Tous les forums
Histoire de l'implantologie en images 😊
07/07/2017 à 13h50
et pour ton Implant Tatum ou Roberts , il était fait sur mesure ou il y avait plusieurs tailles et tu choisissais celui qui convenait le mieux ?
Et comment tu plantais les deux extensions ramiques ? Avec une petite scie tu fendais l'os en deux au niveau du ramus ?
07/07/2017 à 14h05
ce qui me plairais c'est des implants lame à fixer directement sur le piezo. Tu bzzzz au milieu de la crête, tu désaccouples et zou.
07/07/2017 à 14h06
c'était une autre époque, (de mémoire) on recevait l'implant à plat, on ajustait (panoramique et empreinte), approximativement les barres (longueur et forme) on sablait les parties intra osseuses, on pasait tout ça dans des bains acides et neutralisants, puis sté (poupinel) :-)
incision à la fraise (700 Xl pour la partie ant) deux fentes dans les branches montantes, et introduction de tout ça, blocage par mouvement de levier, pose de prothèse immédiate....
ma mémoire fait peut être défaut mais en gros c'était ça, je dois encore avoir la série de diapo de l'époque montrant toute les phases (sous les mains de Tatum ou Chanavaz)...et si posé dans les règles, ça tenait parfaitement, il suffisait de rebaser l'appareil tout le 3 ou 4 ans...
--
xbk
"Si tous ceux qui croient avoir raison n'avaient pas tort, la vérité ne serait pas loin" Dac Pierre
07/07/2017 à 14h14
junior® écrivait:
-----------------
> Et là c'est les Implants de Scialom En tantale puis titane : intérêt on pouvait
> éviter les structures anatomiques
>
> Lachmar si tu regardes -> regarde la dernière photo , y en a un qui a rallongé
> un scialom 😊. Une idée de génie ^^
>
Donc la descendance Scialom est honorée, Labocast n'étant rien de moins que la lignée Scialom ;)
..........
lachmar® écrivait:
> je susi emeerveillé par ce qu'ils sont arrivés a faire sans l'aide des scan etc
Et je me dis la même chose quand je vois les cathédrales et les vitraux avec leurs outils rudimentaires de l'époque. Quel génie !
07/07/2017 à 15h04
Mais t'as raison Gregory Scialom ! Président de Labocast. C'est la meilleure ! Je ne savais pas.
les Implants Scialom on peut dire " comment c'est possible d'avoir imaginer de tels Implants ? Ça pouvait pas tenir !"
Et ben non j'ai trouvé des Implants encore plus "cons" que les Implants Français Scialom 😊 : les Implants de Small en 1975 -> on ne passe pas par le haut... non non non c'était trop simple comme idée, on va passer par le bas et traverser la symphyse 😊😊😊. En gros comment faire simple alors qu'on peut faire compliqué . Alors là c'est le top du top. Au moins on peut s'enorgueillir de ne pas avoir inventé ces Implants ^^ et que des Français n'en sont pas à l'origine.
07/07/2017 à 15h48
junior® écrivait:
-----------------
> Mais t'as raison Gregory Scialom ! Président de Labocast. C'est la meilleure !
> Je ne savais pas.
>
> les Implants Scialom on peut dire " comment c'est possible d'avoir imaginer de
> tels Implants ? Ça pouvait pas tenir !"
>
> Et ben non j'ai trouvé des Implants encore plus "cons" que les Implants Français
> Scialom 😊 : les Implants de Small en 1975 -> on ne passe pas par le haut... non
> non non c'était trop simple comme idée, on va passer par le bas et traverser la
> symphyse 😊😊😊. En gros comment faire simple alors qu'on peut faire compliqué .
> Alors là c'est le top du top. Au moins on peut s'enorgueillir de ne pas avoir
> inventé ces Implants ^^ et que des Français n'en sont pas à l'origine.
