Cookie Consent byPrivacyPolicies.comRedresser une 7 sans minivis - Eugenol

Redresser une 7 sans minivis

1309531 ours brun n5iukf - Eugenol
seespan

03/07/2018 à 02h54

Suivis à 3 mois.
Encore un mois a priori.
Le truc paradoxal c'est que plus ça prend du temps, mieux c'est car le patient aurait due passer cette période avec des bagues :-) .


--
หมอจัดฟัน

Tt1 ehacgy - Eugenol
Tt ipk4ut - Eugenol

1309531 ours brun n5iukf - Eugenol
seespan

03/07/2018 à 03h01

Et un autre cas 5 semaines d'interval entre les deux photos.
Enfin là j'ai seulement à ouvrir les espaces pour les implants.
J'ai vue des cas ou ils utiliser Invisalign pour faire ça, l'avantage c'est que ça permet d'aligner les dents en même temps. Le soucis c'est les délais/ coût labo et le faite que le patient doit être ok pour porter les gouttière.
Quasi tout les cas que je fais avec ça pour du pré implantaire, les patients ne veulent pas entendre parler d'ortho invisible ou pas.

Le truc marrant c'est que pour ce cas, la patiente c'est plein que l'espace ne s'ouvrait pas et que les dents de devant développé un encombrement. Je lui ai montré les photos initial et en court de traitement pour lui prouvé que ses dents était encombré depuis le départ, comme expliqué lors de la consult initial.
Je lui ai indiqué que l'encombrement pouvait être résolut simplement par des gouttière, bague vestibulaire/ lingual mais une fois qu'elle à admit qu'elle était comme ça depuis le départ, plus aucun intérêt pour aligner les incisives.


--
หมอจัดฟัน

Ttt pvftez - Eugenol

dmoh.

03/07/2018 à 12h43

Bonjour seespan.
Pourquoi dans ce deuxieme cas vous collez 35/45 , alors qu'au premier cas vous colliez 34 ?
Y-a-t-il un interet particulier ?
MERCI.


1309531 ours brun n5iukf - Eugenol
seespan

03/07/2018 à 13h44

Sur le premier cas la 47 présenter une rotation initiallement et j'ai collés la 45 pour avoir plus d'amplitude.

En résumer:

Plus d'emplitude peut permettre de mettre un fil de diamétre plus important, plus rapidement. Ca permet aussi de mettre un ressort plus long donc avec un temps d'activation plus long. Par contre le fil est plus long donc c'est potentiellement moins confortable pour le patient.
Si possible j'essais de maximiser le confort vue que c'est le point important avec une patientel adultes.


--
หมอจัดฟัน


1309531 ours brun n5iukf - Eugenol
seespan

07/08/2018 à 06h34

Et l'espace est suffisamment ouvert pour implanter. Je vous posterais les radios ce soir.
L'implant sera poser dans la semaine et je baguerait trois mois plus tard.
Pour le patient ça veut dire 6 ou 7 mois ou il évite d'être appareillé pour rien, pour moi c'est 6 ou 7 mois ou le temps fauteuil est quasi nulle.
Bref une solution gagnant gagnant.

--
หมอจัดฟัน

Dsc 2069 sr70ah - Eugenol

1309531 ours brun n5iukf - Eugenol
seespan

07/08/2018 à 14h43




--
หมอจัดฟัน

00001 x 20180807 083715 x5sawnqkcde 4 dnoaf4 - Eugenol

hurluberlu

08/08/2018 à 14h14

quel bordel


1309531 ours brun n5iukf - Eugenol
seespan

08/08/2018 à 15h03

hurluberlu écrivait:
----------
> quel bordel

Hou là ca cogne fort ...

Enfin je dis ça mais je suppose que Hurluberlu est tellement calé en ortho que si c'était un post de géographie il sortiraitqu'en vivant dans les DOM TOM on est expatriée :-) .


--
หมอจัดฟัน


hurluberlu

08/08/2018 à 15h26

je voulais dire : c'est du travail, ca a l'air complique


dmoh.

08/08/2018 à 20h09

Bonjour seespan.
Je suppose que vous allez continuer à ouvrir l'espace ,apres la pose de l'implant , pour avoir un diametre mesio-distal suffisant à la pose de la couronne . N'est-ce-pas ?
MERCI.


1309531 ours brun n5iukf - Eugenol
seespan

09/08/2018 à 00h45

Non l'implant sera posé cette semaine puis temporisation de 3 mois .
L'on continuera à ouvrir l'espace en utilisant l'implant


--
หมอจัดฟัน


dmoh.

