Cookie Consent byPrivacyPolicies.comCCM antérieures en surcontour à refaire - Eugenol

CCM antérieures en surcontour à refaire

Capture d écran 2018 05 16 à 21.30 - Eugenol
Daryl

28/05/2018 à 09h49

Bonjour à tous,
J'ai une question à vous poser concernant une patiente de 30ans non fumeuse, que je traite en ce moment.

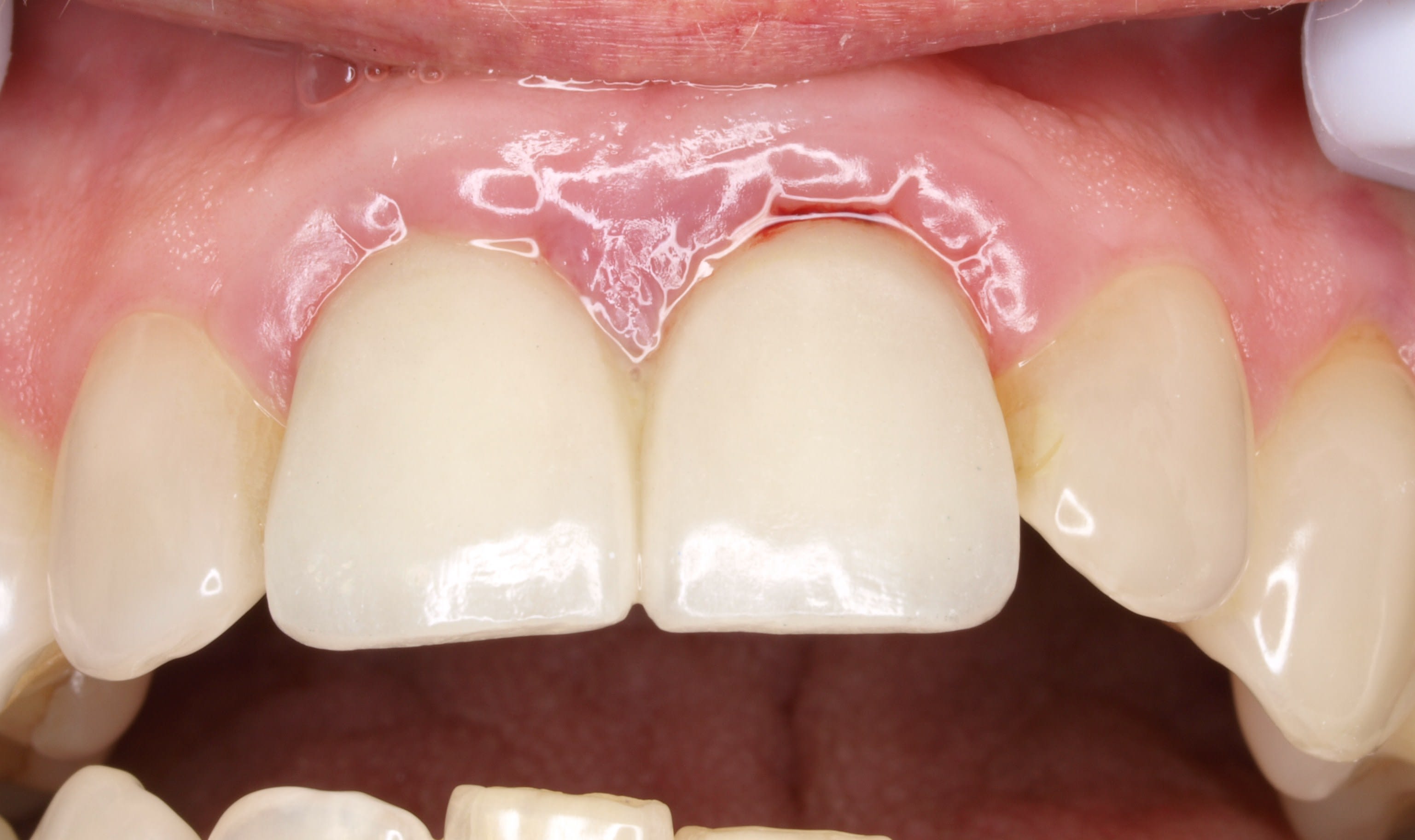
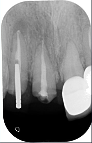
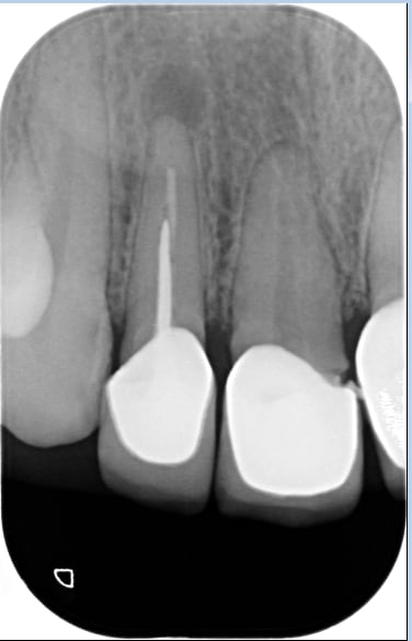
C'est une jeune femme qui a d'affreuses CCM faites il y a 8ans en surcontour gingival au niveau 12-11-21-22..

