Cookie Consent byPrivacyPolicies.comPrix provisoires CMU - Eugenol

Prix provisoires CMU

Ratata

17/10/2018 à 12h29

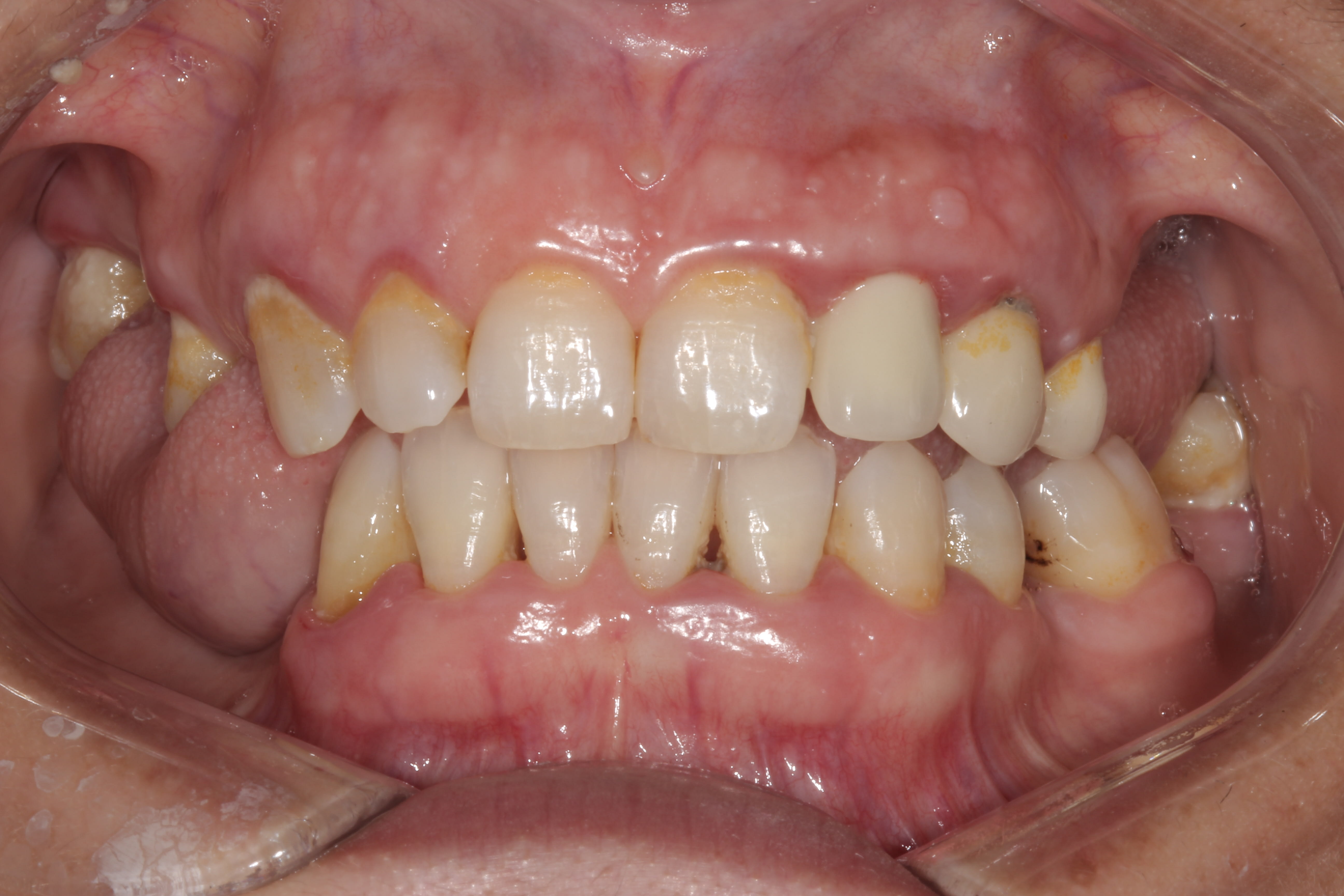
en fait ces caries vont assez profondement et meme s il n' y a pas eu besoin de devitaliser, et le patient n' a plus de symptomes, mecaniquement elles restent fragiles. le collage ne fait pas tout. pour la survie à long terme des dents, couronner me semble le meilleur choix. en plus c' est beaucoup plus simple ( d' un point de vue technique)!

1 2 s2yd1y - Eugenol
2 2 oknvat - Eugenol

2 n2dlt7 - Eugenol
2+2®

17/10/2018 à 12h37

Pourquoi fais tu des composites avant de couronner, je ne comprends pas.
Tu factures quoi dans l'histoires? 2 angles par incisives et ensuite des CCM?

