Cookie Consent byPrivacyPolicies.comLa meilleure obturation c'est la pulpe.... Ah bon ?😊 - Eugenol

La meilleure obturation c'est la pulpe.... Ah bon ?😊

Ylfwcw979cz1jnx9gfqeaxndiuzk - Eugenol
Algi

09/02/2017 Ă  19h35

Compos de 1997..... 20 ans et un petit rafistolage cette semaine sur la 25.

Ça aurait Ă©tĂ© fait ces 5 derniĂšres annĂ©es je sais pas si j'aurais pas proposĂ© la coiffe..... Ă  croire que moi aussi je me laisse gagner par la lassitude de faire des soins de qualitĂ© pour des clopinettes.... et que bientĂŽt je saurai plus les faire :0(


--
L’extrĂ©misme est le culte sans la culture ;
le fondamentalisme est la croyance sans la connaissance ;
l’intĂ©grisme est la religiositĂ© sans la spiritualitĂ©.

On a toujours le choix mais entre quoi et quoi?
Vas-y boulégue et l'avenir te le dira!

J - Eugenol

Ylfwcw979cz1jnx9gfqeaxndiuzk - Eugenol
Algi

09/02/2017 Ă  19h42

Et sinon.... patiente qui devait revenir depuis..... presque 2 ans mais comme elle se cague dessus d'aller chez son dentiste elle a reporté un 1er rdv, puis "oublié" le 2eme, puis refilé le 3eme à son minot puis... puis.... je la vois finalement lundi.

Initialement c'était pour attaquer sa 46 et le merveilleux bridge sur de merveilleuses endo qui vient dessus.

1/ elle divorce, a pas les ronds pour attaquer le travail (et de toute façon est morte de trouille à l'idée de faire quoi que ce soit).

2/ comme je sais qu'une lesion apicale couve sous cette dent j'arrive Ă  la convaoncre de faire une radio et lĂ  on trouve un truc sur la 47...

Moi je suis en vacances demain et n'ai pas de rdv dispo avant mi mars......

Pas le temps d'attaquer le truc mais un patient rdv ce jeudi ayant annulé, bonne poire je lui dis de revenir afin qu'on traire cette carie au plus vite.


--
L’extrĂ©misme est le culte sans la culture ;
le fondamentalisme est la croyance sans la connaissance ;
l’intĂ©grisme est la religiositĂ© sans la spiritualitĂ©.

On a toujours le choix mais entre quoi et quoi?
Vas-y boulégue et l'avenir te le dira!

Gom preop jxnkg9 - Eugenol

6szjws718sv1jksw54v4mpj3a6cu - Eugenol
vulpi

09/02/2017 Ă  19h45

juniorŸ écrivait:
-----------------
> Patiente qui a une lésion sur son incisive latérale
> 1) je lui enlĂšve la couronne et IC
> j'instrumente j'irrigue je laisse l'hypochlorite je remets IC couronne
> 2) 2eme RDV
> J'irrigue en profondeur
> J'obture Ă  LT - 2
> J'enfile un gros instrument chaud pour balancer la substance chaude et
> blanche Ă  LT-1
> Je fais ma provisoire

Quand il y a lésion, j'aime bien les obturations façon Chicot vers l'apex et au delà;


Ylfwcw979cz1jnx9gfqeaxndiuzk - Eugenol
Algi

09/02/2017 Ă  19h50

Ce matin.... j'arrive à la convaincre de faire le soin, lui promettant que ça ferait pas mal....

Merci quick sleeper, j'ai pu anesthesier ça comme un chef en moins de 3 minutes et commence à attaquer la dentine ramollie..... bingo je me fais une corne!

Du coup on range le matos Ă  composites et je sors les boites Ă  endo....

Racine Ă  la mord moi le neoud que mĂȘme chicot je crois aimerait pas croiser dan son cabinet....

