Cookie Consent byPrivacyPolicies.comDébuter en 2D Forestadent ou autre - Eugenol

Débuter en 2D Forestadent ou autre

1309531 ours brun n5iukf - Eugenol
seespan

04/12/2017 à 12h55

Et la solution utilisé ici ( mais qui est loin d'être la seul possibilité.

Sur le groupe pigeon orthodontiste sur FB, j'avais déjà poster deux cas avec utilisation d'un double file pour torquer une dent unitaire en lingual et vestibulaire.

En théorie un seul file suffit avec un pliage en L, mais en pratique à moins d'être un dieux du pliage il est beaucoup plus simple de faire une simple boucle avec un deuxième file.





--
หมอจัดฟัน

Tt qm5bn1 - Eugenol

Gariane

04/12/2017 à 23h34

Interessant ! Merci !


1309531 ours brun n5iukf - Eugenol
seespan

05/12/2017 à 14h47

Personne pour essayer un petit cas ?
Encombrement léger mandibulaire et vous ne pouvez pas vous louper. Encore plus simple que d'éteindre une bougie.




--
หมอจัดฟัน


Gariane

05/12/2017 à 21h58

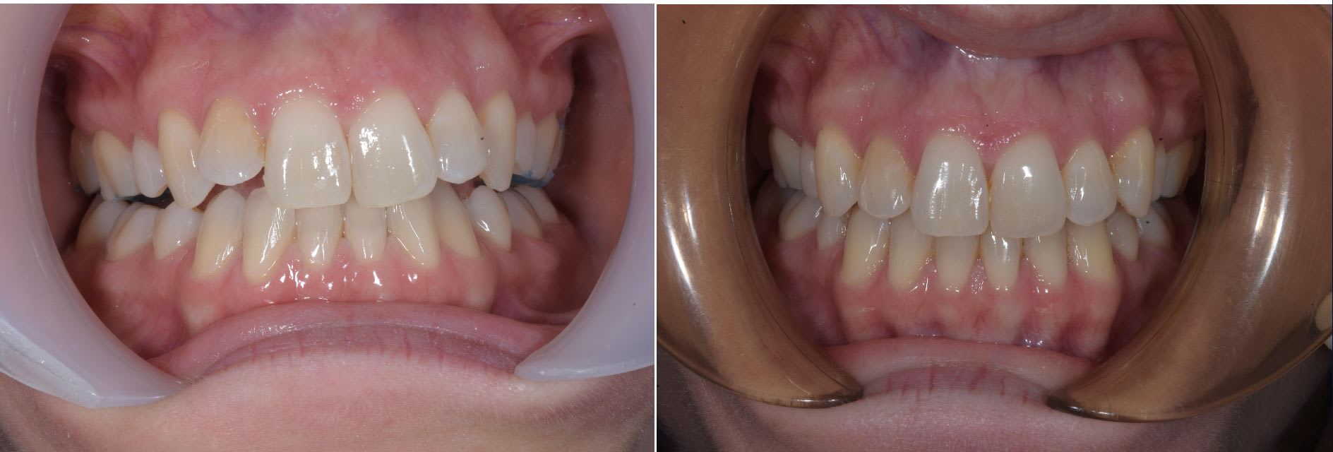
J’avais pas vu les photos en palatin mais la çà me parle plus .
J’ai l’impression que tu as mis un 018acier en arc principal et un 016 acier plie en arc secondaire . Je me trompe ?
Et apparemment la pliure appuie sur le bas du cingulum 22 ???
Tes pâtés jaunes sur les br , c’est quoi comme gel silicone?
Sinon j’ai entendu parler du système i-ttr de Rmo qui travaille aussi avec 2 arcs . Pas essayé mais why not ......


ken

05/12/2017 à 23h03

Pour façonner un arc niti on doit le brûler pour qu’il garde les plicatures sans retrouver sa mémoire .
Je crois que les deux arcs sont en niti .
Le plus gros est du 016 et l’autre est du 014 .
Sur la 22 l’arc de petite dimension a pris la forme d’un waren torque : forme intelligente pour corriger le torque de la latérale qui était lingualée.
Le composite de couleur différente c’est pour couvrir les ligatures métalliques et les bouts des fils tout en faisant la différence avec la couleur de la dent afin de l’enlever après sans porter préjudice au dents .


