Cookie Consent byPrivacyPolicies.comJe pose ça là - Eugenol

Je pose ça là

Vw campersurfvan bmnk1q - Eugenol
enlaye

23/03/2018 à 21h18

Le wax up , s il est fait par le labo n a que peu d interet finalement .
C est juste 1 entrainement pour le labo et un moyen de surveillance de ce qu il a l intention de te refiler par la suite . Or , il te le fait payer , et ça ç est fort :-)
Par exemple , si tu fais un haut sans le bas , enfin pas encore , il faut lui demander le wax du bas ( que tu valides ) pour qu il se cale sur ce meme bas .
Sinon , il te fait mais alors n importe quoi , et quand apres il fait le bas c est toi qui pleure .

Alors que dans le cas de Sethef , faire un prov a main levée , ç est autrement plus difficile que de faire un wax sur tailles.
Il faut tailler en fonction de ce qu il y a , tout en immaginant ce qu il y aura , et en le realisant sur un truc qui risque de prendre feu :-).
Donc je pense que ceux qui sont capable de faire ça , s il continuent a le faire , ç est du gaspillage !


mr smith

23/03/2018 à 22h15

enlaye écrivait:
------
> Quand tu fais faire le prov par le labo avant tailles:
> Il te gatte les dents sur le platre .et apres il te fait le prov . Et le pb se
> pose surtout au niveau des limites proximales .
> Alors quand tu le mets avant rebasage , il fait tjs plic ploc ,mais comme tu n
> y vois rien , tu t ennerves , tu surtailles , et ça part en couilles .

Ben oui meme longueur d'ondes , c'est évidentissime d'autant plus que des couilles on en n'a que 2 pour quelques années d'exercices et y a pas de joker ;o)


Nouveau image bitmap fz77zh - Eugenol
Sethef

23/03/2018 à 23h04

enlaye écrivait:
------

> Par exemple , si tu fais un haut sans le bas , enfin pas encore , il faut lui
> demander le wax du bas ( que tu valides ) pour qu il se cale sur ce meme bas .
> Sinon , il te fait mais alors n importe quoi , et quand apres il fait le bas c
> est toi qui pleure .


C'est évidemment, mais tu t'en doutes, le but du jeu; la suite de l'histoire, ce sera la réalisation du bas en fonction du provisoire du haut (retravaillé). Puis du haut en fonction du bas.

Tiens, d'ailleurs, dans les petits détails à définir, qui devraient arriver rapidement: sur 33 43 44 45, qui ferait des fraisages linguaux, et qui de simples taquets occlusaux?


6szjws718sv1jksw54v4mpj3a6cu - Eugenol
vulpi

24/03/2018 à 06h26

simples taquets


Vw campersurfvan bmnk1q - Eugenol
enlaye

24/03/2018 à 07h54

Tu te demerdes comme tu veux pour qu il n y ait aucune surface metallique ( taquet ou autre ) en occlusion .
Faut tjs faire tres attention aux cretes proxymales d une façon generale .


Utilisateur banni

24/03/2018 à 18h36

Au fait .... à celui qui ne supportait pas qu’on publie sur son post expansion :
6 mois -1 an après pour le cas avec expansion + summers dans le même temps opératoire et sur le même implant avec implants sur 23 et 25 ... 23-24-25 bridge sur implants avec récupération d’axe sur 23.
Y a 26 27 et 22 à refaire, ça n’est pas de mon ressort. Mais pas la moindre perte d’os sur mon travail et sur les implants 23 et 25.

6d2c794d df9d 4607 bebe ef54f34d15cc gd6pju - Eugenol

Aiguille cyboyt - Eugenol
fatboy

26/03/2018 à 10h13

Hokusai écrivait:
-------

> L unifast trad ou l'unifast III ??

L'unifast trad. Je ne connaissais meme pas la III, elle a un interet? je ne serai pas contre un peu de translucidite, l'unifast est vraiment opaque.


Ylfwcw979cz1jnx9gfqeaxndiuzk - Eugenol
Algi

26/03/2018 à 18h19

Et oui des fois je fais autre chose que balancer de la zique sur le forum...

En même temps c'est parcequ'on a parlé de ce post sur celui de la zique que je me pointe ici, remerciez Daryl qui a parlé du teflon de Vulpi (ou pas).

Si je puis me permettre de mettre mon grain de sel...

