Cookie Consent byPrivacyPolicies.comJe pose ça là - Eugenol

Je pose ça là

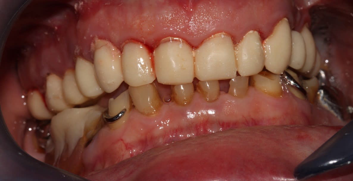
Nouveau image bitmap fz77zh - Eugenol
Sethef

19/03/2018 à 17h32

pour vous faire tchatcher un peu.

Cas simple, je n'ai pas les abdos pour assumer devant vous mes cas complexes, quand Enlaye et Pxav seront à la retraite on en reparlera.

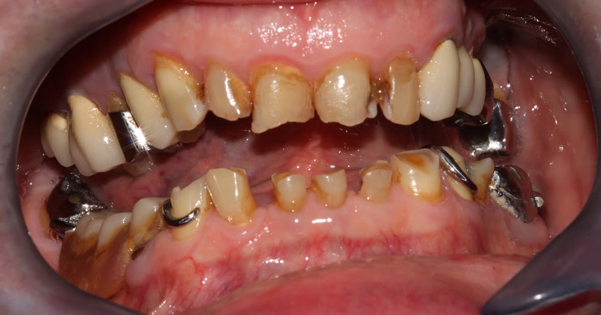
Je fais mon autocritique avant vous, les cadrages sont dégueulasses et j'aurai pu nettoyer mieux mon ciment pro.


Le provisoire du haut à été réalisé ce matin en bloc technique, un peu plus de 3 h.
Le bas sera réalisé vendredi.


Enjoy!

Lax896grspqeig5anosn - Eugenol
Rhzwvy6ckf9vvmxkieqa - Eugenol
Udygmflbmvhyxlcsr4do - Eugenol
Wtgx561iy9mxwx2lgozv - Eugenol
Bjx0n4l9vir93cks5hz9 - Eugenol
Cew85w7mu3srvmgnjeds - Eugenol
D6ctrwrfyanbs7dsuo9f - Eugenol

Nouveau image bitmap fz77zh - Eugenol
Sethef

19/03/2018 à 17h36

Et putain, une photo en occ serrée, là on voit rien bougre d'âne!

(Au deuxième tour, je relèverai un peu la courbe de Spee sect 1. Au départ je pensais également rentrer un peu 24 25, mais en fait je pense que ça devrait s'équilibrer avec le bas, je vois en fin de semaine. Et le milieu est un peu décentré, mais au bout de 3h j'en avais marre)


Dolan donald duck weird wqjham bw43ju - Eugenol
GéPé

19/03/2018 à 17h45

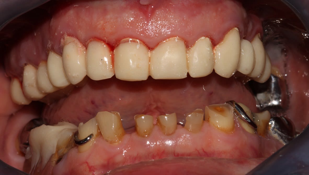
Tu pouvais remonter 2mm de plus, facile, non ?


Nouveau image bitmap fz77zh - Eugenol
Sethef

19/03/2018 à 18h25

La DV? Si c'est ça je préfère le faire au second tour, ça me laisse plus de laxité, et sur ce genre de cas j'ai tendance à régler le haut comme un complet, donc là on est à la bonne longueur.

(J'aurais 2-3 questions sur l'implant qui me met le bazar d'ailleurs)


Dolan donald duck weird wqjham bw43ju - Eugenol
GéPé

19/03/2018 à 18h28

Oui magnifique implant
je suis pas d'accord sur la longueur des dents maxillaire, mais passons
P.S. merci de partager ;)


Vw campersurfvan bmnk1q - Eugenol
enlaye

19/03/2018 à 18h48

Sethef écrivait:
------
" Et le milieu est un peu décentré, mais au bout de 3h j'en avais marre) "

tu m’étonnes , 3 h de concentration avec le plateau plein de produits , des fraises de partout , des milliers de gants jetés , des empreintes , le ouaille quoi !
les gens ne se rendent pas compte de tout ce qu'il y a derrière . ç est un peu quand ils ouvrent le robinet , ils trouvent normal que l'eau coule :-))
tu nous l'avais dit , mais ç est quoi deja un prov en " bloc technique " , un truc de d'artiste sculpteur ?
j'aime bien ton bricolage du stellite :-))


Photo pluton1b h9n4ea - Eugenol
pluton

19/03/2018 à 20h06

Sethef écrivait:
------

> (J'aurais 2-3 questions sur l'implant qui me met le bazar d'ailleurs)

avec une bonne rétro, stp....;-)
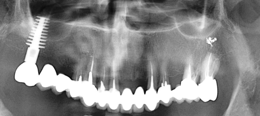
il est bien en 26 cet implant ou je me trompe?
et la 27 est bonne pour le bassinet, non?
çà va être un peu coton à gérer l'angulation de cet implant...celui qui a posé cet implant a du le faire avec la 7 taillée...je vois pas comment çà aurait pu passer autrement...(sauf si beaucoup de déformation due à la pano...)