Gariane

05/12/2017 à 23h49

Je ne suis pas sure que ce soit du composite mais plutôt silicone car sur la photo 2 il n’y en a plus sur 15 et il y en a sur 23 .
Et pourquoi du niti recuit et pas directement de l’acier ?


1309531 ours brun n5iukf - Eugenol
seespan

06/12/2017 à 07h59

La pâte c'est le soft flow commercialisé par dentos , les même qui font le livre sur le lingual. Et oui c'est un gel siliconé.
Le fil de base est niti, le fil secondaire c'est 0.014 SS
@ Ken
Il y a plusieurs indication pour le traitement thermique d'un fil SS ou Niti mais juste pour le plier aucun traitement thermique n'est nécessaire. J'avais mis le lien vers de très bonne études sur le sujet sur un autre sujet récemment.

I-ttr Rmo j'avais regardé le design en vitesse ce matin et ça avait l'air interessant, mais ils ne l'on pas en stock ni sur le Vietnam ( pas surpris ) ni sur la Corée ( ça veut dire que personne ne l'a sur la zone Asie à priori ). Mais no soucie car après avoir regardé un peut mieux le bracket à deut défaut majeurs sure qui font que je ne l'utiliserait pas de toute façon. Pour l'usage du double file il y a aussi de sacré limitation

@ Gariane vous devinez les défauts ?



--
หมอจัดฟัน


Gariane

06/12/2017 à 08h32

Peut être que la distance entre les gorges est trop petite pour être assez efficace? Pas de ligatures et risque de sortie d’arc?
Pas d’experience En double fil alors je ne connais pas les limitations .


