Cookie Consent byPrivacyPolicies.comJe pose ça là - Eugenol

Je pose ça là

Nouveau image bitmap fz77zh - Eugenol
Sethef

11/09/2021 à 18h21

Au moins sur les forces non axiales, j'ai 2 réponses:
-la première, c'est que j'essaye autant que possible de m'appuyer sur des coiffes solidarisées
-et la deuxième, c'est le positionnement en mésial des taquets sur dents terminales, l'appui étant compensé par le point de contact avec la voisine.

Le reste, j'attends la suite de vos histoires, ça m'inspire.




--
_____________________
Dentiste décroissant.


6szjws718sv1jksw54v4mpj3a6cu - Eugenol
vulpi

11/09/2021 à 22h38

mla3 écrivait:
----
> Vulpi, j'ai rien compris : la partie retentive du crochet c'est la portion
> terminale du bras, rapport avec un taquet ?
Le taquet fixe la hauteur du châssis et par là la position du bout du crochet par rapport à la zone rétentive de la dent, sans c'est moins précis pour un crochet, encore moins pour deux crochets et ainsi de suite ( dans le cas de crochets coulés, càd non ajustable modifiable en bouche).
> dégauchir la position de pap????tu veux dire quoi?
C'est un repère qui permet de fixer la position dans l'espace du châssis, fais un essai de chassis sans taquet et sans cire, c'est pas précis. Si la position du châssis est fixée, celle de la prothèse aussi.
> pour crochet façonné, activable et réactivable point+, mais même en 1/2 jonc
> pas façonnable parfaitement à la face dentaire , donc son action théorique de
> solliciter la dent par portion lors de l'insertion desinsertion est un point -
> l' idéal pas de ce monde.....
Oui... physique théorique versus physique expérimentale 😉


Vw campersurfvan bmnk1q - Eugenol
enlaye

12/09/2021 à 00h25

Sethef écrivait:
------
" Le reste, j'attends la suite de vos histoires, ça m'inspire."

eh bien lorsque je t ai parlé du taquet d occlusion tu te doutes bien que ce n était pas pour parler de prothèse mobile mais plutôt de l incidence du taquet sur les autres dents que les dents support de crochets en l occurrence ici de ta reconstruction .

lors de la fermeture , et que les dents arrivent en contact au niveau des faces occlusales , il y a un leger mvt dans le sens vest lingual ceci afin de guider la fin de la fermeture par la stimulation de la proprioception et d' en augmenter la qualité des contacts .
contacts qui ne sont pas forcement suffisamment stables et verrouillants .
ce qui augmente la valeur du calage , c est lorsque les cretes proximales entrent en contacts .
et là les dents prennent un mouvement mesio distal . comme un effet de coin , et que c est ce petit mvt qui va augmenter , (par rotation des dents du au resserrement ) la puissance des points de contacts occlusaux des faces occlusales dont on a parlé plus haut . en bougeant , les dents se verrouillent à fond .
ç est ce qui favorise le verrouillage et donc le calage .
il va s en dire que lors qu il y a un stellite , il y a un manque de dents , qu il y a déjà un manque de calage évident , et que les dents restantes sont souvent plus mobiles que si elles etaient toutes là .

donc s il y a un taquet d occlusion , il y a forcement une interférence entrainant un manque de verrouillage et de calage , la mandibule glissant dessus . il n y a plus ce petit mvt possible mesio distal .
et s il n y a plus de calage , la mand va essayer de la trouver ailleurs . lors d une edentation terminale , c est vite vu , le calage elle va aller le chercher devant .
tu vois où je veux en venir ? :-)) au sur-contacts sur tes dents prothetiques :-) .


Gabzou

12/09/2021 à 03h49

enlaye écrivait:

>
> donc s il y a un taquet d occlusion , il y a forcement une interférence
> entrainant un manque de verrouillage et de calage ,

Mais vous les faites comment vos taquets? Chez moi c'est dans une logette de la hauteur du taquet. Je ne dis pas que le prothé recréé exactement l'anatomie de la dent, mais en tout cas çà ne fait jamais d'interférence, au pire une perte de contact sur cette zone là, au mieux quelque chose de globalement similaire à avant.