Nouveau image bitmap fz77zh - Eugenol
Sethef

19/03/2018 à 20h50

pluton écrivait:
------
> Sethef écrivait:
> ------
>
> > (J'aurais 2-3 questions sur l'implant qui me met le bazar d'ailleurs)
>
> avec une bonne rétro, stp....;-)
> il est bien en 26 cet implant ou je me trompe?
> et la 27 est bonne pour le bassinet, non?
> çà va être un peu coton à gérer l'angulation de cet implant...celui qui a posé
> cet implant a du le faire avec la 7 taillée...je vois pas comment çà aurait pu
> passer autrement...(sauf si beaucoup de déformation due à la pano...)



27 a déjà jarté, j'aurais du faire la 28 dans le même temps mais elle ne me gêne pas pour l'instant.
Implant posé il y a... pfou, plus de 10 ans c'est certain, à l'époque il était solidaire de la 27.
Petite surprise à la dépose, j'y ai trouvé, entre la couronne scellée et le pilier transvissé, ce que j'ai imaginé être une chape en précieux. Surcoulée?

En antagoniste, c'est un banal stellite qui est prévu, le patient n'est pas pour l'instant emballé pour remettre le couvert en implanto, j'imaginais donc réaliser la 26 en unitaire, sans que cela ne m'emballe outre mesure.
Y'a-t-il des indications où les bridges dento implanto portés ont été validés? J'en ai vu quelques uns passer, sans que je puisse déterminer ce qui a conditionné leur réussite.


Nouveau image bitmap fz77zh - Eugenol
Sethef

19/03/2018 à 20h53

enlaye écrivait:
------

> tu nous l'avais dit , mais ç est quoi deja un prov en " bloc technique " , un
> truc de d'artiste sculpteur ?


Ben oui, on en a déjà parlé, tout à la main à l'unifast, comment tu veux que le prothésiste te sorte un wax correct avec 2 modèles et pas le bonhomme autour? ;-)


Pour le stellite, je crains hélas de lui piquer vendredi, mais d'ici là j'avais peur qu'il transforme sa joue en steack haché.


S2y2o1v7q53ws4r5wy6ou8czrpom - Eugenol
pxav

19/03/2018 à 21h24

Sethef écrivait:
------

> Ben oui, on en a déjà parlé, tout à la main à l'unifast, comment tu veux que le
> prothésiste te sorte un wax correct avec 2 modèles et pas le bonhomme autour?
> ;-)

Je suis super chanceux d'avoir une prothésiste (Oui enlaye c'est Brigitte :-)) qui sait faire des waxup "au pif" qui me permettent de faire des provisoires de façon simple...
Seule contrainte c'est moi qui "pré taille" les modèles, ce qui me permet de "programmer" le travail en bouche.

ton cas est intéressant et je ne vois pas en quoi l'implant te dérange, je crois qu'il doit mème être capable de supporter 26 et 26 (il n'y a pas 37)
Pour les construction implants/dents j'en ai qui ont plus de trente ans en bouche et d'autres qui n'ont pas duré.
j'en fait encore de temps en temps, le principal est que la "mécanique " soit bonne.
j'aime pas la forme de 24/25/26, ça me rappelle le dernier cas que j'ai présenté, ou 14/15 faisait verrou)
merci de poster

--
xbk
La connaissance s'acquiert par l'expérience, tout le reste n'est que de l'information." ALBERT EINSTEIN


Nouveau image bitmap fz77zh - Eugenol
Sethef

19/03/2018 à 21h51

Justement, c'est quoi la mécanique dans un cas comme celui-ci? Je me posais la question de solidariser 23 25 26. (et je rappelle pour info que les derniers cours dispensés en faculté sur les bridges dento implanto portés datent d'avant ma naissance)


(pour la morpho secteur 2, les cuspides vest mériteraient effectivement un bon coup de rabot, mais j'attends de voir une fois remontées les antagonistes. Et 36 terminera sur le plateau, la mésiale est bouffée infra osseuse)


Merci de vos retours, bien sûr.


carident

19/03/2018 à 22h11

Je pose ça là... Je pose ça là... C'est quoi cette histoire?!
Va falloir récupérer tout ce bazar! Ça encombre le passage...
T'as pris la rubrique des cas cliniques pour un dépotoir ou quoi?


