Cookie Consent byPrivacyPolicies.comMince j'ai piqué un patient à une "jeune " consoeur ... - Eugenol

Mince j'ai piqué un patient à une "jeune " consoeur ...

Orezza gazeuse verre litre ocoxey - Eugenol
casa

02/03/2018 à 13h34

Je vais faire exactement comme ma consoeur .. tout pareil Ptnbz ...un copié collé ! Sauf que moi j'ai des crampons de digue en or mon lapin !

@ Enlaye , ben ouais c'est pas cher , elle l'a donc fait express pour s'en débarrasser ! j'y suis maintenant , je comprends mieux .


Hok 1b hgd3rj - Eugenol
Hokusai

02/03/2018 à 13h45

PtnbZ écrivait:
-----
> Tu les fais à combien t’es retraitzmznts sur le travail de ton collègue hokusai?
> Je me dis que je suis pas assez cher :)

En gros RTR molaire (R-endo de micromega) 60e NPC + 30e reconstitution pre-endo CVIMAR
dépose tenon ou couronne 60e NPC... provisoire 60e NPC, je suis pas cher, dans la moyenne de mon coin.
Meme a ce tarif la a l’accueil ça discute... alors je mets la musique plus fort pour plus entendre, en fait ca me fatigue.


Hok 1b hgd3rj - Eugenol
Hokusai

02/03/2018 à 13h51

casa écrivait:
----
> Sauf que moi j'ai des crampons de digue en or mon lapin !

A mon avis tu as fait une erreur d'investissement en achetant des crampons en or, car ils doivent etre tres chers et en plus avec un module d'young a 78Gpa doivent tres vite se déformer.


carident

02/03/2018 à 13h56

enlaye écrivait:
------
> 925 tout ça ? Pas cher .

Du coup, on se demande quel est le prix de casa pour le même devis, elle qui estime que 925€ c'est très... très cher!


RépondreCiter
Orezza gazeuse verre litre ocoxey - Eugenol
casa

02/03/2018 à 14h29

ET donc ai-je dit qu'elle était malhonnête quelque part ? j'ai dit seulement que 60 e l'allongement coronaire c'était donné ... rien de malhonnête la dedans , il me semble ...


Generique fraisage r2rxmm - Eugenol
lardonbis

02/03/2018 à 14h37

Hokusai écrivait:
-------
> PtnbZ écrivait:
> -----
> > Tu les fais à combien t’es retraitzmznts sur le travail de ton collègue
> hokusai?
> > Je me dis que je suis pas assez cher :)
>
> En gros RTR molaire (R-endo de micromega) 60e NPC + 30e reconstitution pre-endo
> CVIMAR
> dépose tenon ou couronne 60e NPC... provisoire 60e NPC, je suis pas cher, dans
> la moyenne de mon coin.
> Meme a ce tarif la a l’accueil ça discute... alors je mets la musique plus fort
> pour plus entendre, en fait ca me fatigue.

t'es bien compliqué:

"Demande particulière du patient: traityement selon les données actuelles de la science. 600€ "


Orezza gazeuse verre litre ocoxey - Eugenol
casa

02/03/2018 à 14h40

J'ai commencé à te répondre carident et puis j'ai trouvé ça complètement con de se justifier ! qu'est -ce qu'on en a à foutre du prix ..hein ?
Par contre la patiente en avait pour presque 500 e de sa poche et elle n'était sure du résultat ..alors les 2000 e de l'implant , tu imagines ..


1309531 ours brun n5iukf - Eugenol
seespan

02/03/2018 à 16h18

casa écrivait:
----
> J'ai commencé à te répondre carident et puis j'ai trouvé ça complètement con de
> se justifier ! qu'est -ce qu'on en a à foutre du prix ..hein ?
> Par contre la patiente en avait pour presque 500 e de sa poche et elle n'était
> sure du résultat ..alors les 2000 e de l'implant , tu imagines ..

Oui parce que bien sure le dentiste qui fait un devis à 800 pour une CCM sur PM en expliquant qu'il y a une chance sur deux que ça loupe c'est super courant.

Le biais pshychologique par excellence, Casa gobe ce que dit la patiente sans douté car cela vas dans sa vision du monde.

