Cookie Consent byPrivacyPolicies.comLa sécu dévoile enfin son projet diabolique 🙃🤕🤒 - Eugenol

La sécu dévoile enfin son projet diabolique 🙃🤕🤒

mr smith

25/02/2018 à 10h26

GéPé écrivait:
----
> Vous vous calmez un peu ?
> Si ils réussissent à nous diviser, c'est la fin.

HAHAHA , la seule union dentaire que je connaisse c'est le mariage de 2 confrères ;o)))


carident

25/02/2018 à 10h46

zazamouk écrivait:
--------
> carident écrivait:
> --------
>
> > Non vraiment, j'imagine le patient à qui l'on tend le miroir à la fin de la
> > séance, pour qu'il contemple le soin que l'on vient de lui prodiguer, la
> > prothèse que l'on vient de lui poser... Ce mélange de satisfaction, et de
> > fierté, en voyant son patient le regard hagard, devant cette œuvre métallique,
> > et l'entendre dire : "Merci docteur, vous m'avez rendu le sourire... euh la
> > mastication". Quelle félicité, que dis-je, quelle griserie!
> > Ça fait du bien de rentrer chez soit le soir, avec la satisfaction du travail
> > bien fait.
>
> Et si le patient ne peut pas se payer une céram à 600€ sur sa 17, tu ne lui fais
> rien?
> Ou alors tu poses quand même une horrible couronne métallique?
>

Je poses 3 à 5 couronnes métallique par an... C'est même fort possible que ça soit moins que 3 par an.

Ma CCM est moins cher que ça! A 600, je fais une céramo-céramique stratifiée... :-)))

Ce qui coute le plus cher, c'est surtout le temps que l'on prend pour expliquer, et pour bien faire les choses : faire en sorte que la couronne soit bien réalisée et surtout bien adaptée au support...
Après, les frais de labo entre une métallique et une céram sont si faibles que ça ne me dérange pas de faire une remise sur le prix de ma céram pour que le patient ait au final une solution qui lui fasse plaisir à la fois à lui et à moi.


Le Rosbif

25/02/2018 à 10h49

Casa,

Comme a dit Carident, pourquoi en ne peut pas avoir le choix? Bien sûr un retraité qui ne gagne pas bien de retrait va avoir plus du mal que quelqu’un qui travail beaucoup et qui gagne bien la vie.

On est pas les monstres! Donc pour ces gens la tu adapt le dentisterie a un type approprié. Mais pourquoi empêcher une dentiste qui a envie de faire autrement a une patient qui aussi a envie de faire autrement?

(Et juste pour s’échapper de la moule dans laquelle tu m’as mis, j’ai une patient que j’ai vu récemment, une gentil vieux damme qui a perdu son marie et qui vie seule, pour laquelle j’ai posé des implants gratuitement.)


carident

25/02/2018 à 11h00

Le Rosbif écrivait:
---------

> (Et juste pour s’échapper de la moule dans laquelle tu m’as mis, j’ai une
> patient que j’ai vu récemment, une gentil vieux damme qui a perdu son marie et
> qui vie seule, pour laquelle j’ai posé des implants gratuitement.)

C'est cela le pire... Je suis sûre que beaucoup d'entre nous font plus de sociale que casa et hokusai réunis, qui s'élèvent en chantre de la "dentisterie sociale".

Parce que si tu es humain, et qu'en temps que bon praticien tu as de l'empathie, rien ne t'empêche de t'adapter face à des situations singulières... Mais encore faut-il en avoir les moyens.
Lorsqu'on sera pris à la gorge parce que les plafonds ne nous permettront pas de couvrir nos charges, nous n'auront plus cette possibilité.


carident

25/02/2018 à 11h20

casa écrivait:
----
> Merde A2 , ça n'existe plus .. pauvre de moi ! c'est quoi les nouveaux code A
> 2.1 et je retiens 3 ... punaise on invente de ces trucs pour vendre du vent ...