Aiguille cyboyt - Eugenol
fatboy

20/03/2018 à 03h23

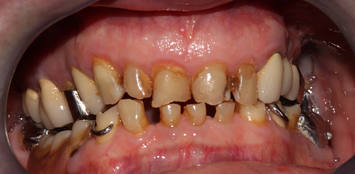
23 est une planche pourrie, l'endo de la 14 pose question.


S2y2o1v7q53ws4r5wy6ou8czrpom - Eugenol
pxav

20/03/2018 à 07h55

je n'ai pas vu le cas, donc simple hypothèse, l'équilibre mécanique, passe par une stabilité dans le temps, et avec un stellite en bas....pas simple.
mais je crois que l'implant peut supporter une extension sans soucis, (c'est déjà ce qu'il a non? je crois qu'il supporte 27.
Pour 23, soit elle éjecte, soit il faut se servir de ce qui existe (sans toucher à l'IC) et croiser les doigts.
mais je suppose que tout ça est déjà programmé.:-))


--
xbk
La connaissance s'acquiert par l'expérience, tout le reste n'est que de l'information." ALBERT EINSTEIN


Nouveau image bitmap fz77zh - Eugenol
Sethef

20/03/2018 à 09h29

Pour la 26, prenons les choses dans l'ordre:
Si je la réalise en unitaire, j'ai peur que l'orientation des vecteurs de force masticatoire finisse par impacter la connectique implantaire (qui a certes tenu jusque là)
Si je la solidarise à 23 25, c'est le différentiel de résilience qui va finir par... par quoi au fait? Périimplantite ou descellement partiel sur l'implant j'imagine.


J'avais donc 1 idée qui me venait, là comme ça: Quid d'un système d'inlay/contre-inlay non scellé entre 25 et 26? Ca a déjà été tenté?



(et oui la 23 sera conservée, malgré l'axe à babord toute: en l'occurence, une fois la céram déposée, j'ai pu constater que le tenon n'était là que pour justifier le SPR57 et que donc presque aucune force ne s'exerce sur le tenon. C'était la bonne surprise, sans ça j'avais prévu de déposer et repositionner un tenon fibré plus court et dans l'axe)


S2y2o1v7q53ws4r5wy6ou8czrpom - Eugenol
pxav

20/03/2018 à 10h09

23 on est d'accord
relier 23/25 par un système télescope (chape sur 25 qui soutient la couronne de 26) sans intérêt à mon avis.
26 est costaud ... et pourrait servir dans un all on four...alors te prend pas le choux , si tu relie avec le bridge 23/25 ce n'est pas la peri-implantite le risque mais le bridge.
exemple d'un cas qui a plus de 25 ans pano contrôle 2008 et 2017 l'implant ne pose pas de problème


--
xbk
La connaissance s'acquiert par l'expérience, tout le reste n'est que de l'information." ALBERT EINSTEIN

Fa jo 2008 icl7ar - Eugenol
Fajo 12.07 - Eugenol

dcs

20/03/2018 à 12h36

pxav écrivait:
----
> 23 on est d'accord
> relier 23/25 par un système télescope (chape sur 25 qui soutient la couronne de
> 26) sans intérêt à mon avis.
> 26 est costaud ... et pourrait servir dans un all on four...alors te prend pas
> le choux , si tu relie avec le bridge 23/25 ce n'est pas la peri-implantite le
> risque mais le bridge.
> exemple d'un cas qui a plus de 25 ans pano contrôle 2008 et 2017 l'implant ne
> pose pas de problème
>
> y a meme des implants dans les rtacines des dents..... mdr

> --
> xbk
> La connaissance s'acquiert par l'expérience, tout le reste n'est que de
> l'information." ALBERT EINSTEIN


Vw campersurfvan bmnk1q - Eugenol
enlaye

20/03/2018 à 12h49

on s’égare , on s égare . il faut d'abord connaitre la stratégie globale .
là tu as fait 1 prov 1ere generation en haut , ç est bien
apres tu feras un prov 1ere generation du bas , ce sera bien aussi .