>
Il faut remettre les choses dans leur contexte. Quand tu te dis que les premiers qui ont pensé à faire voler des avions en bois passaient pour des dingues, et que certains pionniers en sont morts... aujourd'hui regarde le ciel, ça vole et pas qu'un peu -)
Pareil pour la pomme de Newton et la gravitation etc. La liste est longue. Donc ne jamais se moquer de ces inventeurs précurseurs, surtout aujourd'hui avec toutes ces start-ups, on n'a pas fini d'en voir
07/07/2017 à 15h53
t'as pas tort . Y a qu'en faisant des âneries qu'on apprend Et qu'on fait avancer les choses. Tout ce qu'on peut dire c'est que la famille Scialom devait être fan des Mikados 😊. Ça doit être des fans de la Chine. On comprend mieux l'origine des fabrications prothétiques de Labocast
07/07/2017 à 16h07
junior® écrivait:
-----------------
> t'as pas tort . Y a qu'en faisant des âneries qu'on apprend Et qu'on fait
> avancer les choses. Tout ce qu'on peut dire c'est que la famille Scialom devait
> être fan des Mikados 😊. Ça doit être des fans de la Chine. On comprend mieux
> l'origine des fabrications prothétiques de Labocast
Et que penses tu des premières prothèses de Capitaine Crochet ?
Très ingénieux le jeu de Mikado, ça faisait réfléchir les méninges et les gestes tout à la fois. Aujourd'hui on appuie sur un bouton, on ferme les yeux et on prie. Ca s'appelle le trading.
Soit on a appuyé au bon moment et on fait sauter la banque, soit c'est plutôt le jeu des dominos, effondrement en chaîne -))
Pour la Chine, tu sais qu'ils sont loin devant nous pour tout ce qui est ingénierie ? Atelier du monde un jour, maître du monde un autre jour, voilà pourquoi on aimerait bien que notre nouveau président passe à autre chose que des discours et des promesses
07/07/2017 à 16h47
j'ai encore une patiente la soixantaine, qui à une pm sur aiguille en tantale je crois posé dans les années 70, avec 3 aiguilles au départ il n'en reste qu'une mais la dent et toujours en place...
--
xbk
"Si tous ceux qui croient avoir raison n'avaient pas tort, la vérité ne serait pas loin" Dac Pierre
07/07/2017 à 17h15
pxav écrivait:
--------------
>
> j'ai encore une patiente la soixantaine, qui à une pm sur aiguille en tantale je
> crois posé dans les années 70, avec 3 aiguilles au départ il n'en reste qu'une
> mais la dent et toujours en place...
>
Comme quoi il y a de sacrées idées à la source des inventions audacieuses, même si avec le temps et du recul ça peut sembler archaïque, voire saugrenu.
07/07/2017 à 17h45
Le but du jeu c'est de les enlever un par un sans faire tomber les autres. 😊 Et là où c'est dur c'est que souvent comme on peut le voir sur les panos ils sont entrecroisés.
Y a plusieurs niveaux : du plus simple où les Scialom sont bien rangés et Le niveau supérieur où si t'en enlèves un tu risques d'en faire tomber un ou deux autres . Un vrai mikado je vous dis ^^
07/07/2017 à 17h50
junior® écrivait:
-----------------
> Le but du jeu c'est de les enlever un par un sans faire tomber les autres. 😊 Et
> là où c'est dur c'est que souvent comme on peut le voir sur les panos ils sont
> entrecroisés.
> Y a plusieurs niveaux : du plus simple où les Scialom sont bien rangés et Le
> niveau supérieur où si t'en enlèves un tu risques d'en faire tomber un ou deux
> autres . Un vrai mikado je vous dis ^^
Ils n'ont pas encore inventé les implants résilients mais ça viendra peut-être un jour !
07/07/2017 à 19h02
Et voilà l'ancêtre de l'extraction implantation immédiate :
L'implant de Maggiolo -> avec ses anses au niveau de l'apex, on obtenait une rétention à l'apex de l'alveole . Attention les yeux en or !
