Cookie Consent byPrivacyPolicies.comsolution provisoire facile et peu chere ? - Eugenol

solution provisoire facile et peu chere ?

Dolan donald duck weird wqjham bw43ju - Eugenol
GéPé

07/11/2018 à 01h04

Ratata écrivait:
------
> Salut,
>
> je suis toujours là. j' ai lu vos réponses mais aucune ne réponds a ma
> question. C' est pas une blague. je posterai d' autres photos demain et vous
> verrez le cas dans sa globalité. l' option ortho, implanto, greffe osseuse etc
> etc le patient a refusé... En tout cas je vois a quel point le post a été
> choquant. comme quoi une simple photo ne suffit pas.

C'est un peu dommage de pas lui avoir dit "Donc nous allons en rester là monsieur"
J'espère vraiment que c'est une blague ou qu'il y avait de très gros problèmes non visibles sur cette photo, dans le cas contraire j'espère bien que tu finiras avec une interdiction d'exercer.

Sur ce, bonne nuit.


RépondreCiter
Aiguille cyboyt - Eugenol
fatboy

07/11/2018 à 06h39

Bon, reprenons un peu...
Ratata, tu n'as pas beaucoup d'experience (tu as du mal avec les extractions de dents de lait), c'est pas une critique on a tous commencé, on a tous raté des cas, tu as beaucoup de patient CMU, tu fais facilement des couronnes, tu essaies de faire tourner ton cab et tu as raison.
Mais, tu fais plusieurs erreurs.
Si tu fais un plan de traitement qui n'est pas accepté par le patient, tu ne devrais pas en faire un autre qui ne serait pas justifié, juste parce qu'il serait accepté par le patient. Ce bridge 41 44 pose pleins de problemes, 41 va se necroser, casser, le bridge va se decoller, a quoi pourra ressembler l'inter que tu vas mettre, une enorme 43, deux petites 42, comment justifier l'extraction de 43 et 42.
Quand les problemes vont arriver, que feras-tu? tu essaieras d'arranger le patient en faisant un bridge 31-44? Des implants que le patient refusera de payer? Si ca tourne mal comment justifieras-tu aupres de la secu ton travail? " le patient ne voulait faire que ça..." le CDC commencera a te reluquer comme une minijupe dans une ruelle sombre.
A ce stade là, ton probleme de provisoire n'en est pas vraiment un. Fait deux couronnes provisoires et laisse un trou ou fait un bridge qui se decollera, ca ne changera pas la suite.
Je connais des cab qui marchent tres bien en faisant des wagons de couronnes CMU, il faut un vrai talent pour gerer les merdes a rattraper. Planquer la cotation douteuse, calmer le mari, faire des bridges acrobatiques et ainsi de suite.
Ne fais pas ce que tu peux faire, mais ce que tu dois faire...
C'est toi qui as fait le reste de sa bouche?


Vw campersurfvan bmnk1q - Eugenol
enlaye

07/11/2018 à 09h18

Si ça t interresse , Ratata , je peux essayer de retrouver le passé et donc l avenir de ce cas si tu m y aides .


