Cookie Consent byPrivacyPolicies.cometude de cas - Eugenol

etude de cas

8tercecn7hisbbqbde2nil4nyxrw - Eugenol
Hanibalecter

26/05/2018 à 08h44

bonjour, j'aimerai étudier le cas avec vous

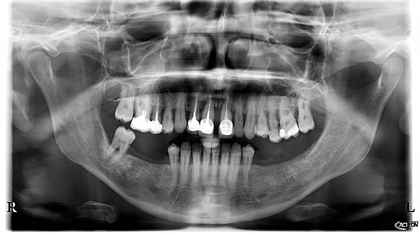
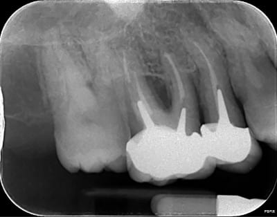
Patiente de 52 ans avec parodontite avancée

J'hésite pour le moment au niveau du plan de TTT puour la haut

mon plan de ttt est le suivant extraction les dents aboluments non conservable (11-21-25) et tenter de garder le reste, puis réévaluer le cas apres surfacage et gingivectomie. Puis de couronner le reste: bridge 13 12 (11 21) 23, couronnes jumélées 14 15 16 17, bridge 24 (25) 26 27.

Ou extraction totale haut, implantation immédiate et mise en charge immédiate (j'adresserai a un implanto pour cela)

Pour le bas ca me parait plus simple, soins 47, surafacage, implant 46 45 35 36 + cr

Quel type de plan de ttt envisagez vous ?

Gdooxhftoztvlw9w9l5v - Eugenol
Ers0iqfxbxhhlxhtjkfc - Eugenol
X4biz1cnvprt82l5hx4q - Eugenol
Hqrbhpsfbz923fxpkxe8 - Eugenol
Setwepfgir9o3wd26wdg - Eugenol
P7smwpf7vzrbzxcccv51 - Eugenol
Ykjdaqdzvwyi7iyzx0ez - Eugenol
I7wtrqusncdmgofdzz9x - Eugenol
Whjf19t8jadckdotxvwt - Eugenol
Ldmim3h3vulux0sy5p8b - Eugenol
Lek1lewpmefo6igzfbjb - Eugenol

lachmar

26/05/2018 à 11h50



la première question : quel était l'objet de la consultation et la deuxième quelle est la demande initiale de la patiente ?


8tercecn7hisbbqbde2nil4nyxrw - Eugenol
Hanibalecter

26/05/2018 à 12h06

1) mobilité de certaine dent qui l'inquiete (11 et 25)
dechaussement anterieur qui laisse apparaitre le joint couronne/racine

2) la demande initial c'etait de juste refaire les couronnes 12-11-21. Je lui ai dit que ce n'était pas possible et qu'il faut gérer son cas globalement (soit on refait tout, soit on touche a rien). Apres explication de son état, elle a compris qu'il fallait tout refaire

Question sur le wax up, faite vous un devis avant de faire un wax up ? le faite vous gratuitement pour expliquer son cas? car je me rend compte que c'est un sacré cout pour moi


Vw campersurfvan bmnk1q - Eugenol
enlaye

26/05/2018 à 13h09

Hanibalecter écrivait:
------------
" Question sur le wax up, faite vous un devis avant de faire un wax up ? le faite vous gratuitement pour expliquer son cas? car je me rend compte que c'est unsacré cout pour moi "

D autant plus que ce n est pas un wax up ça , mais du coloriage blanc .


Hok 1b hgd3rj - Eugenol
Hokusai

26/05/2018 à 13h50

Hanibalecter écrivait:
------------

> Question sur le wax up,
> car je me rends compte que c'est un
> sacré cout pour moi

Ton protho t'as facturé combien pour ca ??


Hok 1b hgd3rj - Eugenol
Hokusai

26/05/2018 à 13h52

enlaye écrivait:
------
> D autant plus que ce n est pas un wax up ça , mais du coloriage blanc .