Coton+clou de girofle+pansement provisoire (du clip hé hé hé) et la patiente qui me fait la gueule car selon elle on aurait pas du attaquer ça alors que je pars le lendemain et ne peux pas la revoir rapidement(ce en quoi elle a entiÚrement raison, j'aurais du d'emblée l'envoyer paßtre).

Sentant venir l'engambi (ou engatse ou embrouille pour les parisiens) je prend sur moi d'essayer de joindre 2 ou 3 endos exclusifs de ma connaissance.... le premier est full sur 2 mois, le suivant a cessé son exercice libéral pour se gratter les couilles à la fac et la troisieme part en congés 2 semaines et ne peut de toute façon pas la voir avant fin mars debut avril....

L'ai adressée chez mon papa, bientot à la retraite, qui a du temps libre et touche sa bille en endo....

On verra le 20 quand je reprends mais m'est avis que c'est pas gagné pour sauver la ratiche....


--
L’extrĂ©misme est le culte sans la culture ;
le fondamentalisme est la croyance sans la connaissance ;
l’intĂ©grisme est la religiositĂ© sans la spiritualitĂ©.

On a toujours le choix mais entre quoi et quoi?
Vas-y boulégue et l'avenir te le dira!

Gom endo qimj15 - Eugenol

Capture d  cran 2015 03 12 12.28 - Eugenol
chicot29

09/02/2017 Ă  20h00

Leçon numéro 1 : attendre le signe d'appel.


--
En cas d'Ă©chec des nĂ©gociations conventionnelles, seriez-vous prĂȘt Ă  suivre la promotion d'un dĂ©conventionnement massif de la profession par les syndicats reprĂ©sentatifs ? OUI - NON
Participez, anonymement, sur https://goo.gl/forms/nAO0htnsVmxotjYm1


Capture d  cran 2015 03 12 12.28 - Eugenol
chicot29

09/02/2017 Ă  20h04

Par exemple........


--
En cas d'Ă©chec des nĂ©gociations conventionnelles, seriez-vous prĂȘt Ă  suivre la promotion d'un dĂ©conventionnement massif de la profession par les syndicats reprĂ©sentatifs ? OUI - NON
Participez, anonymement, sur https://goo.gl/forms/nAO0htnsVmxotjYm1

Capture d écran 2017 02 09 20.03 - Eugenol

Img 9301 q0yyqn - Eugenol
Art-dent

09/02/2017 Ă  21h03

Algi écrivait:
--------------
> L'ai adressée chez mon papa, bientot à la retraite, qui a du temps libre et
> touche sa bille en endo....

Canal en C d'aprÚs tes radios, c'est vraiment chiant a traiter ;-) tu as raison de déléguer

--
ïŁż


6szjws718sv1jksw54v4mpj3a6cu - Eugenol
vulpi

09/02/2017 Ă  22h23

Art contemporain.

Dscf2225 yft0wo - Eugenol

Utilisateur banni

10/02/2017 Ă  00h22

vulpi écrivait:
---------------
> juniorŸ écrivait:
> -----------------
> > Patiente qui a une lésion sur son incisive latérale
> > 1) je lui enlĂšve la couronne et IC
> > j'instrumente j'irrigue je laisse l'hypochlorite je remets IC couronne
> > 2) 2eme RDV
> > J'irrigue en profondeur
> > J'obture Ă  LT - 2
> > J'enfile un gros instrument chaud pour balancer la substance chaude et
> > blanche Ă  LT-1
> > Je fais ma provisoire
>
> Quand il y a lésion, j'aime bien les obturations façon Chicot vers l'apex et au
> delĂ ;

C'est à dire ?!? Avec un d'épassement de pate ?


6szjws718sv1jksw54v4mpj3a6cu - Eugenol
vulpi

10/02/2017 Ă  07h33

oui un tout petit ou presque, qqc de subtile j'sais pas expliquer


Utilisateur banni

10/02/2017 Ă  09h06

Je t'avouerais que j'obture toujours Ă  l'apex. Mais lĂ  comme pour une fois je suis Ă  LT-1 je me suis dit "allez on la garde". Par contre pour le ptit puff je suis pas totalement pour...mĂȘme si j'en fais de temps en temps.