Ces CCM sont très volumineuses, débordant dans le sulcus avec une limite de préparation en congé hyperagressive et très sous gingivale... La patiente a un sourire gingival et on ne voit que cette gencive rouge violacée hypertrophiée..

J'ai déjà démonter 3 des 4 CCM, fait les traitements endo et j'ai posé les provisoires en retrait du congé pour aider à la cicatrisation ???

Le problème est qu'au bout de 2mois, je vois très peu d'amélioration de l'état gingival sur les 3 premières provisoires... Et mes provisoires sur 12, 11 et 21, en retrait du congé traumatique sont peu rétentives alors je m'inquiète pour les définitives en CCC..

Mes questions sont : est ce normal au bout de 2mois ?

Dans les cas de surcontour, doit-on prévoir une plastie gingivale ou un simple surfaçage. Et en cas de chirurgie gingivale y a t-il un risque d' augmentation de la hauteur coronaire des incisives ?

Et aussi pour les définitives, même si elles sont très fines au collet,dois-je les poser sur le congé initial pour une rétention maximale mais avec un risque de non cicatrisation gingivale ?

Voilà je suis un peu tendue par ce cas alors je viens vers vous pour avoir qq conseils bienveillants.

Merci

Sjowoozgewtg0j3ecyas - Eugenol
R3gunqbbykoax483tzrh - Eugenol
Didqlrpqpqoeer3rikbr - Eugenol
Wl3c3bqpku5kvdqpztqs - Eugenol

6szjws718sv1jksw54v4mpj3a6cu - Eugenol
vulpi

28/05/2018 à 10h04

T'as un cas galère, le rapport racine/couronne est flippant.
Si tu as fait des prov avec une belle limite, pas de sur-contour, que la patiente brosse bien et passe des brossettes avec par exemple du dentex, tu devrais avoir amélioration. Sinon voir coopération, tu en as qui ont peur de brosser quand sa saigne ou est douloureux et éventuel problème paro + général, mais ça tu as dû l'éliminer déjà.
Faut qu'tu demandes au varois ma p'tite Withney.


Bagheera tudzjy - Eugenol
bagheerra

28/05/2018 à 10h11

Ce serait bien d'avoir des photos.
Là je vois deux hypothèses :
Si c'est uniquement le sur-contour qui est traumatique, la provisoire doit supprimer ce sur-contour et avoir un bon profil d'émergence, et le tour est joué.
Si c'est la situation de la limite, trop sous-gingivale, qui pose problème, l'espace biologique n'est pas respecté donc gingivite. En mettant les provisoires "en retrait du congé" tu crées un sous-contour, ce qui est à peine mieux. Dans ce cas, pas d'autre choix à mon avis que de récréer un espace biologique (donc élongation coronaire).


Capture d écran 2018 05 16 à 21.30 - Eugenol
Daryl

28/05/2018 à 10h33

@bagheera : merci de ta réponse explicite. Je n'ai pas fait de photos en début de cas mais je fais en faire avec mes 3 provisoires quand je vais voir ma patiente tout à l'heure...et je les posterai ce soir !!

Je pense que c'est la limite des anciennes préparations qui est trop sous gingivale et agresse le sulcus... Mais mettre ainsi mes provisoires en sous contour n'était pas très futé si je comprends bien car la gencive n'a pas pu cicatriser !!!