09/07/2017 à 10h36
L' ancêtre de l'implant Trabecular de Zimmer, l'implant Greenfield 1913. Le sang pénètre à l'intérieur de l'implant
09/07/2017 à 10h58
Et les deux ancêtres des Implants modernes branemarkiens :
-> l'implant français Léger Dorez 1920 (avec une connexion interne et un peu externe)
-> l'implant avec attachement boule d'Adams 1938 (avec connexion interne !)
09/07/2017 à 19h40
Très intéressant ton sujet Junior®.
Merci bien, il m'a rappelé des souvenir de collab avec un confrère qui me parlait des implant sous périostés de ses début et l'évolution. Nostalgie (de la collab, pas des trucs acrobatiques exposés)
junior® écrivait:
-----------------
> L' ancêtre de l'implant Trabecular de Zimmer, l'implant Greenfield 1913. Le sang
> pénètre à l'intérieur de l'implant
Par contre ne nous explique pas comment tu as pris cette radio!
09/07/2017 à 19h52
BasArtDentaire écrivait:
------------------------
> Très intéressant ton sujet Junior®.
+1 👍
09/07/2017 à 22h10
Content que ça vous plaise ...
Ça c'est les premiers Implants en céramique (ou du moins ça fait parti des premiers). Attention les yeux pour le trouver celui-ci faut bien chercher : c'est l'implant Sandhaus des années 60.
09/07/2017 à 23h16
Et Les fameux Implants Branemark l'original , MK1, 2, 3, 4 ..... c'est comme les Peugeot une fois qu'ils ont trouvé Le filon , ils l'exploitent à mort 206 207 208 😊. C'est du business. Mais on remarquera que finalement Adams et d'autres avaient déjà presque tout compris bien avant En ce qui concerne la forme de l'implant et son fonctionnement . Et on se rend compte dans la 2eme moitié du siècle que Le titane supplante les autres métaux. Père de l'implantologie moderne (osseointegration + propriétés mécaniques bien meilleures pour le titane)
10/07/2017 à 09h20
Non, le titane c'est mauvais pour la santé ....
10/07/2017 à 14h32
Carie Grant écrivait:
---------------------
> Non, le titane c'est mauvais pour la santé ....
Cette Madame V qui a écrit cet article a été condamnée par l'ordre pour exercice illégal de l'art dentaire. Il semblerait que ce soit une illuminée . Apparemment elle fume la moquette et elle n'a pas les yeux En face des trous 😊. Elle fait l'apologie du métier de magnétiseur. Tout ça pour dire qu'elle est peu crédible
10/07/2017 à 14h58
y'en a une comme ça à 30 borne de chez moi.
Ne prend pas de nouveaux patients... pleine archi pleine.
tarifs dignes de "skippy notre maitre à tous". Le R.A elle s'en balek joyeusement. Investissement de cette année :200€ pour trois flacon, une lampe à cire et un crane d’alligator (bio).
10/07/2017 à 15h51
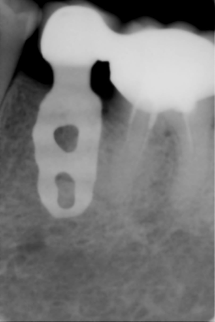
Couronnes solidarisées implanto-dento-portées, réalisées au début des années 90.
Aucun problème pendant 25 ans ....
Vous noterez la qualité du TE 36 ....
11/07/2017 à 04h45
C'est quoi comme Implant Gary ? Un petit Implant Lame mais de qui ? C'est du Linkow aussi ? Comme quoi ça tient bien !!!
Passons à Niznick ... Faut savoir que le Niznick il a commencé comme tous les anciens. Il s'est formé chez Linkow puis a commencé à poser des Linkow et des sous periostés puis ensuite il a produit ses Implants. Et je pense qu'il y en a un parmi nous qui a étudié de long En large les Implants Niznick . C'est Pluton . Qu'est ce que Niznick a apporté à l'implantologie moderne Pluton ? Y a que toi ou d'autres praticiens moins bavards ici qui peuvent nous expliquer ....