Cookie Consent byPrivacyPolicies.comJe pose ça là - Eugenol

Je pose ça là

S2y2o1v7q53ws4r5wy6ou8czrpom - Eugenol
pxav

20/03/2018 à 20h27

vulpi écrivait:
-----
> Nan Junior, les deux sont possibles, tu adapteras le prov de labo et/ou les
> prépa, c'est bien aussi.

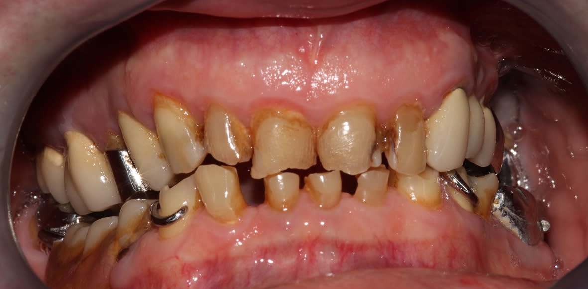
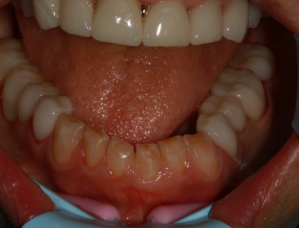
et oui le tout c'est de savoir ce que l'on fait, (mdr je me la pète), exemple (je n’ai pas la photo du modèle taillé désolé) mais strictement aucune retouche à la taille , seule 33 en occlusion et un petit peu trop fin sur 42 en lingual...
--
xbk
La connaissance s'acquiert par l'expérience, tout le reste n'est que de l'information." ALBERT EINSTEIN

Img 6141 ntg9cu - Eugenol
Img 6139 j1ljoi - Eugenol
Img 6226 utgefa uot4jw - Eugenol
Img 6230 rpgjbe slibpy - Eugenol
Img 6233 n2cbj7 lqwbog - Eugenol

Nouveau image bitmap fz77zh - Eugenol
Sethef

20/03/2018 à 21h22

vulpi écrivait:
-----
> Ta block technique? Tu as fait un gros boudin, mordez et retouches, en bouche?
> hors de la bouche? Un mix.
> Quel consistance la résine quand tu retires? (perso j'ai de la Tab 2000 mais
> c'était pas celle-là, pas texton non plus c'est la troisième)
> ¨Pas trop de déformation de polymérisation?

Gros boudin, mordez, tu retires, tu découpes les exces, tu remets en place, quand ça commence à peine à figer tu rebases avec de la résine fluide, et après tu fais comme avec une nana, tu la mets tu la retires tu la mets tu la retires.... (pardon c'était trop tentant)

L'expansion correspond peu ou prou à la sculpture des sillons donc pas gênant, en même temps je dis ça mais j'ai jamais pu sortir quelque chose de potable avec des composites à provisoires, chacun son truc.


Nouveau image bitmap fz77zh - Eugenol
Sethef

20/03/2018 à 21h26

vulpi écrivait:
-----
> GéPé écrivait:
> ----
> > Oui magnifique implant
> > je suis pas d'accord sur la longueur des dents maxillaire, mais passons
>
> Sur les photos c'est coton, le patient l'aide pas, il fait une grimace et un
> sourire pas franc ensuite.
> Je suppose que tu as réglé avec un truc genre faite "fe, ve"
>

Même pas vraiment, tout au feeling, mais les 5 minutes à discuter au début de la prochaine séance ne seront évidemment pas anodines.

J'ai quand même un avantage dans ce cas, la RIM sera peu ou prou conservée, c'est pour ça que je parlais de cas simple au début. J'en ai 3 autres en cours où c'est un tel merdier...


Nouveau image bitmap fz77zh - Eugenol
Sethef

20/03/2018 à 21h31

enlaye écrivait:
------

> ç est bien pcq quand tu prendras l'empreinte H+B de toutes les dents taillées ,
> tu pourras les monter sur articu , et faire le wax . et ça ç est le top pcq tu
> feras le wax en fonction de tes criteres de taille donc de concervation des
> tissus dentaires .
> je ne le redirais jamais assez : le wax doit etre fait sur les dents taillées .
> sinon ce n'est que de la peinture à la cire à bougie .( t'y rajoute une meche et
> ç est tres joli pour la veillée de noel ).


