Cookie Consent byPrivacyPolicies.comDébuter en 2D Forestadent ou autre - Eugenol

Débuter en 2D Forestadent ou autre

Generique fraisage r2rxmm - Eugenol
lardonbis

11/12/2017 à 16h10

si tu factures pas au trimestre je peux rien pour toi mon vieux :D


1309531 ours brun n5iukf - Eugenol
seespan

12/12/2017 à 01h43

On ne facture au trimestre qu'en France chez les moins de 16 ans.
Ici il faut que le traitement aille plus vite possible.
Même avec les ado Français ça dépend. IL y a des mutuelles qui payent une somme globale sans se soucier de la durée.


--
หมอจัดฟัน


Gariane

17/12/2017 à 11h16

Petite vidéo pour illustrer les ittr


1309531 ours brun n5iukf - Eugenol
seespan

17/12/2017 à 11h36

Ca me parait quand même très casse gueule comme technique.
Voir à l'usage.
C'est le soucie avec les présentation tu ne vois que des cas réussit par des praticiens qui maitrise le système.
Mon soucie principale dans ce que je vois c'est le confort. Double fil ça veut dire plus de volume en bouche.
La semaine derniére j'ai coller des 2D haut et bas au directeur de mon hopital sachant qu'il doit donner des conférences dans 3 semaines. Je n'aurais jamais fais ça avec un autre systéme . Incognito et win inclue.
J'ai aussi revue une patiente pour la visite de contrôle à une semaine post post, elle se plaignait ( enfin non elle ne se plaignait pas mais m'a fait mention ) d'un léger zozotement. Honnêtement je n'entendais rien. J'ai mis un peut de gel siliconé sur les braket à ça a était finie.

En soucie secondaire c'est le fait d'avoir à plier deux fil différents et gérer les effets. Le cout matériel c'est une chose mais un autre aspect important c'est le temps passé au fauteuil. Si ça augmente trop il devient plus rentable de travailler avec un autre système .

De toute façon je ne peut pas essayer aucun de leur distributeur en Asie ne les a en stock .

--
หมอจัดฟัน


Gariane

18/12/2017 à 23h04

En 2 D , Mes patients se plaignent aussi au début de quelques zozottements mais ça a l’air de leur passer assez vite et ils sont contents du confort .
Mais j’ai remarqué que souvent , leur exigence s’accroit au cours du traitement ( ils s’observent plus et affûtent leur regard ) et demandent plus à la fin qu’au début , alors méfiance maintenant des le départ .
Ittr :ça a l’air effectivement assez compliqué donc chronophage donc mieux vaut autre technique .
Mon cas de torque de 12 avec 2 fils commence mal :la patiente souffre ++
J’ai du y aller trop fort avec mon 014 acier . Un 012 acier suffirait il ou plutôt 014 Titane Molybdene


1309531 ours brun n5iukf - Eugenol
seespan

19/12/2017 à 01h50

Pour le double arque un SS 16 en arque de base c'est peut être plus prudent :-) .
Pour la boucle 14 ça à très bien marché pour mon cas mais 12 devrait aussi faire l'affaire. Une dent ça bouge avec 15 g et méchaniquement un TMA ne devrait pas se comporter différemment d'un SS à ce niveau
Les douleurs par contre ça ça n'est pas normal. Une fois la boucle en place tu peut vérifier la force en la soulevent mais ça ne doit pas être plus inconfortable pour le patient qu'un ressort en vestibulaire.

Attention au niveau méchanique, la dent va vouloir partir en vestibulaire donc avec un SS 14 en arque de base j'aurais fait une pliure en palatin pour compenser cette effets.

La force exercé vas aussi être fonction des dimension de la boucle. Plus elle est grosse plus la force est légère.