Est ce que ça vous arrive de laisser de l'hypochlorite en inter séances ? Au lieu de mettre du CAOH , vous laissez l'hypochlorite. Moi j'ai noté une chose : c'est qu'en tout cas ça n'augmente pas le risque d'avoir des douleurs. On pourrait penser que ça irrite à l'apex. En fait que dalle


6szjws718sv1jksw54v4mpj3a6cu - Eugenol
vulpi

10/02/2017 Ă  09h14

pour l'hypo oui cela m'arrive.


lachmar

10/02/2017 Ă  09h16

juniorŸ écrivait:
-----------------
> Je t'avouerais que j'obture toujours Ă  l'apex. Mais lĂ  comme pour une fois je
> suis Ă  LT-1 je me suis dit "allez on la garde". Par contre pour le ptit puff je
> suis pas totalement pour...mĂȘme si j'en fais de temps en temps.
>
> Est ce que ça vous arrive de laisser de l'hypochlorite en inter séances ? Au
> lieu de mettre du CAOH , vous laissez l'hypochlorite. Moi j'ai noté une chose :
> c'est qu'en tout cas ça n'augmente pas le risque d'avoir des douleurs. On
> pourrait penser que ça irrite à l'apex. En fait que dalle


l'hypochlorite en inter sceance c'est comme si tu mettais de l'eau : la solution est desactivée en quelques instants

la tendance est de ne plus faire d'interscĂ©ances (mĂȘme caoh) et d'obturer si tes cones de papier sont secs ... si ce n'est pas le cas le diagnostic diffĂ©rentiel est fait : il s'agit du kyste veritable qui necessite un recours Ă  la chirurgie endo

c'est al tendance .... mais moi pour me rassurer il m'arrive de faire des intersceances en mettant caoh ))))


Utilisateur banni

10/02/2017 Ă  09h37

j'ai mĂȘme pu noter une chose :
- ça m'est arrivé plus d'une fois d'oublier de sécher, et d'obturer.
Résultat : idem vraiment aucune douleur, j'ai pu remarquer que le ciment prenait bien quand je reintervenais pour faire ma préparation IC.
Du coup je me pose une question : pourquoi sĂšche t on ???


6szjws718sv1jksw54v4mpj3a6cu - Eugenol
vulpi

10/02/2017 Ă  09h49

juniorŸ écrivait:
-----------------

> Du coup je me pose une question : pourquoi sĂšche t on ???

Là je n'ai pas la réponse, je sÚche...

Pour le puff, je te l'ai dit, qqc de plus subtile, on va dire obturation à mesure électronique-0.5 mm pour mon raypex ou mesure électronique-0 pour mon pixi + sensations tactiles (les vieux savent faire, ils ont appris comme cela, les doigts localisateur d'apex).


lachmar

10/02/2017 Ă  09h58

juniorŸ écrivait:
-----------------
> j'ai mĂȘme pu noter une chose :
> - ça m'est arrivé plus d'une fois d'oublier de sécher, et d'obturer.
> Résultat : idem vraiment aucune douleur, j'ai pu remarquer que le ciment prenait
> bien quand je reintervenais pour faire ma préparation IC.
> Du coup je me pose une question : pourquoi sĂšche t on ???


trÚs bonne question et réponse sous forme de lapalissade :

tu seches pour voir si tu arrives Ă  secher ))))

si ce n'est pas le cas , il y a problÚme et je te renvoie à mon message précédent )))


Jack 2 wm3tqs - Eugenol
Treponem

10/02/2017 Ă  10h07

Sécher pour voir si c'est sec, et propre :)
Et quand c'est bien sec, la gutta fond vite avec le guttacondensor si pas trop de ciment.


Utilisateur banni

10/02/2017 Ă  10h22

oui enfin bon je suis certain de ne pas ĂȘtre le seul Ă  avoir oubliĂ© de sĂ©cher. Et y a aucune complication !