15/08/2018 à 19h46

Bonjour seespan.
Vous avez dis :
"

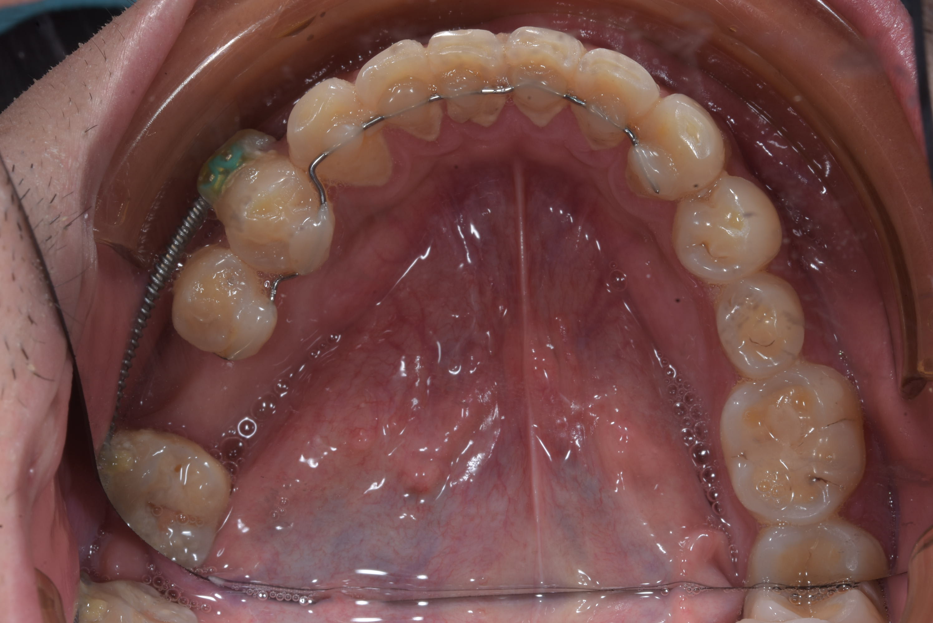
Le file est SS 0.02 et vue que je plie mois même mes contention fixe ( en niti maintenant ) le pliage m'a prie 4 minute. J'ai collé sur le modéle en plâtre 2 minutes puis en bouche :-) . Poser les bracket m'a prit plus de temps.

1-comment vous faites pour plier le NITI facilement ?
2-apres collage sur le platre du fil 0.02 , comment vous faites pour le transferer en bouche rapidement et surement ?
MERCI.


1309531 ours brun n5iukf - Eugenol
seespan

16/08/2018 à 02h49

Le niti se plie comme un fil classique avec les même pinces. Pas besoin de machine thermique qui ne présente que des désavantages.
Le fil de 0.02 se positionne directement en bouche sans difficulté vue que les bases en résine le stabilise dans une position.


--
หมอจัดฟัน


dmoh.

16/08/2018 à 11h25

Bonjour seespan et merci pour votre gentillesse.
C'est quoi les bases en resine qui stabilisent le fil 0.02 ?
J'ai essayè de plier le fil NITI avec des pinces simples ; rien à faire : IL REVIENT A SA FORME INITIALE.
Est-ce-qu'il -y-a une "ASTUCE" pour reussir le pliage du NITI ?
MERCI.


1309531 ours brun n5iukf - Eugenol
seespan

17/08/2018 à 02h55

Les bases en résines c'est la résine que tu utilises pour coller le fil sur le modéle en plâtre.
Ca se repositionne tout seul en bouche normalement.

Pour le pliage de niti pas d'astuce à part utiliser un three prong plier et commencer par du niti 16 22.
Les petites diamétres sont plus dure à plier en faite, perso j'ai acheter un three prong plier special pour le niti 0.014 et 0.016, au dessus les pinces classique suffise.
Une pince de jaraback est aussi necessaire.


--
หมอจัดฟัน


1309531 ours brun n5iukf - Eugenol
seespan

18/08/2018 à 10h58

Même principe mais plus compliquée :-)


--
หมอจัดฟัน

Gr pusypv - Eugenol

dmoh.

18/08/2018 à 11h43

Bonjour seespan.
Pouvez-vous m'orienter vers un lien ou une video , qui detaille bien comment coller sur le platre puis transferer en bouche ?
Parce que pour moi , je ne vois pas comment apres collage sur la face linguale par de la resine auto(sur platre) ; on peut coller le tout en bouche par du composite ?
Le composite en bouche doit-il recouvrir la resine auto qui maintient le fil dans sa position de pliage ?
MERCI.


1309531 ours brun n5iukf - Eugenol
seespan

18/08/2018 à 14h15

1 You put separator on the plaster model and let it dry.
2 you bend your wire , following the lingual surface.
3 you bond the wire on the study model using normal composite for restorative use.
4 you put the model in the water 30 minutes.
5 you remove the wire and clean the resin base using a sand blaster and/or alcohol.
6 you bond in the mouth.

Désoler mais je te le met en anglais car je suis générallement plus claire comme ça, vue que c'est ma langue de travail.


