Cookie Consent byPrivacyPolicies.comRedresser une 7 sans minivis - Eugenol

Redresser une 7 sans minivis

1309531 ours brun n5iukf - Eugenol
seespan

31/03/2018 à 14h32

Une petite technique sympa pour bouger une dent.
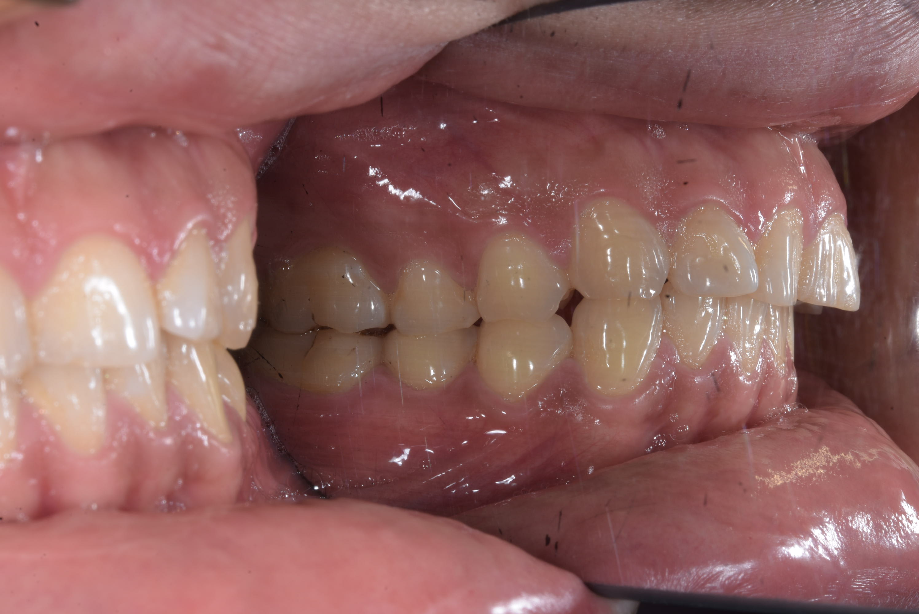
Ici le patient à besoin d'un traitement complet mais j'ai un soucie, la 46 est absente et la 47 versé et à une rotation.
Si je bague haut et bas, je vais être bloqué par le bas qui va prendre plus de temps pour finir la phase d'alignement que le haut. Plus j'aimerais que le patient pose son implant ASAP car sa va faciliter mon travail pour la phase inter arch.
La solution :
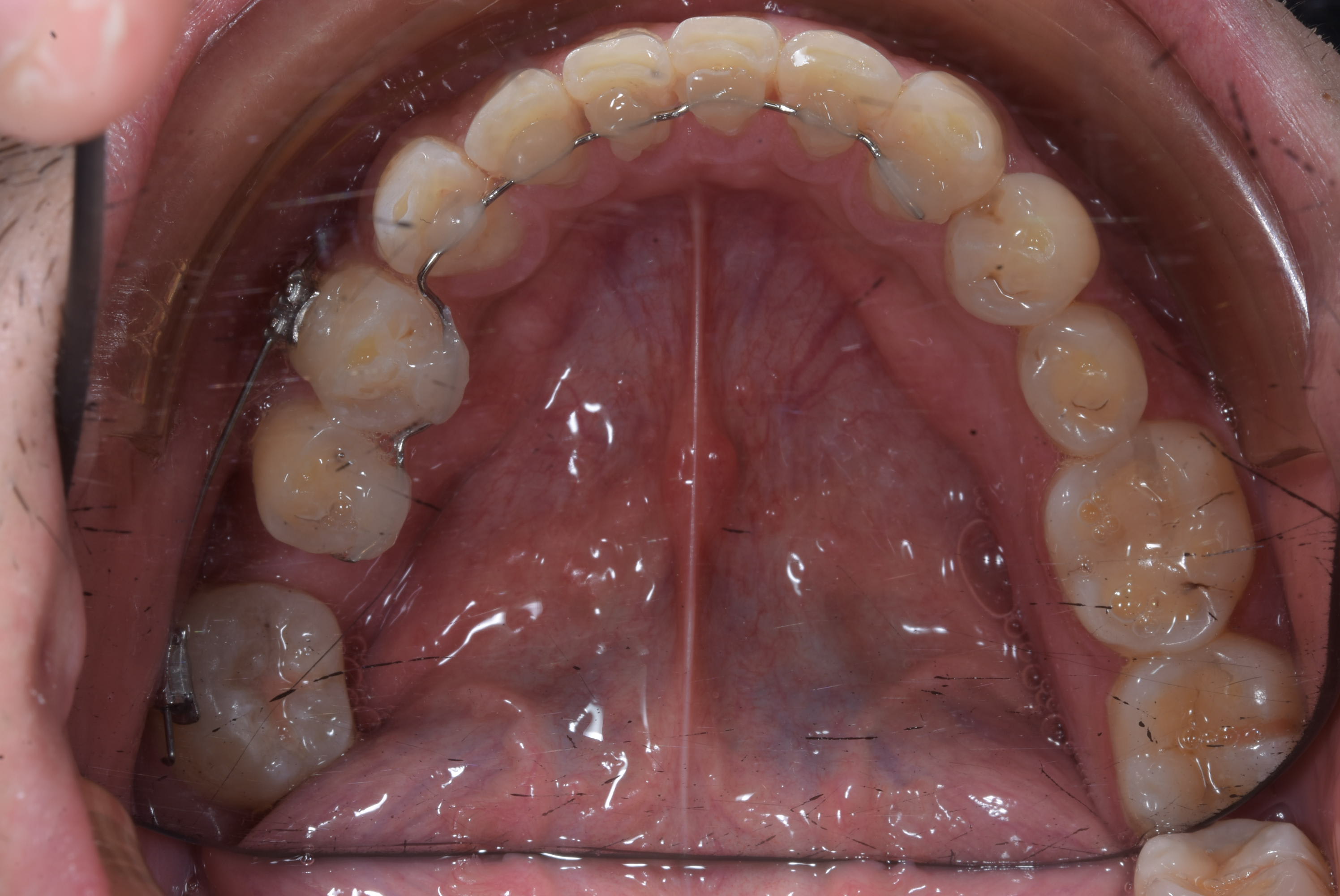
- Prendre une empreinte alignate ( ou utiliser les modéles d'étude )
- Plier un file SS 0.02 en lingual de 45 à 33
- le fixer comme une barre de contention
- mettre un bracket sur 44 et 47
- commencer à aligner la 47 avec un file Niti.