Que d'idée préconçues... Ce qui est nouveau n'est pas forcément pour vendre du vent, et en plus de ça, cela fait des année que ça existe! :-)))

Pour faire simple, c'est comme si tu compares deux boites de crayons de couleur ; 29 crayons de couleur, c'est mieux que 16, non? ;-)


Vw campersurfvan bmnk1q - Eugenol
enlaye

25/02/2018 à 11h39

Casa , des travaux que l on a vu de Carident , c est reflechi et tres tres propre .
Laisses lui la foi de faire bien pour le bien des gens . On a besoin de cet espoir , besoin de croire que l on apporte quelque chose d unique de notre personne .
En plus , le Carident , il doit en chier dans ses quartiers de misere , de grisaille , de manque de sourires , de bruits incessants : rester la bas ,ce n est pas faire du social ? Il merite quand meme de se faire un peu plaisir , non ?.


Hok 1b hgd3rj - Eugenol
Hokusai

25/02/2018 à 11h51

carident écrivait:
--------
> Le soucis depuis le départ est que casa et toi, vous appelez de vos vœux des
> plafonnements pour TOUS, afin que TOUS les dentistes soient condamnés à
> travailler comme vous... Et pourquoi?
> La jalousie? La frustration de ne pas pouvoir pratiquer la dentisterie que vous
> auriez voulu faire? Si moi je ne peux faire une 7 en céramique à mes patients,
> alors il ne faut pas que les autres dentistes le puissent ou le fassent... C'est
> pathétique!

T'es vraiment taré, j'ai jamais écrit une chose pareille.
Faut pas te prendre pour une victime comme ça...
Je suis pour la fin des tarifs reglementés, pour la fin du numerus clausus et pour le controle qualité. Apres chacun fait comme il veut.
Et sur le devis, l'origine: chine, ils le prennent comment tes patients? ;)
Soit franc une seconde... c'est pas noté sur ton devis.
C'est la chose qui me fait le plus marrer... le reste tu fais bien ce que tu veux, tu peux meme voir ta mamie 10x sur 6 mois pour sa dent si ca te chante et lui présenter le miroir pour qu'elle admire la face occlusale de sa 18... en effet c'est passionnant, des moments qui comblent toute une vie.



>C'est cela le pire... Je suis sûre que beaucoup d'entre
>nous font plus de sociale que casa et hokusai réunis, qui
>s'élèvent en chantre de la "dentisterie sociale".

Et la c'est le proces d'intention...
Non sans déconner, faut arrêter le délire.
Par contre meme si ca te fait bien chier, prepare toi a quelque chose tres proche du RA, l' UD et la CNSD sont ok avec les propositions de l UNCAM.


Dprtmuluo7sk4wxn8aabgsxy7sde - Eugenol
Pervers Pépère

25/02/2018 à 11h53

Moi j'ai du mal à comprendre ces pages et pages de verbiage, de frittage et de branlette intello (ben oui, pervers, quand même) et de prosélytisme (pervers mais culturé) .

Vous faites ce que que vous voulez dans votre cabinet, vous êtes satisfaits et fiers de votre travail, c'est parfait.

Pourquoi vouloir à tout prix essayer (sans y parvenir) de convaincre l'autre que ce que vous faites est mieux que l'autre, chacun sa manière de bosser, l'important est que vos patients soient contents de vous que vous fassiez du chinois, du parisien, voire du marseillais, on s'en fout.

C'est super chiant ce truc d'avoir raison à tout prix et de refaire un débat Mélanchon-Le Pen.

Sur ce m'en va écouter la zic, ça adoucit les mœurs.

Putain, revieeeeeeeeeeeeeeeeeeeeens Titine !

Au moins on se marrait.
--
Su-Père Pervers


Orezza gazeuse verre litre ocoxey - Eugenol
casa

25/02/2018 à 13h20

Tiens je vais aller mater "36 nuances de blancs" , moi . Autant de c.... à lire , ça me saoule ! Bonne après-midi , messieurs les censeurs !


Orezza gazeuse verre litre ocoxey - Eugenol
casa

25/02/2018 à 14h01

Bon je reviens et j'ai tout relu avec attention ! ton idée Carident du choix du mode d'exercice me convient parfaitement ! Ok des dentistes conventionnés RAC0 et les autres .. mais justement , comment vois tu les remboursements pour les autres : Soins , prothèses ? tarifs libres sur tout ? basés sur quels remboursement ? ça n'existe pas déjà ? ? ?
Malsaine , moralisatrice , frustrée , envieuse , jalouse ... et perverse , non ?



dedent

25/02/2018 à 18h10

Bien triste tout ce verbiage.