Y'aura pas de wax, le wax c'est mes pros ;-) Je vais les retravailler au fur et à mesure de l'avancée, encore qu'il n'y aura pas de boulot énorme ici, puis alginate et ça part chez le proth en même temps que le silicone. Par contre, il me fera probablement une prévisualisation en résine sur les armatures pour confirmer une dernière fois.

(Encore que je parle d'armatures, mais je me demande si le bloc antérieur ne sera pas sur zircone, j'hésite encore)


6szjws718sv1jksw54v4mpj3a6cu - Eugenol
vulpi

20/03/2018 à 22h01

Sethef écrivait:
------
> vulpi écrivait:
> -----
> > Ta block technique? Tu as fait un gros boudin, mordez et retouches, en bouche?
> > hors de la bouche? Un mix.
> > Quel consistance la résine quand tu retires? (perso j'ai de la Tab 2000 mais
> > c'était pas celle-là, pas texton non plus c'est la troisième)
> > ¨Pas trop de déformation de polymérisation?
>
> Gros boudin, mordez, tu retires, tu découpes les exces, tu remets en place,
> quand ça commence à peine à figer tu rebases avec de la résine fluide, et après
> tu fais comme avec une nana, tu la mets tu la retires tu la mets tu la
> retires.... (pardon c'était trop tentant)
>
> L'expansion correspond peu ou prou à la sculpture des sillons donc pas gênant,
> en même temps je dis ça mais j'ai jamais pu sortir quelque chose de potable avec
> des composites à provisoires, chacun son truc.

Je ne fais plus ainsi... composite. Avec les résines pour accélérer la prise final, une fois sortie en consistance plastique presque dure je mettais un coup de sèche cheveux, seul usage pour moi de cet appareil. Finalement ça ne déformait pas tant que cela et évaporait bien les reliquats de liquide.
Je dessinais en bouche au crayon mine 0.7) les formes des dents et retouchais hors de bouche.

Les "fe, ve" font jouer la lèvre inf qui n'était pas anesthésiée;-)

Quelle stratégie as tu pour les prépas des incisives du bas? le patient est tendance bout à bout.


6szjws718sv1jksw54v4mpj3a6cu - Eugenol
vulpi

20/03/2018 à 22h03

pxav écrivait:
----
> vulpi écrivait:
> -----
> > Nan Junior, les deux sont possibles, tu adapteras le prov de labo et/ou les
> > prépa, c'est bien aussi.
>
> et oui le tout c'est de savoir ce que l'on fait, (mdr je me la pète), exemple
> (je n’ai pas la photo du modèle taillé désolé) mais strictement aucune retouche
> à la taille , seule 33 en occlusion et un petit peu trop fin sur 42 en
> lingual...
> --
Avec le calage postérieur que tu avais c'était pas trop difficile non plus; Tout sur dents vivantes?
Faut pas donner tous nos trucs au Junior, y fait rien qu'à copier ;-))


Nouveau image bitmap fz77zh - Eugenol
Sethef

20/03/2018 à 22h20

vulpi écrivait:
> Je ne fais plus ainsi... composite. Avec les résines pour accélérer la prise
> final, une fois sortie en consistance plastique presque dure je mettais un coup
> de sèche cheveux, seul usage pour moi de cet appareil. Finalement ça ne
> déformait pas tant que cela et évaporait bien les reliquats de liquide.
> Je dessinais en bouche au crayon mine 0.7) les formes des dents et retouchais
> hors de bouche.


Oui, criterium également.

Pour les résines composites... J'en sais rien, chaque fois que je tente ça casse ou ça se barre entre les séances, l'état de surface est dégueulasse, j'arrive pas à les travailler, et en plus on en revient au fait qu'il faut un wax. Bref, je dois être un âne mais je n'y arrive pas. Pour moi, le seul défaut de l'unifast, c'est le goût qui est franchement infâme, faut tester pour le savoir.
>

>
> Quelle stratégie as tu pour les prépa des incisives du bas? le patient est
> tendance bout à bout.