--
หมอจัดฟัน


1309531 ours brun n5iukf - Eugenol
seespan

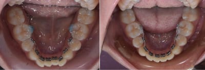
19/12/2017 à 01h57

Et le résultat après trois mois.
Très content hier car j'ai envoyé les même photo au Pr Hee Moon Kyung avec qui j'avait eu auparvant des discussion sur les moyens possible pour torquer des dent avec les 2D. Un ortho Coréen fait ça avec une combinaison de 2D et d'aligner . Il m'a félicité pour cette technique.
Le truc marrant c'est que c'est lui qui m'avait donné l'idée quand j'était en master. Son livre décrit l'utilisation de bracket double slot horizontal et un slot vertical. Le slot vertical étant utilisé pour tipper la dent en mésial ou distal avec l'utilisation de ressort. Je me disait que si l'on pouvait avoir l'équivalent pour le torque cela saurait bien pratique :-)
A ma connaissance je suis le premier à avoir procédé de la sorte, au moins avec des 2D.


--
หมอจัดฟัน

Torquing vscx5o - Eugenol
Torquing2 zfj0io - Eugenol

Gariane

19/12/2017 à 07h42

Pourquoi dis tu que les douleurs ça n’est pas normal ? Moi la plupart de mes patients ont un peu mal pendant 2/3 jours après leur RV . La je trouve moi que ce qui n’est pas normal , c’est Qu’elle souffre beaucoup .
J’ai pourtant soulevé la boucle en bouche comme tu dis mais visiblement c’est encore trop .
Pour moi , le tma est plus souple que l’acier et permet d’exercer une force moindre pour la même déformation c’est pourquoi je pensais à cet alliage pour ma boucle .


1309531 ours brun n5iukf - Eugenol
seespan

24/12/2017 à 07h05

Et le suivi du patient collé il y a trois semaine. Je l'avais posté sur ce fil

https://www.eugenol.com/sujets/419256-alternative-a-invisalign-2d-et-autre?page=2#lg=1&slide=0

Grosse plainte de la patiente car les dents on fait mal, le soft flow est tombé et elle n'aime pas les cales de surocclusion.
j'ai du lui expliquer gentiment qu'en vestibulaire ça aurait était la même chose en moins confortable, des limitations au niveau de l'alimentation et une hygiène plus dure à maintenir.

--
หมอจัดฟัน

2d1 skkkd4 - Eugenol
2d2 dd0noz - Eugenol

1309531 ours brun n5iukf - Eugenol
seespan

25/12/2017 à 06h42

Ma patiente revue une dixaine de jours après la pose du niti 18 en haut et niti 16 en bas.
Elle repart en Europe se soir avec les impression 3D et le fil préplier.
Je dois dire que pour 9 semaine de traitement pas de quoi avoir honte , et je doute que ça eu était meilleur avec invisalign


--
หมอจัดฟัน

B1 pebzol - Eugenol
B2 m0di8x - Eugenol
B3 jy6gqx - Eugenol

1309531 ours brun n5iukf - Eugenol
seespan

25/12/2017 à 06h45

Patiente vue un mois après la pose pour poser du soft flow.
J'avais prévue de la voir dans deux semaine mais les rotations se sont tellement bien corrigé que je la verrais pour repositionner les bracket en fin de semaine.
Une des demandes était la différence de niveau entre 12 13 et le reste de l'arcade.
Vous pouvait constater que le nivellement marche très bien avec mon fil initial.
Niti 14 en haut et niti 12 en bas


--
หมอจัดฟัน

T1 ltlac9 - Eugenol
T2 anytq9 - Eugenol
T3 ijsqqw - Eugenol

1309531 ours brun n5iukf - Eugenol
seespan

04/01/2018 à 07h02

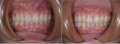
Un petit cas tout simple.
4 mois de traitement, Deux files et pour finir je vais faire deux aligneur sur le set up final ( technique ou l'on fait un aligneur de faible rigidité suivit d'un plus rigide ) .
Cout du matériel bracket/ set up imprimée / aligneur en dessous de 100$ .

--
หมอจัดฟัน

Hr2 c7wuql - Eugenol
Hr1 mesulp - Eugenol

1309531 ours brun n5iukf - Eugenol
seespan

10/01/2018 à 15h16

Un petit cas qui montre bien le coté pratique des 2D au niveau de la mise en oeuvre comparé à un appareillage 3D.
Patient qui n'arrivait pas à parler correctement après près de 4 mois avec des 3D. Lui ça ne le dérangé pas trop mais mois si .
Mécaniquement le haut je pense pouvoir traiter avec des 2D sans soucis.
1 retirer l'appareillage en haut, nettoyer prendre une empreinte à l'alginate
2 Couler le plâtre et mettre une couche de séparateur
3 collage indirect chez mois dans la soirée
4 réalisation du tray de transfert le lendemain matin au Cab ( 5 grosse minutes )
5 collage dans l'après midi entre deux patients ;