1309531 ours brun n5iukf - Eugenol
seespan

06/12/2017 à 14h22

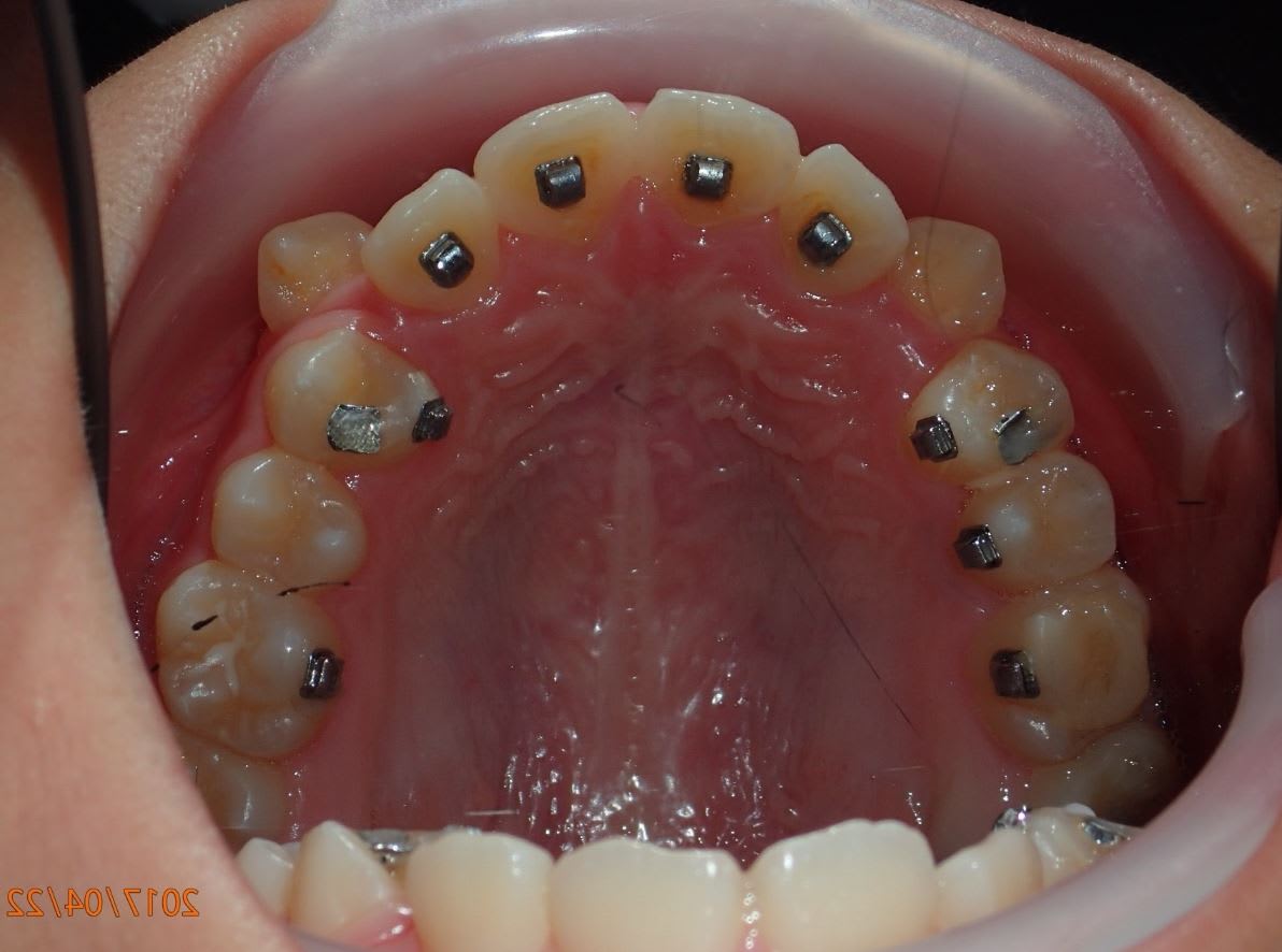
Si joint une photo d'une patient Japonaise traité par un dentiste Japonais sur PP, venue me voir en consulte suite à la fermeture du Cabinet.
Le type de bracket utilisé ici sont équivalent à ceux de RMO mais sans les doubles ( enfin triple slote ) .
Dans les deux cas la partie principal est un tube ce qui limite vos possibilité d'action. Pour vous rendre compte des limitation essayé de voir comment vous traiteriez un cas vestibulaire avec de telle bracket ?

- zero prescription dont toute l'information doit être transmise par pliage de fil. Seul soucie faire passer un fil avec pliage dans un tube ça peut poser soucie. C'est la raison pour laquelle l'on équipe habituellement seul la dent terminal avec un tube.

- Très compliqué d'utiliser des auxillaires.

En lingual vous rajouter le fait qu'un arc doit avoir des pliures assez importante. Déjà entre les PM et les Molaire il y a un pas. Vous faite comment pour enfiler un fil avec des angles de 6 à 6 , sachant que vous avez moins d'espaces entre les bracket ce qui se traduit par une rigidité plus important.

Pour les ROM comme soucie en plus de ceux citer il y a :

- le confort , le slot faible rétention haut et bas c'est du volume en plus et déjà avec les 2D les patients me sentent tout ce qu'on rajoute sur le modèle de base. Les patients sentent aussi le fil donc deux fil cela sera moins confortable.
- J'ai de gros doute que le slot faible rétention puisse tenir un arc par défaut. Un faire tenir un sera possible avec ligature par contre. D'après le site du fabricant ils veulent obtenir un contrôle de torque passif; c'est à dire le but n'est pas temps de torquer que d’empêcher la dent de perdre le torque initial. Seul soucie le pliage de file doit être assez compliquer car la forme d'arc change avec la hauteur vertical . Plus vous aller en appical et plus vous vous rapprocher d'une forme continue. Plus vous aller en occlusal plus la forme devient non courbe. Bref si vous prevoyer de plier avec Suresmile ok sinon passer son chemin.