La question qui reste entière est pourquoi notre profession n'est pas plus forte et résistante.

Certainement parce que beaucoup savent s'adapter et c'est une constante dans notre profession( pendant que je fais grève, mes collègues essaient de me piquer mes meilleurs patients).

Par exemple, carident qui trouve que s' il y a50 ou 60% de cabinets à Racz , cela permet de laisser les autres tranquilles.
J' avais déjà lu que tous les cabinets dentaires n'avaient pas besoin de satisfaire aux exigences pour handicapés , il suffit qu'il y en ait un dans le quartier comme chez moi par exemple. Mon voisin a un cabinet ultra moderne mais sans accès handicapés.

J'ai eu cette semaine sous les yeux un devis pour un bridge 3 dents d'un centre mutualiste qui préconise 2 TFM sur des dents vivantes peu délabrées et dans l'axe.
Un éminent confrère de Bordeaux avait déjà dévitalisé toutes les dents de 4 à 7 d'une jeune femme
de 30 ans en lui proposant TFM et CCM sachant que le racz mutuelle fonctionnait.
Les endos étaient parfaites et le cabinet dentaire, le discours merveilleux de modernité.

Pas loin de chez moi, un low cost qui n'a rien fait de mal ferme et le second qui a des casseroles juridiques continue à travailler ( merci les frères).

Enfin, une consoeur de 40 ans met la clé sous la porte car elle ne s'en sort pas alors qu'elle posait son premier implant il y a 2 ans.

Je me sens las de cette profession (85% tiennent la route d'après mon président local de l'ordre).

Oui , oui beaucoup s'en sortiront, d'autres planqueront et d'autres couleront mais la morale va en prendre encore un petit coup mais cela va dans le sens général où le glissement vers la malhonnêteté
progresse régulièrement. Il parait que c'est cela l'adaptation.



croc1765

25/02/2018 à 20h20

Ce post montre une fois de plus le manque de cohésion entre praticiens
Cette volonté du racz nous ramène q la la dentisterie des années 70 c'est affligeant de parler de dent en métal à l'époque Du numérique ou devrait se généraliser l'empreinte optique et uniquement couronne ceramo céramique


Hok 1b hgd3rj - Eugenol
Hokusai

25/02/2018 à 21h05

croc1765 écrivait:
--------
> c'est
> affligeant de parler de dent en métal à l'époque Du numérique ou devrait se
> généraliser l'empreinte optique et uniquement couronne ceramo céramique