Je vais les refaire cette aprem... Par contre, l'élongation coronaire va entraîner une augmentation de la hauteur coronaire ? Et la patiente à sourire gingival, se plaint déjà d'avoir des "dents de cheval"... Du coup à ton avis, je suis obligée de le faire quand même ???


PtnbZ

28/05/2018 à 12h04

Bah tu peux faire une élongation coronaire sans augmenter ta hauteur prothétique, si comme tu le dis ta limite est très sous gingivale. Il faudra que tu fasses l’elongation Pour remettre le duo os-gencive en adéquation avec l’espace biologique


Vw campersurfvan bmnk1q - Eugenol
enlaye

28/05/2018 à 12h42

Daryl écrivait:
-----
" Je pense que c'est la limite des anciennes préparations qui est trop sous gingivale et agresse le sulcus... "

oui ç est ça


" Mais mettre ainsi mes provisoires en sous contour n'était pas très futé si je comprends bien car la gencive n'a pas pu cicatriser !!! "

si , ç est ce qu'il fallait faire mais avec une petite nuance toutefois :
il faut que tu remettes les limites plus hautes afin de recrer l'espace bio .( quitte à retailler à 1 niveau plus haut )
donc , du coup , tu deviens en sous contour , ce qui n'est pas bon ,non plus .
alors pour diminuer le sous contour , tu prends 1 fraise à congé longue et fine à grain fin et tu diminues le diamètre des racines jusqu'aux nouvelles limites .
ainsi , tu as virtuellement évité ton élongation coronaire , chose qui n'a jamais marché sinon ça se saurait
ensuite , une fois que tu as fait ça , tu ne touchesplus pendant au moins 3 semaines .
voilà , tranquille .
PS : lorsque tu feras les couronnes ce sera de l @max obligatoire .


8tercecn7hisbbqbde2nil4nyxrw - Eugenol
Hanibalecter

28/05/2018 à 12h47

Question sûrement con mais quand on ne respecte pas l’espace bio et qu’on pose une couronne. Cela crée donc une gingivite donc une inflammation. Mais pourquoi los ne se met pas à distance pour recréer de lui même un espace bio correct ?


Vw campersurfvan bmnk1q - Eugenol
enlaye

28/05/2018 à 12h52

le fait de diminuer le diamètre radiculaire augmente l’épaisseur de la gencive , ce qui la rend plus tonique et plus stable .


Capture d écran 2018 05 16 à 21.30 - Eugenol
Daryl

28/05/2018 à 12h54

@enlaye : Là j'ai de gros congés donc je dois fraiser les bords du congé pour que la gencive grimpe dessus et ainsi récupèrer un espace biologique normal ? c'est ça le concept ?


Capture d écran 2018 05 16 à 21.30 - Eugenol
Daryl

28/05/2018 à 12h57

Et pour ma nouvelle limite prothétique, je fais un autre congé plus haut mais peut être pas aussi large que celui qui était trop profond ??


Vw campersurfvan bmnk1q - Eugenol
enlaye

28/05/2018 à 12h58

Hanibalecter écrivait:
------------
" Question sûrement con mais quand on ne respecte pas l’espace bio et qu’on pose une couronne. Cela crée donc une gingivite donc une inflammation. Mais pourquoi los ne se met pas à distance pour recréer de lui même un espace bio correct ? "

pcq il y a 2 pb , comme l a expliqué Baguerra :
lorsque tu tailles trop profond , l'empreinte ne peut te montrer à la fois les limites et le profil émergence , donc forcement la forme des contours est bidon . et encore comme ça pisse le sang , l'empreinte est forcement pipée .


Vw campersurfvan bmnk1q - Eugenol
enlaye

28/05/2018 à 12h59

Daryl écrivait:
-----
" @enlaye : Là j'ai de gros congés donc je dois fraiser les bords du congé pour que la gencive grimpe dessus et ainsi récupèrer un espace biologique normal ?
c'est ça le concept ? "

tout à fait , tu as bien compris le coup !


Vw campersurfvan bmnk1q - Eugenol
enlaye

28/05/2018 à 13h02

Daryl écrivait:
-----
" Et pour ma nouvelle limite prothétique, je fais un autre congé plus haut mais peut être pas aussi large que celui qui était trop profond ?? "

plus t es con , plus tu fais des congés larges :-))
donc oui tes congés seront moins larges , et ç est cette différence de largeur qui te permettra de réduire le diamètre radiculaire et donc de créer une élongation virtuelle .


