Cookie Consent byPrivacyPolicies.comMince j'ai piqué un patient à une "jeune " consoeur ... - Eugenol

Mince j'ai piqué un patient à une "jeune " consoeur ...

Bebert.

01/03/2018 à 23h02

deliberately obtuse ...
mdr


Orezza gazeuse verre litre ocoxey - Eugenol
casa

01/03/2018 à 23h23

all you need is love , pa pa la pa la .....


Dprtmuluo7sk4wxn8aabgsxy7sde - Eugenol
Pervers Pépère

01/03/2018 à 23h31




--
Su-Père Pervers

Pilum modifie 2 cy6nno - Eugenol

Antben

02/03/2018 à 08h08

Je me lance dans la mêlée , je lis de temps en temps mais première participation...

Courage Casa ,ainsi qu'à tout le dernier carré ;-) je tente de jouer Grouchy ,sans me perdre dans les marais;-)

Il se trouve que j'ai de temps en temps le même problème que toi avec des patients de nouveaux installés ...
Je reçois des patients qui m'explique leur cas , je fais le diagnostic , plan de traitement et c'est après qu' ils me sortent un devis d'un autre praticien.
Il ne faut pas croire que tous les patients arrivent forcémment en critiquant un autre confrère .
En zone tendue , ils développent des stratégies pour obtenir des RV ,et ils sont assez malins pour tout dire qu'à la fin de la consultation. Et me voilà étant obligée d'improviser face à des devis ou je constate avec effroi que les différents gestes compris dans les actes sont dissociés .

Bref , encore quelques années et basta ...

Une vieille Grognarde de la dentisterie ;-)


Orezza gazeuse verre litre ocoxey - Eugenol
casa

02/03/2018 à 08h40

TU ne sais pas à quelle point tu me fais plaisir Antben , mais nous ne sommes pas "jeunes" .... Dans le cas que je cite , cette consoeur et son mari se sont installés il y a 2 ans dans un patelin (je ne connais pas leur age ...) , en dehors de toute pression de mutuelle ou de concurrence à moins de 10 km , encore une fois , je ne lui jette pas la pierre , mais je me dis si des jeunes installés fonctionnent comme cela , c'est qu'il y a un gros malaise ou un gros malentendu ... mon intervention est justement pour mettre les pieds dans le plat et visiblement , il y en a besoin .


Hok 1b hgd3rj - Eugenol
Hokusai

02/03/2018 à 08h56

casa écrivait:
----
> TU ne sais pas à quelle point tu me fais plaisir Antben , mais nous ne sommes
> pas "jeunes" .... Dans le cas que je cite , cette consoeur et son mari se sont
> installés il y a 2 ans dans un patelin (je ne connais pas leur age ...)

Moi aussi y'a un jeune qui s'est installé dans le patelin d'a coté...
Il est sympa et vraiment pas cher, a l'écoute tout ca tout ca...
Je trouve que sa venue améliore grandement la santé publique dans ce beau pays ;)

La, je recevais une de ses patientes 30 ans, traitée RAC0... bon elle a pris un devis de réfection full NPC... j’espère qu'elle va pas aller se plaindre à un troisième... je vais être traité de mauvais "jeune"

Spécial dédicace au "blanc" en mésial de la 7 derrière une cc... logique implacable ;)

Bref, chacun fait comme il veut... et aussi comme il peut surtout !

1536 x 20170912 185521 xxps5fdi7wv  4 h8k3gr - Eugenol

Orezza gazeuse verre litre ocoxey - Eugenol
casa

02/03/2018 à 09h03

et elle avait mal ? tu lui as fait un devis ? tu lui as dit qu'elle risquait l'implant ? tu lui as bien fait un détartrage j'espère , non ? Rhooo Hokusai , tu n'es pas dans le coup là ..


Generique fraisage r2rxmm - Eugenol
lardonbis

02/03/2018 à 09h11

Hokusai écrivait:
-------
> Bref, chacun fait comme il veut... et aussi comme il peut surtout !

le mec il met du ciment bio sans baryum et toi tu dénigres !
bravo !

j'ai pas tout compris le truc sinon... y'a des MP anonyme ?


