Cookie Consent byPrivacyPolicies.comGros doute sur indication d’extractions de 14 et 24 - Eugenol

Gros doute sur indication d’extractions de 14 et 24

Rape p0as4f - Eugenol
rapelapente

01/05/2019 à 15h43

Ou tu te retrouve impliqué dans la procédure si un patient est mécontent du TTT Ortho.

Pour 30 balles, qu'ils se démerdent.....


--
Schooner For Ever


Bebe 038 nf8eum - Eugenol
danteyeah

01/05/2019 à 16h34

Rap c’est pas le sujet du post, la chir j’la fait gratos si c’est dans l’intérêt de la gamine.
La vraie question est tout con: Est-ce dans l’intérêt De la patiente, et sur ce coup là j’suis quasiment sûr Que non.
Mais je veux bien qu’on me prouve le contraire.
Au fait pourquoi le fils de maître Capello s’est fait bannir ?


Rape p0as4f - Eugenol
rapelapente

01/05/2019 à 16h50

"la chir j’la fait gratos si c’est dans l’intérêt de la gamine"

Ben c'est bien le cœur du problème, seul le prescripteur doit évaluer l'intérêt, et assumer l'acte.
Si tu te poses des questions ne fais pas.


--
Schooner For Ever


Guili

01/05/2019 à 20h46

Bonjour,
Je profite de ce post pour savoir si on peut refuser les extractions ortho de façon systématique.
Merci


Rape p0as4f - Eugenol
rapelapente

01/05/2019 à 21h08

Ben oui ! Cela ne constitue en rien une urgence.



--
Schooner For Ever


Picture1111 zburnd - Eugenol
saidkholoki

02/05/2019 à 11h11

Bonjour à tous,
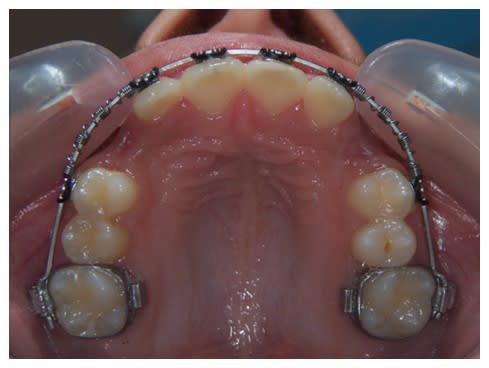
Je pense qu'il est tout à fait possible de trouver la place pour les prémolaires et cela vaut le coup de tenter avant d'extraire quoique ce soit.


--
A suivre...
Said

Avant efzbgr - Eugenol
Fin de qh yzhbjj - Eugenol
Multi attaches uyazzt - Eugenol

120 81 mdkvjo - Eugenol
Monaco

02/05/2019 à 13h51

Bonjour.
Il est vrai.
Cependant vous avez installé une force distalante dans votre dispositif. ce qui n'est pas tjs possible.


Picture1111 zburnd - Eugenol
saidkholoki

03/05/2019 à 07h35

C’est vrai.. mais pour le cas en question, il est tout à fait possible.


--
A suivre...
Said


Fourre tout 05 12 08 017 apc4pu - Eugenol
Pier

03/05/2019 à 13h57

En cas de problème sur le traitement ortho lié aux extractions la responsabilité est recherchée aux niveaux des deux praticiens et parfois l'argument qui revient est: c'est un professionnel de la santé rien ne l'obligeait à faire ces extractions il avait la décision finale entre les mains.


Rape p0as4f - Eugenol
rapelapente

03/05/2019 à 14h21

Ca s'appelle la responsabilité partagée.
Je ne partage rien pour 30 balles.


--
Schooner For Ever


1 eugenol dmj5np - Eugenol
Dancha

29/05/2019 à 10h02

Bonjour,

D'emblée, ce n'est pas un cas d'extraction de prémolaires, ni d'aucune autre dent permanente !
Saïd a parfaitement raison.
Maintenant, on aimerait voir les faces occlusales des dents, et aussi un peu la forme du visage.. S'il y avait une télé, ce serait bien aussi.
D'ordinaire, les agénésies incisives inférieures, c'est plutôt 31 ou 41 ou plus souvent souvent les 2.
C'est quoi ce truc sur la pano, un artéfact ?

Daniel

Quoi aggbgh - Eugenol

Mon avatar msn jgkit1 - Eugenol
Ewing

04/06/2019 à 18h18

Ce doit être un reflet de sa fenêtre sur l’écran de son ordi lors de de la photo.
Les orthos ont le droit d’extraire les dents s’ils estiment que...C.est juste que ça les fait chier.
Personnellement, je n.avulse plus pour personne.
Imaginez vous devant le juge qui vous demande pourquoi vous avez extrait les dents: «  Ben, il me l’a demandé «  et cela sans diagnostic !!! INDÉFENDABLE. C’est lui qui fait qui est ! Pas de partage.
Si un orthos vous demandait de vous couper une couille, vous l’ferez ?


dov

06/06/2019 à 09h08

Force extra orale sur 16 et 26 a direction haute (composante distale intrusive) et laisser la nature faire.
La place de la 23 se fera toute seule,et revoir ensuite le cas.


1 eugenol dmj5np - Eugenol
Dancha

12/06/2019 à 11h13

Ewing écrivait:
-----
> Ce doit être un reflet de sa fenêtre sur l’écran de son ordi lors de de la
> photo.

Un reflet de fenêtre, ça ne ressemble pas à ça…

> Les orthos ont le droit d’extraire les dents s’ils estiment que...C.est juste
> que ça les fait chier.
> Personnellement, je n.avulse plus pour personne.
> Imaginez vous devant le juge qui vous demande pourquoi vous avez extrait les
> dents: «  Ben, il me l’a demandé «  et cela sans diagnostic !!! INDÉFENDABLE.
> C’est lui qui fait qui est ! Pas de partage.
> Si un orthos vous demandait de vous couper une couille, vous l’ferez ?

