Cookie Consent byPrivacyPolicies.comCCM antérieures en surcontour à refaire - Eugenol

CCM antérieures en surcontour à refaire

Vw campersurfvan bmnk1q - Eugenol
enlaye

31/05/2018 à 23h39

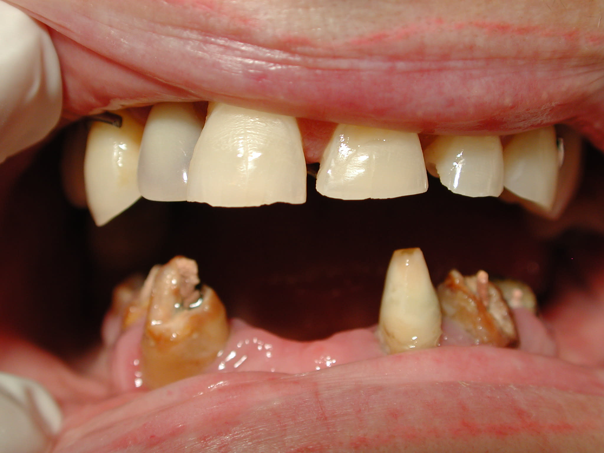
alors évidemment , si je n'ai pas la possibilité d'avoir 1 méplat , pcq le dent est trop niquée , je surtaille avant pour faire 1 sorte d'élongation coronaire .
comme pour ce cas de départ qui est celui de la photo des IC .

A xhdmjl - Eugenol

Aiguille cyboyt - Eugenol
fatboy

01/06/2018 à 07h19

Dis moi, ton patient ne serai pas venu te voir en te disant un truc du genre: "docteur, faut m'aider, ma femme, elle veut plus m'embrasser, et pis mes enfants, ils m'appellent gargamel et pis tout ce que je mange, ça a le goût d'un vieux fromage de casa... "


6szjws718sv1jksw54v4mpj3a6cu - Eugenol
vulpi

01/06/2018 à 07h26

enlaye écrivait:
------
> alors évidemment , si je n'ai pas la possibilité d'avoir 1 méplat , pcq le dent
> est trop niquée , je surtaille avant pour faire 1 sorte d'élongation coronaire .
> comme pour ce cas de départ qui est celui de la photo des IC .

:-)))) t'aimes vraiment pas la complète!-)

Sur des cas semblables, à chaque inter-séance, je "désinfecte" à la gluma, souvent c'est bien piqué dans la racine... curetage, gluma... curetage, gluma... jusqu'à satisfaction, je touche du bois, pour l'instant pas de récidive de carie.


Vw campersurfvan bmnk1q - Eugenol
enlaye

01/06/2018 à 07h47

gluma ? ç est quoi ?


Vw campersurfvan bmnk1q - Eugenol
enlaye

01/06/2018 à 10h20

fatboy écrivait:
------
" Dis moi, ton patient ne serai pas venu te voir en te disant un truc du genre:
"docteur, faut m'aider, ma femme, elle veut plus m'embrasser, et pis mes enfants, ils m'appellent gargamel et pis tout ce que je mange, ça a le goût d'un vieux fromage de casa... "

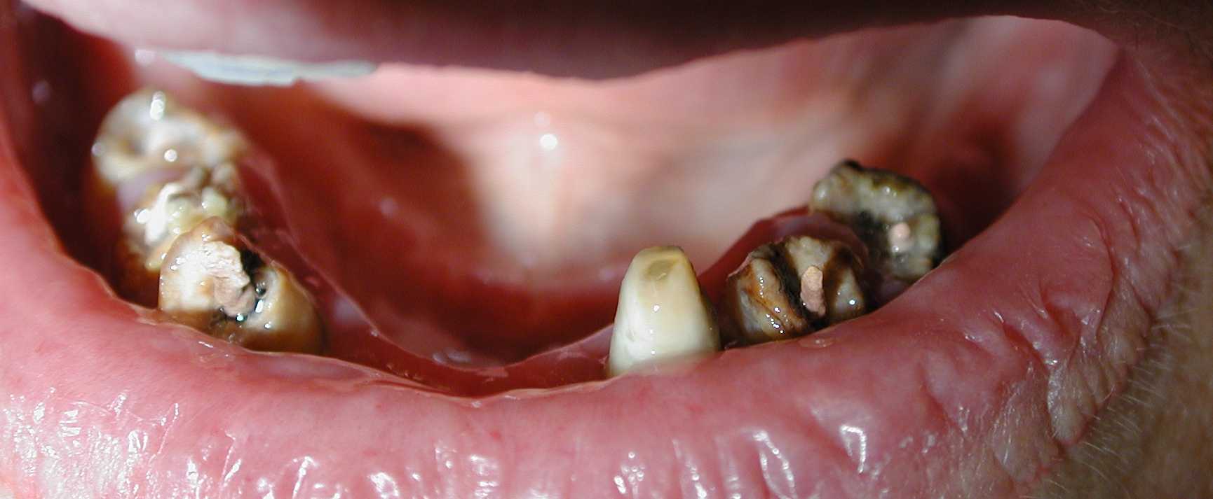
pas loin . peuchere , ç est suite à des couronnes de 5 ans d'age .