Pourquoi ca ??


Olieve

26/05/2018 à 14h31

Une question hors sujet :

Ta pano Acteon : c'est une X Mind One ou déjà une X Mind Trium ?


Hok 1b hgd3rj - Eugenol
Hokusai

26/05/2018 à 15h20

c'est la trium CBCT...
Elles sont toujours très propres ses images.
Plus propres que ses rétro ERLM... ;)


Vw campersurfvan bmnk1q - Eugenol
enlaye

26/05/2018 à 15h40


enlaye écrivait:
-----
"D autant plus que ce n est pas un wax up ça , mais du coloriage blanc ."

Hokusai demandait :
"" Pourquoi ca ?? ""

Pcq le probleme de ce cas est , entre autre , un decentrage lateral du au couple 17/ 47 .
Or il n a pas touché la 47 .
Donc ça ne sert à rien :-)

De + ,Les centrales du haut ,se sont decalées
Or il ne les a meme pas taillees , mais rempli les espaces .
Donc ça ne sert à rien .

A tout les coups il n y a pas eu de centree ( pour cela il aurait fallut limer la 47 ) .
Donc ça ne sert à rien

Le wax up n a d interet que pour proposer 1 nouvelle occlusion , pas pour embellir des faces vestibulaire ,en ayant ouvert la tige incisive .


Utilisateur banni

26/05/2018 à 15h52

En parlant d’Acteon je déconseille x mind unity -> bras difficile à mobiliser dans l’espace + pas pratique au niveau utilisation . À éviter ++


Dolan donald duck weird wqjham bw43ju - Eugenol
GéPé

26/05/2018 à 18h05

Clair qu'il est bien moisi ce wax up, après faut voir les instructions, les photos et les divers enregistrements donnés au prothésiste... ici je vois bien un "tu me fais un wax up stp" sur la fiche labo sans rien d'autre, je me trompe ?

Si la patiente a les moyens c'est implanto total en haut ou subtotal si on peut garder 3-4 dents.. en bas exo de la 8 et implants.
Evidemment traitement paro complet après les extractions et avant les implants.

Si peu de moyens financiers, j'adresse au dispensaire le plus proche pour prothèses amovible RAC0.


3395 40 umvzjn - Eugenol
Aspius

26/05/2018 à 18h18

GéPé écrivait:
----
> Si peu de moyens financiers, j'adresse au dispensaire le plus proche pour
> prothèses amovible RAC0.

Casse toi sale pauvre quoi. Monsieur ne fait que dans la grande dentisterie, un complet haut/stellite bas c'est pas assez bien pour monsieur.
C'est avec ce genre de discours stéréotypés que la profession a ouvert un boulevard pour se prendre aujourd'hui la branlée du siècle, avec une opinion publique qui va applaudir la saignée de ces "cochons de dentistes"
On en rediscutera dans quelques années quand le RAC0 aura gagné l'implanto (le code et le tarif sont déjà prêts)

Pour être un peu plus constructifs, vu l'état initial une phase de transition en adjointe ne parait pas de trop, à la fois pour temporiser en attendant cicat/greffe (parce que l'esthétique antérieure sur alvéolyse +++...), et pour tester la motivation de la patiente (pas d'hygiène -> on en reste à l'adjointe)
Problème : adjointe et mobilités ça fait pas bon ménage et ça peut bien souvent finir le travail...


Dolan donald duck weird wqjham bw43ju - Eugenol
GéPé

26/05/2018 à 18h36

Exactement, casse toi sale pauvre, c'est ce que je dis toujours aux pouilleux qui viennent me voir. Sont cons ces manants.


Dprtmuluo7sk4wxn8aabgsxy7sde - Eugenol
Pervers Pépère

26/05/2018 à 20h41

Pouah des gueux !