Tu verras vendredi ;-)


S2y2o1v7q53ws4r5wy6ou8czrpom - Eugenol
pxav

20/03/2018 à 22h41

vulpi écrivait:
-----

> Avec le calage postérieur que tu avais c'était pas trop difficile non plus; Tout
> sur dents vivantes?
> Faut pas donner tous nos trucs au Junior, y fait rien qu'à copier ;-))


ben le problème c'est que le wax up il était pour tout le maxillaire et la mandibule, j'ai fait par étapes, mais pas de modif des wax up...

--
xbk
La connaissance s'acquiert par l'expérience, tout le reste n'est que de l'information." ALBERT EINSTEIN

Img 5931 nvy6ja v8kv8p - Eugenol
Img 5947 jmc4sk e8aj90 - Eugenol
Img 5953 dg5f79 sihovb - Eugenol
Img 5954 corwbg bev1mw - Eugenol
Img 5955 lcufkr iziqef - Eugenol

Aiguille cyboyt - Eugenol
fatboy

21/03/2018 à 04h30

J'aime pas la Tab 2000, polissage difficile, moins precise je trouve que l'unifast que j'utilise depuis la fac est la meilleure.
Grand fan de block technique aussi, ca s'appelle aussi une patate... Faire une boulette entre ses doigts (si c'est trop tot ca colle au gant), mettre sur la dent taillee, mordez, ajustez avec le doigt en vest (attention aux molaires tres rondes ou la resine va se bloquer dans les contre-depouilles, et tu vas passer 1/2 h a tailler de la resine), enlever, marquer les points de contact au HB, premiere taille rapide, rebasage avec resine liquide, mettre-enlever plusieurs fois, retaille et finitions. en tout 10 min pour une molaire.


Utilisateur banni

21/03/2018 à 07h28

vulpi écrivait:
-----
> Nan Junior, les deux sont possibles, tu adapteras le prov de labo et/ou les
> prépa, c'est bien aussi.

On cherche des noises ?on cherche à me contredire ? :)
Sauf qu’une taille sur plâtre est souvent faite à minima de façon à ne pas avoir de retouches au fauteuil
Mais bon en bon radin je dois avouer que je fais comme pxav


Generique fraisage r2rxmm - Eugenol
lardonbis

21/03/2018 à 08h42

en compo ça va beaucoup plus vite.
je pistole et je taille direct en bouche, comme un gros cochon.
c'est aussi bien plus fragile que l'unifast je trouve.
niveau poli... unifast vainqueur . caoutchouc, poil de chèvre (je sais.... c'est pas de la chèvre ), feutre; en 1 min tu te vois dedans.

polir le compo je fais pas... mes limites sont toujours trop dégelasse pour que ça serve à quelque chose... y'a une astuce ?


6szjws718sv1jksw54v4mpj3a6cu - Eugenol
vulpi

21/03/2018 à 09h42

pxav écrivait:
----
> vulpi écrivait:
> -----
>
> > Avec le calage postérieur que tu avais c'était pas trop difficile non plus;
> Tout
> > sur dents vivantes?
> > Faut pas donner tous nos trucs au Junior, y fait rien qu'à copier ;-))
>
>
> ben le problème c'est que le wax up il était pour tout le maxillaire et la
> mandibule, j'ai fait par étapes, mais pas de modif des wax up...
>
Alors bravo.
Quand je fais c'est aussi par étape et le définitif souvent genre légo avec anticipation des plans B.


6szjws718sv1jksw54v4mpj3a6cu - Eugenol
vulpi

21/03/2018 à 09h47

Alors pour 1 à trois dents, en bouche tellio modelé aux doigts+ téflon, polymérisation, emp putty fast kwick-tray, puis auto-moulage fin de séance, en auto-moulage tu a de plus jolis états de surface. Sinon, c'est un compo, ça se travaille comme un compo.
L'avantage, sil le traitement est long ou dents antr c'est de conserver l'empreinte au K-tray, au cas ou, le truc est gérable en pas 10 min.