Notre chère Casa dont on ne doute pas qu'elle garantie toute ses piéce prothétique 10 ans voir plus car bien entendue même si elle ne poste JAMAIS un cas ( a oui mais là on voit pas le crampon de la digue mais il y était, un lentulo pété mais non c'est un screw post vrillé , non non je suis à l'apex c'est juste l'angle de la radio qui fait qu'on à l'impression qu'il y a seulement une racine sur trois obutré et à 5 mm de d'apex ) . l'on ne doute pas que tous est nickel qualité chez elle.

Au fait Casa tu leur dis quoi au patient ? CCM garantie 20 ou 30 ans ?

--
หมอจัดฟัน


Orezza gazeuse verre litre ocoxey - Eugenol
casa

02/03/2018 à 16h37

A vie mon ami , a vie ... mais vie de qui de quoi ? that is the question ..


Capture d  cran 2015 03 12 12.28 - Eugenol
chicot29

02/03/2018 à 17h18

Et les tt endos tu les garantis à vie aussi ? Parceque ca risque de sérieusement compromettre ta garantie à vie sur ta ceram. -)))


--
En cas d'échec des négociations conventionnelles, seriez-vous prêt à suivre la promotion d'un déconventionnement massif de la profession par les syndicats représentatifs ? OUI - NON
Participez, anonymement, sur https://goo.gl/forms/nAO0htnsVmxotjYm1


Orezza gazeuse verre litre ocoxey - Eugenol
casa

02/03/2018 à 17h27

Ouais , pareil ! a vie .... comme moi d'ailleurs je suis garantie à vie !


Vw campersurfvan bmnk1q - Eugenol
enlaye

02/03/2018 à 18h07

casa écrivait:
----
" j'ai dit seulement que 60 e l'allongement coronaire c'était donné ... rien de malhonnête la dedans , il
me semble ..."

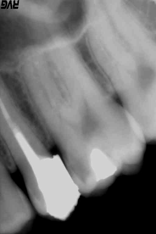
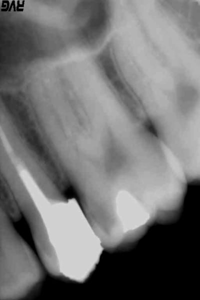
je suis étonné que personne n'ai dit qu'il n'y avait pas d'os entre les 2pm .
je dis ça je dis rien :-))))
donc je me dis que ce ne doit pas etre un cas facile , et elle a du le sentir la dentiste . d'où son discours mitigé ,peut être .


Orezza gazeuse verre litre ocoxey - Eugenol
casa

02/03/2018 à 18h53

C'est un cas classique de PM , ni plus ni moins , elle a des gencives saines , sans saignement , sinon il y aurait longtemps qu'elle aurait sauté au plafond ! pas de saignement au traitement , rien nada . Si on devait mettre des réserves sur ce genre de dents nos RCP exploseraient parce que des comme ça on en voit tous les jours . J'ai retrouvé une radio de la 15 en 2009 , qualité mauvaise de la radio mais j'ai changé de capteur , de PC et je ne sais pas pourquoi mais les radios ont été enregistrées en tiff ... et en plus j'en ai perdu en cours de route ou mal indexées , j'en sais rien donc la voilà . Ca fera plaisir à carident ! 9 ans on a le temps de voir pour l'implant . ah oui pour les fouilles m... en 2009 ,1 ère consult de cette patiente ; c'est pas moi qui ai fait la reconstitution ni l'endo d'ailleurs ....ahhhh mais je vous vois venir : noooon !

R7 gbpxo0 - Eugenol

Hok 1b hgd3rj - Eugenol
Hokusai

02/03/2018 à 19h04

C est toi qui a fait l amalgame en mesial de 26 ??
C est un capteur taille 1+ ?