Perso j'ai essayé plein de produits pour provisoires mais ne sais bosser qu'avec l'unifast..... ça pue, ça chauffe mais je fais avec depuis des années et arrive pas à passer à autre chose.

Le truc du Teflon, Enlaye ou Vulpi, on peut le ravoir? Ça m'interresse.

Pour les provisoires je me sers beaucoup des moules provident en unitaire, sachant qu'on peut faire une dent après l'autre et les solidariser ensuite. Voire mouler un inter et le coller aux adjacentes ensuite.

Ils font aussi des moules pour bridges mais m'en sers pas souvent.

Pour info: on peut coller du composite sur de l'unifast si on veut faire le cake et donner de la translucidité. Ca tient ce que ça tient (on est sur des provisoires non?) mais ça peut permettre de retoucher en bouche ou de donner des effets.

Pour ce qui est de transmettre au labo j'avais il y a longtemps posté un truc qu'il faut que je retrouve qui pourrait vous aider à tester la dv et les rapports entermaxillaire et les transmettre au labo.

Pour ce qui est des provisoires labo, de tailler avant/tailler après j'ai pas d'avis tranché, c'est selon le cas et l'envie du moment (et du temps dont je dispose).

Idealement je taille avant et donc realise des provisoires en bouche puis fait une empreinte pour provisoires labo qui, de toutes façons rentrent JAMAIS bien et qu'il faut inévitablement rebaser...

J'essaie de remettre la main sur quelques docs perdus au fin fond de mon disque dur, a+


--
On a toujours le choix mais entre quoi et quoi?
Vas-y boulégue et l'avenir te le dira!


Ylfwcw979cz1jnx9gfqeaxndiuzk - Eugenol
Algi

29/03/2018 à 18h26

Comment determiner la dimension verticale....

Ca a pris du temps car j'ai du deterrer un post de 2003......





algi avait ecrit:

Enregistrement de l'occlusion avec des bouts de papier....Tout un programme, ça va pas être simple, mais je vais essayer.

1/ Rappel anatomique: le temporal a 3 faisceaux qui s’insèrent, au niveau du crâne, sur la "ligne dont je ne me rappelle plus le nom" (cf vos cours d'anatomie) qui décrit un arc de cercle qui, grosso-modo, entoure le pavillon de l'oreille sur un rayon de 3/4 cm. 1/3 antérieur=faisceau antérieur, 1/3moyen=faisceau moyen etc... Il est possible de repérer l'insertion du muscle en demandant au patient de serrer les dents et on sent alors avec l'index placé sur le crâne la contraction du muscle.

2/ On repére les trois faisceaux et ensuite, patient mâchoire légèrement serrée, on va appliquer une pression sur le muscle bilatéralement (un index de chaque côté en même temps) sur les 3 faisceaux à la suite. Si le muscle est spasmé, le patient ressentira une douleur + ou - forte selon la zone.

3/ Trés schématiquement, le faisceau moyen permet de régler la hauteur sagittale (à droite et à gche): sensible si hauteur incorrecte.

Si la mandibule est déviée ou si la hauteur est incorrecte de façon asymétrique les faisceaux ant et post controlatéral seront sensibles aussi.
Le temporal post est sensible si le condyle mandibulaire est en rétrusion.
Le T. ant sensible si mandib en protrusion.

Une fois le bilan fait, je positionne des couches de papier bristol calibrées (cartons de RDV sont trés bien) sur les dents ou les maquettes d'occlusion, de la canine à la 7 de chaque coté, jusqu'à obtenir une sédation des douleurs.

Par exemple, mon patient sera "bien" avec 8 feuilles à droite et 2 à gche rajoutées une aprés l'autre. Cette DVO est la premiére, la plus basse, acceptée par le patient.
Rien n'interdit de voir combien de feuilles peuvent être rajoutées (de façon symétrique à ce moment là) pour obtenir la DVO maxi acceptée. Idéalement, je me positionne au milieu des deux valeurs si c'est possible (esthétique, impératifs prothétiques....). Ici, dans notre exemple, je vais arriver à 14 dte et 8 gche (6 feuilles pour être au milieu).

4/ Réalisat° d'un jig résine avec mordu sur cartons en post.

5/ Je garde que le jig, je vire les cartons et je prends mon occlusion (silicone d'enregistrement).