Si j'avais voulue changer l'appareillage avec un autre systéme ça aurait était :

1 discuter avec le patient pour lui expliquer qu'il y allait avoir un surcout
2 enlever l'appareillage prendre une emreinte double phase silicone ou scann 3D si vous avez une machine compatible
3 empreinte alginate pour une gouttiére plastique ( oui car le temps que vous receviez le matériel les dents vont bouger ...
4 collage en bouche quelque semaine plus tard
5 croisé les doigts très fort pour que le patient n'ai pas de soucie avec le nouveau matériel.

Bref les 2D permettent une flexibilité et réactivité qui est unique parmis les techniques en lingual et ça a très bas cout.


--
หมอจัดฟัน

1 1 z5yt1u - Eugenol
1 2 gjmpyo - Eugenol
1 3 rqb1s4 - Eugenol
1 7 g5bpab - Eugenol
1 8 ecjvmd - Eugenol
1 9 ap58xd - Eugenol

Generique fraisage r2rxmm - Eugenol
lardonbis

10/01/2018 à 15h28

ok mais si il mange du saucisson il se passe quoi ?

sinon c'est vraiment sympa comme technique.
Par contre les cales en postérieure j'ai jamais compris comment on pouvait infliger ça à ses semblables :D


1309531 ours brun n5iukf - Eugenol
seespan

10/01/2018 à 15h35

Il peut manger ce qu'il veut avec les 2D, c'est quasi indécollable.
Les cales en postérieurs c'est souvent necessaire en lingual comme en vestibulaire ou même avec invisalign.
--
หมอจัดฟัน


Generique fraisage r2rxmm - Eugenol
lardonbis

10/01/2018 à 15h51

seespan écrivait:
-------

> Les cales en postérieurs c'est souvent necessaire

c'est vache comme truc. on mange des artichauts vers chez toi ? :D


1309531 ours brun n5iukf - Eugenol
seespan

11/01/2018 à 00h45

Les cales c'est habituellement pas un soucies que ça soit en vestibulaire ou lingual. Ca gène plus les adultes car ils sont habitué à leur occlusion contrairement au enfant ado et le moindre changement les fait ticker.
En lingual c'est souvent necessaire pour éviter que le patient ne te morde sur les bracket si il un deepbite avec un faible overjet.
Ca reste tout de même une faible source de plainte, a part en 2D ou c'est à peut près la seul vue que l'appareillage luis même ne pose pas de soucie.


--
หมอจัดฟัน


1309531 ours brun n5iukf - Eugenol
seespan

11/01/2018 à 14h09

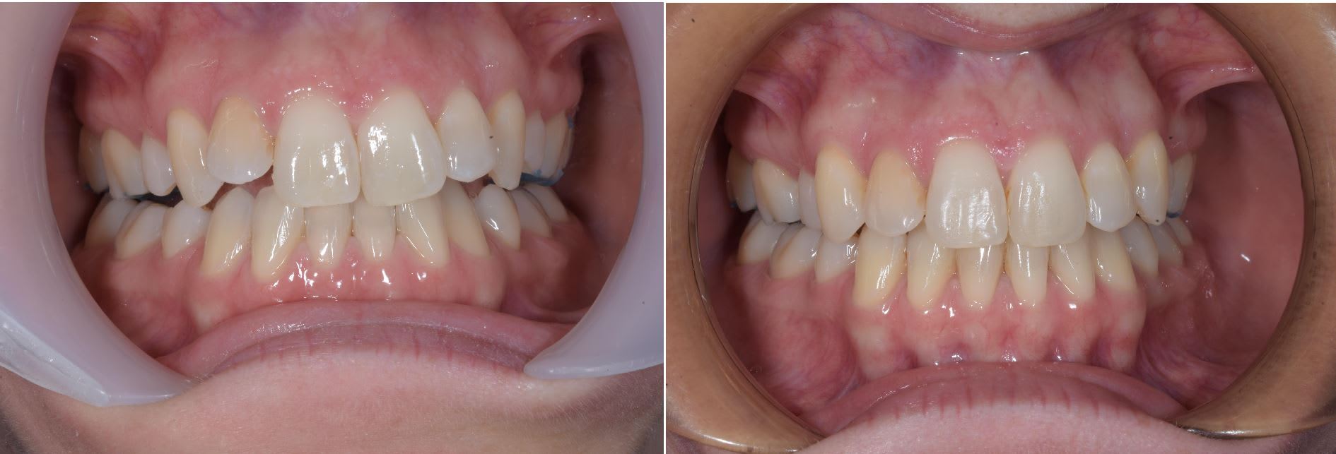
Et mon très probable nouveau cas 2D.
Patient accompagnant un autre patient, en discutant je remarque l'encombrement antérieur mandibulaire et mentionne l'ortho pour lui.
' je suis trop vieux pour des bagues " , je lui explique que le lingual existe, pano, examen.