Soit tu fais des provisoire empreintes CCM
Soit des composites sous digue très bien.
Mais les compos avant couronnes cela me dépasse


Hok 1b hgd3rj - Eugenol
Hokusai

17/10/2018 à 12h49

2+2® écrivait:
----
> Tu factures quoi dans l'histoires? 2 angles par incisives et ensuite des CCM?

Ca va quand meme coincer cette histoire.
L'argument en plus se résume a réaliser une restauration périphérique préventive...


carident

17/10/2018 à 12h59

Ratata écrivait:
------
> en fait ces caries vont assez profondement et meme s il n' y a pas eu besoin de
> devitaliser, et le patient n' a plus de symptomes, mecaniquement elles restent
> fragiles. le collage ne fait pas tout. pour la survie à long terme des dents,
> couronner me semble le meilleur choix. en plus c' est beaucoup plus simple ( d'
> un point de vue technique)!

En fait dans le cas de caries profondes en trognon de pomme (tout autour de la dent), faire une couronne (sans tenon, sans inlay core) ne renforce pas du tout la dent : seul le "trognon de pomme" avec un peu de composite collé va servir de soutien à la couronne. A force de choc horizontaux répétés, la couronne va se désolidariser du reste avec du compo et de la dent à l'intérieur...

Dans ce cas là, mieux vaut faire :
- des compo bien réalisés,
- ou dévitaliser et faire RCR+CCM ou IC+CCM
mais compo + CCM = pas bon car tu vas enlever de l'émail et de la dentine saine et fragiliser la dent...


Aiguille cyboyt - Eugenol
fatboy

17/10/2018 à 13h13

En tout cas, tu es motivé et tu fais de beaux compos.


Ratata

17/10/2018 à 13h24

le patient est asymptomatique, je ne vois pas la raison pour dévitaliser. Mon idée est de faire comme dit précédemment, des couronnes préventives. Soyons honnêtes, laisser des composites dans ce milieu buccal ne donnera pas de bons resultats, il faut une protection périphérique.

Enlever l' email ne va pas fragiliser la dent. De la dentine oui. C' est la raison pour laquelle je ne fais pas de congé ou autre mais des préparations verticales, pour maintenir de la dentine pericervicale.

Je garde de la ferrule et il devrait pas y avoir de probleme. maintenant, je l' ai déja dit, je n' ai pas une expérience de X0 années . Juste quelques années. Mais dans ma pratique actuelle, c' est ce que je fais. Apres, pour ce qui est des photos avec les cavités, ce ne sont pas les prepas finales, il y a surement eu une reduction des murs fins/fragiles.


carident

17/10/2018 à 13h45

Si tu prépares à minima, l'espace prothétique disponible pour le prothésiste est réduit, et ne permet pas d'obtenir une esthétique optimale si tu fais une ccm (ou une céramique sur zircone).
Maintenant, si tu fais une couronne jacket collée en vitrocéramique (ou à l'ancienne en céramique feldspathique), pour profiter de la translucidité de l'ensemble, c'est une autre histoire... Mais ça commence à devenir cher pour un cmu? :-)


Ratata

17/10/2018 à 13h50

c' est vrai que j' avais tendance a preparer a minima et que mon protho me demandais plus d' espace. depuis je me suis un peu amelioré =).


Hok 1b hgd3rj - Eugenol
Hokusai

17/10/2018 à 14h43

fatboy écrivait:
------
> En tout cas, tu es motivé et tu fais de beaux compos.

en effet chapeau !!
Mais t'arrives un peu a les motiver niveau hygiène par la suite ??


Ratata

17/10/2018 à 16h03

Oh ca c' est difficile dans certains cas, mais chez sa femme ca marche bien. chez elle j' ai fait un surfacage complet, j' ai donné les conseils d' HBD et c' est incroyable le changement, chapeau a elle. mais c' est certain que des fois je perds completement mon temps, et d' autres fois je me rends compte a l' avance et je decide de ne plus perdre mon temps....putain de systeme de santé Francais.


Hok 1b hgd3rj - Eugenol
Hokusai

17/10/2018 à 16h12

Ratata écrivait:
------
> ....putain de systeme de santé
> Francais.

:)))) tu es dans une très belle région... ca compense !


