Cookie Consent byPrivacyPolicies.comPrix provisoires CMU - Eugenol

Prix provisoires CMU

Ratata

16/10/2018 à 09h37

Salut à tous ! je pense que ce problème a déjà été traité plusieurs fois et que ça dépends de chaque type de pratique mais voila :

Je fais de l' omnipratique à Strasbourg, j' ai repris un cabinet il y a 1 an, j' ai pas mal de CMU et je leur demande de payer pour les couronnes ou bridges provisoires. En fait , je leur demande pareil que pour un patient X: avant j' etais à 60 Euros et maintenant à 80 Euros ( apres avois réévalué mes charges... ). Je passe du temps a leur expliquer que ce n' est pas pris en charge, etc etc..; j' en ai pas mal qui refusent et donc vont surement voir ailleurs.

Voila ma question : Considerez vous que ce prix est vraiment choquant ? VOus les offrez les provisoires en vous disant que c' est mieux que rien ? J' hesite a passer vers ce mode, car je me dis que les CMU ont dans la tête " TOUT EST GRATUIT" mais j' esperais vraiment reconstruire une patientele vers des gens qui comprennet et qui sont motivés.. Mais du coup j' ai pas mal de patients qui partent.

Que faire ???

Merci de partager votre point de vue et me dire si je déconne =)


Rape p0as4f - Eugenol
rapelapente

16/10/2018 à 09h45

Elles devraient passer bientôt à 20 balles, remboursables CMU.
Tu n'auras plus d'états d'âme.
Et aussi un acte déficitaire en plus...


8tercecn7hisbbqbde2nil4nyxrw - Eugenol
Hanibalecter

16/10/2018 à 10h09

la question que je me poserai à ta place en premier lieu

est ce que mon activité dépend réellement des patients CMU ?
si oui (ce qui est normalement peu probable)-> t'es obligé de d'adapter
si non (le plus probable) -> tu restes à tes tarifs

J'étais pareil que toi, quartier cmu +++. Quand j'ai commencé, javais 30% de CMU sur mon 1er SNIR en faisant gratos les provisoires et juste forfait 150€ pour cr hors panier de soins

Depuis j'ai changé, la provisoire est a xx€ + forfait hors panier plus cher (en m'alignant simplement sur les patient lambda), j'ai tres probablement des CMU qui ne donne pas suite. Maintenant je suis a 15% CMU, normalement l'année prochaine ca devrait encore diminuer

Faut juste protocoliser la 1ere seance

Chez moi ya 2 principales situations de 1er rdv
-> douleur a gérer -> je gere l'urgence + devis (généralement la cr)
-> bilan + devis
A chaque fois je ne donne jamais de rdv pour la suite, j'attend que le patient me rappelle


Deux situations possibles
-> le patient ne donne pas de suite, va voir ailleur, etc (jai juste perdu mon temps sur le 1er rdv et c'est tout)
-> soit me rapelle, on pose les rdv avec accompte si doute sur le patient


Dolan donald duck weird wqjham bw43ju - Eugenol
GéPé

16/10/2018 à 10h10

Donc si je résume tu es triste que des CMU te quittent ?
T'es bizarre un peu.


rat

16/10/2018 à 10h30

ne pas faire de provisoire sur les cmu


Hok 1b hgd3rj - Eugenol
Hokusai

16/10/2018 à 10h49

J'ai jamais fait de prov chez les cmu... faut pas pousser quand meme.


Ratata

16/10/2018 à 11h26

Et vous faites comment quand il faut couronner de 13 à 23 sur dents vivantes sans faire des provisoires ??


X ray 03 medium zvq18j - Eugenol
cyber_quenottes

16/10/2018 à 11h39

les 6 antérieures CMU vivantes mais non reconstituables durablement ?

Allons , allons
c'est GOLUM ton patient ?


2 n2dlt7 - Eugenol
2+2®

16/10/2018 à 11h42

Ben c'est la que tu sors tes provisoires sur le devis 6X80e=480e plus tes 6 autres lignes gratos
"Vous me rappelez quand vous êtes décidé, je vous demanderai de signer le devis et de régler les provisoires avant le début des travaux"