6/ Petits exercices et "LE" cas clinique:

Si douleur bilatérale en post uniquement: mandibule en rétrusion des deux cotés

Si douleur ant uniquement: md en protrusion

Si douleur Moyen bilat: DVO incorrecte sur mandibule centrée

Probléme: douleur Ant droit/Post Gauche et Moyen G?.....

Reflechissez encore un peu.....

Latérodéviation + probleme DVO à G? Cherchez la coiffe en surocclusion à gauche ou la 37 versée (36 absente bien sûr...) qui desequilibre tout ou encore.... .

Soyez honnéte si la coiffe est celle que vous avez posée 6 mois avant....

Faites vos propres combinaisons en mélangeant tout ça.....

nb: si gros décalage mandibule (latérodéviat°) il est possible de déplacer vers le milieu "à la main" pour la recenter et vérifier sur le temporal si cette nouvelle position est plus correcte.

Cette technique est simple et assez rapide à utiliser avec un peu de pratique. Il m'est arrivé de surélever des occlusions de prés de 10mm d'un coup sans probléme.
Idéal pour caler des gouttieres ou des provisoires, génial pour la prothése totale....

Petit bémol: il me semble préférable de laisser cette occlusion en place au moins 1 mois pour verifier l'acceptation et surtout pour laisser au système le temps de s'équiliber.
Trés souvent, on note une amélioration sensible du fonctionnement des ATM (remaniements articulaires se mettent en place). Dans les cas sévéres je réitére l'operation plusieurs fois et il n'est pas impossible de laisser le patient finir sa reeducation sur 12 ou 18 mois avant de réaliser la réhabilitation définitive.

Dans les cas complexes il est plus simple alors de réaliser des gouttieres rigides "clippées" sur la mandibule et "rebasées" occlusalement de loin en loin. Si le patient ne supporte pas il peut les enlever et si la modification de l'occlusion est telle que je prends peur (il ne le supportera jamais, me dis-je!!!) celà me rassure intellectuellement: si je me suis planté on changera la gouttiere...

Ex: une patiente, SADAM avec PAT H&B. Réglages papiers: recul de 1,5 cm de la mandibule et décalage de 0,5 cm à gauche par rapport à occlusion des prothéses en place. Tellement gros que je n'y crois pas. Réalisation gouttiere thermo formée sur PAT mandib dans cette position. Vient le jour de l'essayage: gros, gros doutes... Je présente la chose à la patiente, la lui mets en bouche, elle mord dessus et je suis stupéfait de la voir se détendre immédiatement et me dire (la bouche en travers) "Oh! Comme je suis bien, ça alors!!!".
Elle a porté sa gouttiere 3 mois, j'ai refait un enregistrement et réalisé le définitif dont elle est ravie depuis.

Si dans 6 mois elle revient et se plaint c'est que la rééducation n'était pas terminée et je rebaserai ou remonterai les dents (tant pis pour moi si j'étais trop pressé...)

7/ La posture de la mandibule est en relation avec la posture globale du patient et son état psychologique: si un des parametres change, l'occlusion change aussi....Evitez le bridge complet tout céramique si le patient vous parait instable.

cas presenté: photos avec l'iphone....

Cales composites collées sur dents existantes, et composites directs sur les 6 anterieures, le haut etait pas prioritaire


Ylfwcw979cz1jnx9gfqeaxndiuzk - Eugenol
Algi

29/03/2018 à 18h27

Les photos sont pas passées..... on verra + tard


--
On a toujours le choix mais entre quoi et quoi?
Vas-y boulégue et l'avenir te le dira!


Ylfwcw979cz1jnx9gfqeaxndiuzk - Eugenol
Algi

29/03/2018 à 20h07




--
On a toujours le choix mais entre quoi et quoi?
Vas-y boulégue et l'avenir te le dira!


Dprtmuluo7sk4wxn8aabgsxy7sde - Eugenol
Pervers Pépère

29/03/2018 à 20h15

Ah, y a Algi qui dit que l'aillefôneu c'est vraiment uneu putinn qué grôsseu merdâsseu invintée queu pour emmerder les jans .


--
Su-Père Pervers


Ylfwcw979cz1jnx9gfqeaxndiuzk - Eugenol
Algi

30/03/2018 à 07h13

Même si je suis d’accord en substance avec ce que tu dis c’est Windows la grosse merdasse en l’occurrence je pense....

Là je suis sur mon tél et ça marche....