Ratata

07/11/2018 à 09h20

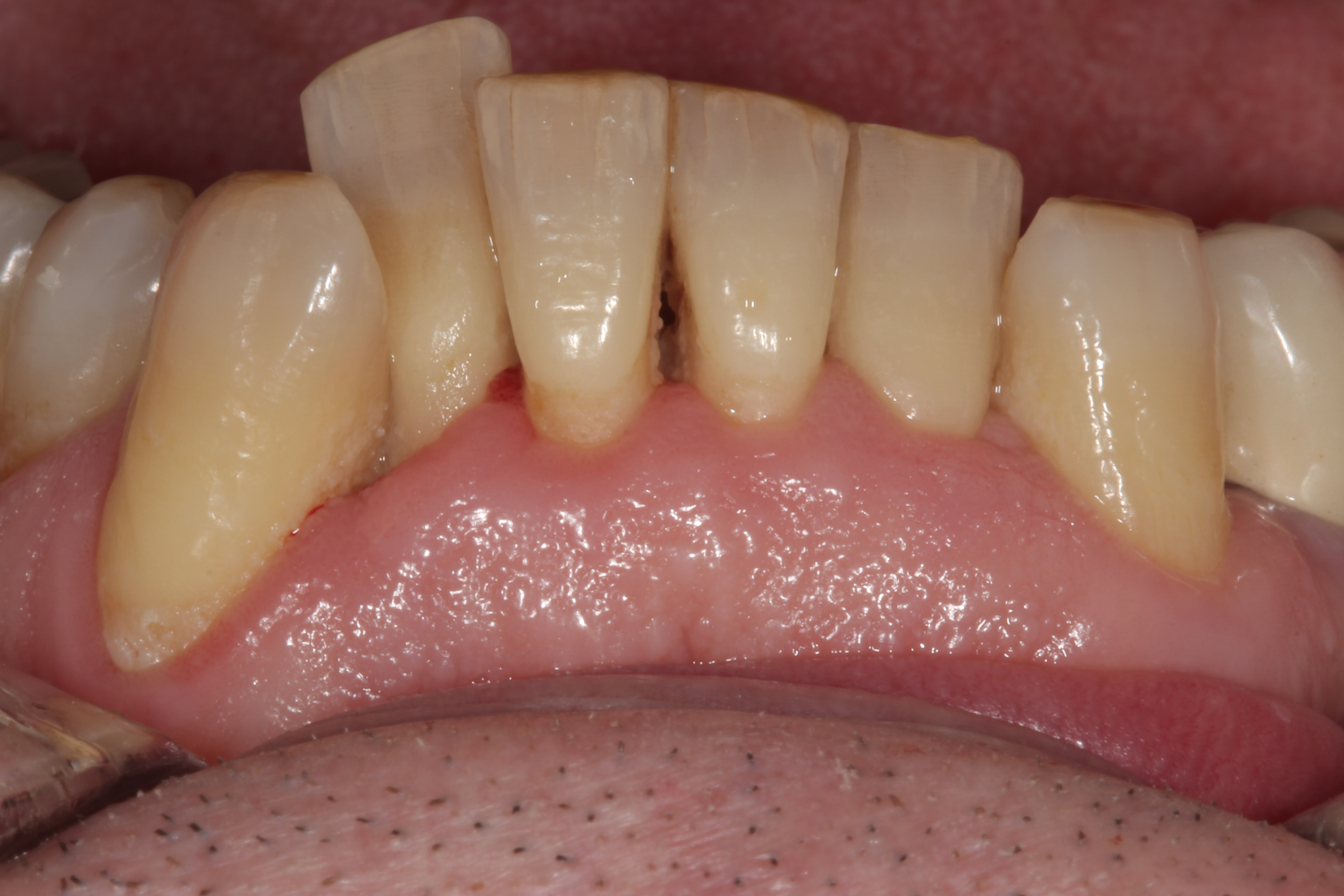
Salut fatboy, ta reponse est interessante. il y a du vrai, mais pas sur le fait que je fais des couronnes facilment. En fait, c' est plutot le contraire. ou ça l' étais jusqu' à il y a quelques mois. avant je faisais beaucoup du collage indirect. maintenant c' est plutot des compos directs ( realisables dans une grande majorité des cas ) , ou des couronnes. j' aime la fiabilité des couronnes. et pour ce qui vont me parler du gradient therapeutique etc, on peut en discuter.

C' est certain que je fais des erreurs tous les jours et j' en ferai encore. Sur ce cas, je verrais.

PS: non, je n' ai pas fait les autres couronnes. Sur lui j' ai fait uniquement un surfacage et une couronne sur 47. mais il brosse pas bien... malgré ce que je lui ai conseillé.