Il est très tenté par le lingual mais n'est pas sure de vouloir commencer la semaine prochaine, no soucie je prend une simple empreinte alginate et met un rendez vous entre deux patients la semaine d'après. Si il souhaite faire le traitement il doit me confirmer 48 heure avant.
Collage indirect sur les modéle en plâtre en 20 minutes, 5 minutes pour le trays de transfert, 1 minute pour plier le premier fil sur le modéle en plâtre.
Côut du matos endessous de 200$

Aucun autre système lingual n'offre cette réactivité :-)

En ce moment nos amis US/ Canada sont tout exicté avec un nouveau système lingual " Low cost " . Enfin faut compter plus de 1000$ de matos , attendre plusieurs semaine après l'envois des empreintes ' double phase silicone of course ) et si tu as le moindre soucies il faut gérer ça avec le labo pour qu'il t'envois un autre fil. Les fil en question sont en niti avec des boucles ce qui veut dire qu'en plus c'est inmodifiable en cas de pépins...
Ha oui et ils sont tous fiers de traité en six mois sans finition des cas plus simple que ce que je fais avec des 2D.
Y a pas à dire Invisalign les à bien bien flingué...
--
หมอจัดฟัน

P1110384 eaausw - Eugenol
P1110385 bpwnpe - Eugenol
P1110386 ygqhne - Eugenol
P1110387 nfx7bc - Eugenol
P1110388 hucsmc - Eugenol

1309531 ours brun n5iukf - Eugenol
seespan

12/01/2018 à 01h49


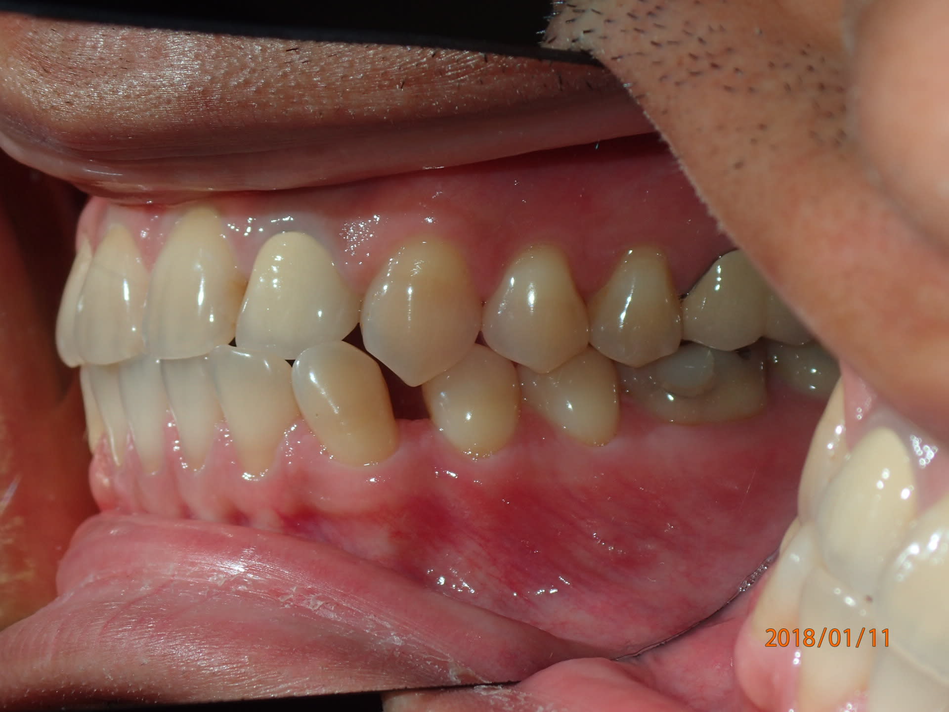
Et un cas commencé par un généraliste dans mon hopital.
Celuis présenté en début de fil avec le patient edge to edeg.
Ici je n'ai strictement rien fait même pas controler la position des bracket sur le modéle en plâtre ou aider pour plier le fil.
Pas de set up 3D imprimé pour ce cas.
Juste indiquer de commencer par aligner le haut pour creer un overjet.
Un mois avec les bague et bonne proclination alignement .
La photo initial n'est pas la mienne je précise.
Comme d'hab la patiente ( une assistante ) ne sens rien et n'a aucun problème pour parler.