05bbb853 73dc 4365 8eb9 9ed4714e86fa aawqnt - Eugenol

Nouveau image bitmap fz77zh - Eugenol
Sethef

03/04/2018 à 18h29

Tiens pour revenir sur ce qu'a dit gp sur la dv:
les empreintes pour les cerams du bas ont été prises vendredi dernier, et j'en ai effectivement profité pour remonter d'un chouille le bazar, esthétiquement l'étage inf de la face était clairement rajeuni. (au compo+teflon, zavez vu j'écoute bien ce qu'on me dit)

Pas supporté, je viens de retoucher les pro modifiées. (la dv, ça ne se remonte pas systématiquement)


Vw campersurfvan bmnk1q - Eugenol
enlaye

03/04/2018 à 18h39

Chaques fois que j ai essayé de monter la dv , j ai merdé .:-)
J y crois plus :-)


Avatar transparent iqadnc - Eugenol
adhoc

03/04/2018 à 18h48

>Ca a pris du temps car j'ai du deterrer un post de 2003......<

Notre algi, eugenolien numero 37!!! Avec mon level 47, respect. Je crois que le first est ciwil!!!
Bref, ce put... coup de vieux on a. :-)))


6szjws718sv1jksw54v4mpj3a6cu - Eugenol
vulpi

03/04/2018 à 19h01

enlaye écrivait:
------
> Chaques fois que j ai essayé de monter la dv , j ai merdé .:-)
> J y crois plus :-)

Dans ce cas probablement la DV de départ est la bonne, dents flinguées, phénomènes de rattrapages (égression, dérive mésiale;-) DV très probablement conservée.

Donc pour Enlaye, si tu peux pas par en haut, passe par en bas, plasties osseuses et:ou gingivales, en plus tu nous avais montré un truc dans ce genre avec une fraise flamme, du compo et plein d'incisives mandibulaires.

Il n'y a qu'en three steps que ça fonctionne bien l'augmentation de DV pour une arcade qui n'en a pas besoin.


Vw campersurfvan bmnk1q - Eugenol
enlaye

03/04/2018 à 19h11

Bien sur tu as raison , je voulais dire monter la dv et non pas la remonter .
C est rare que la dv soit efondrée sans compensations .


Ylfwcw979cz1jnx9gfqeaxndiuzk - Eugenol
Algi

03/04/2018 à 19h37

Les photos sont sur l'autre post me v'la bien.....

Et sinon je le crois pas! N° 37!!!!! Mais je ne suis PAS un n°!!!!!!


--
On a toujours le choix mais entre quoi et quoi?
Vas-y boulégue et l'avenir te le dira!