Ah oui effectivement quand on fait une technique Ă  chaud, c'est mieux sans eau


6szjws718sv1jksw54v4mpj3a6cu - Eugenol
vulpi

10/02/2017 Ă  10h47

lachmar écrivait:
-----------------

> la tendance est de ne plus faire d'interscĂ©ances (mĂȘme caoh) et d'obturer si tes
> cones de papier sont secs ... si ce n'est pas le cas le diagnostic différentiel
> est fait : il s'agit du kyste veritable qui necessite un recours Ă  la chirurgie
> endo
>


Cependant, sur des nécroses il m'arrive en fin de séance d'avoir un suintement, de mettre un hydroxyde 15 jours et d'avoir une racine sÚche+obturation.

Sécher, c'est bien aussi si tu as déchiré l'apex: saignement... hydroxyde une semaine... canal sec obturation.


Utilisateur banni

10/02/2017 Ă  10h51

Je vais vous dire l'intĂ©rĂȘt de mettre des pointes papier est le suivant :
-> voir si y a du sang. et donc voir si on a pas fait une préparation au delà de l'apex
->voir si y a du pus. Si y a du pus et qu'on obture, possible sur pression Ă  l'apex , le pus ne pouvant plus ĂȘtre drainĂ© -> possible douleur, et puis possible recontamination des canaux

maintenant si on est sĂ»r qu'on a pas de pus ni de sang, l'intĂ©rĂȘt de sĂ©cher est lequel ?


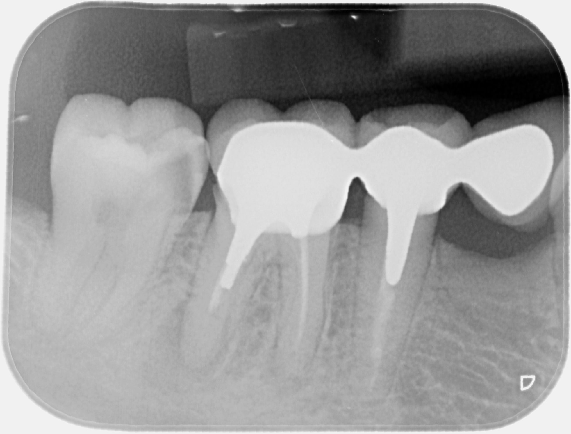
6szjws718sv1jksw54v4mpj3a6cu - Eugenol
vulpi

10/02/2017 Ă  11h12

Art contemporain: "Hou les cornes!".

Dscf2280 xobgm5 - Eugenol

Utilisateur banni

10/02/2017 Ă  11h25

tu devrais changer de capteur vulpi, prendre une digora ou équivalent. Ca aide bien pour les racines P des 6 ou 7 maxillaire, on voit beaucoup mieux


lachmar

10/02/2017 Ă  11h29

juniorŸ écrivait:

>
> maintenant si on est sĂ»r qu'on a pas de pus ni de sang, l'intĂ©rĂȘt de sĂ©cher est
> lequel ?


tu es tétu !!!!
Ă  verifier si c'est sec !!!!!!!!!!!!


6szjws718sv1jksw54v4mpj3a6cu - Eugenol
vulpi

10/02/2017 Ă  11h56

juniorŸ écrivait:
-----------------
> tu devrais changer de capteur vulpi, prendre une digora ou équivalent. Ca aide
> bien pour les racines P des 6 ou 7 maxillaire, on voit beaucoup mieux

Oui;-) mais c'est de l'art contemporain, je l'ai retouché façon galaxie, peux pas me comparer à chicot c'est mieux le flou, en plus cela évite de se la mesurer;-))) ce n'est pas une 6, c'est une 15 avec une anatomie rigolote.

C'est de l’impressionnisme, comme pour la molaire, Ă©loigne toi de l'Ă©cran.


Utilisateur banni

10/02/2017 Ă  17h39

y a le suceur de moignon qu'on a perdu en route ... il est en train de nous prĂ©parer des belles photos 😊


1...232425...