Bigre, tu n’y vas pas de main morte envers les orthodontistes !
Pour ma part, je suis bien convaincu que ce serait moi, en tant que "spécialiste qualifié" ayant demandé une extraction, qui porterais le chapeau s’il s’avérait à posteriori que ce soit une erreur.
C’est ça, le bénéfice légal de la spécialité !
Cela n’interdit bien entendu pas la discussion qui est parfaitement légitime et fortement souhaitable si l’omnipraticien ne comprend pas le pourquoi du comment de ma demande.

Daniel


1 eugenol dmj5np - Eugenol
Dancha

12/06/2019 à 11h15

dov écrivait:
---
> Force extra orale sur 16 et 26 a direction haute (composante distale intrusive)
> et laisser la nature faire.
> La place de la 23 se fera toute seule,et revoir ensuite le cas.

Pourquoi voudrais-tu imposer un truc pareil à cette petite ? De plus, les 6 sont en classe I.
Pour ma part, je lui ficherais la paix pour le moment, on peut tout à fait attendre tranquillement que les V soient sur le point de partir.

Daniel


Avatar transparent iqadnc - Eugenol
adhoc

12/06/2019 à 11h39

Si les molaires sont effectivement en classe1, les incisives sont quand meme un peu en classe2 div2!!!! Elle a 10 ans, l'age ideal pour une FEO, apres, ils n'en veulent plus et ne les mettent pas, l'age ou l'on devient con arrivant vite! Et comme dit coluche, j'ai l'impression que chaque année, ils le deviennent de plus en plus en avance!
Dans cette phase d'interception, le Qhelix et la FEO me semblent pas mal.


579482 10150853902839038 1346467120 n lry9nx - Eugenol
paulcast

12/06/2019 à 15h13

Salut, amha il ne faut pas extraire. L'ortho veut certainement terminer en classe II thérapeutique mais à cet âge là, on a assez de croissance pour corriger le problème orthopédiquement. Je mettrai une plaque de hawley avec un verrin et une surélévation ant pour corriger la supra et permettre à la 23 de sortir. Et éventuellement enchaîner avec un appareil fonctionnel d'avancée mandibulaire…


Gariane

12/06/2019 à 18h04

enlaye :
> je dirais même plus , qu' au delà de l aspect inesthétique des profils rentrés ,
> ç est surtout du n' importe quoi d un point de vu occlusal ."

Et c'est notemment pourquoi les extractions de 14 et 24 deviennent rares .
on leur prefere 15 et 25 ,meme si le traitement est un peu plus long.
Pour cette jeune fille , les cas d'agenesie d'incisive mandibulaire sont toujours durs a gerer pour moi et j'ai besoin d'une bonne observation clinique du patient ( exo, endobuccal) ,etude de moulages et radios ( tele pano ) pour decider de mon plan de traitement .
ces cas delicats necessitent un echange entre les praticiens qui s'occupent du patient afin de suivre une ligne commune de traitement .


1 eugenol dmj5np - Eugenol
Dancha

20/06/2019 à 17h49

Paulcast, pourquoi donc terminer en classe II thérapeutique ? Il est en classe I molaires !
Qui te dit qu'l y a un problème squelettique à corriger orthopédiquement ?
Gariane a parfaitement raison, avec les documents que l'on a, il n'est pas possible aujourd'hui de faire un plan de traitement.
Par contre, regardez la différence de taille des couronnes des secondes molaires temporaires par rapport aux deuxième prémolaires. Cela donne de la marge supplémentaire à l'orthodontiste pour éviter des extractions.

Daniel


Gabzou

21/06/2019 à 10h38

C'est pas tout simplement le foramen mentonnier sur la radio? Vrai qu'il semble un peu en avant mais c'est à çà que çà me fait penser!


Vw campersurfvan bmnk1q - Eugenol
enlaye

21/06/2019 à 11h43


enlaye :
" je dirais même plus , qu' au delà de l aspect inesthétique des profils rentrés , ç est surtout du n' importe quoi d un point de vu occlusal ."
Gariane écrivait:
" Et c'est notemment pourquoi les extractions de 14 et 24 deviennent rares .
on leur prefere 15 et 25 ,meme si le traitement est un peu plus long."


+1ç est le plus raisonnable et de loin le plus facile pour les réglages finaux .
je reviendrais des que j ai 2 mn , pcq il faut que je justifie ce +1 . ç est important .


Vw campersurfvan bmnk1q - Eugenol
enlaye

21/06/2019 à 14h42

il y a 2 différences notables ( qui donnent une incidence occlusale importante ) entre une 4 et une 5 .
1- au niveau de la couronne : la face proximale mesiale palatine de la 4 est tres penchée lui donnant un cuspide palatine tres pointue contrairement à la 5
2 - au niveau des racines , la 4 en a souvent 2 et avec des axes divergents , alors que la 5 est plutôt massive , unique en tout cas plus ronde .
et ce n est pas pour rien :-)
a+


Vw campersurfvan bmnk1q - Eugenol
enlaye

21/06/2019 à 14h52

en dynamique , pour comprendre l intérêt de la 4 par rapport à la 5 , il faut comprendre l intérêt de la canine . et il faut surtout comprendre que la canine sans la 4 ( ou une 5 transformée en 4 ) n a pas la fonction extraordinaire qu on veut bien lui donner
a+


6szjws718sv1jksw54v4mpj3a6cu - Eugenol
vulpi

21/06/2019 à 15h13

c'est quoi la rétropulsion?


Quand t'as le feu au c... ?