Cookie Consent byPrivacyPolicies.comEnlaye, raconte-moi une histoire occlusale.. - Eugenol

Enlaye, raconte-moi une histoire occlusale..

burnax

28/11/2018 à 14h40

bonjour,

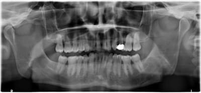
un patient 46 ans de longue date vient me voir pour la casse distale du bridge cantilever maxi gauche, fait sur dent vivante il y a 16 ans, réalisé après de l'ortho, la 14 a été extraite, avec un espace dispo entre 15-13 réduit.

De plus, avec un bilan paro correct,il trouve que les espaces surtout entre 46-47, 16-17 s'agrandissent et lui gênent de plus en plus.

Donc, si Enlaye pouvait me faire une analyse occlusale avant de refaire 24.25. et comment gérer ?

Merci

Rucparkn3ycqqktzirem - Eugenol
Rfky9pyiglpm7ulx4ebt - Eugenol
Spqshvrzchbpoomvgwjp - Eugenol
Fktltnwuausjt0gbepp0 - Eugenol
Bgyure7a15hp9vq7c3kf - Eugenol

Photo pluton1b h9n4ea - Eugenol
pluton

28/11/2018 à 15h14

çà serait pas plutôt 24/26?
bon bein, niveau ortho c'est pas le top... classe 2 secteur 2/3, limite classe 2 secteur 1/4...supraclusion...
c'est pas stable...du genre: le cul entre deux chaises si tu vois ce que je veux dire...?


burnax

28/11/2018 à 15h25

oui, pardon.

bridge 24-25
espace gênant: 46-47;26-27


Vw campersurfvan bmnk1q - Eugenol
enlaye

28/11/2018 à 16h55

Alors , Burnax , comme ça ,tu aimes les belles histoires avant de faire dodo ? Et il faut te border , aussi ?:-))
C est difficile ce que tu me demandes pcq je suis sur le tel , donc je vois tout ptit , et en plus je roules à 310 km/h . pour aller me faire de la Meditation 500dentale .

Mais quand meme , on voit sur le haut , des plats d usure de 13 à 22 ET aussi , ce qui est interessant,2petits plats sur les pointes palatines de 17 et 27.
En bas tu t en doutes le pb vient de 33 , bien sur .

Alors , ce que je te demanderais , c est de mettre les modeles en occlusion de traviol ,en appui sur ces faces d usures et de prendre une photo .
Meme 2 pcq il doit y avoir 2 positions possibles .
De face et si possible de derriere montrant l interieur .
Ainsi on verra tres vite l endroit du pb que le patient cherche a eviter.


Vw campersurfvan bmnk1q - Eugenol
enlaye

28/11/2018 à 18h48

Sa 33 (export comme dirait CariGrant ) qui a probablement tendance a devenir de plus en plus oblique avec le racourcissement de l arc , pousse la mand vers la droite .
Ça l e gene .
Alors il sert fort sur sa gauche pour essayer de lui mettre sa race a cette 33 .mais ça le retropropulse sur son bridge , en distal de son bridge . Alors là ça commence à bien faire , y en a marre se dit le pterygoidien lateral .et tu sais comme c est teigneux , un pterygoidien , hein ?
Surtout que c' tenc , il se la joue avec le temp , le vicieu qu il est .seulement voilà que le temporal ( gauche , bien sur , ce cas ç est un cas de gaucho ),
en flag , il te tire pas le disque en loucede , mine que rien ?
Ah ouais ,ç est comme ça ? se dit le citron , ben si c est comme ça tu vas aller te decontracter ailleur , aller zou , la mand , tu te casses en avant et a droite . Non mais , ça va t apprendre a faire spasmer tout le monde .
Et je m en fout si tu forces sur les molaires du fond , t es puni .
Seulement , voilà a force de rester au piquet , ben le disque de gauche , il est parti en avant , oh pas beaucoup ,
Mais suffisament pour que la mand ne revienne jamais pareil . Un coup par ci un coup par la , et puis ç est la fete , quoi , elle etait vexée !!

Bon , si tu veux , je te fais la meme avec la chevre de Mr seguin :-) ou le petit poucet :-)))
L est pas belle mon histoire Burnax?