Cout en matériel un gros que dalle
Cout en temps guére plus
Confortable pour le patient
Relativement failsafe ( pour les non anglophone " ça ne peut pas trop merdé ou si ça merde pas dure à gérer ) .

Je prévois deux trois mois grand max pour ouvrir suffisamment l'espace pour permettre la mise en place de l'implant.
Une fois l'implant posé, dépose du système , et trois mois plus tard après l 'ostéointégration poste des bague haut et bas et le traitement se déroulera comme un traitement classique.

L'avantage par rapport à une solution minivisse

- moins de merde potentiel à gérer
- évite une chir
- offre un contrôle 3D de la dent
- temps au fauteuil restreint du à la mécanique straight wire et la grande amplitude du file.



--
หมอจัดฟัน

Sg2wrheegdrwv3ptbumv - Eugenol
Dzcgajysp3jematfe2uf - Eugenol
F6voxjpzgkw6oqscpwex - Eugenol
Yfnn6xllha3u6bax5m7y - Eugenol
Bybeqdfsu4tzcwtmulpo - Eugenol
Nhrssspedowm5iad24vp - Eugenol
Afqazbpgpetif20ro3vq - Eugenol
O90jnzb4puyresubaspm - Eugenol

Gariane

31/03/2018 à 17h29

Ta solution de passer par une phase primaire de redressement de 47 avant l’aligement ne me semble pas très utile d’autant que plier puis coller ton 012SS prend ( pour moi ) du temps .
moi , je collerais tout tout de suite , mettrais un arc rectangulaire thermique avec des butées distale à 45 et mesiale à 47 ( l’arc etant Un peu plus long entre 45 et 47 ) et le tour est joué en 8 semaines . A mon avis pas besoin de vis dans ce cas


1309531 ours brun n5iukf - Eugenol
seespan

01/04/2018 à 02h30

J'ai un paquet de patient avec des 6 absente et des 7 versées , mettre un fil droit direct, surtout ici à cause de la rotation c'est t'exposer à un paquet de force parasite en gros :

- la molaire va vouloir s'egresser ( ici pas trop un soucie avec l'occlusion mais quand même à surveiller ) la j'ai put mettre direct un niti 18 et la semaine prochaine je devrais passer sur du niti 16 22 avec un set pour l'intrusion
J'ai mis le bracket en 45 en position apical et celui en 47 en position plus occlusal
- les prémo vont vouloir partir en lingual a cause de la rotation de la 7
- le bloc 3 a 5 va vouloir se verser en mésial

Sur ce cas probable qu'un fil droit passe, mais j'ai eu suffisamment de merde en début d'exercice pour ne plus tenter.
Maintenant c'est ce type de solution ou uprithing spring direct.