Vw campersurfvan bmnk1q - Eugenol
enlaye

21/03/2018 à 09h49

Sethef écrivait:
------
"Tu verras vendredi ;-) "
Vendredi ç est aioli .


Hok 1b hgd3rj - Eugenol
Hokusai

21/03/2018 à 09h49

fatboy écrivait:
------
> J'aime pas la Tab 2000, polissage difficile, moins precise je trouve que
> l'unifast que j'utilise depuis la fac est la meilleure.

L unifast trad ou l'unifast III ??
L unifast III est quand même super chère.


Vw campersurfvan bmnk1q - Eugenol
enlaye

21/03/2018 à 10h30

Quand tu fais faire le prov par le labo avant tailles:
Il te gatte les dents sur le platre .et apres il te fait le prov . Et le pb se pose surtout au niveau des limites proximales .
Alors quand tu le mets avant rebasage , il fait tjs plic ploc ,mais comme tu n y vois rien , tu t ennerves , tu surtailles , et ça part en couilles .
Donc tu fais des tailles non pas en fonction du cas mais en fonction du prov . Un comble .ahhh il est bo le wax up de c t'inc...
Mais , mais , il y a une astuce :
Tu lui demandes ,d ouvrir toutes les faces occlusales .
Ainsi tu as une vue directe des limites à travers ces faces occlusales ouvertes .
Donc une fois que tu as taillé (comme toi tu l as decidé ) tu sais où niaquer le prov pour eviter les bascules .
Il ne te reste plus qu à rebaser sous pression occlusale avec le teflon .
Bien sur s il y a beaucoup de pilier , tu peux le faire en plusieurs fois .
Probleme 47 roro l element pour des anneaux ça fait mal au cul .


Generique fraisage r2rxmm - Eugenol
lardonbis

21/03/2018 à 10h30

Hokusai écrivait:
-------

> L unifast trad ou l'unifast III ??
> L unifast III est quand même super chère.

je savais même pas qu'il y en avait plusieurs....


6szjws718sv1jksw54v4mpj3a6cu - Eugenol
vulpi

21/03/2018 à 10h51

junior® écrivait:
-------
> vulpi écrivait:
> -----
> > Nan Junior, les deux sont possibles, tu adapteras le prov de labo et/ou les

> Mais bon en bon radin je dois avouer que je fais comme pxav

Ah! Tu penses que c'est cadeau?


S2y2o1v7q53ws4r5wy6ou8czrpom - Eugenol
pxav

21/03/2018 à 11h12

pour moi oui, ça me coûte la même chose, avec ou sans wax up (quasiment jamais sans )...:-))
avantage du prothésiste salarié..
Vous inquiétez pas, il y a sans doute des inconvénients...
j'aimerais bien voir des photos du copieur...j'ai comme un doute.


--
xbk
La connaissance s'acquiert par l'expérience, tout le reste n'est que de l'information." ALBERT EINSTEIN


6szjws718sv1jksw54v4mpj3a6cu - Eugenol
vulpi

21/03/2018 à 11h18

Raconte?


Nouveau image bitmap fz77zh - Eugenol
Sethef

21/03/2018 à 12h04

Copieur? Les dupli résine?


S2y2o1v7q53ws4r5wy6ou8czrpom - Eugenol
pxav

21/03/2018 à 12h25


un qui dit:" je dois avouer que je fais comme pxav"

--
xbk
La connaissance s'acquiert par l'expérience, tout le reste n'est que de l'information." ALBERT EINSTEIN


Nouveau image bitmap fz77zh - Eugenol
Sethef

23/03/2018 à 19h29

Bon, c'était un peu le bordel ce matin. Déjà, parce que le proto devait me livrer le fer à cheval ci-dessous hier soir, et qu'il est arrivé à 9h15, et le 15 a hélas de l'importance. Du coup, pour la suite, j'ai été un peu charrette, et je sentais bien que si je comptais manger à midi, j'avais intérêt à me bouger...