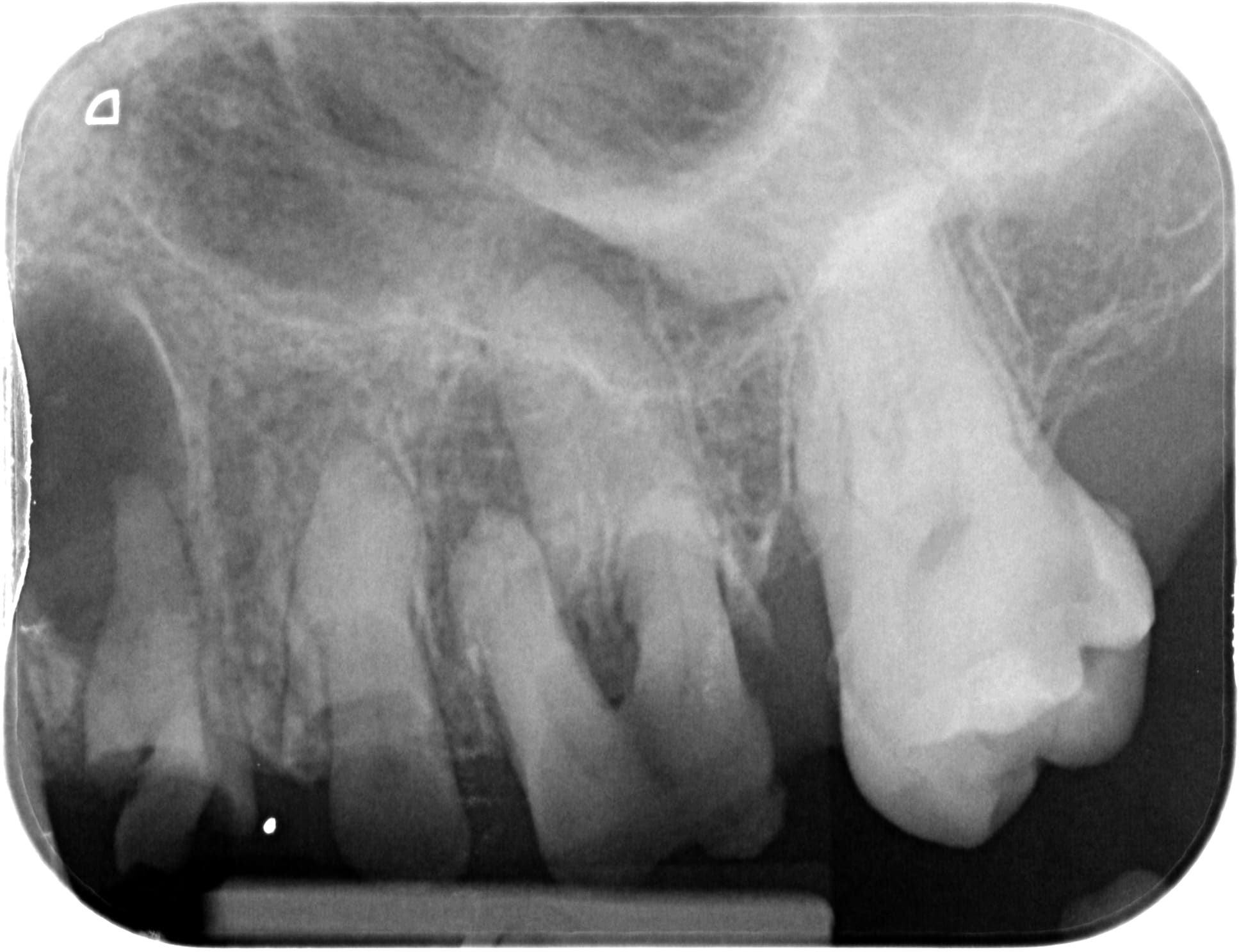
C'est exactement ce que je me suis dit ce samedi matin devant ce nouveau patient, homme de 37 ans, tabagique, chauffeur livreur.
Je me suis dit, le plus important c'est l'esthétisme avancé de la ccc... vraiment c'était primordial. C'est même affligeant de proposer autre chose et je conchie les dentistes qui travaillent d'une autre manière ;)

Meme si ce n'est pas votre patientèle, ayez un minimum de raison avant de juger le travail de vos confrères qui peut être différent du votre.

Je suis littéralement ravi pour vous si votre patientèle est compatible avec les traitements les plus esthétiques et les plus onéreux...
Mais par pitié, arrêtez votre condescendance vis a vis de ceux qui reçoivent le tout venant et qui jonglent entre une CCAM absconse et des moyens financiers limités. Apres promis, j'écoute vos doléances...

Carident... tu crois que je vais lui tendre le miroir apres avoir plombé sa 27 ??? ;))
J ai besoin de l avis de l esthète... tu crois que j arriverais a dormir si je lui sculte pas de sillons secondaires ??

653 x 20151028 160721 xbfwxobs3qk 3 mtdrtm - Eugenol
653 x 20151028 160758 xtdhtg6jamdu 4 zzkvcz - Eugenol
653 x 20151028 160849 xkomh7juxdr 3 tqzqzw - Eugenol
653 x 20151028 160922 xzhhiuydpvfs 3 kc197j - Eugenol
653 x 20151218 100112 xugbdlrcmxp 3 jsm1ct - Eugenol

croc1765

25/02/2018 à 22h02

Jolis ai
Il n'y a aucune condescendance de ma part je veux juste dire qu'aujourd'hui a l'heure du numérique on soit amener à poser des couronnes en métal c'est hallucinant je ne met aucunement en causes les praticiens qui le font mais le fait qu'ils soient amener à le faire
Ceci n'est qu'une constatation
Nous avons des outils pour une dentisterie du 21 eme siècle mais on va etre anener à réaliser une dentisterie du passé


zazamouk

25/02/2018 à 22h06

Tes patients ressemblent étrangement aux miens...