L' espace disponible permet de metre uniquement une canine, legerement plus grande que la controlaterale, mais rien de choquant.

4 4 bsrexw - Eugenol
3 4 ozlqky - Eugenol
2 4 vdpucj - Eugenol
1 4 jvuahk - Eugenol

Orezza gazeuse verre litre ocoxey - Eugenol
casa

07/11/2018 à 09h42

Je sens , enlaye , que tu vas te régaler ..... c'est bien ratata de poser des questions mais peut-être aurais tu pu la poser avant d'extraire cette canine (et même la 42 ) Parfois avoir une bonne mutuelle c'est pas une bonne affaire pour les patients .....


carident

07/11/2018 à 09h42

La canine était encore bien ancrée... Pourquoi l'avoir enlevée? Dans un cas comme cela, il aurait mieux valu faire un bridge de 3 à 3.
Quelle était le demande du patient?


loumi911

07/11/2018 à 09h46

La solution idéale aurait peut être été extraction de 42 et réalignement du bloc incisif par voie ortho ...
si le patient l'acceptait ...le problème d'extraire une canine c'est de perdre sa fonction (...canine... .)
C 'est un avis pas un jugement..pour les cas foireux et les conneries, j'en ai aussi un stock....


ch'ticot 59

07/11/2018 à 09h50

C'est sûr qu'il fallait garder va 43; après si le patient refuse l'ortho (réalignement des 3 incisives si on vire la 42; solution peu académique mais envisageable), je ne fais rien; la fonction canine est à préserver.


Ylfwcw979cz1jnx9gfqeaxndiuzk - Eugenol
Algi

07/11/2018 à 09h53

Cas similaire en juin...

Ai extrait la latérale....et QUE la latérale....

On attend et on voit si, des fois, spontanément les incisives se replacent pas....


--
On a toujours le choix mais entre quoi et quoi?
Vas-y boulégue et l'avenir te le dira!


Ratata

07/11/2018 à 10h01

c' est pas une question de mutuelle, je suis le 1er a m' en foutre de la prise en charge. Apres le refus de l' ortho j' ai envisagé de faire une couronne sur 43 pour la realigner avec une petite extension pour combler 42. j' ai vu sa avec le labo. le resultat n' aurait pas été satisfaisant. et j' aurais du mettre a ras la 43. donc quel avenir pour cette 43? le patient a aussi refusé. je suis d' accord qu' a ce stade on peut tout arreter et dire, OK, merci, au revoir. Mais je veux avoir le suivi du cas et voir en effet la durée de vie du traitement que j' ai realisé ainsi que des dents piliers.

la demande du patient est : le chevauchement extreme, un realignement des dents. et personnellement ce realignement permettra une meilleure hygiène.

aussi il y a les contacts. occlusion particulière.

Img 1361 1 z4cwef - Eugenol
Img 1362 1 s9pyeu - Eugenol

Ratata

07/11/2018 à 10h03

Algi, interessant. tu as deja eu des cas ou apres l' extraction de l' inc laterale, les autres inc ET la canine se replacent et tout le mond eest content ?
Mais en effet, j' aurais pu le faire et attendre. mais combien de temps ? et encore une fois ? comment temporiser ? comment tu l' as fait ?


carident

07/11/2018 à 10h13

Ratata écrivait:
------
> Mais en effet, j' aurais pu le faire et attendre. mais combien de temps ? et
> encore une fois ? comment temporiser ? comment tu l' as fait ?

Si tu veux que les dents se réalignent, il ne faut pas mettre d’obstacle...


Orezza gazeuse verre litre ocoxey - Eugenol
casa

07/11/2018 à 10h22

Je ne parlais pas que pour toi Ratata , le maxillaire aussi devait être "dérangé" ..ha la là , c'est sur c'est beaucoup mieux maintenant ! Il a quel age ton patient , 50 , 60 ? et d'un seul coup cette 42 l'emmerde , et retoucher son bord incisif tout simplement ? Bref extraire une 43 et d'autant plus avec une occlusion comme ça , c'est plus que risqué et attends , Enlaye va te raboter la 26 !