Avant 1 qqkczd - Eugenol

6szjws718sv1jksw54v4mpj3a6cu - Eugenol
vulpi

01/06/2018 à 11h40

https://www.kulzer.fr/fr/fr/dentiste/produits_a_z/gluma_1/gluma_desensitizer.aspx

C'est un bon anti-bactérien.
Je l'utilise aussi pour les compos profonds (à la place de la chlorexidine)et les prépas sur dents vivantes.

Pu... ce soir je suis invité, j'ai pas envie, un mauvais pressentiment... que ça peut être compliqué, compliqué... le truc c'est que c'est la troisième fois.
La première fallait que je reparamètre mon système info/imprimante... forcement suis pas venu.
La deuxième, une urgence+boulot, pas jouable, trop tard
Là suis coincé!
On a pas des vies faciles!-((


Dprtmuluo7sk4wxn8aabgsxy7sde - Eugenol
Pervers Pépère

01/06/2018 à 12h27

enlaye écrivait:
------
> gluma ? ç est quoi ?

Gros Liquide Utilisé pour la Mauvaise Aleine (oui, bon, zont zappé le H, sont cons ces teutons )
--
Su-Père Pervers


6szjws718sv1jksw54v4mpj3a6cu - Eugenol
vulpi

01/06/2018 à 12h33

gluma, variante.

http://www.tenfortheatre.fr/bottines-boots-c-1_31/karston-gluma-marine-cuir-tige-chaussures-homme-bottines-boots-beqfn73e-p-5697.html


Capture d écran 2018 05 16 à 21.30 - Eugenol
Daryl

01/06/2018 à 13h28

vulpi écrivait:
-----

>
> Pu... ce soir je suis invité, j'ai pas envie, un mauvais pressentiment... que ça
> peut être compliqué, compliqué...


Ouh toi vulpi ... c'est pas net net ton histoire !!!:)))

Je sens que t'aurai peut être bien serré la maîtresse de maison qui invite et que là dîner en face du mari + supermadamevulpi que c'est pas du pif qu'elle a, mais plutôt un radar, bah ça va pas être de la tarte !!!

Ou alors tout simplement, tu sais que tu vas te faire chier !!! Dans ce cas, pas la peine de picoler avant d'y aller... Ca marche pas bien et être en total décalage c'est chiant à gérer..

Après ya la technique dite de l'extraction mentale... T'es là mais en fait nan !!! On te parle mais t'entends à peine et donc tu réponds à peine... Ca marche super et souvent t'es pas réinvité sauf si l'autre partie du couple à compenser à mort pour pallier ton extraction et du coup tout sera à refaire....

Elle est pas belle la vie, hein vulpi !!!!


6szjws718sv1jksw54v4mpj3a6cu - Eugenol
vulpi

01/06/2018 à 14h39

La Supermadamevulpi a un défaut



Alors le jour où une de ses bonne copine lui a dit que "si elle voulait bien nous (la copine et moi) prêter la maison histoire d'être tranquille et de parler de l'avenir, elle voulait bien" ... !!! ... :-((( bin j'ai passé une mauvaise soirée, nuit, semaine, mois, trimestre... en plus j'étais au courant de rien! Je suis innocent! Une folle et pis c'est tout!!! Bon depuis elle sont fâchées. ça devait être du second degré, ça passe mal parfois.

Enfin depuis les Maîtresses de maisons, je ne les regarde plus!-)


Generique fraisage r2rxmm - Eugenol
lardonbis

01/06/2018 à 14h43

c'est un foyer végétalien et t'aime ni le boulgour ni le non-pinard ?


Dprtmuluo7sk4wxn8aabgsxy7sde - Eugenol
Pervers Pépère

01/06/2018 à 14h51

vulpi écrivait:
-----

> Alors le jour où une de ses bonne copine lui a dit que "si elle voulait bien
> nous (la copine et moi)

Mais c'est qu'il a du sexe à pile le vulpi.




--
Su-Père Pervers


Capture d écran 2018 05 16 à 21.30 - Eugenol
Daryl

01/06/2018 à 15h04

Pervers Pépère écrivait:
--------------

> Mais c'est qu'il a du sexe à pile le vulpi.

Ouais moi aussi :)))


6szjws718sv1jksw54v4mpj3a6cu - Eugenol
vulpi

01/06/2018 à 15h05

Nan! J'ai rien avé des piles. C'est une folle et pis c'est tout. Tiens! Un jour à table, il y avait Mme vulpi, je parlais de ma londonienne amie, et bien l'autre folle dit,
"Ah oui... c'est celle que tu as...
Là j'réponds vite, j'avais deviné la fin :-)
"Que j'ai quoi?
Bin que tu as... Non? Ah je croyais."