X ray 03 medium zvq18j - Eugenol
cyber_quenottes

17/10/2018 à 16h22

Ratata écrivait:
------

> Je fais des radios et des photos et si jamais un jour j' ai un controle je pense pouvoir defendre mon point de vue.
====================================
si tu as facturé les compos , ce sont des restaurations "durables"
=> les couronnes sont superflues et toutes les photos du monde ne te sauveront pas de l'indu

c'est
soit obtu
soit couronne
pas les 2

tu n'imagines pas comme les CDC s'en contrefoutent de tes photos


Ratata

17/10/2018 à 16h23

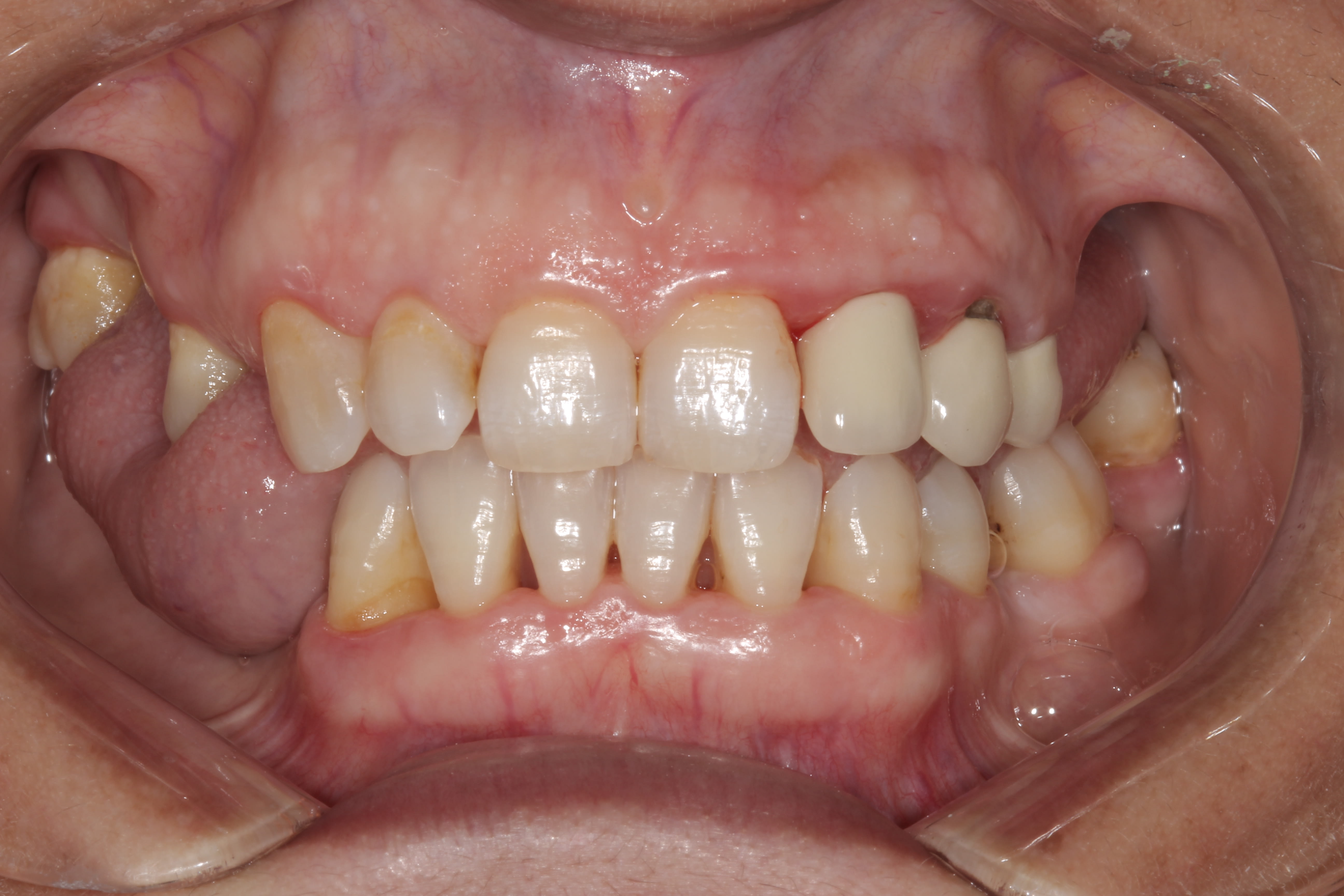
Voici Madame. le changement entre les deux photos c' est le surf et la motivation . Oui, oui, elle est au courant qu' elle doit ameliorer le brossage derriere, mais elle est motivée, passe les brossettes, avec des patients comme ca c' est un plaisir d' aller bosser, mais OK, c' est de loin pas le cas avec la plupart des patients.

1 2 hpmqzd - Eugenol
2 2 vmdus3 - Eugenol

Dprtmuluo7sk4wxn8aabgsxy7sde - Eugenol
Pervers Pépère

17/10/2018 à 16h24

Hokusai écrivait:
-------

> :)))) tu es dans une très belle région... ca compense !