mla3

12/09/2021 à 08h46

Vulpi :
- taquet et jauge enfoncement du chassis : déja l'empte a saisi les dents "taquets"dans une compression ligamentaire arbitraire les unes / aux autres,.
en fonction, troisième variable : la muqueuse,.Si chaque dent "taquettée" et la muqueuse avaient un même coefficient , j'adhérerais à ta vision.
la conception ultra verrouillée d'un stellite, selon moi, reduit plutôt les possibilites micro adaptatives des supports dentaires les uns vis à vis des autres .
- essai chassis nu coulisse neutre (pas de godille) dans l'axe d'insertion (même arciforme) sans frôler les selles .
S'il y a une erreur ensuite c'est au labo ou il y a vrille lors du repositionnement sur le modèle, d'autant que polissage legerement soustractif, granulométrie du plâtre refractaire.... essais de "descente" sur le modèle de travail avec micro usure de celui ci = on a dejà laissé de la precision en chemin.
en antibascule sur le modèle deux (ou plus) stops face inf des selles et en appui sur le plâtre simulant la muqueuse (enregistrement figé dans compression arbitraire.... donc de l'à peu près , mais non contournable)
on voit bien en bouche au stade essai fonctionnel si la coaptation de toutes les parties dento-contacts est ok ou pas à l'échelle macro.
-Taquet témoin de repositionnement horizontal (et Gabzou et Enlaye)
Pour ne pas interferer, le taquet doit integrer la face O initiale, d'ou logette "amélaire", en fait trop peu profonde pour une épaisseur de cire qui ne sera pas deformée à la coulée.
Donc on passe l'émail, de plus la fossette doit être orientée vers le centroïde de la dent, en dos de cuillère asymétrique... eh bien la precision d'intimité entre l'intrados du taquet et la surface dentaire n'y est pas , c'est terminal de coulée et repoli(sablé)... c'est un taquet micro flottant par endroits, un peu frottant à d'autre avec une érosion (chimique et physique frottement) des surfaces dentinaires exposées.

Quant aux interférences : entre Gabzou et Enlaye, ils ne parlent pas à la même échelle, la morpho dune face O de taquet sera toujours une petite patinoire imprécise, à transmission indirecte, donc floutée, au système proprioceptif, et de morphologie non évolutive (adaptative) dans un système qui lui l'est hautement.(comme les faces O des dents prothétiques... une moyenne qui finalement ne colle à personne).
en tous cas, difficile de partager son ressenti empirique, mais plaisir à voir s'affronter des convictions en adjointe, la discipline sans noblesse de nos exercices.


6szjws718sv1jksw54v4mpj3a6cu - Eugenol
vulpi

12/09/2021 à 11h57

C'est parce que tu fais des axes d'insertions verticaux que tu as ces théories pour l'essayage des châssis.
J'aime bien une légère baïonnette.


Nouveau image bitmap fz77zh - Eugenol
Sethef

12/09/2021 à 12h29

En théorie, on devrait pouvoir avoir la même précision d'adaptation de la plaque qu'une conjointe de grande étendue, non? Au moins au niveau des appuis dentaires, sur le mou c'est une autre histoire.

Pourquoi c'est pas le cas?


--
_____________________
Dentiste décroissant.


6szjws718sv1jksw54v4mpj3a6cu - Eugenol
vulpi

12/09/2021 à 12h39

Les formes et différences de volumes, problème de dilatation rétractation thermique.
En rêvant, sur une empreinte optique et un châssis usiné ça devrait le faire.
Sauf que les déplacements des dents supports sont inhomogènes, en fixe tu fixes 😁


mla3

12/09/2021 à 12h44

à mon avis Sethef1) plus de manip (gelatine, modele refractaire
2) préformes modelées et pas cire coulée (en plus respect de ligne de + gr contour... mouais)
3) pièce de grande étendue+ très découpée (inhomogène) et métal très dur au polissage- sablage avec encore ces formes pleines d'anfractuosités.

à mon avis Vulpi : zig zag??? donc à insertion desinsertion certaines dents sont plus tiraillées que d'autres, paralléliseur à la poubelle, plus d'axe d'insertion "moyen",le new art du compromis?
certes avec insertion arciforme (mon post) j'étais déjà un peu hors clous , mais carrément baïonnette ?


