxotjYm1

Capture d écran 2017 02 09 15.32 - Eugenol

6szjws718sv1jksw54v4mpj3a6cu - Eugenol
vulpi

09/02/2017 à 15h38

Oh! C'est tout droit, tu nous as montré plus difficile.


Jack 2 wm3tqs - Eugenol
Treponem

09/02/2017 à 15h42

Tout tout droit, une fois que tu es dedans oui :)
Avant d'être au chaud, il y a moyen de faire des bêtises :)


Capture d  cran 2015 03 12 12.28 - Eugenol
chicot29

09/02/2017 à 16h02

vulpi écrivait:
---------------
> Oh! C'est tout droit, tu nous as montré plus difficile.

Je préfère faire celle là tu vois.

--
En cas d'échec des négociations conventionnelles, seriez-vous prêt à suivre la promotion d'un déconventionnement massif de la profession par les syndicats représentatifs ? OUI - NON
Participez, anonymement, sur https://goo.gl/forms/nAO0htnsVmxotjYm1

Capture d écran 2017 02 09 15.06 - Eugenol

6szjws718sv1jksw54v4mpj3a6cu - Eugenol
vulpi

09/02/2017 à 16h05

il n'y a pas photo. Allez je te fais confiance, plein de RX pour valider ton axe et ton approche et tout va bien se passer. Avec un peu de chance tu flingueras le bridge et il sera à refaire ;-)


lachmar

09/02/2017 à 16h31

Treponem écrivait:
------------------
> Tout tout droit, une fois que tu es dedans oui :)
> Avant d'être au chaud, il y a moyen de faire des bêtises :)


surtout que celle la il peut pas la tailler à ras

moi je vire le bridge et après c'est un boulevard


lachmar

09/02/2017 à 17h57

lachmar écrivait:
-----------------
> enlaye écrivait:
> ----------------
> > lachmar écrivait:
> > -----------------
> > " c'est facile : j'envoie a Bertrand Khayat "
> >
> > et pourquoi pas à ton neveu ?
>
>
> c'est pas un peu mechant pour ce gamin ca ?
>
> tu serais pas du genre a vouloir jouer avec lui avec une matraque toi ?


je trouve que tu abandonnes le terrain un peu vite enlaye ))))
quand on tire le premier on assume)


Capture d  cran 2015 03 12 12.28 - Eugenol
chicot29

09/02/2017 à 18h13

vulpi écrivait:
---------------
> il n'y a pas photo. Allez je te fais confiance, plein de RX pour valider ton axe
> et ton approche et tout va bien se passer. Avec un peu de chance tu flingueras
> le bridge et il sera à refaire ;-)

Piliers 34 et 38 faut oser. -)

--
En cas d'échec des négociations conventionnelles, seriez-vous prêt à suivre la promotion d'un déconventionnement massif de la profession par les syndicats représentatifs ? OUI - NON
Participez, anonymement, sur https://goo.gl/forms/nAO0htnsVmxotjYm1


6szjws718sv1jksw54v4mpj3a6cu - Eugenol
vulpi

09/02/2017 à 19h03

Oh p... j'avais pas vu, bah non alors ne refais pas le bridge, les emmerdes seront pour toi, déjà que ça commence :-))


Utilisateur banni

09/02/2017 à 19h05

Patiente qui a une lésion sur son incisive latérale
1) je lui enlève la couronne et IC
j'instrumente j'irrigue je laisse l'hypochlorite je remets IC couronne
2) 2eme RDV
J'irrigue en profondeur
J'obture à LT - 2
J'enfile un gros instrument chaud pour balancer la substance chaude et blanche à LT-1
Je fais ma provisoire

Img 0744 oqmivd - Eugenol
Img 0742 nsjwow - Eugenol
Img 0745 qce0ud - Eugenol
Img 0747 xn2pjb - Eugenol
Img 0741 ffvdlf - Eugenol

1...222324...