Et comme toujours ça va se finir en avulsions multiples, devis pour paro-implanto et stellite... avec un peu de chance il reviendra pour se faire mettre un compo a3.5 sur une incisive.
Il disparait pendant 3-4 ans car le reste à charge après sécu-mutuel est énorme, et quand il revient c'est pour une fracture d'une de ces incisives (ça se voit un peu docteur, faut faire quelques chose !!)

Les RACZ sera passé et on pourra lui faire un beau complet résine en A2 ;))

De toute façon, c'est de famille, on a tous des mauvaises dents ...

Je le redis, la sécu nous prends pour des cons et doit bien se marrer en voyant les syndicats se battre sur les chiffres débiles qu'elle donne (je suis sur que leurs tarifs sont le fruit du hasard!!)
Ils vont nous balancer quelques cacahuètes sur la prévention (BBD 3 ans et 21 ans), remonter de 10e des plafonds, mettre 2/3€ sur quelques soins et hop signature et on est reparti pour 5 ans.... :((


Generique fraisage r2rxmm - Eugenol
lardonbis

26/02/2018 à 09h34

@hokusai : c'est pas la métal qui me dérange c'est que ce soit le système qui la prescrive à l'aveugle.
Dire que le prat ou le patient garde la liberté de faire de la ceram ça devient vite théorique avec ce genre de montage. Pour avoir travaillé en centre je t'assure que c'est assez confort de t'adosser sur ce genre de limitation: tu parles pas tu fraise, et métal direct ça fait gagner plus de rond que ceram + devis + parlote.
tu vas voir, la pente est glissante :D


Capture d  cran 2015 03 12 12.28 - Eugenol
chicot29

26/02/2018 à 11h08

dedent écrivait:
------


> notre profession( pendant que je fais grève, mes collègues essaient de me piquer
> mes meilleurs patients).
>

Définition du "meilleur patient" SVP.


Generique fraisage r2rxmm - Eugenol
lardonbis

26/02/2018 à 11h17

chicot29 écrivait:
--------

>
> Définition du "meilleur patient" SVP.


ceux qui t’amènent de la bouffe à chaque RDV bien sur. Ou qui t'invitent à la palombière.
Si on me les pique ça va chier !


Orezza gazeuse verre litre ocoxey - Eugenol
casa

26/02/2018 à 11h47

Des comme ça j'en 2 ou 3 par semaine (vu à l'instant ) ... Petite question : quel âge à ce patient ? Deuxième question à Carident et à quelques autres, quel est le montant de votre plan de traitement ? ( je ne demande pas le détail )(@ lardon , la 15 en métal , marqueur social ? ) .. troisième question : pensez vous que ce patient a la mutuelle adéquate à son état dentaire et enfin : pensez-vous que ce patient serait mieux pris en charge grâce au RAC 0 ? On va faire dans le concret de pas mal de cabinet dentaire ....
Petit aparté, j'ai reçu la lettre de FSDL avec ses propositions:La cgt avec la SNCF, a côté se sont des rigolos ... et je ne parle pas de l'édito où Mr Solera revient en arrière durant les 3/4 du texte: très constructif ....

2018 02 12 uin5cw - Eugenol

P2eqdh3csim6s7nb09ktdq3e7ev8 - Eugenol
barbabapat

26/02/2018 à 11h55

Pour l'age, c'est pas pour l'expulser, mais c'est impossible à dire par rapport à la radio. Au delà de 18 ans, c'est certain, tu ne sera pas arrêté pour détournement de mineur.

Puisque tu en parles, ca doit être la trentaine. Il a eut différentes extractions réalisées au cour du temps et à abandonné déjà les soins en cours de route.

C'est bien pour cela que c'est impossible de parler de devis et de tarifs, puisque quelque soit le devis, les probabilités d'arriver au bout du plan de traitement sont faible et il abandonnera bien avant les prothèses sur des soins opposables ce qui montre que le tarif et les remboursements ne sont pas en cause.