Hok 1b hgd3rj - Eugenol
Hokusai

02/03/2018 à 09h21

lardonbis écrivait:
---------
> le mec il met du ciment bio sans baryum et toi tu dénigres !
> bravo !

Non je dénigre pas... y'a souvent des truc que je vois de lui, je me dis j'aurais pas fait la meme chose... c'est tout. Moi, j'ai décidé de rester confraternel devant tout... la une jeune fille de 20 ans... elle arrivait meme plus a fermer sur l'angulateur.
Faut que je file en formation... je connais pas toutes les techniques de mon confrere.

308 x 20150924 120644 xcpeglvweuej 4 qzjg0e - Eugenol

Aiguille cyboyt - Eugenol
fatboy

02/03/2018 à 09h23

Hokusai écrivait:
-------
L'epoque ou on devait envoyer une radio de l'obturation dans la DEP permettait de calmer les ardeurs des plus rapides, quoique... un confrere m'avait expliqué comment bidouiller les radios.
Et les dentistes conseils regardaient vraiment, je me souviens de m'etre fait refuser une courronne parce qu'il manquait 2-3 mm a l'obtu, et me voila penaud, devant mme michu, a bafouiller que , bien sur, j'allais refaire tout ca....


Orezza gazeuse verre litre ocoxey - Eugenol
casa

02/03/2018 à 09h30

Oups , encore un détartrage ...

et je ne sais pas pour les MP mais il y a visiblement des personnes qui ne m'aiment pas ! ok mais qui essayent aussi de dégoutter ceux qui pensent comme moi .... pas joli joli quand même ce forum , les temps changent ... et c'est pas le réchauffement climatique , hein !


Vw campersurfvan bmnk1q - Eugenol
enlaye

02/03/2018 à 10h00

il a raison le Fatboy :
avant , pour pouvoir faire le devis , il fallait en faire la demande à la secu , donc il te fallait faire l'endo .
et puis attention , la carie sur la molaire d'à coté , tu avais tout interet à la faire aussi avant :-))
sinon le CD t 'appelait et te demandait :
" Alors ,garçon ?, comme ça on ne soigne pas les caries avant la couronne ? " :-)))


Generique fraisage r2rxmm - Eugenol
lardonbis

02/03/2018 à 10h02

Hokusai écrivait:
-------
> lardonbis écrivait:
> ---------

> Non je dénigre pas... y'a souvent des truc que je vois de lui, je me dis
> j'aurais pas fait la meme chose...

ptain :/
un phobique de l'endo....
j'en ai côtoyé un, ça lui pourrissait la vie ( et la mienne vu que me tapais des urgence sympa).
quelle fac sur la plaque histoire un prof d'endo nous fasse une jaunisse ?


Orezza gazeuse verre litre ocoxey - Eugenol
casa

02/03/2018 à 10h31

enlaye écrivait:
------
> il a raison le Fatboy :
> avant , pour pouvoir faire le devis , il fallait en faire la demande à la secu
> , donc il te fallait faire l'endo .
> et puis attention , la carie sur la molaire d'à coté , tu avais tout interet à
> la faire aussi avant :-))
> sinon le CD t 'appelait et te demandait :
> " Alors ,garçon ?, comme ça on ne soigne pas les caries avant la couronne ? "
> :-)))

Ouais mais ça c'était avant , du temps où tu faisais l'endo à coup de tire nerfs et de lentulo .. quoi la sécu contrôlait ? fallait faire une demande avec un radio tout jaunie parce que t'avais raté le développement et puis il fallait aussi la retrouver parce qu'elle baignait avec ses petites copines ...Mince je sais plus !


Devil wxz6j6 - Eugenol
devil s dare

02/03/2018 à 11h00

les radio toutes pourries ça passait pas dans ma region!....
mais actuellement il n y a plus de DEP mais en cas de controle , si le tr est tres mauvais :c est indu a tous les coups non? enfin j avais compris comme ça.


doagui

02/03/2018 à 12h11

Pardon mais là on mélange tout et n'importe quoi... On ne peut pas mettre sur le même plan un praticien qui divise les actes pour en sortir des trucs en HN (ce qui est clairement interdit et indéfendable) avec la praticienne du départ qui a juste perdu du temps avant de faire une couronne qui était honnêtement indiquée. En gros on mettrait dans le même sac quelqu'un de malhonnête qui veut faire de l'argent et quelqu'un qui au contraire aurait mieux fait de s'activer un peu pour le bien de ses finances.