--
หมอจัดฟัน


Images 1 qtgoxf - Eugenol
ciwil

18/08/2018 à 16h43

t'as pas trop de décollements en collage indirect?


dmoh.

18/08/2018 à 18h41

YES!
But I don't understand if I must iliminate the resin base from the wire , befor bonding or not.
If yes , it will be the same as bonding directly in the mouth.
What's the gain ?
MERCI


1309531 ours brun n5iukf - Eugenol
seespan

20/08/2018 à 14h25

Patient vue aujourd'hui. Quatre mois de traitement .
Patient qui ne vient pas au rendez vous et se plaint de tout, bref je doute que ça se soit bien passer en baguant toutes les dents :-)



--
หมอจัดฟัน

Capture nav7er - Eugenol

1309531 ours brun n5iukf - Eugenol
seespan

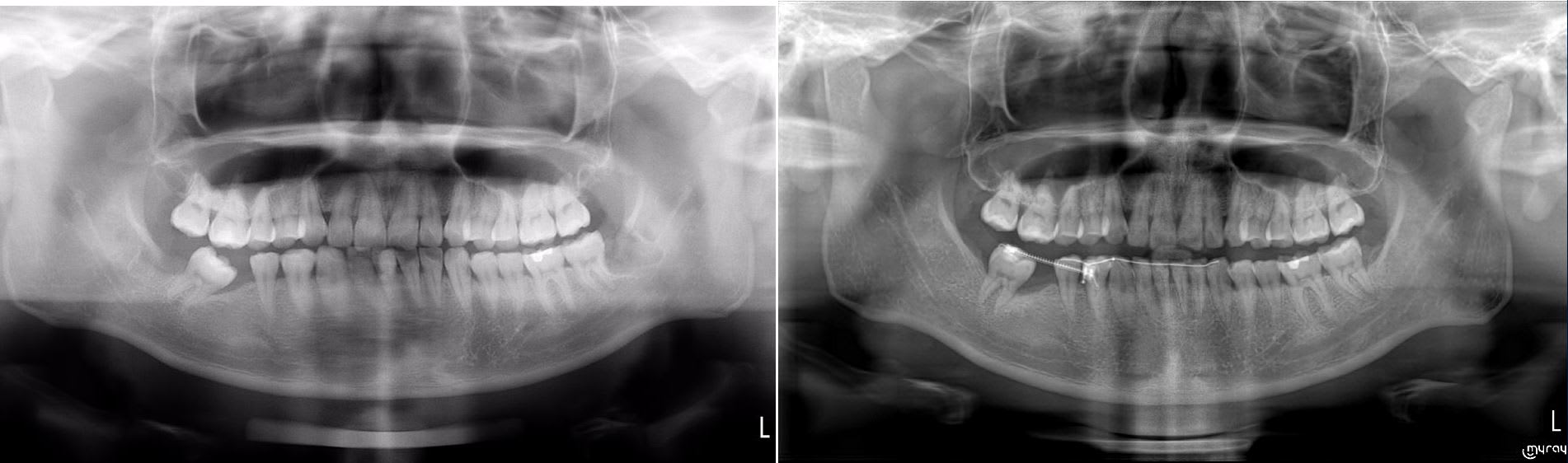
01/09/2018 à 13h41

Aujourd'huit c'était la journée. Patient pas venue depuis deux mois , appareillage en place depuis un peut mois de trois mois, compter encore un ou deux mois et il y auras assez d'espace pour poser les implants.



--
หมอจัดฟัน

Imppp ohr97m - Eugenol

1309531 ours brun n5iukf - Eugenol
seespan

01/09/2018 à 13h42

Un dentiste qui voulait ingresser une 47 pour faire une couronne sur implant sur 17, je lui ai fais le labo pour son premier cas. IL avait pensé ingresser avec des gouttières ( patient pas coopérant et qui ne veut pas de truc volumineux en bouche, ou des minivisse ( pas évident évident dans ce cas de figure ) .

Et lundi un patient pour ouverture d'espace avec patient pas content. Pas content car le dentiste à essayer de faire ça avec une minivisse et ça n'a pas marché ( et oui une minivisse + chainette ça ne fait que du tipping.



--
หมอจัดฟัน

Dsc 3498 uxjllf - Eugenol

dmoh.

02/09/2018 à 12h21

Bonjour.
Une fois l'arc collè en bouche ;
-une provisoire sur 17 , exagèrèe en vertical pour gènèrer une force intrusive sur 47 sera -t-elle possible ?
MERCI.
-


1309531 ours brun n5iukf - Eugenol
seespan

02/09/2018 à 12h35

En théorie oui, en pratique cela serait désagréable pour le patient et donc non compatible avec la demande du patient, qui ne veut pas penser à nous chaque fois qu'il va fermer la bouche.


--
หมอจัดฟัน