ç est bien pcq quand tu prendras l'empreinte H+B de toutes les dents taillées , tu pourras les monter sur articu , et faire le wax . et ça ç est le top pcq tu feras le wax en fonction de tes criteres de taille donc de concervation des tissus dentaires .
je ne le redirais jamais assez : le wax doit etre fait sur les dents taillées . sinon ce n'est que de la peinture à la cire à bougie .( t'y rajoute une meche et ç est tres joli pour la veillée de noel ).


S2y2o1v7q53ws4r5wy6ou8czrpom - Eugenol
pxav

20/03/2018 à 16h54

c'est pourquoi je taille les dents avant le wax, mais sur le modèle en plâtre...nananere :-))


--
xbk
La connaissance s'acquiert par l'expérience, tout le reste n'est que de l'information." ALBERT EINSTEIN


Utilisateur banni

20/03/2018 à 18h15

Si la taille est réalisée sur les modèles, ça ne reproduit pas la taille réelle en bouche. Autrement dit les wax et provisoires vont être montés à partir d’une taille approximative qui ne correspondra pas à la future taille des dents.
Donc dans l’ordre :
1) taille sur dents naturelles
2) empreintes
3) provisoires 1ère génération directement au fauteuil
4) réalisation des wax up sur les modèles et sur les moignons qui correspondent à l’etat exact de la situation en bouche -> intérêt on voit exactement les corrections d’axes qu’il est possible de faire , l’epaisseur et la morphologie des futures couronnes en fonction de ce qu’il y a exactement en bouche.
5) réalisation en indirect des provisoires qui auront exactement la forme et l’épaisseur souhaitée
6) on vire les premières provisoires et on met les nouvelles et on teste

Ceci dit la méthode de pxav a le mérite de ne pas faire deux series de provisoires et donc de gagner une séance.


6szjws718sv1jksw54v4mpj3a6cu - Eugenol
vulpi

20/03/2018 à 19h42

Nan Junior, les deux sont possibles, tu adapteras le prov de labo et/ou les prépa, c'est bien aussi.


6szjws718sv1jksw54v4mpj3a6cu - Eugenol
vulpi

20/03/2018 à 19h46

Ta block technique? Tu as fait un gros boudin, mordez et retouches, en bouche? hors de la bouche? Un mix.
Quel consistance la résine quand tu retires? (perso j'ai de la Tab 2000 mais c'était pas celle-là, pas texton non plus c'est la troisième)
¨Pas trop de déformation de polymérisation?


6szjws718sv1jksw54v4mpj3a6cu - Eugenol
vulpi

20/03/2018 à 19h54

GéPé écrivait:
----
> Oui magnifique implant
> je suis pas d'accord sur la longueur des dents maxillaire, mais passons

Sur les photos c'est coton, le patient l'aide pas, il fait une grimace et un sourire pas franc ensuite.
Je suppose que tu as réglé avec un truc genre faite "fe, ve"

A mon avis si le gars est satisfait de ses futures dents il va plus découvrir et sourire, à surveiller avec les prov.


Nouveau image bitmap fz77zh - Eugenol
Sethef

20/03/2018 à 19h58

vulpi écrivait:
-----

> Sur les photos c'est coton, le patient l'aide pas, il fait une grimace et un
> sourire pas franc ensuite.

T'as déjà essayé de sourire avec une anesthésie de 15 à 25? ;-)

(je vous réponds sur le reste ce soir, je vais libérer la nounou et manger un bout)


6szjws718sv1jksw54v4mpj3a6cu - Eugenol
vulpi

20/03/2018 à 20h02

Sethef écrivait:
------
> vulpi écrivait:
> -----
>
> > Sur les photos c'est coton, le patient l'aide pas, il fait une grimace et un
> > sourire pas franc ensuite.
>
> T'as déjà essayé de sourire avec une anesthésie de 15 à 25? ;-)
>
> (je vous réponds sur le reste ce soir, je vais libérer la nounou et manger un
> bout)

Bin voilà, il t'aide pas, c'est ce que montre les photos, ce sera plus facile ensuite.


12...