--
หมอจัดฟัน

Gp fpj45b - Eugenol

1309531 ours brun n5iukf - Eugenol
seespan

13/01/2018 à 14h04

Bonne et mauvaise nouvelle.
La mauvaise il faut compter encore près de deux mois pour recevoir les deux scanner intra oral que je compter utiliser pour scanner en bouche avec les bracket 2D.
La bonne nouvelle le scanner à plâtre de l'hosto fait ça très bien ( j'ai scanner le modéle de démonstration Forstadent ) donc je n'utiliserait probablement le scan intra oral de toute façon .
Collage indirect sur le modéle et plâtre, puis scan au labo , niveau workflow c'est plus simple.

L'utilisation du scan intra oral fait plus cool, mais faire plus cool c'est pas toujours l'option la plus effiace.


--
หมอจัดฟัน

Scan xlcdsa - Eugenol

Gariane

13/01/2018 à 23h28

Pourquoi veux- tu scanner ton modèle avec tes brackets dessus? Tu reprends le moulage du début de traitement ?


1309531 ours brun n5iukf - Eugenol
seespan

14/01/2018 à 02h23

Pour l'instand je faisait un scan avec les moulages initiaux et m'en servait de guide pour plier les fil.
Maintenant je vais coller les bracket sur les modéles en plâtre puis scanner pour le set up.
J'aurais donc un set up imprimer avec les brackets . Beaucoup plus simple pour plier le fil.


--
หมอจัดฟัน


Gariane

19/01/2018 à 20h57

Je confirme les mises en garde de seespan : le 2D : très bien pour le bas , mais beaucoup plus casse - gueule en haut car les finitions sont difficiles , à moins de finir avec des gouttières , mais ça perd de son intérêt.


1309531 ours brun n5iukf - Eugenol
seespan

20/01/2018 à 00h09

Yes vue que le slot est rond et énorme les finitions sont plus dure, surtout que c'est déjà souvent pas évident avec des systèmes 3D
Pour les gouttiéres pas tellement un soucie car je fais une phase de contention dans tout les cas.


--
หมอจัดฟัน


1309531 ours brun n5iukf - Eugenol
seespan

22/01/2018 à 15h20

Et mon premier cas ou j'ai commencé par coller les bracket sur le modéle en plâtre, puis j'ai scanner pour faire le set up final avec les bracket.
Très sympa pour plier le fil et la réalisation du set up ma montré que même en positionnant les brackets en indirect, à la fin du set up le fil n'est pas droit. L'avantage c'est que plier le fil n'est pas très compliqué sur un model 3D.
Et mon hopital vient de recevoir les 2 scanner intra oral dental wing, j'en ai essayé un en vitesse au labo sur un modéle en plâtre et ça semble sympa ( mais une empreinte aliginate c'est quand même plus rapide ) . J'en teste un demain sur un patient qui à déjà les 2D en bouche.


--
หมอจัดฟัน

Brau5 dwixuu - Eugenol
Brau2 ifjrid - Eugenol
Dsc 1748 ksx3oz - Eugenol
Dsc 1716 kguxzb - Eugenol

Ce sujet est verrouillé

Les réponses à ce sujet sont désactivées