En aparté le patient aura plus que probablement un défaut paro sur la 47

Le file est SS 0.02 et vue que je plie mois même mes contention fixe ( en niti maintenant ) le pliage m'a prie 4 minute. J'ai collé sur le modéle en plâtre 2 minutes puis en bouche :-) . Poser les bracket m'a prit plus de temps.



--
หมอจัดฟัน

Dsc 5350 fdckuw - Eugenol

1309531 ours brun n5iukf - Eugenol
seespan

01/04/2018 à 02h48

Et n'oublie pas que je veux commencer les élastique de class II directement , pour ce cas impossible si l'implant n'est pas en place et intégré

Edit : j'avais oublié de préciser que pour ce cas je veux commencer les élastique de class II en début de traitement. Impossible of course avec la situation initial . Désoler mon post sur dentaltown est plus complet.


--
หมอจัดฟัน


Images 1 qtgoxf - Eugenol
ciwil

01/04/2018 à 03h26

pour redresser une molaire et compenser l'effet bowing de la mésialisation, j'utilisais un élastique raccordé à un crochet collé sur la molaire et l'autre extrémité dans une encoche de la gouttière où les forces sont réparties
maintenant j'ai trouvé une solution pour mésialer en translation, sans effet de pendule

Tof eypksq - Eugenol

1309531 ours brun n5iukf - Eugenol
seespan

01/04/2018 à 03h31

Perso j'utiliserais la même technique avec file de contention et bague de 4 à 7.
Une fois que l'axe molaire est redressé je passe au plastique.
Ta solution marche méchaniquement mais tu auras une tendance à la rotation de la molaire et le patient doit mettre lui même les élastique, plus tu ne peut pas gérer la 6 et 7 en même temps.

Les bagues ça n'est pas le mal ciwil....


--
หมอจัดฟัน


Images 1 qtgoxf - Eugenol
ciwil

01/04/2018 à 03h40

seespan écrivait:

> Les bagues ça n'est pas le mal ciwil....

avant le plastique, j'utilise une phase collée de 5 mois maximum, mais sans bague


Gariane

01/04/2018 à 09h18

ciwil écrivait:
-----
>
> avant le plastique, j'utilise une phase collée de 5 mois maximum, mais sans
> bague

????? Mystère .....


Gariane

01/04/2018 à 09h21

ciwil écrivait:
-----
> pour redresser une molaire et compenser l'effet bowing de la mésialisation,
> j'utilisais un élastique raccordé à un crochet collé sur la molaire et l'autre
> extrémité dans une encoche de la gouttière où les forces sont réparties
> maintenant j'ai trouvé une solution pour mésialer en translation, sans effet de
> pendule

Pas mal mais 6span a raison : tu obtiendras une rotation DV de ta dent a corriger par la suite


Images 1 qtgoxf - Eugenol
ciwil

01/04/2018 à 12h30

c'aurait pu mais ya pas eu. effectivement j'aurais dû coller les potences plus en mésial, j'ai été sauvé par la faible force de l'élastique 50g


1309531 ours brun n5iukf - Eugenol
seespan

01/04/2018 à 12h34

ciwil écrivait:
-----
> c'aurait pu mais ya pas eu. effectivement j'aurais dû coller les potences plus
> en mésial, j'ai été sauvé par la faible force de l'élastique 50g

J'ai eu le même écho d'un utilisateur de la technique, avec de faible force pas de rotation. Seul souci l'utilisateur en question n'avais qu'un ou deux cas à son actif :-) .
Perso je préfère un système fixe pour ce genre de mouvement, déjà c'est plus confortable pour le patient qui n' a pas à remettre les élastique à chaque fois qu'il enlève la gouttière.

--
หมอจัดฟัน


atrax

01/04/2018 à 13h12

Vous n'utilisez jamais es " cantilever mechanics"? Burstone et Melsen je crois?...On peut faire tous les mouvements nécessaires, upright avec intrusion, extrusion...


1309531 ours brun n5iukf - Eugenol
seespan

01/04/2018 à 13h15

Si bien sur mais la ça n'est pas vraiment une indication.
Un cantilever te donne une force ponctuel, donc c'est souvent utiliser pour une extrusion.
Ici je veut à la fois tipper la molaire en arriére et corriger la rotation. Dure de battre un file droit pour ça.
Il y a aussi le temps fauteuil à prendre en compte, un cantilever pas si simple à faire.