Merci bisou


Ratata

16/10/2018 à 12h43

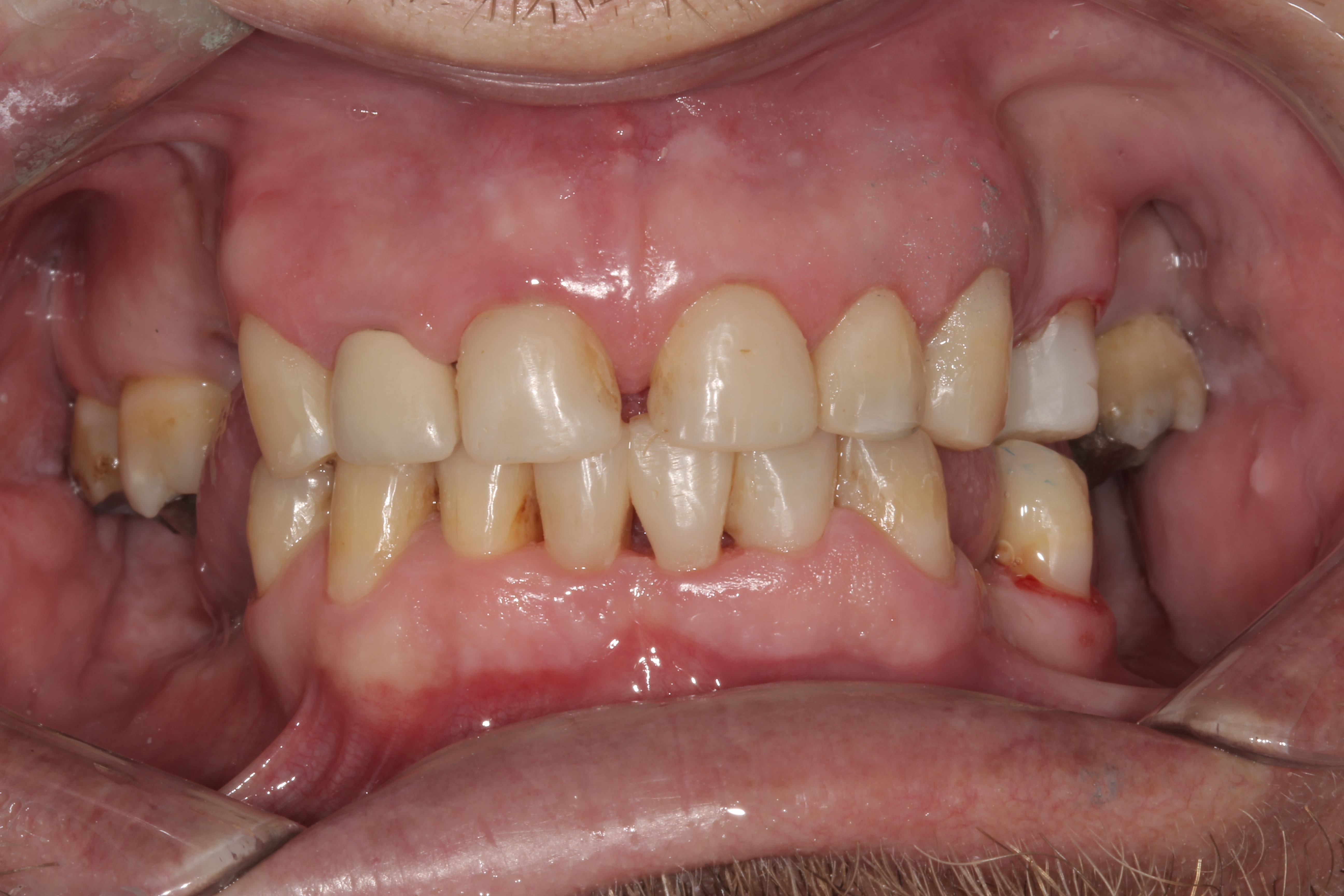
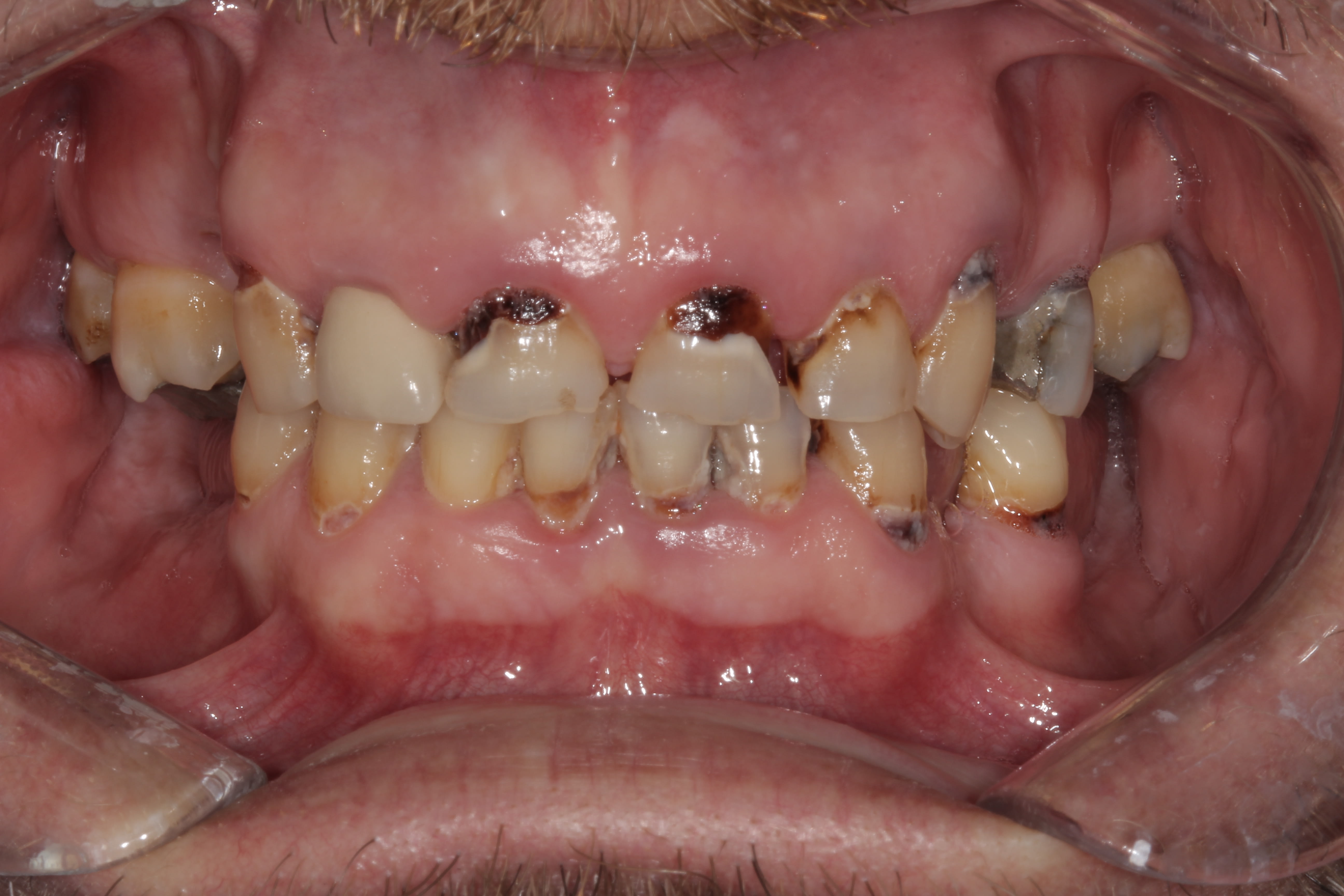
Cyberquenottes,voici un cas par exemple. j' ai du devitaliser la 21, les autres sont vivantes, j' ai reconstruit au compo. maintenant c' est pret pour grosso modo tout couronner.