Orezza gazeuse verre litre ocoxey - Eugenol
casa

07/11/2018 à 10h25

Non mais ratata est un maniaque ..... ! pas de trou ..... chez lui c'est impeccable , pas une miette ne traîne ! Tout est bien rangé , à sa place , nickel chrome même si c'est pas logique .....


Ratata

07/11/2018 à 10h36

casa, hahaha, oh si tu voyais mes cas, crois moi, je m' en fous des trous.

retoucher le bord incisif uniquement n' aurait pas résolu la poche de 10 mm entre 42 et 43.

mais ca m' interesse cet histoire d' occlusion, tu peux développer stp ?


Dolan donald duck weird wqjham bw43ju - Eugenol
GéPé

07/11/2018 à 10h41

Ratata écrivait:
------
le resultat n' aurait pas été satisfaisant. et j' aurais du mettre a
> ras la 43. donc quel avenir pour cette 43?

LOLOLOL
Du coup pas d'avenir on extrait, comme ça la 43 a encore moins d'avenir, pas vrai ?
Prochaine fois que tu vois un patient avec une dent qui le gêne, zigouille le directement.


RépondreCiter
2 n2dlt7 - Eugenol
2+2®

07/11/2018 à 10h42

Tu fais un bridge collé 43 - et la tu ne nuis pas au patient
mais la tu lui défonces 2 dents et extrais la canine
personne ne te suit dans ton plan de traitement, un patient avec un avis éclairé non plus


Orezza gazeuse verre litre ocoxey - Eugenol
casa

07/11/2018 à 10h47

ben si tu t'en fous , ton patient aussi .. c'est toi le patron ! ce n'est pas la profondeur de la poche qui compte c'est plutôt son évolution ... ton cas est très classique , nous en avons tous des cas comme ça ... en général , la 42 finit par se carier .... et tu finis par l'extraire mais comme , avec le temps la 43 a migré , le "trou" devient de plus en plus petit .... et voilà . Pour l'occluso , je vais laisser parler le maître ! je n'y comprends rien ..mais je sens bien le truc : blocage .... compensation ! Dans mon logiciel, extraire une dent saine , pour prévenir un problème paro ... ça me choque ! raisonne tout simplement , un poche conduit à quoi ? ben tu as juste accéléré le processus , sans lui laisser aucune chance .


Icon poker h4nm2d - Eugenol
jeff

07/11/2018 à 10h52

je crains que tu ne trouve personne pour accrediter l'extraction de la 43. malgré tous les documents.
Et si cela tourne mal avec le patient et qu'il y a plainte, l'expert sera aussi contre toi. on lira alors dans le journal " le dentiste de l'horreur : il arrache des dents saines pour faire des bridges" !
La seule option était ortho. si le patient refuse un ttt complet compliqué, un traitement de compromis avec ext de 42 et alignement est acceptable.
Tu dis qu'il refuse d'ortho, mais a t il eu une consultation ortho ?, si non, lui a tu expliqué qu'avec des aligneurs, cela marcherai tres bien, avec des bagues, en 6 mois c'était bouclé ?
Si apres ces explications, il refuse encore , la seule reponse, c'est" il est hors de question que j'enleve cette canine, trouve un autre praticien qui repondra a votre demande".
meme a 53 balais, je me fais encore avoir a vouloir etre gentil, rendre service et repondre a la demande du patient. C'est assez diffcile d'etre hyper rigoureux sur ce point, mais je t'invite a progresser en ce sens, car c'est la merde tout le temps apres.
pour répondre a ta question, car cela pourra etre utile un jour pour un cas justifié : grosse anesth, ext et prepa, eponge hemostatique, compresse, retour salle d'attente, puis rebasage du bridge prov.