Comment ont-ils l'outrecuidance de vouloir franchir l'huis de ton cabinet, palsambleu !

Font chier ces pauvres !


--
Su-Père Pervers

Index wybel9 - Eugenol

8tercecn7hisbbqbde2nil4nyxrw - Eugenol
Hanibalecter

26/05/2018 à 21h33

15€x le nb de dent waxé, soit un total de 300+€ de memoire. Sur ce coup j'ai été assez surpris, surtout que les mandibulaire sont a peines touchés. Apres effectivement je n'ai pas l'habitude de demander des wax up, donc j'ai pas précisé grand chose sur la fiche (modele étude + modele avec wax up, je peux comprendre apres coup que le labo ne puisse pas faire mieux), j'avais simplement faire une empreinte etude + mordu sur silicone (donc dans son occlusion de convenance). J'aurai du prendre la RC du coup pour que le labo me fasse un meilleur montage ?

La pano c'est effectivement la xmind trium de acteon
la retro c'est aussi de chez acteon, le pspix2, les erlm sont de chez eux. Que reprochez vous ? Image trop flou ? Vraiment bcp plus flou que chez un concurrent ? Pensez vous que cela vienne des capteurs ou de la machine avec un mauvais reglage de netteté, ou un mauvais réglage tension, intensité,temps exposition ?


Olieve

26/05/2018 à 23h43

Hanibalecter écrivait:
------------
> La pano c'est effectivement la xmind trium de acteon
> la retro c'est aussi de chez acteon, le pspix2, les erlm sont de chez eux. Que reprochez vous ?

Rien du tout, je trouve justement que la Pano est top. En fait je suis justement en train de réfléchir à acheter ce modèle en version 3D. Il y a longtemps qu tu l’utilises ? RIen a signaler sur la fiabilité ?


Utilisateur banni

27/05/2018 à 03h39

Pour aller plus loin dans ce que dit Aspius .
Figurez vous que j’ai récupéré un patient avec une 36 cariée , le dentiste lui a proposé :
1) de l’extraire -> pourtant la dent est absolument conservable (pas de problème paro, juste besoin de dépulper et de couronner)
2) MAIS ça n’est pas le plus grave : il lui a soutenu qu’il fallait l’enlever « au laser » et donc qu’il y avait un bon supplément pour l’utilisation du laser lors ou plutôt à la fin de l’extraction :)))
—-> comment voulez vous qu’on ne passe pas pour des voleurs avec ce genre de pratique ?

Pour en revenir au cas : faut faire gaffe à ne pas s’amuser à lui mettre des couronnes partout. Car le jour où tout va se casser la gueule c’est à dire bientôt, le patient va venir te voir et te dire : pourquoi m’avez vous mis des couronnes alors que vous saviez que ça allait se casser la tronche ?
1) paro , voir la motivation
2) lui parler de la future solution implantaire ou de la prothèse amovible immédiate


Hok 1b hgd3rj - Eugenol
Hokusai

27/05/2018 à 08h47

11 21 et 15 16 sont solidarisées ??

Je me méfie quand même des patientes qui viennent parce que la devanture commence a battre de l'aile et qui ont passé des décennies tranquillement édentées des secteurs postérieurs...

Mais tout couronner... si t'as pas l'intention de rester plus de 5 ans dans ce cab pourquoi pas...

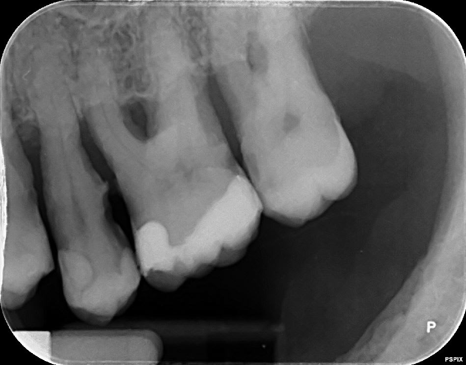
Pour les rétro je trouve qu'elles sont pas nettes... moins nettes que la pano.
Peut être que c'est le filtre quand tu exportes les clichés.