En bref c'est plus compliqué à utiliser et moins confortable que la 2D .
--
หมอจัดฟัน

Lingual n7g2pv - Eugenol

Generique fraisage r2rxmm - Eugenol
lardonbis

06/12/2017 à 14h26

question con d'un non ortho :
y'a beaucoup de cas en lingual où on utilise qu'un arc ( à la fois :D ) et pas d’auxiliaires tout au long tu traitement?


1309531 ours brun n5iukf - Eugenol
seespan

06/12/2017 à 14h31

Auxiliaire c'est tout ce que tu met en plus du fil. Donc en particulier les chaînette elastomeric, les ligatures métallique ect.
Tout ça j'utilise avec les 2D et sans dire que c'est impossible avec un tube ça me semble très très compliqué à mettre en oeuvre, sauf l'arc pour torquer :-) , celui la je vois très bien comment l'utiliser avec des tubes.

Et que ça soit en lingual ou vestibulaire non il n' y a pas des tonne de cas ou l'on n'utilise pas auxiliaires.

--
หมอจัดฟัน


Generique fraisage r2rxmm - Eugenol
lardonbis

06/12/2017 à 14h35

pour tout te dires pour moi la linguale c'était avec les arcs nickels sortis des mimines du robot ou des main d'un plieur de génie. Donc un arc plein d'information et/ou des systèmes fermés.
Je découvre qu'on peu le faire à la mano tranquille.. ça me la coupe un peu :D


1309531 ours brun n5iukf - Eugenol
seespan

06/12/2017 à 14h53

Oui c'est du à l'histoire du linguale.

Les premier praticien travailler avec des process de laboratoire très basique comparé à ce que l'on à aujhourduit , ça plus bien sure l’absence du niti et quand il est apparue le faite que tout le monde pensé que l'on ne pouvait pas le plier.
Bref il fallait plier du SS et pas qu'un peut.
Jusqu'a incognito les orthodontiste n'avait accès qu'a des appareillage relativement inconfortable nécessitant une tonne de pliage pour les finitions. Tout les grand non de l'orthodontie lingual sont connue pour être des dieux du pliage.
Le dernier court que j'ai suivie sur Bangkok était donné par un orthodontiste exclusif lingual qui faisait lui même son labo depuis 20 ans. Vue qu'il avait un excellent contrôle du travail de laboratoire ( on est jamais mieux servis que par sois même ) il n'avait pas de tonne de pliage à faire. Plus bien entendue il savait depuis plusieurs années que le niti ça se plie très bien :-) .

Le labo de Chang mail m'envois avec chaque cas les fils préplié + le template . il m'arrive relativement fréquemment d'en plier un mois même ( besoin d'un truc speciale ) en suivant le schéma.

Pour les cas que je fais mois même je commence à plier au fauteuil .

Pour la 2D idou. Je fais une impression 3D pour les cas complet enfin d'avoir un guide pour plier. Je suppose qu'avec l'expérience l'on peut s'en passer, mais vue le prix de l'impression pas de raison de se priver, rien qu'en temps gagner au fauteuil c'est rentabilisé.


--
หมอจัดฟัน


ken

06/12/2017 à 17h47

Apparemment l’alternative avec le lingual marche très bien pour cette patiente qui avait demandée un avis sur eorthodontie suite à la proposition d’extraire selon l’un des ses orthos:

http://www.orthodontie-fr.com/modules/newbb/viewtopic.php?post_id=8598#forumpost8598


Gariane

07/12/2017 à 00h15

Bonsoir .
Mallheureusement je ne connais pas grand monde qui puisse «  le faire à la Mano tranquille « Le lingual c’est dur parcequ’on N’y voit rien, qu’on est plié en 4 , qu’on doit sans cesse calculer les actions-reactions , que c’est long , que les patients morflent et sont super exigeants .....
C’est pas si cool . C’est sûrement pour ça qu’y en a si peu qui en font .