Une bourrique qui voulait dynamiter notre couple! Et pourquoi? Je préfère pas trop savoir finalement... mais les maitresses de maisons, niente!!!


Capture d écran 2018 05 16 à 21.30 - Eugenol
Daryl

01/06/2018 à 15h05

Daryl écrivait:
-----
> Pervers Pépère écrivait:
> --------------
>
> > Mais c'est qu'il a du sexe à pile le vulpi.
>
> Ouais moi aussi :)))


6szjws718sv1jksw54v4mpj3a6cu - Eugenol
vulpi

01/06/2018 à 15h19

Mais je crois que je vais y aller, parce que j'ai un copain, depuis quelques temps il regarde Madame vulpi avec concupiscence... enfin une drôle d'impression.

Et puis la maîtresse de maison:-)) elle aime les hommes bruns, aux yeux marrons, mal rasés, sportifs, plutôt mâles et poilus! si, si... et son mari est un jaloux maladif!-)) nan faut qu'j'y aille ça va être bien!-))) ça va me changer de la folle c'est certain.


Utilisateur banni

01/06/2018 à 15h31

Le Vulpi il nous a même raconté une fois qu’il s’etait Tapé la voisine de palier de son cabinet ou de son appartement (m’en rappelle plus) . Je me rappelle plus de l’histoire. Mais si on est gentil avec lui peut être qu’il peut nous la raconter à nouveau :))) ou je sais plus si c’est la voisine mais bon c’etait bien rigolo à lire :))


Capture d écran 2018 05 16 à 21.30 - Eugenol
Daryl

01/06/2018 à 16h00

Avant que chacun raconte son meilleur plan ... Moi jvoulais dire que je ne suis pas du tout jalouse !!!

J'ai tjs trouvé normal que les Hommes se fassent draguer par d'autres femmes que la leur... Ca flatte leur ego et souvent ces femmes là sont en compétition avec l'épouse légitime et moi ça ne me gêne pas tant que ça...

Sauf qu'un jour, Mr Daryl m'a demandé assez triste, pourquoi je n'étais pas jalouse... Il m'a dit que mon détachement vis à vis des meufs qui tournaient autour de lui, le blessait, que je ne devais pas assez l'aimer etc etc ...

J'en ai conclu qu'en fait les hommes aiment les femmes jalouses... Bon, je ne suis toujours pas jalouse et Mr Daryl s'y est fait :)))


6szjws718sv1jksw54v4mpj3a6cu - Eugenol
vulpi

01/06/2018 à 16h01

T'as de la mémoire, un jour peut-être...


6szjws718sv1jksw54v4mpj3a6cu - Eugenol
vulpi

01/06/2018 à 16h08

Daryl écrivait:
-----
>
> Sauf qu'un jour, Mr Daryl m'a demandé assez triste, pourquoi je n'étais pas
> jalouse... Il m'a dit que mon détachement vis à vis des meufs qui tournaient
> autour de lui, le blessait, que je ne devais pas assez l'aimer etc etc ...
>
J'ai vécu la même chose avec Miss vulpi, je suis pas jaloux j'y peux rien... j'suis pas prêteur pour autant. Alors la Miss, elle... cocktail , repas... retour en voiture, on papote sur les personnes présentent, puis silence...
"Et la blonde?"
"Qu'elle blonde?" tu parles d'un faux-cul, déjà pendant le silence je devinais la phrase suivante!-)
"Celle avec qui tu as passé tout l'apéritif, je connais personne, tu me poses dans un coin et tu passes une heure avec cette blonde..."
"Ah elle! C'est une copine, je ne te l'avais pas présenté? Aussi il y avait tellement de monde, t'aurais dû venir...."

Ma vie est un enfer!


Vw campersurfvan bmnk1q - Eugenol
enlaye

01/06/2018 à 16h08

Ton histoire qu j avais preferé est celle qu j avais appellé Kelly pcq kelly diot :-)))


6szjws718sv1jksw54v4mpj3a6cu - Eugenol
vulpi

01/06/2018 à 16h10

enlaye écrivait:
------
> Ton histoire qu j avais preferé est celle qu j avais appellé Kelly pcq kelly
> diot :-)))

Chut malheureux!!!! C'est la folle! Complexe comme fille, un cas!


Capture d écran 2018 05 16 à 21.30 - Eugenol
Daryl

01/06/2018 à 16h28

Mais bon alors ??? Les hommes préfèrent qd même les femmes jalouses, nan ???


6szjws718sv1jksw54v4mpj3a6cu - Eugenol
vulpi

01/06/2018 à 17h23

Les hommes aiment l'émulation, comme tu l'écrivais, la jalousie est facultative je pense. Je pense hein! Suis pas un expert en hommes.


Utilisateur banni

01/06/2018 à 17h31

Daryl t’as qu’à faire semblant d’être jalouse. Tu fais bien semblant au lit de temps en temps , ça doit donc être à ta portée de faire semblant d’être jalouse :) . Si ça lui fait plaisir que tu le sois ...


1234...