1 2 copv58 - Eugenol
2 2 ys8rev - Eugenol

Simple dlizse - Eugenol
hermestine67

16/10/2018 à 21h06


11 21 24 mais pour le reste quelle est la justification??

--
N'oublions pas les shadoks!!


Capture d  cran 2015 03 12 12.28 - Eugenol
chicot29

16/10/2018 à 21h19

Ratata écrivait:
------
> Cyberquenottes,voici un cas par exemple. j' ai du devitaliser la 21, les autres
> sont vivantes, j' ai reconstruit au compo. maintenant c' est pret pour grosso
> modo tout couronner.

T'es sur qu'il va revenir ? T'as meme pas une chance sur 4. Nouveau dans le métier -je suppose ? Déjà que si tu fais des provisoires faut pas trop les peaufiner...... -)))

--
En cas d'échec des négociations conventionnelles, seriez-vous prêt à suivre la promotion d'un déconventionnement massif de la profession par les syndicats représentatifs ? OUI - NON
Participez, anonymement, sur https://goo.gl/forms/nAO0htnsVmxotjYm1


3395 40 umvzjn - Eugenol
Aspius

16/10/2018 à 21h29

chicot29 écrivait:
> T'es sur qu'il va revenir ? T'as meme pas une chance sur 4. Nouveau dans le
> métier -je suppose ? Déjà que si tu fais des provisoires faut pas trop les
> peaufiner...... -)))

tellement vrai


Ylfwcw979cz1jnx9gfqeaxndiuzk - Eugenol
Algi

16/10/2018 à 21h33

Ben soit tu fais les provisoires gratis soit tu lui expliques et tu te fais honorer tes actes....