Gariane

07/12/2017 à 00h24

Tu as raison seespan , cette histoire de double fil c’est compliqué . Trop pour moi sûrement . Je vais sans doute rester sur des petits 2D
Et me mettre aux gouttières pendant qq années ( avant de Me remettre à l’omni dans 5 ans quand l’ortho sera intégralement gérée par invisalign )
Mais la je crois que je prêche un convaincu ......et c’est un autre sujet .


1309531 ours brun n5iukf - Eugenol
seespan

07/12/2017 à 01h29

C'est pas tellement que l'usage du bracket double ou triple fil est compliqué, c'est surtout que je ne vois aucun avantage à ce genre de système.
Que ça soit au niveau coût, confort, ergonomie et résultat clinique.

Pour le lingual ça dépend quand même pas mal des méthode utilisé.
Niveau confort pour le patient les 2D c'est assez royal, c'est pour ça que je fais de plus en plus de full case avec. La semaine prochaine un cas de deep bite avec minivisse :-) .
Le patient est le roi et le patient veut du comfortable donc 2D whenever possible.

Mon premier cas de 2D au maxillaire je l'ai fait en collage direct et pliage de fil directement en bouche. Bon ça pas était simple, gros temps passé au fauteuil, traitement qui à duré 1 ans là ou six mois aurais du suffire.
Puis je me suis tourné vers l'option set up ( physique au début puis 3D ) comme pour un cas de lingual 3D avec collage indirect.
Et là tout d'un coup c'est allez beaucoup mieux.
Il y a aussi différent méthode pour travailler plus efficacement en bouche en lingual.

Pour invisalign no soucie, c'est déjà moins chère qu'un traitement classique au Japon et au US ( enfin pas partout au US ) mais le système à quand même de nombreuse limitation plus contrairement à ce que croit certain avec une vision court termiste niveau rentabilité c'est pas top.

Une des généraliste qui c'est lancé dans le lingual avait beaucoup investi dans invisalign. Et là elle à fait ses compte. Nombre de cas traité et cas traitable, prix du matos, temps passé au fauteuil, combien tu facture/ prix du labo, le fait que pas mal de clinique commence à faire de la pub pour invisalign ect.

Enfin bref elle c'est aperçut que la 2D avait une meilleur rentabilité et était plus " haut de gamme " que le plastique.
Rien de visible , pas besoin d'avoir une coopération du patient, aucune gène à l'élocution / alimentation.
Et bien entendue le faite que se former demande un certain temps et des connaissance en ortho. Donc tu ne risque pas de voir la clinique d'en face qui n'a même pas un dentiste formé à l'ortho ce mettre à le proposer ( ce qui est le cas avec invisalign )

Investie dans le future Gariane.


--
หมอจัดฟัน


1309531 ours brun n5iukf - Eugenol
seespan

07/12/2017 à 01h49

ken écrivait:
---
> Apparemment l’alternative avec le lingual marche très bien pour cette patiente
> qui avait demandée un avis sur eorthodontie suite à la proposition d’extraire
> selon l’un des ses orthos:
>
> http://www.orthodontie-fr.com/modules/newbb/viewtopic.php?post_id=8598#forumpost8598

Vestibulaire ou lingual ça ne change rien au niveau du plan de traitement. C'est juste que les deux appareillage demande des méthodes de travail différente mais les deux permettent d'arriver au même résultat.
--
หมอจัดฟัน


1309531 ours brun n5iukf - Eugenol
seespan

09/12/2017 à 13h05

Un petit cas sympa mais triste.
7 semaine de traitement actif , bon nivellement mais le patient doit rentrer au pays la semaine prochaine.
Dommage un traitement que j'aurais aimer finir.
Protocol habituel pour un cas complet. 3D set up, 3D printing, pré pliage du fil et collage indirect.
Le correspondant recevra la boite avec les model plié, un model de tracé du fil et le jeux de fil préplié.