--
หมอจัดฟัน


1309531 ours brun n5iukf - Eugenol
seespan

01/04/2018 à 13h17

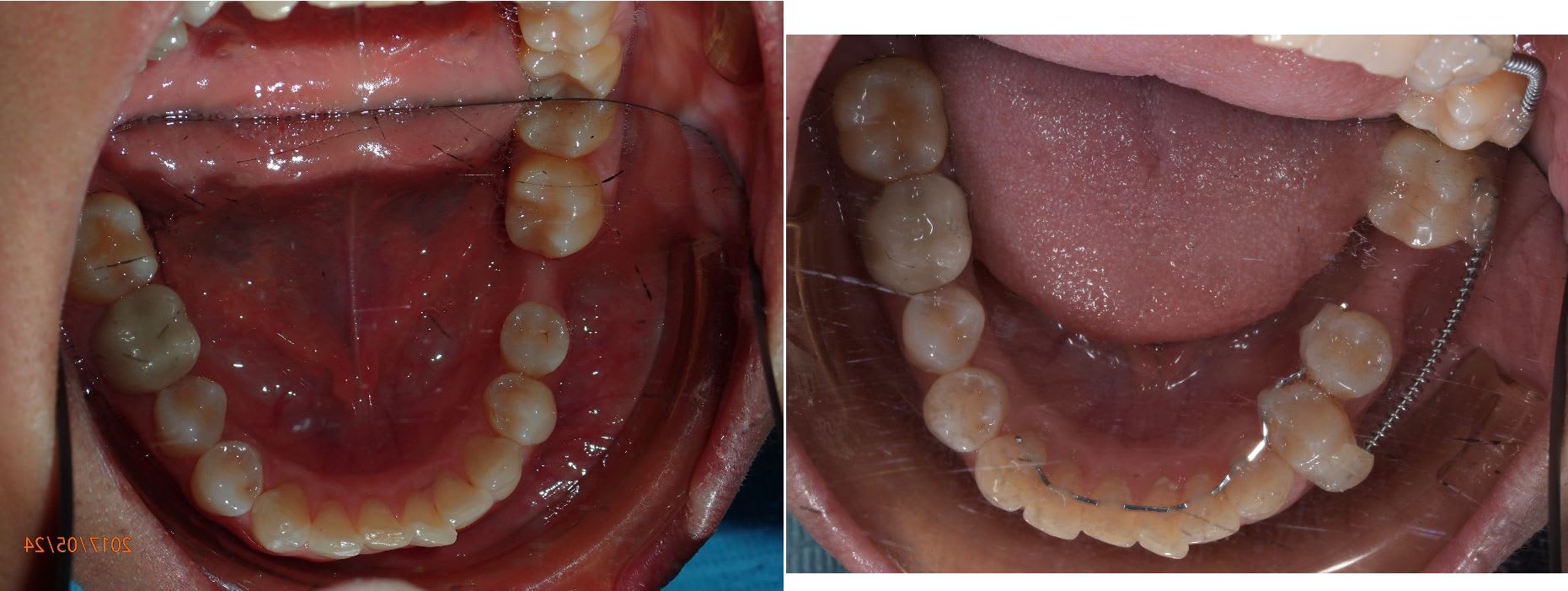
je suis en train de revoir tout mes dosseir patient ( une journée ça ne va pas suffir... ) .
Un cas qui montre la séquence
Ouverture d'espace en deux mois environ, straight wire avec un ressort. C'est con simple , efficace et relativement comfortable pour le patient
Finition de la position de la 7 après la pose de l'implant en utilisant une bague sur la provisoire.


--
หมอจัดฟัน

11 odflrg - Eugenol
22 kce5af - Eugenol

atrax

01/04/2018 à 15h22

J'ai l'impression qu'il est tres difficile d'objectiver quand une technique est meilleure que l'autre. Je sais qu'en straight wire on a du mal a decrire tous les effets parasites engendrés. Je crois que dans les calculs de geometrie, burstone n'arrive à predire les forces et les moments que sur deux brackets contigues.

Mais très peu de dessins de forces, de calcul, de biomecanique tout simplement qui nous permettrait peut etre, selon mon avis d'ignorant, de plus de reproductubilité dans les traitements. Tu en penses quoi seespan?