Img 4348 nxrdzd - Eugenol

Nouveau image bitmap fz77zh - Eugenol
Sethef

23/03/2018 à 19h41

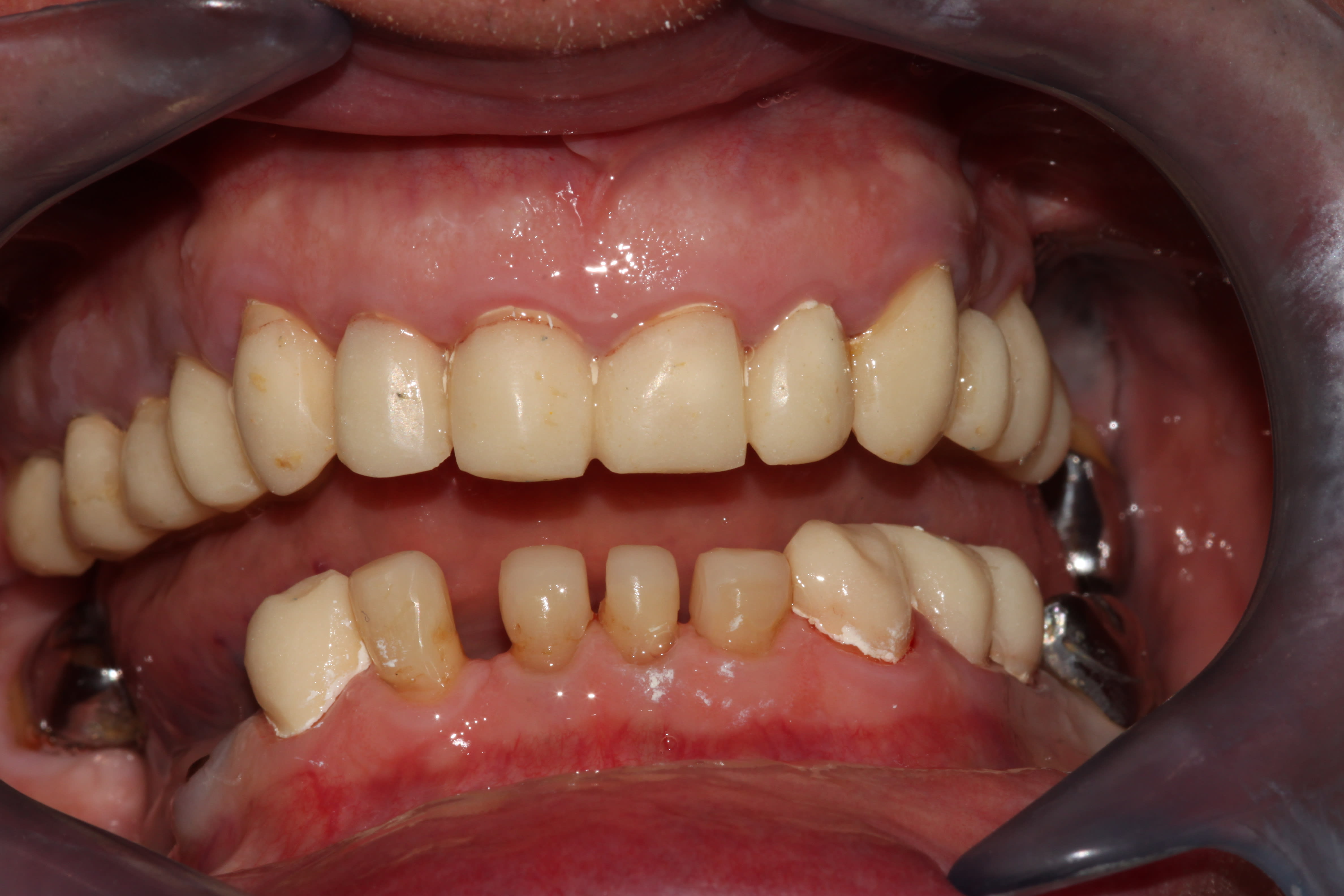
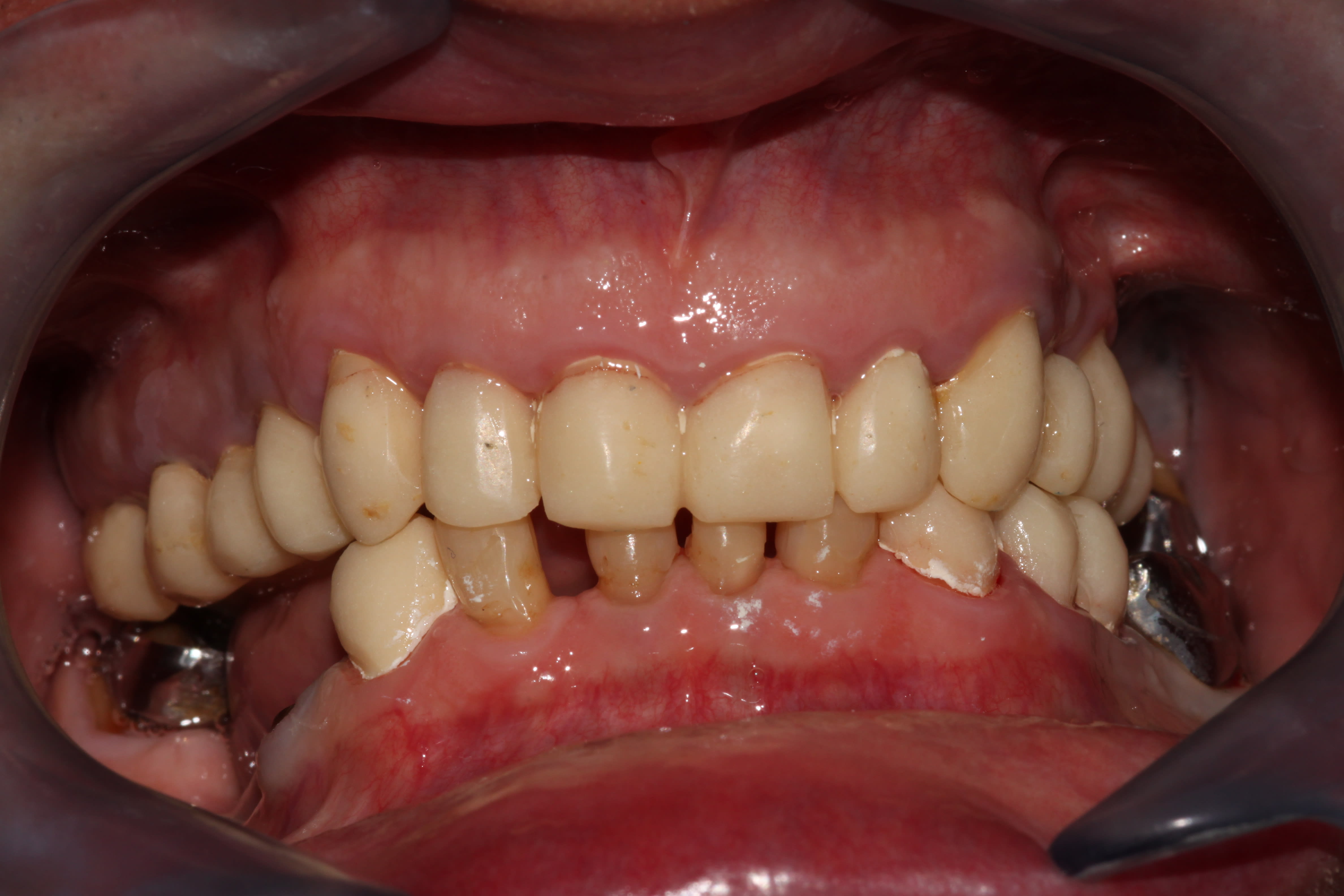
Du coup, on a quand même eu le temps de préparer 33 34 35 43, réaliser les compos ants, virer la 36, et échouer à faire de même pour la 35, là je suis bien passé pour un âne d'autant que je me demande encore à quoi elle tient, saleté.