Casa aime bien mélanger tout pour s'inventer des soutiens là où il n'y en a pas et se conforter dans son entêtement, mais là pour le coup ça n'a vraiment rien à voir...


Orezza gazeuse verre litre ocoxey - Eugenol
casa

02/03/2018 à 12h34

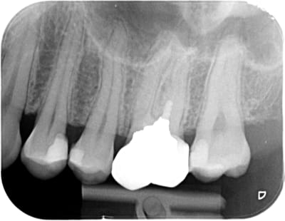
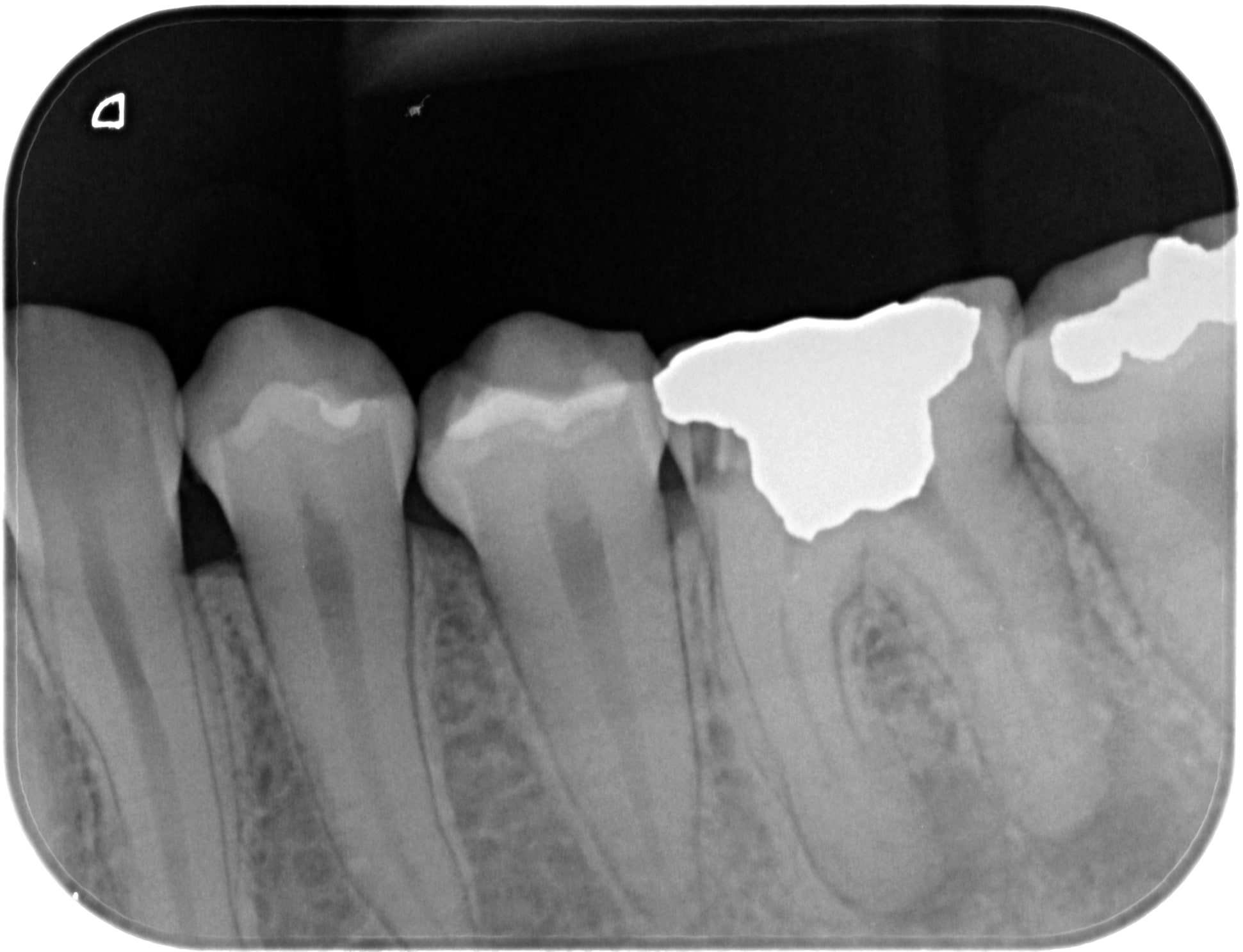
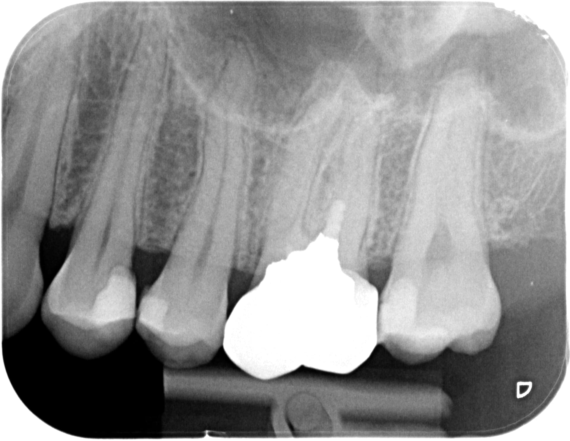
je ne comprends pas Doagui , le devis cité de cette consoeur , comprenait : un allongement coronaire , une provisoire , un IC et une couronne Zircone , le tout pour 925 € avec un allongement coronaire à 60 et une provisoire à 35,ça c'est pour le détail que je n'ai pas précisé . mais est-ce l'essentiel ?