Capture d écran 2018 05 16 à 21.30 - Eugenol
Daryl

28/05/2018 à 13h08

Ok merci beaucoup Enlaye...
Donc j'étais pas loin avec mes provisoires en sous contour mais c'est vrai que comme ça cicatrisait moyen au niveau esthétique , j'ai bien compris qu'il me manquait un truc pour avoir un rendu meilleur!!!

Merci à toi de m'avoir aiguillée sur cette voie :))))


Vw campersurfvan bmnk1q - Eugenol
enlaye

28/05/2018 à 13h23

le meme genre de cas avant et apres le jour de la pose
plus tard la papille s'est recrée .

P9147067 zxsrbj - Eugenol
Pc147123 pcqnmb - Eugenol
Pc147121 qblnmy - Eugenol

Capture d écran 2018 05 16 à 21.30 - Eugenol
Daryl

28/05/2018 à 13h38

Oui on voit que c'est trop agressif au niveau du sulcus !!

Dans mon cas, pourquoi les provisoires tiennent moyen et que j'ai dû les sceller avec du Fuji + vaseline pour éviter leur descellement?
Est ce parce que je n'ai pas créer de nouvelles limites sur lesquelles elles pourraient se poser ?

Et aussi, là,je fraise jusqu'à faire disparaître totalement le gros congé initial ou je l'estompe et je peux laisser une ptite encoche légère sur la racine?


Rape p0as4f - Eugenol
rapelapente

28/05/2018 à 14h13

Enlaye t'a parfaitement décrit la marche à suivre.
Toutefois la non cicatrisation après tes provisoires reste inquiétante.
Elle ne fume pas, ok.
Mais il y a peut-être autre chose, alcool ? Hygiène de hyène ? Coke pourquoi pas ?
Cuisine la.
Il faut savoir les faire lâcher le morceau.


Capture d écran 2018 05 16 à 21.30 - Eugenol
Daryl

28/05/2018 à 14h21

@rapelapente : pas de choses extrêmes genre alcool et cie..

Je pense juste qu'elle ne brosse pas assez et qu'elle ne passe pas l'expanding floss que je lui ai prescrit car ça saigne :)))


Dprtmuluo7sk4wxn8aabgsxy7sde - Eugenol
Pervers Pépère

28/05/2018 à 14h41


Enlaye, Pré-si-dent ! Enlaye, Pré-si-dent ! Enlaye, Pré-si-dent !


--
Su-Père Pervers


6szjws718sv1jksw54v4mpj3a6cu - Eugenol
vulpi

28/05/2018 à 14h41

Qu'est-ce tu vas mettre en dessous?
Ne t'arrête pas à mon sombre personnage, c'est pour faire rebondir, je ne fais que passer.


Dprtmuluo7sk4wxn8aabgsxy7sde - Eugenol
Pervers Pépère

28/05/2018 à 14h47

vulpi écrivait:
-----
> Qu'est-ce tu vas mettre en dessous?

Daryl ne met rien dessous, ah non, je confonds avec Titine.


--
Su-Père Pervers


Capture d écran 2018 05 16 à 21.30 - Eugenol
Daryl

28/05/2018 à 15h03

Bah, déjà cette aprem, je travaille sans chaussure !!! Alors en maillot sous la blouse, c'est peut être un peu tôt même s'il fait assez chaud et lourd sur Paris :)))


6szjws718sv1jksw54v4mpj3a6cu - Eugenol
vulpi

28/05/2018 à 15h34

Sous les CCC?
Tu n'as pas peur de fêler une racine avec du fuji? c'est très rigide.


Capture d écran 2018 05 16 à 21.30 - Eugenol
Daryl

28/05/2018 à 15h43

ouais mais j'ai mis de la vaseline et ça tenait pas au polycarboxylate !!


6szjws718sv1jksw54v4mpj3a6cu - Eugenol
vulpi

28/05/2018 à 15h55

Oui avec la vaseline ça peut passer. J'en ai flingué 2/3 avec du dentotemp (Iténa) qui est très rigide, d'où ma remarque, depuis dès que je suis dans une racine je reprends du temp bond NE


12...