Index nem6ie - Eugenol

Nouveau image bitmap fz77zh - Eugenol
Sethef

03/04/2018 à 22h17




vulpi écrivait:
-----

>
> Donc pour Enlaye, si tu peux pas par en haut, passe par en bas, plasties
> osseuses et:ou gingivales, en plus tu nous avais montré un truc dans ce genre
> avec une fraise flamme, du compo et plein d'incisives mandibulaires.
>
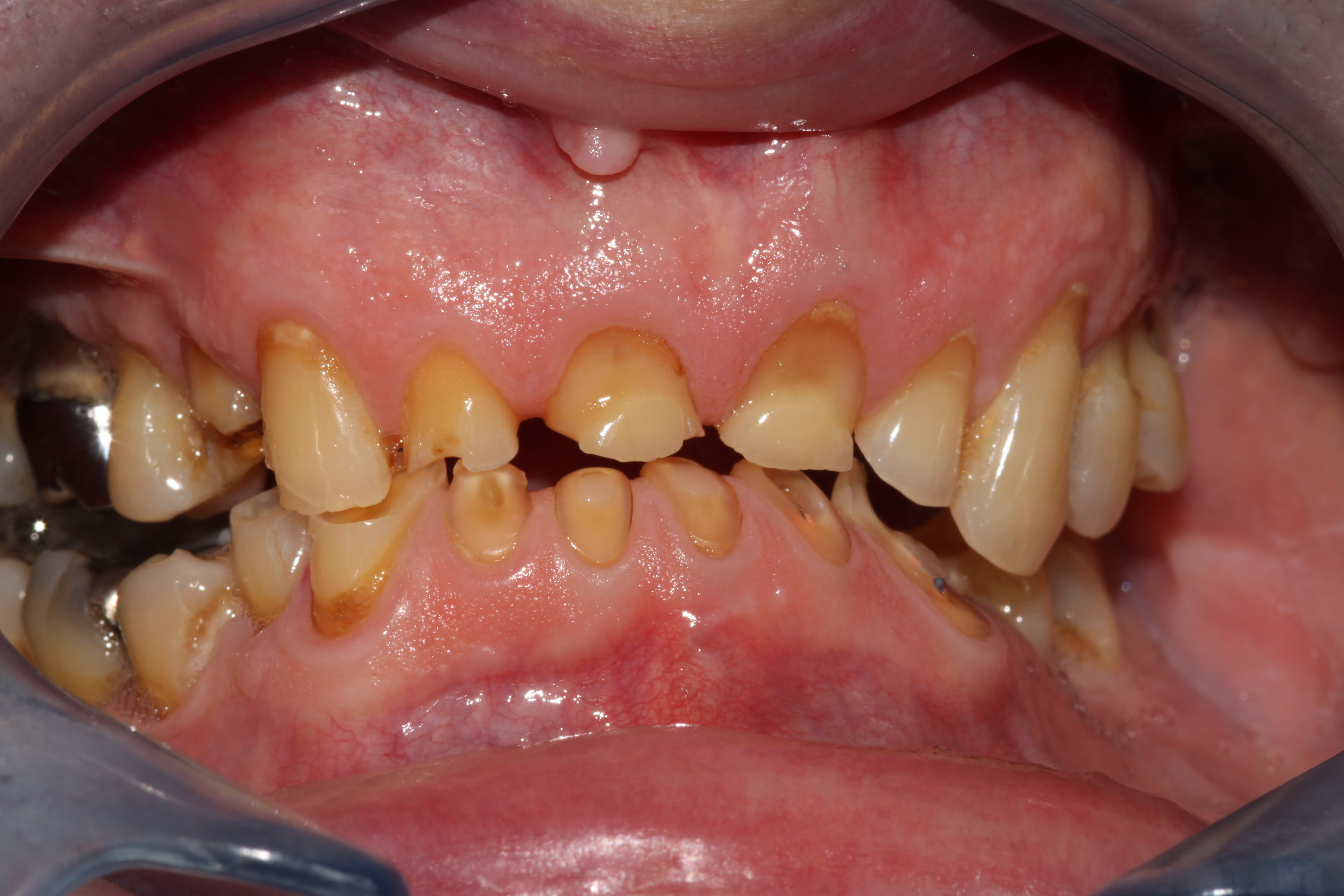
J'avais eu un boulot comme ça, probablement, le plus compliqué que j'ai jamais eu à gérer, les dents à ras la gencive genre attaque chimique interdite par la convention de Genève, et dv parfaitement conservée. Les incisives mandibulaires avaient fini à la benne pour faire de la place.
Je jette un oeil pour voir si je retrouve les photos.

Edit: a y est j'ai retrouvé. Même l'endo avait été une chierie sans nom, toutes calcifiées, toutes les mono-radiculées avaient 2 canaux distincts, j'avais perforé la 45 en tirant de travers...

Img 4061 ru6pto - Eugenol
Img 4178 fcvnew - Eugenol

Vw campersurfvan bmnk1q - Eugenol
enlaye

03/04/2018 à 23h34

Boooo .on reconnait ta signature , tu avais posté un meme genre de sourire dans :
"Le boulot dont vous etes fier" , ou 1 truc comme ça .


Nouveau image bitmap fz77zh - Eugenol
Sethef

04/04/2018 à 00h19

Ce boulot date de 2 ans je crois. Pas retrouvé celui auquel tu penses, mais j'imagine que ça doit plus être le style du prothésiste que le mien.
J'y ai pensé parce que j'ai revu le patient aujourd'hui, je m'occupe de son épouse maintenant. Stellites en place depuis 23 ans, "un peu" enfoncés. Donc vestibulo version des antérieures restantes bien sûr. C'est plus simple, elle j'ai pu lui remonter sa dv haha.