Vw campersurfvan bmnk1q - Eugenol
enlaye

28/11/2018 à 18h55

Maintenant , si tu me dis qu il n entend pas le transfo edf dans l oreille gauche ( j ai 1 chance sur 2:-)) )
qu il n a pas le coup tordu , et qu il ne marche la tete en bas , il faut que je te raconte une autre histoire.
Mais ça m etonnerait.


Dprtmuluo7sk4wxn8aabgsxy7sde - Eugenol
Pervers Pépère

28/11/2018 à 19h04

Bon enlaye, c'est quand que tu refais une conf' ? y a Daryl et moi déjà comme participants, même si on a un truc à faire avant, ou pendant l'entr'acte, ou les 2.


Capture d écran 2018 05 16 à 21.30 - Eugenol
Daryl

28/11/2018 à 19h20

Et alors Perversss, j'amène mon ptit carnet Armani noir ou y a rien à prendre en note à cette conf ????


Jeunedentiste91

28/11/2018 à 19h49

Bonsoir, et de face les milieux au niveau des freins ça donne quoi ? Claque ATM? Autres douleurs à distances ? On peut remplacer 24/25 ou on peut aussi reconstruire la bouche en redonnant une dvo correcte, re aligner les milieux si nécessaires ...


Vw campersurfvan bmnk1q - Eugenol
enlaye

28/11/2018 à 22h56

Jeunedentiste91 écrivait:
---------------
" reconstruire la bouche en redonnant une dvo correcte, re aligner les milieux si nécessaires ... "

?? Et qu est ce qu elle a sa dvo , elle te plait sa dvo , minot ? Faudrait voir à arreter vos angoisses existentielles sur la dvo.
Et comment reconstruire en realignant les millieux ? Tu couronnes tout , tu fais de l ortho , les 2 ?


Vw campersurfvan bmnk1q - Eugenol
enlaye

28/11/2018 à 23h00

Burnax tu dis qu il a fait de l ortho , il est parti sans payer ?
La 33 ç etait en sus ?


Jeunedentiste91

29/11/2018 à 06h37

Quelle est la demande du patient? Juste remplacement 24/25? Bridge ou implant ..mais si on parle de réhabilitation occlusale dues plainte du patient (bruxisme,trouble atm etc) et bien là je partirai sur un bilan postural avec gouttière de transition pour valider le nouveau calage et reconstruction globale via soit ortho soit des collages.


burnax

29/11/2018 à 06h55

La démarche est son bridge.
Le bourrage annexe mais l évolution me questionne.


burnax

29/11/2018 à 07h09

L ortho a été fait tardivement vers 20 ans pour des raisons esthêtiques. La 24 extraite mais semble t il , l ortho n a pas pu fermé l espace.

A priori, le patient est sérieux et pas du genre à partir sans payer !!

Mastication surtout droite pour êviter d abimer son bridge depuis des lustres.
Son guidage droit est plus simple , que le gauche.
Bruxisme je ne crois pas.
Posturalement, lordose-cyphose.
Il entend très bien.

Pour les photos, ce sera tt à l heure..


Vw campersurfvan bmnk1q - Eugenol
enlaye

29/11/2018 à 08h08

Jeunedentiste91 écrivait:
---------------
"et bien là je partirai sur un bilan postural avec gouttière de transition pour valider le nouveau calage et reconstruction globale via soit ortho soit des collages."

Y sont mignions ces minots :-)))
Et qué gouttiere ? Ça ne sert a rien là :-)
Ç est un blocage ant , bon , ben tu le debloques , ç est tout .apres, tu verras la gouttiere si tu ne t en sors pas .
Ce genre de gonz vient me voir pour un detartrage , a peine il s assoie que je lui lime les bords libres des inc du bas pour soulager le sur contact ant .


Jeunedentiste91

29/11/2018 à 08h42

Bien sûr les gouttières ne sont utiles que dans certains contextes. Mais je ne vois pas l’interet D’un reglage par soustraction à part dans le cas d’un interférence occlusale localisée,une grosse prématurité qui ne demande qu’a être enlevée.
Avec une telle suppraclusion tout est verrouillé. Je ne comprend pas l’interet De limer les incisives du bas ? Sauf si elles blessent le palais, tu cherches juste à faciliter la propulsion en fait ?


Vw campersurfvan bmnk1q - Eugenol
enlaye

29/11/2018 à 08h51

Bon , mais admettons , que tu lui fasses une gouttiere . On est d accord que c est pour le liberer , le deverouiller .
Donc quelle genre de gouttiere tu lui fais ? ??
Pcq ç est en fonction du mvt que tu veux obtenir pour le deverouiller que tu decides de la forme de la gouttiere .


