Cookie Consent byPrivacyPolicies.comsolution provisoire facile et peu chere ? - Eugenol

solution provisoire facile et peu chere ?

Ratata

06/11/2018 à 15h29

Bonjour,

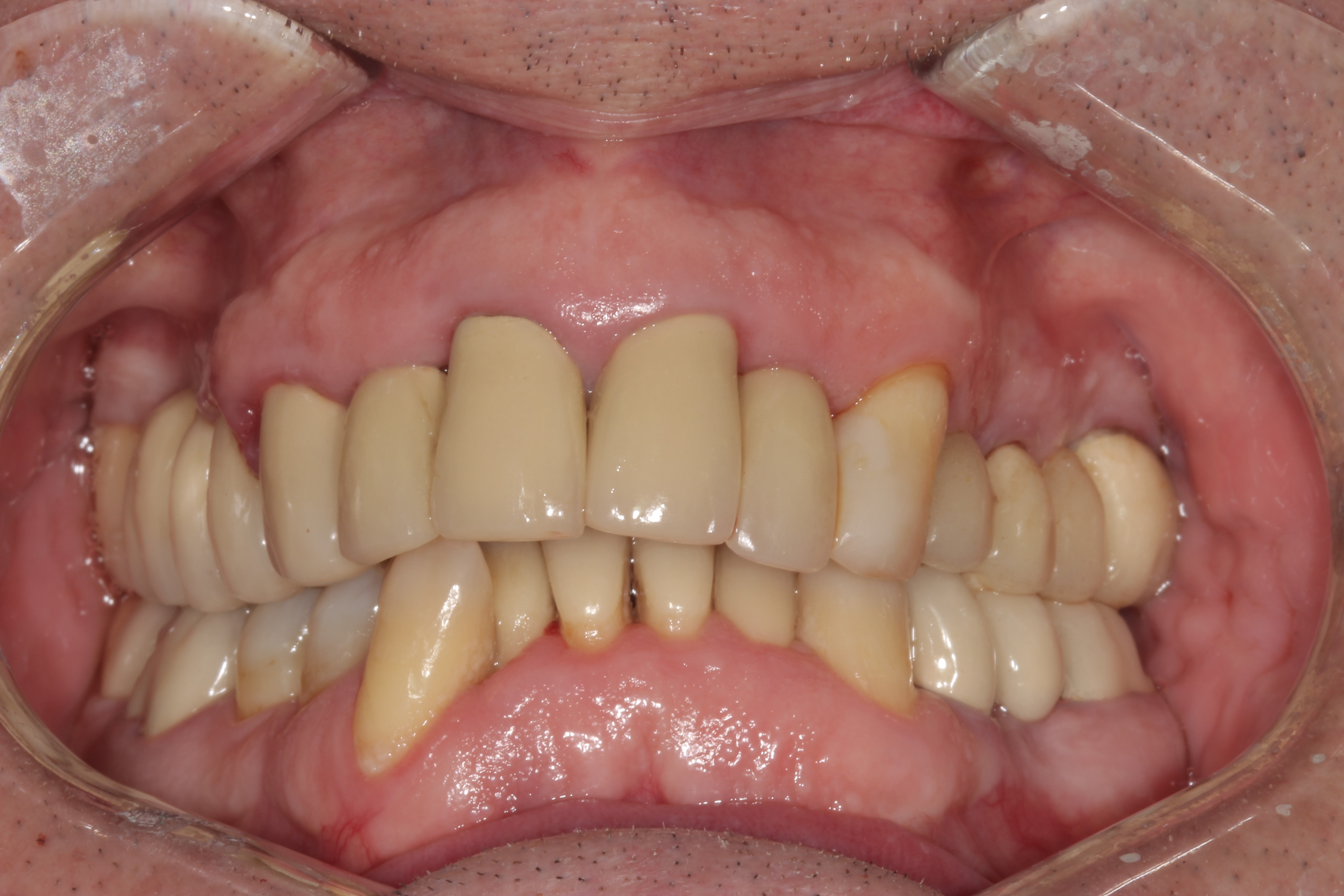
voici un petit cas et je voulais savoir comment vous auriez geré la temporisation.

plan de tt : extraction de 42 43 qui se chevauchent ++++et bridge 41 x 44.