Nouveau image bitmap fz77zh - Eugenol
Sethef

13/06/2018 à 13h19

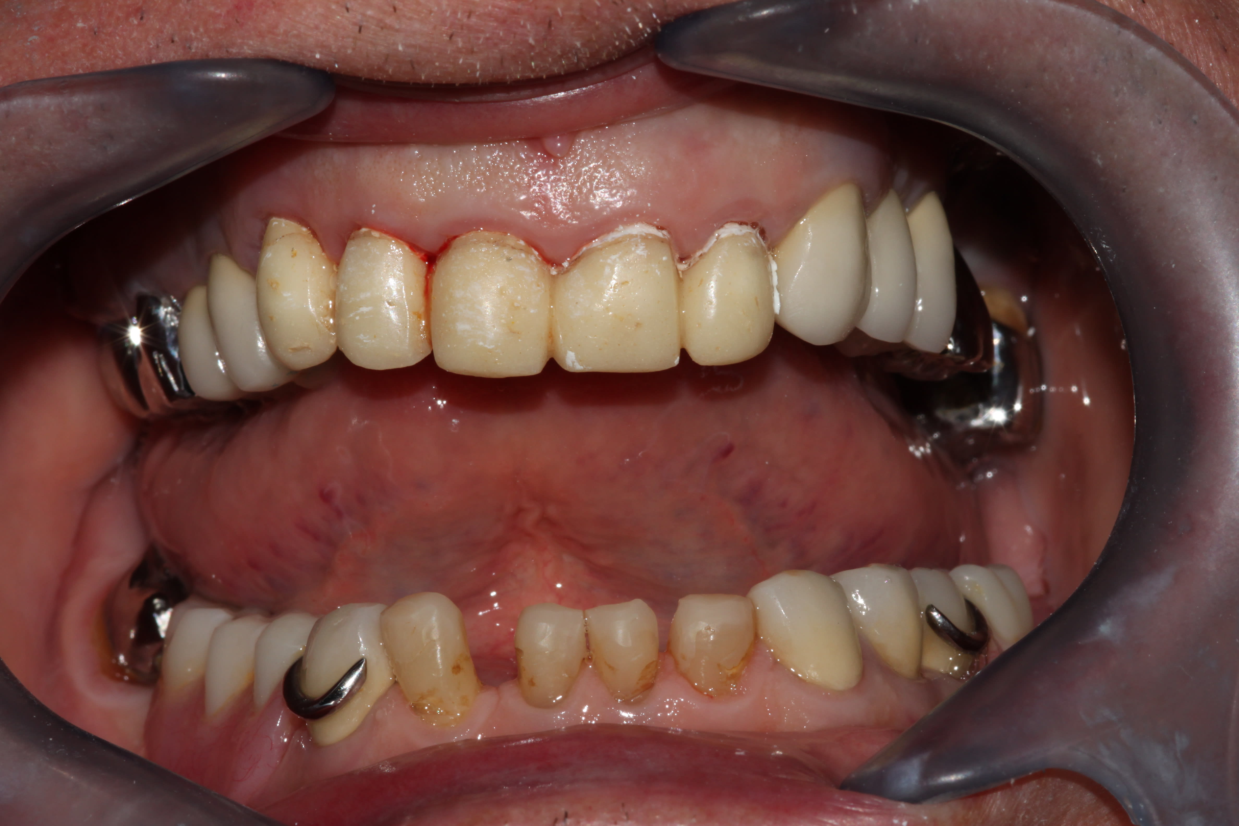
Bon, je me suis un peu laissé aller, j'ai les burnes out.
Donc entre temps, j'ai fini cette histoire, ça aura pris un peu moins de 3 mois, vacances et jours fériés compris.
Donc d'abord réalisation des céramiques du bas et du stellite...
A chaque fois on en profite pour rebosser les anatomies.

Img 4367 k06atf - Eugenol

Nouveau image bitmap fz77zh - Eugenol
Sethef

13/06/2018 à 13h25

M'a embêté d'ailleurs ce stellite, il passait son temps à me l'éjecter, j'ai mis un moment à repérer la zone où le plancher lingual remontait pour le repousser, du détail mais bon.

Puis réalisation du postérieur haut, la 28 n'est toujours pas extraite, j'attends qu'elle égresse suffisamment pour la sortir sans anesthésie haha.
On voit qu'à force de modif, la ligne des bords libres est trop basse, la courbe de wilson trop prononcée pour un homme de 60 piges.

Img 4380 g3hpyr - Eugenol

Nouveau image bitmap fz77zh - Eugenol
Sethef

13/06/2018 à 13h30

Et enfin, les antérieures sur zircone.
Pour guider le prothésiste, j'ai tout simplement fini de travailler les anatomies sur le plâtre des provisoires, sans m'embêter à peaufiner en bouche.

Img 4384 fzco4a - Eugenol
Img 4385 zsazaz - Eugenol
Img 4386 tagv5e - Eugenol