Vw campersurfvan bmnk1q - Eugenol
enlaye

12/09/2021 à 12h51

Même si c était le cas ,que l appareil soit parfait , on ne l appelle pas prothèse mobile pour rien :-)
Tu serres a gauche le droit se soulève .
Tu serres derrière le devant se soulève .
Ce qui fait que même lorsque l appareil est neuf et bien fait , les taquets se soulèvent lors des mvts .
Puis très vite avec les forces orthodontiques , les dents ne sont plus comme au départ , et d ailleurs c est là qu il est parfaitement en place , alors que les taquets ne le sont plus.

Alors comme l a dit Mla , je parlais de la proprioception lors de la gestion de la fermeture . Or les taquets qui sont sur les faces proximales sont pile poil où la proprioception doit être la plus fine alors déjà qu ils te suppriment de l information , si en plus ils bougent , ca devient vite un bug ingérable .


C'est sympa vos échanges sur la mobile les gars zé gate et voudrais pas casser l'ambiance mais avec le rac0 sur la résine et à partir de 2022 sur les stellites les considérations anatomofonctionnelles des taquets avec les baffes qu'on va se prendre dans la gueule vont être vite réglées.

Désabusé ?
Nooooooooooooon simplement réaliste.


6szjws718sv1jksw54v4mpj3a6cu - Eugenol
vulpi

12/09/2021 à 13h15

mla3 écrivait:
----

> à mon avis Vulpi : zig zag??? donc à insertion desinsertion certaines dents sont
> plus tiraillées que d'autres, paralléliseur à la poubelle, plus d'axe
> d'insertion "moyen",le new art du compromis?
> certes avec insertion arciforme (mon post) j'étais déjà un peu hors clous ,
> mais carrément baïonnette ?
Technique bordelaise à priori, j'ai piqué ça à une mcu de là bas. L'idée étant que pour des aliments collants plus l'axe d'insertion est rectiligne et plus la désinsertion est certaine.
Avec un décroché la désinsertion est plus difficile.
Il faut que le châssis soit le plus neutre possible en place bien entendu.


Vw campersurfvan bmnk1q - Eugenol
enlaye

12/09/2021 à 13h21

Et oui PP :-) raison de plus de faire simple , sans taquets :-)


mla3

12/09/2021 à 13h48

pp pragmatique : tu nous douches !
Vulpi : fréquence circonstances aliments collants /nombre de pose dépose dans un axe moins secouant sur 24 H? balance en ma faveur.
Quand la morpho rendait une dent naturelle peu favorable, je faisais une fossette amelaire V en regard du bout du bras de crochet pour un léger effet clipsant complémentaire .
pour empte optique, pour le chassis nu à la limite (et on ne parle pas du coût hors norme de production du chassis par ce biais), mais quid de l'enregistrement de la muqueuse sans compression, déjà que l'on ne sait faire qu'un enregistrement en pression arbitraire , simulation très approximative du score de depressibilité des différents secteurs d'appui . Ce serait un stellite top sur son modèle de travail.....🤔

Douche froide drdrpq - Eugenol

mla3

12/09/2021 à 13h55

Enlaye :
appareil "mobile" .... pour une fois ( mla ou l'art de se faire des amis, je peux coacher🤣)tu n'en fais pas une tonne, tes critiques collent à la réalité clinique.même quand on y investit de la rigueur.


6szjws718sv1jksw54v4mpj3a6cu - Eugenol
vulpi

12/09/2021 à 14h44

Nan mais c'est pas donné à tout le monde les techniques new age 😝


Nouveau image bitmap fz77zh - Eugenol
Sethef

13/09/2021 à 19h17

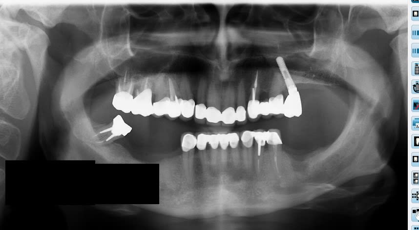
La fin.
Petite image paro sur 16 qui n'était pas là en 2017.


--
_____________________
Dentiste décroissant.

Pano hnxsux - Eugenol

Vw campersurfvan bmnk1q - Eugenol
enlaye

13/09/2021 à 19h39

Sans déconner :-)la 47 , une tueuse :-))


Nouveau image bitmap fz77zh - Eugenol
Sethef

13/09/2021 à 20h06

Et merde, jte jure elle accroche dans aucun mouvement, je suis deg, c'est tellement évident.


--
_____________________
Dentiste décroissant.


Vw campersurfvan bmnk1q - Eugenol
enlaye

13/09/2021 à 20h57

Incroyable .


1...45