--
หมอจัดฟัน

123 tzsvip - Eugenol
1233 ekfb0d - Eugenol
12333 wnumpb - Eugenol

Gariane

09/12/2017 à 20h42

Sympa pour le correspondant !
Je n’y connais rien en set up 3D et fais donc un peu de lingual simple de façon empirique . Je suppose que le 3 D te permet de déterminer où et de combien tu fais tes strippings et ta forme d’arcade car c’est vrai que sinon tu dois deviner ,et c’est la que ça se complique .
Mais bon , je fais avec les moyens du bord sur des cas simples


Gariane

09/12/2017 à 20h53

En utilisant mes moulages en plâtre , je peux avec peu de moyens : voir mes formes d’arcade , regler l’expansion de mes quad hélix et préparer mes cas de lingual 2D , ce que je ne peux pas faire avec des moulages informatisés sans logiciel de travail sur les modèles


1309531 ours brun n5iukf - Eugenol
seespan

10/12/2017 à 05h54

Déjà avec les modèle en plâtre tu peut faire une bonne partie du travail. Si c'est un cas inf je ne fais pas de set up car pas nécessaire IMO .
Pour la partie set up le must c'est de faire un set up physique sur articulateur ce que je fais pour les cas 3D ).
Pour faire un set up informatique pas besoin de matériel " vraiment " couteux , c'est à dire scanner et imprimante.
Tu as des société qui te scanne tes modèles pour des cout raisonnable , et pour l'impression vue qu'il ne s'agit pas de matériel destiné à aller en bouche tu peut passer par des imprimeurs classique. Ici tu doit juste imprimer les arcades donc en volume c'est pas grand chose. L'impression ça doit être 4 ou 5 euro grand max.
Le truc le plus chère serait le logiciel pour faire les set up mais même ça coûte pas un bras.

Pour les premier cas faire des set up physique vue que c'est mieux que digital. Voir ensuite si tu prévois suffisamment de cas et d'usage pour la 3D pour rentabiliser l'achat.

La 3D

- communication avec le patient pour montrer la situation initial et la situation final ( souvent une demande pour le lingual )
- diagnostique pour les cas compliqué
- réévaluation en cas de traitement
- Usage pour faire des aligneurs ( encore que plus je progresse avec la 3D et plus modifie mon modéle en plâtre pour faire un aligneur direct dessus )


--
หมอจัดฟัน


1309531 ours brun n5iukf - Eugenol
seespan

11/12/2017 à 14h50


Un petit cas simple collés ce matin.
Photopolymérisation en haut et chemopolymérisation en bas. Le labo n'avait pas assez de silicone transparent pour faire un tray pour le haut et le bas.
Résultat des courses c'est mois qui est fait le tray de transfert du bas au silicone double phase ce matin en 5 minutes chrono.

En bas les 5 et 6 on était collés directement en bouche vue qu'il fallait aller un peut sous la gencive.
Le pliage du fil c'est fait directement sur le modèle en plâtre avec une simple pince trois becs et à pris 2 minutes.
Le fil est plié pour être passif dans les secteur postérieurs et suit une la forme qu'aurais l'arcade sans encombrement mais 1 ou 2 mm plus en avant que la position des bracket. Pour deux raisons :

- un la longueur d-arcade avec encombrement et supérieur à la longueur d'arcade sans. Donc si vous faite un premier file suivant parfaitement le set up final il sera trop court en bouche
- vous vouler une action compressive du fil pour pousser les dents et réduire l'encombrement.

--
หมอจัดฟัน

Dsc 9235 hth1ut - Eugenol
Dsc 9236 wfmy8z - Eugenol

Generique fraisage r2rxmm - Eugenol
lardonbis

11/12/2017 à 14h56

ça va paraitre très con mais pourquoi pousser celles du bas ne suffit pas ? Elles finissent toujours par suivre celles du haut (malheureusement).


1309531 ours brun n5iukf - Eugenol
seespan

11/12/2017 à 15h02


Parce que tu veux qu'elles se poussent mais qu'elles soient alignées et droite :-) . Aussi si le traitement pouvait durer entre 3 et 6 mois et pas 1 ou 2 ans c'est mieux.

--
หมอจัดฟัน


Ce sujet est verrouillé

Les réponses à ce sujet sont désactivées