C'est toi qui vois et l'avis des autres tu t'en bats l'œil.


--
On a toujours le choix mais entre quoi et quoi?
Vas-y boulégue et l'avenir te le dira!


3395 40 umvzjn - Eugenol
Aspius

16/10/2018 à 21h47

Si il demande leur opinion aux gens, c'est qu'il s'en bat pas tant l'oeil que cela...


Dolan donald duck weird wqjham bw43ju - Eugenol
GéPé

16/10/2018 à 23h35

Ratata écrivait:
------
> Cyberquenottes,voici un cas par exemple. j' ai du devitaliser la 21, les autres
> sont vivantes, j' ai reconstruit au compo. maintenant c' est pret pour grosso
> modo tout couronner.

Euh non c'est fini pour la façade. Maintenant faut faire le derrière.


Hok 1b hgd3rj - Eugenol
Hokusai

17/10/2018 à 08h53

Ratata écrivait:
------
> Et vous faites comment quand il faut couronner de 13 à 23 sur dents vivantes
> sans faire des provisoires ??

C'est vrai que c'est le schéma fréquent du cmu... :)))


Hok 1b hgd3rj - Eugenol
Hokusai

17/10/2018 à 08h56

GéPé écrivait:
----
> Euh non c'est fini pour la façade. Maintenant faut faire le derrière.

non mais derrière ca se voit pas... et en plus y'a pas moyen de prendre 410 par élément...

Tu fais de la prothèse en antérieur sans calage postérieur aux frais de la princesse.
Ce qui est cocasse c'est que tout ces honoraires rentrent dans le calcul du PIB par exemple... tu jettes l'argent par la fenêtre tu as le meme effet mais 0 pib.


Ratata

17/10/2018 à 09h49

Hermestine67, je couronne car 1- tres haut risque carieux
2- le tt par couronnes est le tt avec le plus long suivi et a fait ses preuves
3- plusieurs dents sont mecaniquement fragiles
4- quelle autre option existe ? faire du collage et qu' il revienne dans 2 ans avec des caries encore partout ? =)


Ratata

17/10/2018 à 09h52

Chicot29, oui je suis assez nouveau dans le metier et plus le temps passe, et plus je me rends compte que l' experience joue un role majeur. qu' aurais tu fait dans ce cas la ? tu offres les provisoires ?
Je pense que le patient va revenir oui, il n' est pas le CMU lambda. mais on est jamais à l' abri qd meme.

Et si je demande l' avis des autres c' est pour voir comment vous faites, ne pas rester enfermé dans ma bulle et m' adapter. llo mot clé dans ces temps difficiles est : ADAPTATION.


Morgan ztbb1b - Eugenol
BONNET jc

17/10/2018 à 10h03

Ratata écrivait:
------
> Cyberquenottes,voici un cas par exemple. j' ai du devitaliser la 21, les autres
> sont vivantes, j' ai reconstruit au compo. maintenant c' est pret pour grosso
> modo tout couronner.
Pourquoi veux tu les couronner? Elles ne sont pas durablement reconstituables? En tout cas, c'est pas évident sur la photo.


Ratata

17/10/2018 à 10h07

Bonnet jc, tout depends de ce que l' on considere durable. c' est combien de temps ? 6 mois ? 1 an ? 2 ans ? pour reintervenir ?


Hok 1b hgd3rj - Eugenol
Hokusai

17/10/2018 à 10h12

fait gaffe quand meme si tu fais pas mal de CMU et que tu couronnes tout ce qui bouge tu vas faire clignoter des petites lumières rouges.


Ratata

17/10/2018 à 10h23

Hokusai, oui, je sait, en fait je ne couronne pas tout ce qui bouge, loin de la en fait. Mais je considere que la couronne est le tt le plus ancien qui a fait ses preuves. Je ne parle pas de la couronne dans laquelle on mutile la dent, mais une couronne dans laquelle on essaye de conserver le plus de tissu dentaire, surtout dans la zone pericervicale.

Je fais des radios et des photos et si jamais un jour j' ai un controle je pense pouvoir defendre mon point de vue.


Morgan ztbb1b - Eugenol
BONNET jc

17/10/2018 à 10h51

Enfin, faire une céram sur 12 ou 22... Si tu les gardes vivantes, c'est difficile, si elles sont petites (je ne sais pas ici). Les dévitaliser pour les couronner... fracture à prévoir dans quelques années. C'est les dents où le taux d'échec est le + important. Moi, je ne couronnerai pas tant que les composites tiennent. En +, si les dents sont vivantes, elles ont quand même assez peu de risque de casser. Mais bon, je ne vois que la photo...