j' ai realisé les extractions ce matin, j' ai preparé 41 et 44 et j' ai posé un bridge provisoire labo.
MAIS : la cicat va prendre du temps +++ et j' ai peur pour 41 et 44 vivantes.

c' etais galere a rebaser les prov avec tout le sang autour.

donc j' aurais voulu trouver une solution pour temporiser apres extraction de 42 43 et decaler la realisation du bridge quand cicat OK.

la question : avez vous des solutions autres qu' un appareil résine 1 dent ? une solution simple et peu chere ? j' avais pensé a coller un compo entre les dents pour faire semblant mais grand espace et le patient mastique fort , j' ai eu peur que ca casse.

comment gerez vous ce genre de situation ?

Merci pour vos reponses. =)

Jjn030qqjdrktxdmmqvv - Eugenol

Morgan ztbb1b - Eugenol
BONNET jc

06/11/2018 à 15h49

41 vivante!


Orezza gazeuse verre litre ocoxey - Eugenol
casa

06/11/2018 à 15h59

Ben comment dire ....: t'aurais accepté ça sur toi ?


2 n2dlt7 - Eugenol
2+2®

06/11/2018 à 16h11

Tu lui as sorti la canine, sérieux?
Et les dents de ton bridge elles auront quelles dimensions?
Et il ya de la paro, non? la 41 tu crois qu'elle va tenir combien de temps?


Vw campersurfvan bmnk1q - Eugenol
enlaye

06/11/2018 à 16h34

casa écrivait:
----
" Ben comment dire ....: "

+1 j arrive même pas a sortir 1 connerie .


Dprtmuluo7sk4wxn8aabgsxy7sde - Eugenol
Pervers Pépère

06/11/2018 à 16h35

Oups !


Carie Grant

06/11/2018 à 16h46

Après la 33 EXPORT, mise en bière pour la 43, sans fleurs ni couronne ....

C'est bien triste !

On aurait préféré une approche paro/ortho/occluso (avec éventuellement avulsion 42, mais SURTOUT PAS 43 ! )

Emoticone amrcq2 - Eugenol

Capture d  cran 2015 05 13   10.37 - Eugenol
BA

06/11/2018 à 16h54

Moi j' aurai bien aimé une radio parce que comme ca, ca ne dit pas grand chose de l' état paro des inc restantes et un bridge 41 44 , je ne savais mm pas qu' on pouvait le faire


Capture d  cran 2015 05 13   10.37 - Eugenol
BA

06/11/2018 à 16h59

dites les confreres , personne n' a gardé ce tableau où le prof de prothèse nous donnait les coefficients de chaque dent en temps que support de mastication....c'était quoi, en troisième année ???
c'était simple pourtant t'additionnes les coefficients des supports et tu regardes si ca équilibre le coefficient des dents manquantes


Generique fraisage r2rxmm - Eugenol
lardonbis

06/11/2018 à 17h11

coeff 1 comme les latérale max je crois


Vw campersurfvan bmnk1q - Eugenol
enlaye

06/11/2018 à 17h44

le bridge d en haut secteur 10 ( a droite ) va exploser


superjim35

06/11/2018 à 17h45

Ah ben oui plus facile à extraire la 42 avec la 43 .y font comme ça à Bucarest ??


Blue eye thumb medium dx1i0w - Eugenol
bill

06/11/2018 à 17h49

c'est là que tu espères vraiment que ce soit encore une vanne de junior...


--
https://docudent.fr
Tous les documents du cabinet dentaire

________________________________________


RépondreCiter
2 n2dlt7 - Eugenol
2+2®

06/11/2018 à 18h21

OOOOH OOOH Ratata....?
T'es encore là? Ratata
Aaaaaahhhh.... il nous fait quand m^^eme bien rire avec ses blagues Junior...


carident

06/11/2018 à 18h26

enlaye écrivait:
------
> casa écrivait:
> ----
> " Ben comment dire ....: "
>
> +1 j arrive même pas a sortir 1 connerie .

