Tous les forums
Qu'est ce que...
19/04/2018 à 18h20
Qu'il est bon de travailler avec le localisateur d'apex en monitoring, ainsi tu sais si perfo, canal supplémentaire ou canal unique en 8.
19/04/2018 à 19h11
Pas sûr...j'ai déjà eu des cas où j'aurais juré avoir fait une perfo sur la radio....et en fait non!
19/04/2018 à 19h15
Ça serait pas un Giro-file de vieux briscard ? :)
19/04/2018 à 19h16
Vu la gueule de la perte tissulaire en distal, elle avait de toute façon un pied dans la poubelle jaune...
19/04/2018 à 19h33
Aspius écrivait:
------
> Vu la gueule de la perte tissulaire en distal, elle avait de toute façon un pied
> dans la poubelle jaune...
Encore un fan de l'amputation préventive.
19/04/2018 à 19h57
vulpi écrivait:
-----
> Aspius écrivait:
> ------
> > Vu la gueule de la perte tissulaire en distal, elle avait de toute façon un
> pied
> > dans la poubelle jaune...
>
> Encore un fan de l'amputation préventive.
Vu la proximité de la branche montante, l'épaisseur de conjonctif dans ce secteur, la lésion infra-osseuse...
L'endo pour quoi faire? Une empreinte dégueulasse et une restauration débordante collée dans la merde?
19/04/2018 à 20h39
Mouais.... ça sent le davier et si tu passes trop de temps sur ton endo tu vas fragiliser la bête et te faire caguer pour la virer...
De toutes façons c’est une 8.... ce se garde les 8?
--
On a toujours le choix mais entre quoi et quoi?
Vas-y boulégue et l'avenir te le dira!
19/04/2018 à 20h51
Algi écrivait:
----
>
> De toutes façons c’est une 8.... ce se garde les 8?
Pour l'instant non, mais avec le rac 0 et les couronnes "sécurité sociale" il va bien falloir.
Tu fais d'abord la couronne métal rac 0, t'attends 2 mois et tu la vires ou la fait virer, on va pas s'emmerder pour 33 balles.
--
Su-Père Pervers
19/04/2018 à 21h03
Ç est vrai qu on dirait 8 mais elle est en position de 7, non ?
La plus a gauche on dirait 1pm
19/04/2018 à 21h34
T'y as pensé :-))
Bin moi pour coller l'IC je fais une ERI, en moins de 15 min cela va de soi, avec un matériau que la gencive elle aime bien en implanto et hop une dent de sauvée.
Bon à ce que je vois sur la radio hein! Mais souvent je ne pose mon diagnostic qu'avec la radio, un panoramique en général. Pas besoin de regarder dans la bouche, en plus y fait noir là dedans et c'est pas toujours très propre. Une radio est bien suffisante... j'aime bien ce mot.
19/04/2018 à 22h06
bill écrivait:
----
> ...vous pensez de ça ?
Qu'il faut que tu arrêtes de tenir ton capteur avec tes paluches ;o)))
19/04/2018 à 22h23
Z’avez raison dr Enlaye... on dirait une 7...
Alors va falloir la sauver!
Bbbiiiiillll! Sauve la! Enlaye t’a donné la soluce.
--
On a toujours le choix mais entre quoi et quoi?
Vas-y boulégue et l'avenir te le dira!
19/04/2018 à 22h33
bill écrivait:
----
> ...vous pensez de ça ?
Qu'il faut éviter d'introduire sa lime avant d'avoir poser une protection en latex, et d'avoir pris soins de bien préparer l'ouverture de la chambre pulpaire...
19/04/2018 à 22h43
ce sont surtout les facettes d'usures sur la 6 qui sont inquiétantes, il y a de l'occluso sous roche
19/04/2018 à 23h05
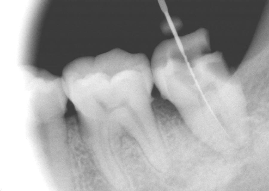
Bon allez, qq infos
C'est une 7, ouverture de chambre car abcès +++ pour soulagement immédiat donc pas de digue, ouverture buccale rendant impossible de tenir la turbine verticalement, vision directe impossible bien sûr...
Alors perfo, pas perfo, j'hésite... ;-)
19/04/2018 à 23h09
le plafond , n'a pas été ( totalement ) enlevé , ç est qu'il y a une 3eme racine ?
pcq s'il ne peut tenir correctement la turbine , alors un giro , je ne te dis pas , donc ç est que l'accès a été facile , ors sans déposer le plafond ,.....
20/04/2018 à 07h42
Envoie le dans le Var ton patient, y parait y’a un fada là bas qui fait les endos dans sa main.
En plus les racines semblent propice à une extraction réimplantation.
Dis Enlaye, si t’as une perforation tu fais quoi quand t’as la ratoune dans la main?
--
On a toujours le choix mais entre quoi et quoi?
Vas-y boulégue et l'avenir te le dira!
20/04/2018 à 08h24
Je la bourre a mort à la gutta in vivo puis je coupe ce qui depasse in vitro .
20/04/2018 à 08h46
In vitro? Tu fais ça dans un verre?
--
On a toujours le choix mais entre quoi et quoi?
Vas-y boulégue et l'avenir te le dira!
20/04/2018 à 09h23
Algi écrivait:
----
>
> In vitro? Tu fais ça dans un verre?
Oui mais de Ricard, faut pas déconner avec l’asepsie.
--
Su-Père Pervers
20/04/2018 à 09h26
enlaye écrivait:
------
> Je la bourre a mort à la gutta in vivo puis je coupe ce qui depasse in vitro .
Je sais pas si vous êtes au courant mais y a un CES de réimplantologie où on apprend :
A) extraction implantation immédiate implantaire
B) l’extraction réimplantation immediate et mise en fonction immédiate :))