Ratata

07/11/2018 à 11h03

Nous sommes tous d' accord sur le fait que ce n' est pas le traitement ideal .

Mais où se situe la limite de la justification: donc quand vos patients ne font pas d' implants, vous faites quand meme un stellite ? ou plus personne n' en fait ? et les dents porteurs de crochet elles deviennent quoi ? et je ne parle pas seulement de la paro, mais surtout des caries.

Et un ortho qui demande l' extraction des 4 premolaires ? vous le faites ? horreur ! quelle difference entre extraire 4 dents saines pour avoir un realignement chez un jeune et extraire 1 dent dans ce cas ? ( je ne considere que la canine... ).

Merci en tout cas jeff pour avoir repondu a ma question de départ, c' est ce que j' ai fait.


2 n2dlt7 - Eugenol
2+2®

07/11/2018 à 11h26

Le tout en Non Remboursable bien sur


Orezza gazeuse verre litre ocoxey - Eugenol
casa

07/11/2018 à 11h38

Je te repose la question : l'aurais tu fait sur toi ou sur l'un de tes proches ?


Ratata

07/11/2018 à 11h48

Casa, ce traitement n' est pas l' ideal et je ne le voudrais pas pour mes proches. je ne discute pas sur ça. mais ça réponds à la demande du patient. pour ceux qui l' auraient renvoyé du cabinet, OK, je peux aussi le comprendre, je l' ai déjà fait aussi.


zazamouk

07/11/2018 à 11h57

Ratata écrivait:
------
> Nous sommes tous d' accord sur le fait que ce n' est pas le traitement ideal .
>
> Mais où se situe la limite de la justification: donc quand vos patients ne font
> pas d' implants, vous faites quand meme un stellite ? ou plus personne n' en
> fait ? et les dents porteurs de crochet elles deviennent quoi ? et je ne parle
> pas seulement de la paro, mais surtout des caries.

Un stellite bien adapté avec une bonne hygiène ne cause pas vraiment de carie sur les dents porteuses de crochets.
J'aimerai faire des implants pour tout les édentements, mais malheureusement les patients ne peuvent ou ne veulent pas les financer.
Donc stellite depuis une douzaine d'année sans trop de problème !


> Et un ortho qui demande l' extraction des 4 premolaires ? vous le faites ?
> horreur ! quelle difference entre extraire 4 dents saines pour avoir un
> realignement chez un jeune et extraire 1 dent dans ce cas ? ( je ne considere
> que la canine... ).
>
Je n'extrait quasiment plus aucune Pm saines depuis plusieurs années. Sauf cas d'agénésie unilatéral.
La différence avec ton cas c'est que la solution pour réaligner par ortho est validée avant l’avulsion !!

Tu as voulu bien faire, en répondant aux problèmes de ton patient.
Mais il n'est pas dentiste et croit probablement aux miracles gratuits pour retrouver des belles dents blanches alignées sans brossage régulier !!
il aurait fallu dire "non", ce qui n'est pas toujours simple et lui proposer avulsion 42, traitement paro et odf pour aligner les autres dents

Maintenant que 43 et 42 sont à la poubelle tu peux faire Un bridge collé de 44 à 33 ou Un petit stellite 2 dents en attendant le budget pour les implants Cela permettra de retrouver des dents alignées sans nuire aux voisines .


Orezza gazeuse verre litre ocoxey - Eugenol
casa

07/11/2018 à 12h04

Voilà , voilà .... parce que aller mutiler 44 et 41 c'est pas non plus le top , non ? Tu imagines , tu as une poche entre 42 43 , tu te retrouves sans la 42 43 mais en plus la 41 pas bien en forme et la 44 en état de délabrement avancé .. certes avec une fraise mais quand même ! A mais oui c'est aligné , j'avais oublié la "maladie" de départ ..... heureusement que tu n'es pas chirurgien orthopédique .... arthrose de la main aller hop une belle prothèse " vous ne souffrirez plus madame , promis !"