1309531 ours brun n5iukf - Eugenol
seespan

01/04/2018 à 15h27

Que tu débute ton master et donc que tu penses trop et te prend la tête avec des trucs qui ne sont pas important en pratique.
Tout à fait normal je faisait la même chose. Ma passion en master c'était la méchanique segmentaire, car tu as un contrôle total des dents avec ( toujours deux éléments et forces unique , donc la méchanique est parfaitement controler ) .
Ou comment faire beaucoup plus long au fauteuille , très incomfortable pour le patient pour exactement le même résultat qu'une technique file droit.

Ce qu'avait essayé de m'expliqué très diplomatiquement une de mes prof qui avait fait son master avec Ravindra Nanda qui préche une approche segmentaire. Je précise qu'elle n'a jamais fait de segmentaire hors de son master.


--
หมอจัดฟัน


atrax

01/04/2018 à 15h33

C'est vrai, d'ailleurs j'ai surtout lu du Nanda ;) . Pour les néophytes, l'approche biomecanique parait beaucoup plus simple car necessite aucune connaissances préalables. C'est des maths de collège.
Il est plus difficile pour moi de "lire" un traitement en straight wire.


1309531 ours brun n5iukf - Eugenol
seespan

01/04/2018 à 15h33

Ou pour répondre à la question

Seespan très con et à un gros poil dans la mains. Patient de seespan très très douillet et n'aime pas venir voir seespan toute les semaines car un truc est tombé ou est inconfortable.

Seespan mettre file confortable à l’arrière pour tenir sept dent et petit file souple pour faire bouger grosse dent du fond.
Grosse dent doit faire mouvement simple ( rotation tipping ), gros groupe de dent peut seulement faire mouvement compliqué ( transalation , tipping très limité ), donc gros group de dent doit pas pouvoir bouger.
Mettre file droit , rapide et simple, Seespan pas devoir réfléchir beaucoup et patient content car pas passer une heure sur le fauteuil .
Si gros groupe de dent bouge un peut no soucie vue que traitement ortho a faire de toute façon.


--
หมอจัดฟัน


1309531 ours brun n5iukf - Eugenol
seespan

01/04/2018 à 15h36

atrax écrivait:
-----
> C'est vrai, d'ailleurs j'ai surtout lu du Nanda ;) . Pour les néophytes,
> l'approche biomecanique parait beaucoup plus simple car necessite aucune
> connaissances préalables. C'est des maths de collège.
> Il est plus difficile pour moi de "lire" un traitement en straight wire.

oui mais en pratique tu dois comprendre quand l'approche straight wire n'est pas indiqué. Comme quand un 7 est versé, paquet d'effet parasite en perspective.

Le but d'une approche segmentaire c'est de passer le plus rapidement possible au straight wire. Ce que je fais sur ce cas.


--
หมอจัดฟัน


atrax

01/04/2018 à 15h38

hmm je comprends mieux. Segmentaires pour les gros mouvments, et gouttiere ou straight wire pour les finitions.


1309531 ours brun n5iukf - Eugenol
seespan

01/04/2018 à 15h45

Non straight wire quand méchaniquement une approche straight wire conduirait à des effet parasite. Si tu as une canine dans un mauvais axe par exemple, le straight wire va provoquer de gros effet sur la latéral. Une molaire versé va provoquer des gros effet sur 4 et 5 , ect .

Le défaut d'une approche segmentaire et que le temps fauteuil est souvent plus long. Straight wire c'est plus rapide.


--
หมอจัดฟัน


Gariane

01/04/2018 à 15h45

toutes les techniques présentent des avantages et des inconvénients .une des difficultés vient du fait que les systèmes de forces ne sont pas figés et varient en permanence .( c’est de la cinétique ). Pour moi , les techniques segmentées sont les plus élégantes , mais les plus dures a bien maîtriser .
Au final , La meilleure technique est celle qu’on maitrise le mieux.


1309531 ours brun n5iukf - Eugenol
seespan

02/06/2018 à 14h13


Et le patient deux mois plus tard.

Encore un petit mois et l'on devrait pouvoir poser l'implant.


--
หมอจัดฟัน

Tt kvyfmq - Eugenol

ken

03/06/2018 à 15h47

Bien géré le redressement de la 47 .
Pourquoi ne pas opter pour une minivis en distal de la 47 et puis facilement la redresser avec des forces continues, bien contrôlées et sans risques pour les dents antérieures ?
Car si la contention saute alors des encombrements pourront apparaître.


ken

03/06/2018 à 16h15

Mon alternative sans minivis sera de préférence avec contrôle tridimensionnelle en utilisant un arc bioforce 20*20 .
- Une ligature en 8 sur les dents antérieures.
- pliage du fil entre la 47-45 et la gaine de protection conservera la distance rajoutée nécessaire au redressement de la 47.


12...