A la rigueur, s'il nous avait contacté avant l'heure du goutté... style le matin, juste après les avulsions... T'aurais pu lui dire de remettre la canine en place et de ne plus rien toucher! :-)


Orezza gazeuse verre litre ocoxey - Eugenol
casa

06/11/2018 à 18h27

Rire ? je sais pas .... Ratata , c'est une blague peut-être ..mais je ne pense pas que Junior soit derrière , inscrit en 2016


Hok 1b hgd3rj - Eugenol
Hokusai

06/11/2018 à 18h31

2+2® écrivait:
----
> la 41 tu crois qu'elle va tenir combien de temps?

1 an, 18 mois ?? mystère...


2 n2dlt7 - Eugenol
2+2®

06/11/2018 à 19h00

Je pense que c'était le dernier post de Ratata
2016-2018 RIP


Hariboo uxvd6e - Eugenol
Harry Bo

06/11/2018 à 19h38

ratata ta bien choisi ton pseudo....


Ratata

06/11/2018 à 21h25

Salut,

je suis toujours là. j' ai lu vos réponses mais aucune ne réponds a ma question. C' est pas une blague. je posterai d' autres photos demain et vous verrez le cas dans sa globalité. l' option ortho, implanto, greffe osseuse etc etc le patient a refusé... En tout cas je vois a quel point le post a été choquant. comme quoi une simple photo ne suffit pas.


RépondreCiter
4a338550 6a5b 47ea b2a7 d3cb675c5076 oni5gh - Eugenol
fistule 69

06/11/2018 à 21h49

Ratatatouille,
On attend ta tambouille !
C’est vrai que si le patient refuse un plan de traitement, Ben ...il peut rester simplement avec sa merde en bouche.
Troll ... ?


Orezza gazeuse verre litre ocoxey - Eugenol
casa

06/11/2018 à 21h55

C'est c.. qu'il n'ait pas refusé aussi ton traitement aussi dis moi .... ! comme quoi , sont vraiment pas futfut les patients


carident

06/11/2018 à 21h57

https://www.laboratoire-medident.fr/remplacer-dent-manquante/108-creadent.html?gclid=Cj0KCQiAlIXfBRCpARIsAKvManyPp59Clv1NbX_OhOFe2IQRFgR-9xyM5nMFUjWHkc74t_ZjNEd1FwUaAhkhEALw_wcB


"La perte d'une dent est une situation assez fréquente malheureusement.En effet une dent peut être manquante suite :

à une extraction ,"dent arrachée"
à une perte d'une dent déchaussée qui a fini par tomber.
à un choc qui peut expulser une dent ou la briser à la base de la racine


Une dent manquante vous empêche de sourire

Il faut absolument remplacer cette dent et fermer ce trou surtout si c'est une dent qui fait partie intégrante de votre sourire.Les solutions de remplacement définitives existent comme la mise en place d'un bridge ou d'un implant ,mais ces solutions de remplacement ne se font pas rapidement et sont onéreuses.

Pour patienter en attendant d'avoir une solution définitive,vous pouvez combler le trou en fabriquant une dent et retrouver le sourire avec Creadent."

Tu expliques à ton patient que tu n'as pas pensé à une solution de remplacement provisoire de ses dents, ni à la longévité de la reconstitution "définitive" d'ailleurs.

Mais que, bon seigneur, tu lui as quand même déniché un produit miracle qui lui permettra de remplacer provisoirement sa dent lui même (enfin, si ça le gêne d'avoir un trou devant).

Creadent hw1iqe - Eugenol

carident

06/11/2018 à 23h04

https://www.toutdentaire.com/appareils-dentaires/99-remplacer-une-dent-ou-un-trou.html

Remplacer rapidement une dent manquante avec Fabricadent

Désormais vous pouvez sourire, même s'il vous manque une dent

Vous avez perdu une dent suite à :

- un choc violent

- une carie

- un déchaussement de la gencive

- à une extraction nécessaire… (ou pas, si vous êtres tombé sur Ratata)

Les raisons peuvent être multiples.

Malheureusement, les solutions qu'il vous reste ce sont un bridge ou un implant, mais cela peut être très onéreux. Que faire dans ce cas-là, lorsque le budget est restreint et que vous souhaitez combler cet espace inesthétique en attendant d'avoir les moyens ?

https://player.vimeo.com/video/239431408


carident

06/11/2018 à 23h06

.


12...