Dolan donald duck weird wqjham bw43ju - Eugenol
GéPé

27/05/2018 à 09h48

Hokusai écrivait:
-------
> Mais tout couronner... si t'as pas l'intention de rester plus de 5 ans dans ce
> cab pourquoi pas...

Huggy les bons tuyaux


8tercecn7hisbbqbde2nil4nyxrw - Eugenol
Hanibalecter

27/05/2018 à 10h06

Olieve écrivait:
------
> Hanibalecter écrivait:
> ------------
> > La pano c'est effectivement la xmind trium de acteon
> > la retro c'est aussi de chez acteon, le pspix2, les erlm sont de chez eux. Que
> reprochez vous ?
>
> Rien du tout, je trouve justement que la Pano est top. En fait je suis justement
> en train de réfléchir à acheter ce modèle en version 3D. Il y a longtemps qu tu
> l’utilises ? RIen a signaler sur la fiabilité ?

non jamais eu de panne pour le moment, recu depuis 1an et demi
elle fait 3D egalement, rien a signaler non plus. Peut etre leur logiciel 3D en dessous de ce que pourrait faire le logiciel Simplant


8tercecn7hisbbqbde2nil4nyxrw - Eugenol
Hanibalecter

27/05/2018 à 10h10

Si apres la paro, la motivation hygiene de la patiente est bonne et que je souhaite partir sur une solution type je couronne tout, combien de temps je peux lui dire que cette solution va tenir le coup selon votre experience. Car avec mon experience je n'ai aucune idée si ma solution va tenir 3 ans 5 ans 10 ans (dans le cas ou la patiente a tjr un bon controle de plaque) ?

Et effectivement, si pour vous l'unique solution c'est une solution implantaire quelque soit sa motivation, j'adresserai pour la pose d'implants


P2eqdh3csim6s7nb09ktdq3e7ev8 - Eugenol
barbabapat

27/05/2018 à 10h56

Tu avais un article intéressant sur le site de la CNSD sur un cas d’étude assez proche. Attention aux extractions de dents qu'un expert indiquera comme conservables sur la seule base d'une panoramique. Attention au patient aussi qui peut être versatile une fois les traitements réalisé si la situation finale lui pose problème.


S2y2o1v7q53ws4r5wy6ou8czrpom - Eugenol
pxav

27/05/2018 à 10h59

Hanibalecter écrivait:
------------
>
> Question sur le wax up, faite vous un devis avant de faire un wax up ? le faite
> vous gratuitement pour expliquer son cas? car je me rend compte que c'est un
> sacré cout pour moi

avantage du prothésiste salarié...waxup...pinuts...donc systématique sans facturation particulière sauf si pas de suite dans le plan de traitement donc étude de cas 500€
--
xbk
La connaissance s'acquiert par l'expérience, tout le reste n'est que de l'information." ALBERT EINSTEIN


S2y2o1v7q53ws4r5wy6ou8czrpom - Eugenol
pxav

27/05/2018 à 11h01


par contre pas bien de n'avoir pas fait de wax sur 47...

--
xbk
La connaissance s'acquiert par l'expérience, tout le reste n'est que de l'information." ALBERT EINSTEIN


S2y2o1v7q53ws4r5wy6ou8czrpom - Eugenol
pxav

27/05/2018 à 11h07

petit conseil (ne tapes pas Enlaye) pour les wax ups prépare la taille des dents sur les modèles, et tu auras un résultat utilisable les prothésistes ne sont pas fait pour prévoir tout le plan de traitement, ils faut leurs indiquer le chemin


--
xbk
La connaissance s'acquiert par l'expérience, tout le reste n'est que de l'information." ALBERT EINSTEIN


12