Jeunedentiste91

29/11/2018 à 09h12

Gouttière de Propulsion mandibulaire, a voir combien de mm en fonction du bilan, souvent sur l’articulateur on a déjà une bonne idée de la position de confort,on voit bien les interférences si il y en a...et en prime si déviation à corriger c’est facil à faire,en cas de facettes d’usures et dvo pourries on la récupère direct. Pour ce type de traitement les classes 2 avec suppraclusion c’est pain béni, les cas ou les patients sont déjà en bout à bout,béance antérieure ... je suis plus démunie


Vw campersurfvan bmnk1q - Eugenol
enlaye

29/11/2018 à 09h21

Jeunedentiste91 écrivait:
---------------
Avec une telle suppraclusion tout est verrouillé. Je ne comprend pas l’interetDe limer les incisives du bas ? Sauf si elles blessent le palais, tu cherches juste à faciliter la propulsion en fait ?"


La propulsion? non , faciliter la fermeture , ce qui est son pb majeur .
Je pense que e n est pas une supraclusion , d origine , je veux dire.
A tout les coups l ortho a voulu rentrer le bloc du haut , et a bascule le bloc ant sup, os compris vers le bas ..


Jeunedentiste91

29/11/2018 à 10h08

Ouille je n’avais pas pensé à ça ... et pour la gestion des espaces au niveau molaire ? Je suppose que les dents sont saines


burnax

29/11/2018 à 10h18

Changer le bridge ne me gêne pas .

C'est surtout , comprendre le mécanisme de distalisation des 7, car ça va se terminer par du bourrage qui va s'accroître, donc poche donc extraction plus tard..

P1 m2ih8e - Eugenol

Jeunedentiste91

29/11/2018 à 10h26

Oui déjà maintenant ça a pas l’air terrible en mésial de la 17...ça donne quoi les sondages ?


Vw campersurfvan bmnk1q - Eugenol
enlaye

29/11/2018 à 10h29

Patience ma nine .
Quand Burnax va nous envoyer les photos demandees , tu vas dire :
Mais ouiiiii bien suuuur !


Vw campersurfvan bmnk1q - Eugenol
enlaye

29/11/2018 à 10h32

Ce cas est facile , pcq le bridge a deja cassé . Donc tu sais deja vers ou il ne faut pas aller :-)


Photo thumb 45 lnhuvp - Eugenol
wakrap

29/11/2018 à 17h08

enlaye écrivait:
------
> Sa 33 (export comme dirait CariGrant ) qui a probablement tendance a devenir de
> plus en plus oblique avec le racourcissement de l arc , pousse la mand vers la
> droite .
> Ça l e gene .
> Alors il sert fort sur sa gauche pour essayer de lui mettre sa race a cette 33
> .mais ça le retropropulse sur son bridge , en distal de son bridge . Alors là
> ça commence à bien faire , y en a marre se dit le pterygoidien lateral .et tu
> sais comme c est teigneux , un pterygoidien , hein ?
> Surtout que c' tenc , il se la joue avec le temp , le vicieu qu il est
> .seulement voilà que le temporal ( gauche , bien sur , ce cas ç est un cas de
> gaucho ),
> en flag , il te tire pas le disque en loucede , mine que rien ?
> Ah ouais ,ç est comme ça ? se dit le citron , ben si c est comme ça tu vas
> aller te decontracter ailleur , aller zou , la mand , tu te casses en avant et a
> droite . Non mais , ça va t apprendre a faire spasmer tout le monde .
> Et je m en fout si tu forces sur les molaires du fond , t es puni .
> Seulement , voilà a force de rester au piquet , ben le disque de gauche , il est
> parti en avant , oh pas beaucoup ,
> Mais suffisament pour que la mand ne revienne jamais pareil . Un coup par ci un
> coup par la , et puis ç est la fete , quoi , elle etait vexée !!
>
> Bon , si tu veux , je te fais la meme avec la chevre de Mr seguin :-) ou le
> petit poucet :-)))
> L est pas belle mon histoire Burnax?

Quand je lis ça, je me dis que chaque fois que tu as un rencard et qu'elle te demande de raconter une histoire pour la faire monter aux rideaux, ça doit finir en pignole.
La bise à matchbox.