L'Alsacie, mouais, pas mal, bon faut aimer les pulls et le vin blanc, ah et les cigognes aussi ... en brochettes ;-))


Ratata

17/10/2018 à 17h15

Cyberquenottes, jusqu' a il y a 6 mois je cottais soit compo soit couronne. depuis que j' ai eu le dentiste conseil au telephone et qu 'il m' a dit qu' on pouvait coter compo avant couronne, je le fais. je sais, je vais demander qu' il me le marque par ecrit...

pour ce qui est de l' alsace, le picon me fait oublier mes journées au cab donc tout va bien.


Vw campersurfvan bmnk1q - Eugenol
enlaye

18/10/2018 à 07h29

Fais du compo à Bertrand , il te le rends en cagant :-).
Beau travail . que de mauvais souvenirs tout ça .


moritooth

18/10/2018 à 08h49

Bravo pour ton implication dans le social et joli boulot sur les antérieures de tes patients CMU. Mais ni Mr ni Mme ne semblent avoir beaucoup de molaires...tu as prévu quelque chose ? Parce que sans calage postérieur, les couronnes antérieures ne tiendront guère plus longtemps que des compos...

Sinon, comme l'a dit Chicot29, t'emballe pas avec la systématisation compo + CR ( et en tout cas surtout ne pas utiliser les codes 1 angle ou 2 angles !), le CDC as dit... mais quand tu vas clignoter en rouge dans les stat, il ne souviendra plus de toi, ni curieusement de ce qu'il t'as dit. En attendant il a noté dans son petit carnet le Dr Ratata, fait sytématiquement des compos sous toutes ses CR, y'a bon!


Ratata

18/10/2018 à 10h43

Moritooth, pour la calage post t' as tout a fait raison, en fait je suis en debut de tt pour les deux.

Pour ce qui est du compo + couronne, je comprends votre point de vue qui etais le mien jusqu' a il y a peu. je vais demander au CDC qu' il me marque par écrit la possibilité de faire compo + couronne. et s' il refuse, je n' en ferais plus, ou je demanderais au patient de le régler en HN... mais sinon, comment faites vous pour remplacer le volume manquant avant une couronne ? TFM ou tenon fibré en systematique ? meme s' il n' y a pas besoin d ' un ancrage ? ou vous ne le cotez pas ?


Rape p0as4f - Eugenol
rapelapente

18/10/2018 à 11h33

Je ne comprend pas votre problème avec le compo avant la couronne.
Pour moi il n'y en a pas.
Alors qd on fait une reconstitution avec ancrage radiculaire ou ne pourrait pas couronner après ????


Dprtmuluo7sk4wxn8aabgsxy7sde - Eugenol
Pervers Pépère

18/10/2018 à 11h50

Effectivement, ce qui pose problème c'est ancrage radiculaire avant Inlay core mais compo avant couronne aucun problème.


moritooth

18/10/2018 à 14h39

rapelapente écrivait:
-----------
> Je ne comprend pas votre problème avec le compo avant la couronne.
> Pour moi il n'y en a pas.
> Alors qd on fait une reconstitution avec ancrage radiculaire ou ne pourrait pas
> couronner après ????

Les obturations sont sensées être "définitives", si elles reçoivent une couronne par dessus c'est qu'elles ne l'étaient pas. Ce qui peu poser problème, c'est la systématisation du protocole.


Jack 2 wm3tqs - Eugenol
Treponem

18/10/2018 à 14h49

moritooth écrivait:
---------

> Les obturations sont sensées être "définitives", si elles reçoivent une couronne
> par dessus c'est qu'elles ne l'étaient pas. Ce qui peu poser problème, c'est la
> systématisation du protocole.

Bin moi j’interprète ça différemment, pour moi les obturations seront encore plus définitives sous une couronne :))


moritooth

18/10/2018 à 15h00

Treponem écrivait:
--------
> Bin moi j’interprète ça différemment, ...

Au stade de l'interprétation, la "bonne" est celle du service médical de sa région...donc Ratata n'a pas tort de demander, par écrit, celle du CDC de son secteur.


Blue eye thumb medium dx1i0w - Eugenol
bill

18/10/2018 à 15h02

Le problème c'est justement que chacun a son interprétation des textes et qu'il n' y a pas une ligne unique.
Tant que la sécu n'intervenait pas trop ça pouvait aller, maintenant qu'avec cette ccam ils vont nous fliquer acte par acte ça va être du pain béni pour les indus...


--
https://docudent.fr
Tous les documents du cabinet dentaire

________________________________________


3395 40 umvzjn - Eugenol
Aspius

18/10/2018 à 15h05

obturation coronaire X faces = restauration CORONAIRE, comme la couronne
obturation à ancrage radiculaire = restauration CORONO-RADICULAIRE, comme l'inlay core

faut pas tout mélanger les gens...