Dprtmuluo7sk4wxn8aabgsxy7sde - Eugenol
Pervers Pépère

26/02/2018 à 11h56

chicot29 écrivait:
--------
>
> Définition du "meilleur patient" SVP.

Femme, 25 ans, décolleté jusqu'aux chevilles pour facettes 13-23 qui contente de ton travail t'amène ses copines, toutes des bombes, of course.

Bon, j'attends encore mais un jour ça va viendre.

--
Su-Père Pervers


Generique fraisage r2rxmm - Eugenol
lardonbis

26/02/2018 à 12h10

casa écrivait:
----
> Des comme ça j'en 2 ou 3 par semaine (vu à l'instant ) ... Petite question :
> quel âge à ce patient ? Deuxième question à Carident et à quelques autres, quel
> est le montant de votre plan de traitement ?

un cas comme ça c'est facile.
Je faisais d’abord tout les soins possible ( ceux qui ne dépendent pas du plan de traitement), 2 grosses séances par exemple. Ces cas sont les seuls où les soins sont rentable donc je lésine pas, ça fume!
Déjà à la deuxième tu as 50% d'ecrémage. ( pu mal---> pu personne. go sur nonol) .

ensuite on papotait, demande mut ou pas si cmu. je faisais comme il pouvait et ( un peu) comme il voulait. Flexible le lardon.
Et surtout jamais j'aurais collé une Cr/Co sur une gamine qui découvre jusqu'a 6. Tu penses peu être que les dents c'est juste des cubes durs pour bouffer dessus mais bizarrement à cet age on sourit moins avec un lingot sur le coté.

mais ça c'était avant que l'on décide quelle doit être mon activité. Tu vois je suis pas un courageux, je vais suivre le sillon de RAC0 avec un grand plaisir.


Orezza gazeuse verre litre ocoxey - Eugenol
casa

26/02/2018 à 12h12

Age 19 Ans ! , et bien sûr qu'il ira au bout du traitement s' il peut financièrement ! Il est motivé , c'est un jeune homme "bien" . sérieux , il est à l'heure , n'est pas peureux .. bref , ce genre de patient où tu sais pertinemment que ce qui va coincer c'est l'argent . Barba , il existe des patients non serieux à tous les niveaux de la société et quand c'est un cadre , là , on pense qu'il n'a pas le temps . Alors , on fait quoi pour ce jeune , on le prend en charge ( nous la société ...) ? on lui dit que c'est trop tard ? t'avais qu'à te brosser les dents ? ( vous avez remarqué qu'il a eu déjà de nombreux soins ) . Et, s'il vous plait, gardez pour vous vos généralisations à 2 balles ! ( barba , tu me suis ? ) . Ah ouais aussi , je ne lui ai pas mis un devis sous le nez avant de commencer à le soigner .. évidemment !

Je précise aussi , ce patient n'est pas venu parce qu'il avait mal .... étrange , non ?


Orezza gazeuse verre litre ocoxey - Eugenol
casa

26/02/2018 à 12h18

@ lardon , pourquoi l'imparfait ? ( la conjugaison hein ...! ) . Pour moi , c'est le présent , et je ne pense pas être un cas isolé ....


Generique fraisage r2rxmm - Eugenol
lardonbis

26/02/2018 à 12h42

casa écrivait:
----
> @ lardon , pourquoi l'imparfait ? ( la conjugaison hein ...! ) . Pour moi ,
> c'est le présent , et je ne pense pas être un cas isolé ....

je vis dans le turfu ma casa !
Je ne pense pas pouvoir travailler comme ça longtemps.
La deuxième longue séance de soin par exemple, si maintenant je me branle que le mec vienne ou pas c'est que financièrement je peux accepter la perte.
Si je lâche de la ceram là ou on me dit métal itou.
Maintenant si on me serre la vis.... et qu'en plus on me dit quoi faire.. je dis banco. Le cerveau je le laisse à la consigne le matin et en avant le gros grain. Moins de stress, plus de thune ( n'en déplaise à tout les anti RAC0 :D )
et pour la conjugaison c'est un peu l'explication de vocation.. medecine c'est des QCM, 20/20 facile ;)


1...141516...