Pas eu le temps de rebosser mes anatomies du coup, j'ai une séance dédiée la semaine pro, j'en profiterai pour augmenter la longueur de 32, je me suis laissé avoir par la digue.
Point de vue occlusal, la DV n'a finalement pas été modifiée, mais on a donné vachement d'espace à la mandibule, qui devrait pouvoir se positionner de manière légèrement plus antérieure, ce garçon avait tendance à "s'enfoncer".

(et par ailleurs, la macro ne pardonne rien, bordel, faut aussi que je bosse mes polissages)
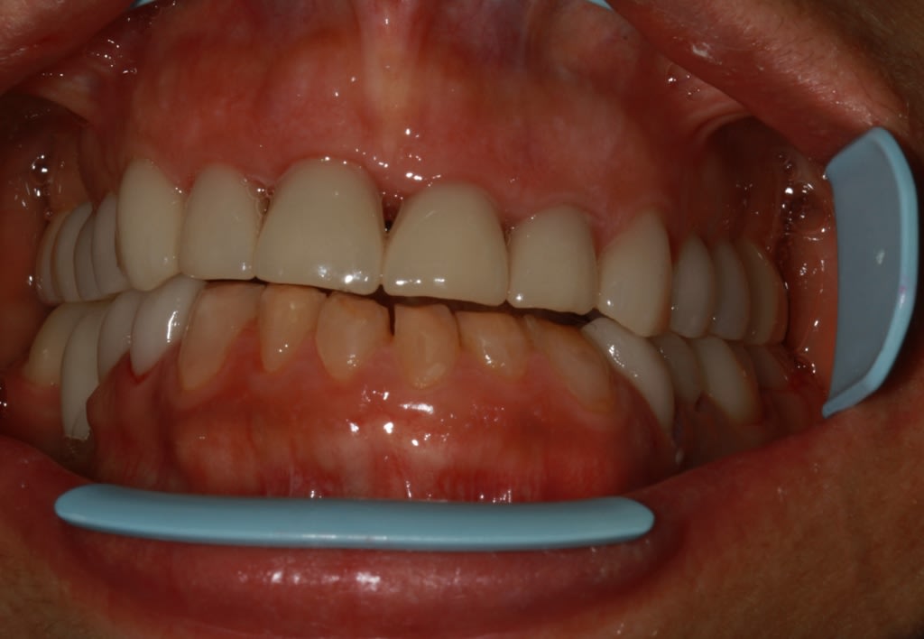
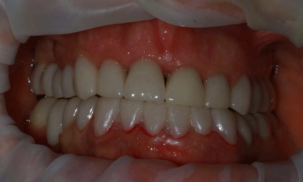
(néanmoins, en une semaine et sans avoir encore pris d'empreinte, on est passé de la photo 3 à la photo 2, quand je me sens nul je regarde ça et ça me fait du bien)

Img 4354 wxzini - Eugenol
Img 4355 n1s8zz - Eugenol
Img 4342 kzexrh - Eugenol

Utilisateur banni

23/03/2018 à 20h01

pxav écrivait:
----
>
> un qui dit:" je dois avouer que je fais comme pxav"

Quel est mon intérêt de dire que je fais comme toi ? Malheureusement oui ça me fait mal au cul de le dire mais pour un type de cas comme celui de sethef je ne me fais pas chier à faire des 1ères générations puis 2ème. Pour des raisons d’économies et de gain de temps , je fais comme toi . Et si tu veux qu’on rentre plus dans les détails, j’en ai parlé à Enlaye en MP , quand Sethef a posté son sujet.... et je lui ai dit j’aurais fait wax up et provisoires en indirect. Enlaye pourra en témoigner.

Ou pour les cas plus simples , je fais empreinte pour IC et provisoires qui sont faits sur le même modèle.... en se passant des wax up .
La différence c’est que ça n’est pas brizitte qui me fait ça. C’est un chinois et ça me coûte moins cher. :)


123...