Hok 1b hgd3rj - Eugenol
Hokusai

02/03/2018 à 12h49

lardonbis écrivait:
---------
> quelle fac sur la plaque histoire un prof d'endo nous fasse une jaunisse ?

Je suis pas sur que ce soit inscrit... de toutes facons, je connais pas les ecoles roumaines.


Generique fraisage r2rxmm - Eugenol
lardonbis

02/03/2018 à 12h59

Hokusai écrivait:
-------

> Je suis pas sur que ce soit inscrit... de toutes facons, je connais pas les
> ecoles roumaines.

t'as du bol quand même... travail illimité pour toi, t'as juste à te baisser pour cueillir.


Vw campersurfvan bmnk1q - Eugenol
enlaye

02/03/2018 à 13h01

925 tout ça ? Pas cher .


PtnbZ

02/03/2018 à 13h13

Beaucoup trop drôle ce post. J’espere Que les gens s’apercevront de la mentalite de Casa.
J’espere Que tu as eu le temps de lui faire l’endo sous digue avec système rotatif dernier cri + irrigation dernier système + condensation verticale à chaud Casa. Tu es si forte :))


Hok 1b hgd3rj - Eugenol
Hokusai

02/03/2018 à 13h17

lardonbis écrivait:
---------
> t'as du bol quand même... travail illimité pour toi, t'as juste à te baisser
> pour cueillir.

Du travail y en a... et un patient mal soigne c est du travail en plus, c est pour cela que les praticiens étrangers c est un faux pbm, en fait ca crée un surplus de travail.

Mais c est pas un travail agreable du tout.

Sinon pareil qu enlaye, c est vraiment pas des honoraires eleves...


Hok 1b hgd3rj - Eugenol
Hokusai

02/03/2018 à 13h17

.


PtnbZ

02/03/2018 à 13h22

Tu les fais à combien t’es retraitzmznts sur le travail de ton collègue hokusai?
Je me dis que je suis pas assez cher :)


doagui

02/03/2018 à 13h34

casa écrivait:
----
> je ne comprends pas Doagui , le devis cité de cette consoeur , comprenait : un
> allongement coronaire , une provisoire , un IC et une couronne Zircone , le tout
> pour 925 € avec un allongement coronaire à 60 et une provisoire à 35,ça c'est
> pour le détail que je n'ai pas précisé . mais est-ce l'essentiel ?

Encore une fois, rien à voir... L'allongement coronaire et la provisoire sont effectivement facturables à part, certains l'offrent, certains l'incluent dans leur tarif global, tout est acceptable tant que le patient est prévenu.

Ca n'a aucun rapport avec un praticien qui par exemple facturerait les sutures en HN en plus de chaque extraction, alors que ça fait partie de l'acte global, ou bien qui rajouterait un supplément quelconque en HN en plus de chaque composite.


1...8910...