Orezza gazeuse verre litre ocoxey - Eugenol
casa

02/03/2018 à 19h14

Oui c'est moi ! je sais ... ça repart ! personne n'est parfait mais vue la carie sur la 14 , ça doit y aller à coup de coca , je pense j'ai pas eu trop le temps d'en causer l'autre jour ... c'est le genre de carie à évolution très rapide ... parce qu'en 2013 j'ai rien vu non plus alors que je l'ai soignée de l'autre côté . Bref , heureusement que c'était un amg !!! (je savais qu'un gogo allait me faire le coup de la 26 ! ) mais rien de bien méchant non plus , ça va se gérer sans pb et avec 45€ la société ne s'en sort pas trop mal !


Orezza gazeuse verre litre ocoxey - Eugenol
casa

02/03/2018 à 19h15

heuu j'en sais rien c'est du trophy , 3500 à l'époque je crois ...


carident

02/03/2018 à 20h03

casa écrivait:
----
> la patiente en avait pour presque 500 e de sa poche et elle n'était
> sure du résultat ..alors les 2000 e de l'implant , tu imagines ..

500€ de sa poche pour une couronne ça fait beaucoup en effet...
Et avec toi, elle en a pour combien de sa poche?


Orezza gazeuse verre litre ocoxey - Eugenol
casa

02/03/2018 à 21h05

Ca fait beaucoup quand on te met le doute oui ...mais pourquoi tiens tu à tout prix a connaitre mes prix ? tu fais parti des impots ? tu as une double vie ... qu'est-ce que ça change.


carident

02/03/2018 à 21h54

casa écrivait:
----
> Ca fait beaucoup quand on te met le doute oui ...mais pourquoi tiens tu à tout
> prix a connaitre mes prix ? tu fais parti des impots ? tu as une double vie ...
> qu'est-ce que ça change.

pas tes prix, mais son RAC :-)


carident

02/03/2018 à 21h54

.


Orezza gazeuse verre litre ocoxey - Eugenol
casa

02/03/2018 à 22h28

Ben j'en sais plus rien , ce ne sont pas des choses qui m’intéressent parce que ce n'est pas mon problème , je propose , il ou elle dispose . mais j'étais moins cher, ça c'est sur donc le RAC était moindre . précisément je ne sais pas mais peut être qu'en Anglais ça passerait mieux , la patiente n'est pas venue pour ça et ce n'est pas le sujet


PtnbZ

02/03/2018 à 22h41

Hokusai écrivait:
-------
> PtnbZ écrivait:
> -----
> > Tu les fais à combien t’es retraitzmznts sur le travail de ton collègue
> hokusai?
> > Je me dis que je suis pas assez cher :)
>
> En gros RTR molaire (R-endo de micromega) 60e NPC + 30e reconstitution pre-endo
> CVIMAR
> dépose tenon ou couronne 60e NPC... provisoire 60e NPC, je suis pas cher, dans
> la moyenne de mon coin.
> Meme a ce tarif la a l’accueil ça discute... alors je mets la musique plus fort
> pour plus entendre, en fait ca me fatigue.
Ben normal ils y comprennent rien. Plus y a de lignes plus ils comprennent rien et plus ils ont l’impressioN que tu justifies un viol de porte feuille :))


PtnbZ

02/03/2018 à 22h43

casa écrivait:
----
> Je vais faire exactement comme ma consoeur .. tout pareil Ptnbz ...un copié
> collé ! Sauf que moi j'ai des crampons de digue en or mon lapin !
>
> @ Enlaye , ben ouais c'est pas cher , elle l'a donc fait express pour s'en
> débarrasser ! j'y suis maintenant , je comprends mieux .

Usage unique tes crampons alors? :)) Tu ne dois pas connaître les propriétés de l’or? :))
Tu me fais rire Casa. Je suis beaucoup moins « sûr » que toi, et pourtant, j'essaye De faire au mieux.. les prémolaires ce sont toujours des dents difficiles à restaurer, je suis heureux que certains n’aient pas mes’ difficultes.


Orezza gazeuse verre litre ocoxey - Eugenol
casa

02/03/2018 à 22h56

C'est ma fête , ma fête ! Tiens tout a changer ce matin , je n'y comprends rien ....


PtnbZ

02/03/2018 à 22h59

Je ne comprends pas du tout comment tu peux blâmer cette consœur alors que la dent a quelque chose de bizarre au niveau de la séparation VP : comme une résorption :))


1...91011...